아카이브 요약
이 페이지의 역할
레브치과의원 강남점의 네이버 블로그 원문을 보존한 아카이브 페이지입니다. 임플란트와 뼈이식 카테고리의 임플란트에서 고름이 나와요. 임플란트 주위염 그리고 재수술을 위한 준비. 치료과정/치료기간/비용/후기. 글을 통해 병원의 한국어 정보 제공 방식과 진료 관련 안내 톤을 확인할 수 있습니다.
원문 검증
필요하면 원문 블로그와 병원 프로필로 바로 이동해 문맥을 다시 확인할 수 있습니다.
출처 아카이브 열기아카이브된 블로그 글
레브치과의원 강남점 · Naver Blog
안녕하세요. 임플란트 장인을 꿈꾸는 치과 백원장입니다. 오늘도 시작하는 백원장과 치과공부! 포스팅하는 증례는 환자분들의 동의 후 주치의가 직접 작성하는 포스팅입니다.!! 오늘 무슨 날이었을까요? 다른 치과에서 받으신 임플란트에 문제가 생겨서 임플란트를 제거하게 된 환자를 두 분이나 진료하였어요. 어떠한 이유로 임플...
게시일
2023년 3월 13일
원문 기준으로 확인된 발행일입니다.
카테고리
임플란트와 뼈이식
원문 블로그 카테고리를 정리해 함께 표시합니다.
이미지 수
20
현재 아카이브에 연결된 이미지 수입니다.
아카이브 요약
레브치과의원 강남점의 네이버 블로그 원문을 보존한 아카이브 페이지입니다. 임플란트와 뼈이식 카테고리의 임플란트에서 고름이 나와요. 임플란트 주위염 그리고 재수술을 위한 준비. 치료과정/치료기간/비용/후기. 글을 통해 병원의 한국어 정보 제공 방식과 진료 관련 안내 톤을 확인할 수 있습니다.
원문 검증
필요하면 원문 블로그와 병원 프로필로 바로 이동해 문맥을 다시 확인할 수 있습니다.
출처 아카이브 열기안녕하세요.
임플란트 장인을 꿈꾸는 치과 백원장입니다. 오늘도 시작하는 백원장과 치과공부!
포스팅하는 증례는 환자분들의 동의 후 주치의가 직접 작성하는 포스팅입니다.!!
오늘 무슨 날이었을까요?
다른 치과에서 받으신 임플란트에 문제가 생겨서 임플란트를 제거하게 된 환자를 두 분이나 진료하였어요.
어떠한 이유로 임플란트를 제거하게 되었는지 간단하게 살펴보며 설명드릴께요!

임플란트 틀니를 만들었는데, 그 임플란트에서 고름이 나와요.
이 전에 임플란트틀니; 오버덴쳐에 대해 포스팅 했던 적이 있습니다.
좋은 틀니를 사용하기 위해서는 '당연히' 틀니가 장착 후에 떨어지지 않아야 하는데요,
그렇게 틀니를 만들어내는게 정말 말처럼 쉬운일이 아닙니다.
그래서 나온 것이 임플란트 틀니!
그런데 하나 기억하셔야 할 것이 있습니다.
왠만한 경우에는 위턱에 오버덴쳐를 만드시는 것은 추천드리지 않아요.
아래턱의 경우 예후가 좋아 저희 치과에서도 오버덴쳐를 적극 권해드립니다만,
위턱의 경우 상대적으로 수질골이 많은 조성을 가지고 있어 임플란트주위염이 잘 생기거든요.
특히 위턱의 경우 적어도 4개 이상의 임플란트를 심어야 하기 때문에, 차라리 8개를 심고 전체 임플란트를 권해드리는 편입니다.
위턱 임플란트틀니 임플란트에서 자꾸 고름이 나와요.
임플란트 빼고 싶어요.

70대 중반 남자 환자분이셨습니다.
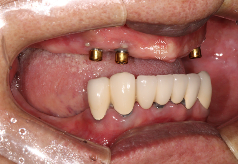
위턱에 네개의 임플란트를 이용한 임플란트틀니를 5년 동안 사용하고 계셨는데, 계속 고름이 나오신다는거에요...

노란 점선이 보이시나요? 잇몸뼈의 높이입니다.
상당한 양의 임플란트 주변 뼈가 녹아서 없어져 버린것을 보실 수 있어요.
환자분은 임플란트를 엄청 빼고싶어 하셨습니다.
저희 치과 잘 찾아오셨습니다....!



금색의 locator가 장착된 임플란트의 주변에 고름이 맺혀있는게 보이시나요..?
네개의 임플란트 모두 상당한 임플란트주위염에 시달리고 있는 것을 볼 수 있었습니다.
임플란트 주위염의 특징이 치아와 달리 잇몸뼈가 없어지면서 조금씩 흔들거림이 늘어나는게 아니라,
어느 순간이 되면 쑥 빠져버립니다. 그 때 오시면 이미 잇몸뼈는 다 없어져있고...
다시 임플란트를 하려고 보면 뼈는 없고..... 늦어버리죠....
위턱은 임플란트를 모두 제거한 후 임플란트 없이 완전틀니로,
아래턱은 치아를 모두 제거하고 임플란트틀니로 계획했습니다.
불과 5년밖에 되지 않은 위턱 오버덴쳐를 이제 더 이상 사용하실 수 없게 되어,
위턱은 그냥 임플란트 '없이' 완전틀니로만,
아래턱은 남은 치아들이 사용할 수 없을 정도의 치주염과 치아우식증에 이환이 되어 있었기 때문에,
임플란트를 2개만 심고 오버덴쳐를 하기로 하였습니다.
그러고 보니 위아래가 바뀌게 되었네요 !! 사실 이게 교과서적인 치료입니다.

