아카이브 요약
이 페이지의 역할
레브치과의원 강남점의 네이버 블로그 원문을 보존한 아카이브 페이지입니다. 사랑니 뽑기 카테고리의 매복 사랑니 10분만에 뽑기! 치료과정/치료기간/비용/후기. 글을 통해 병원의 한국어 정보 제공 방식과 진료 관련 안내 톤을 확인할 수 있습니다.
원문 검증
필요하면 원문 블로그와 병원 프로필로 바로 이동해 문맥을 다시 확인할 수 있습니다.
출처 아카이브 열기아카이브된 블로그 글
레브치과의원 강남점 · Naver Blog
안녕하세요. 임플란트 장인을 꿈꾸는 치과 백원장입니다. 오늘은 사랑니 뽑은 후기를 간단히 남겨보고자 해요 ~~ 포스팅하는 증례는 환자분들의 동의 후 주치의가 직접 작성하는 포스팅입니다.!! 매복사랑니 발치... 너무나 무섭죠? ㅠㅠ 백원장도 아래턱에 있는 매복 사랑니를 대학생 때 선배한테 모두 뽑혔었답니다... ...
게시일
2023년 2월 22일
원문 기준으로 확인된 발행일입니다.
카테고리
사랑니 뽑기
원문 블로그 카테고리를 정리해 함께 표시합니다.
이미지 수
7
현재 아카이브에 연결된 이미지 수입니다.
아카이브 요약
레브치과의원 강남점의 네이버 블로그 원문을 보존한 아카이브 페이지입니다. 사랑니 뽑기 카테고리의 매복 사랑니 10분만에 뽑기! 치료과정/치료기간/비용/후기. 글을 통해 병원의 한국어 정보 제공 방식과 진료 관련 안내 톤을 확인할 수 있습니다.
원문 검증
필요하면 원문 블로그와 병원 프로필로 바로 이동해 문맥을 다시 확인할 수 있습니다.
출처 아카이브 열기안녕하세요.
임플란트 장인을 꿈꾸는 치과 백원장입니다. 오늘은 사랑니 뽑은 후기를 간단히 남겨보고자 해요 ~~
포스팅하는 증례는 환자분들의 동의 후 주치의가 직접 작성하는 포스팅입니다.!!
매복사랑니 발치... 너무나 무섭죠? ㅠㅠ
백원장도 아래턱에 있는 매복 사랑니를 대학생 때 선배한테 모두 뽑혔었답니다...
어느덧 시간이 흘러 이제 제가 매복사랑니를 뽑는 치과의사가 되었어요...ㅋㅋㅋ

매복 사랑니가 방치되면 생기는 문제점?
누워있는 사랑니.. 생각만해도 불편하고 무섭죠..
매복 사랑니가 있을 때 어떤 문제점이 생길 수 있을까요?
: 사랑니 주변으로 잇몸이 붓고 아프며 고름이 생깁니다. 혹은 더욱 자라나고 싶지만 자라날 수 없는 환경으로 인해 치통이 생겨요.
: 인접한 치아와 사랑니 사이에 음식물이 잔류되고 그로 인해 충치가 생겨요.
: 사랑니와 인접한 치아의 클렌징이 어려워져서 입냄새에 원인이 되기도 합니다.
누워있는 사랑니가 불편해요. 뽑고 싶어요.
아래턱 매복 사랑니를 뽑아봅시다!

21세 남자 환자였습니다. 양쪽 아래 매복 사랑니가 존재하는 상태였어요.
수평 매복 상태 (horizontal partial impacted state) 였으며, 딱 봐도 뽑아야될 것 같아요!!
사랑니는 보통 어떤 순서로 뽑나요?
좌,우로 나눠서 위-아래 사랑니를 한번에!
그리고 아래 사랑니 먼저!

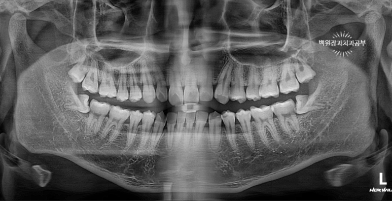
노란색 원으로 표시된 치아들이 위 사랑니 입니다. 상악 제3대구치라고도 불러요.
빨간색 원으로 표시된 치아들은 아래 사랑니 입니다. 하악 제3대구치라고도 불러요.
사랑니 발치 후 주의사항 많이들 들어보셨죠?
사랑니를 뽑고 보통 거즈를 2시간 정도 물고 계시기 때문에, 좌/우를 나눠서 뽑는게 일반적입니다.
너~~~무 무서워서 한 번에 뽑아달라고 하는 분들은.. 보통 대학병원에 입원하셔서 뽑기도 하더라구요.
통상적으로 아래 사랑니가 빼기 어려운 경우가 많아서 아래부터 빼고 위를 뺍니다.ㅎㅎ
아래 매복 사랑니 뽑는 과정이 어떻게 되나요?
누워있는 매복 사랑니는 치아의 sectioning이 필수입니다. 즉 치아를 잘라서 제거한다는 말씀!
그렇게 하기 위한 시야를 확보하기 위해, 조금의 잇몸 절개를 하고 사랑니가 보이게 만드는 것이죠-

보다 확대된 치근단 방사선사진을 보시면, 누워있는 사랑니가 아의 치아에 끝이 걸려있는 것을 보실 수 있을거에요.
절대 그냥 뽑히지 않습니다. ㅎㅎ 치아를 나눠서 제거하는 것이 훨씬 쉬워요!

왼쪽의 파노라마 엑스레이에 그려진 빨간 선대로 치아를 나눌 예정입니다.
따라서 오른쪽 에 표시된 파란색 치아부분이 보일만큼 잇몸을 젖히고 잇몸뼈 삭제를 하는 것이죠.

계획했던대로 치아를 나눠줍니다.
머리 부분이 조금 작게 나뉘긴 했습니다만, 정말 금방 합니다! 5분 컷!!
많이도 필요 없어요. 2땀 정도 꿰매주면 오늘의 매복 사랑니 발치 완료!

이번 환자분 같은 경우는 비교적 뿌리가 짧고 모여있는 형태였기 때문에 정말 어렵지 않게 뽑을 수 있었어요.
맨날 임플란트만 하는 치과인 것 같아 다양한 진료를 하고 있다는 것을 보여드리고 싶었습니다 :) ㅎㅎ
사랑니 발치는 여러 치과에서 당연히 하고 있지만, 한편으로 모든 치과에서 하지는 않는 진료입니다.
일단 힘이 많이 들고 (?!) 요령이 없는 경우 시간이 한참 걸리는 진료이므로 기피되는 것이 현실...
그리고 낮은 건강보험 수가가 사랑니 발치를 기피하게 만들죠..
강남이나 신촌 등 젊은이들이 많이 모이는 곳에 사랑니 전문 치과가 생겨나고 있습니다만, 그렇다고 또 사랑니 뽑으러 멀리까지 가기도 애매하잖아요!!!
그러고보면 매복 사랑니 발치도 빨리 잘만 하면 치과 수익에 도움이 된다는 것 !!!
사랑니 발치는 대학병원에서 '구강악안면외과'의 진료 영역입니다. 매복 사랑니 발치 전문 치과를 찾으신다면, 구강악안면외과 전문의가 있는 곳으로 가시면 좋아요!
제가 졸업한 '치주과'도 임플란트 수술, 잇몸 성형 수술 등 구강 내 여러 수술에 최적화되어 있는 치과 전문과 입니다. 마찬가지로 사랑니 발치도 거뜬히 해낼 수 있는 진료과라고 봐주시면 좋겠습니다 :) ㅎㅎ
이번 환자분의 경우 매복사랑니 비용으로써, 위 사랑니는 단순 발치, 아래 사랑니는 복잡 매복 발치로 총 34,100원의 본인부담금이 발생하였습니다.!! 특별히 지혈을 필요로 하지 않아, 비용부담이 되는 지혈제는 사용하지 않았어요.
(평일-토요일 여부, 야간에 진료받았는지 여부, 건강보험 적용 카테고리에 따라 본인부담금은 차이가 날 수 있습니다!!!)
사랑니 발치는 건강보험 적용이 되는 진료로써, 불편하시다면 조속한 시일내에 치료받으시길 권유드립니다!
온라인상으로나마 상담을 원하신다면, 최대한 성실한 답변을 드려보도록 하겠습니다! :)
치료기간은 이를 뽑을 때부터 완성까지 약 10일 정도 걸렸습니다.
실제로 내원하신 횟수는 2회입니다.
비용이 궁금하신 분들은 댓글을 달아주세요 :) 친절히 안내해드리도록 하겠습니다.
이상 '매복 사랑니 10분만에 뽑기! 치료과정/치료기간/비용/후기. ' 에 관한 포스팅의 치과 백원장이었습니다. 긴 글 읽어주셔서 감사드리며, 궁금한 점은 언제든지 댓글로 문의해주세요!
더 좋은 포스팅으로 또 찾아뵙겠습니다 ^^
본 포스팅은 환자분의 동의 후 작성하였습니다.
치료 시작: 2022.02.21
치료 완료: 2022.03.04
예상되는 부작용: 술 후 통증과 부종, 술 후 감염, 건성발치와 등