임플란트 주위 치주염에 걸려 고름이 나오면서 빠지기 직전이었던 위턱 임플란트 4개는 모두 제거하였고,
치아우식증과 치주염에 이환된 아래 치아들도 모두 발치하고, 2개의 임플란트를 새로 심어드렸습니다.!!!
이제야 비로소 제대로된 치료가 이루어진 기분이네요.

임플란트를 제거할 당시의 사진입니다.
회색으로 보이는 나사선이 임플란트 고정체 (fixture)의 본체이며, '당연히' 뼈 속에 묻혀 있어 보이지 않아야 하는 부분입니다.
수 년간 만성임플란트주위염의 결과로써 치주농양이 형성되었고, 치조골은 사라지고 노출된 임플란트만 남았네요.....
일반적으로, 임플란트 픽스쳐 (fixture)의 50프로 이상 수직골소실이 생기면
제거하고 다시 수술 받으시길 권해드립니다.
임플란트 주위염에 시달리고 있는 임플란트를 너~무 늦게 제거하게 되면,
사정없이 주변 잇몸뼈가 사라지게 되고.... 그러면 다시 임플란트를 하기에도 난감한 수준으로 뼈가 사라져 버려요.
임플란트를 제거하면서 동시에 뼈이식을 하는 '치조제보존술'이라는 마법같은 술식이 개발되긴 하였지만....
그래도 당연히 내 뼈를 많이 갖고 있는게 최선이겠죠?
그래서 비록 오늘은 흔들리지 않아 보이는 임플란트라도, 심한 임플란트 주위염이라면 적절한 시기에 제거해야합니다! 당연히 이 상태를 제대로 평가해줄 수 있는 치주과 전문의에게 상담을 권해드려요

깨끗하게 제거하고, 염증 조직을 모두 제거해드린 뒤 깔끔하게 꿰매 드렸습니다.

이렇게 제거한 임플란트만 총 4개 !!!
보면 제거된 임플란트 주변에 뼈는 없고, 염증조직만 가득한 것을 볼 수 있네요...
결론! 위턱에 임플란트 틀니를 하면 임플란트 주위염으로 임플란트를 제거 할 일이 종종 생긴다....
어차피 위턱은 완전틀니로 제작할 예정이시기에, 수십만원의 비용을 들여가며까지 뼈이식을 하진 않았습니다.
자연한 치유를 거친 뒤 매끈한 잇몸으로 모양을 회복하시면, 위턱 완전틀니와 아래턱 임플란트 틀니를 제작해 드리기로 할 예정이에요! 후기는 다음 포스팅에 올리겠습니다.
임플란트 틀니를 만들었는데, 그 임플란트에서 고름이 나와요.

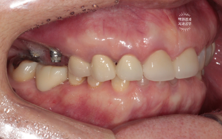
약 20년 전에 제작한 오른쪽 위 외산 임플란트에서 고름이 나온다는 주소로 내원한 70대 여자 환자분이었습니다.
임플란트는 아마도(?) 브레네막(Branemark) 임플란트로 생각되는데, 당시에는 최고의 명품이었죠.
여튼, 좋지 위치에 식립되어 있는 임플란트도 아니었고, 임플란트 주위염이 심하여 농이 나오는 상태였기 때문에 임플란트를 제거하기로 하였습니다.

또 다른 이유로 잘못 식립된 임플란트의 위치 때문에, abutment(=지대주)가 너무 짧아 임플란트 크라운이 자주 탈락하는 상태였어요. 기둥이 두껍고 길어야 보철물이 잘 붙어있을텐데 말이죠...?

이렇게 가늘고 짧은 기성 어버트먼트로 보철물을 만들면, 잦은 임플란트 크라운 탈락에 시달리게 됩니다...
잦은 임플란트 크라운 탈락은 임플란트 주위염을 야기하고.. 결국 임플란트 재수술을 하게 되지요..
오른쪽 위 임플란트 2개를 제거하고, 뼈이식을 하였습니다.
임플란트를 제거하고 다시 임플란트를 새로 식립할 계획이었기 때문에, 뼈이식을 함께 해드리기로 계획하였어요.
저희 연세더좋은플란트치과는 연세에 상관 없이 모든 임플란트 재수술을 성공적으로 해드립니다..!

오전의 임플란트 4개 제거에 이어, 오후에 임플란트 2개를 추가로 제거하였습니다....
보다 짧은 임플란트를 보시면, 주변에 뿌옆게 건전한 잇몸뼈와 함께 제거했다는 것을 보실 수 있을거에요..
덴티움 trephine bur KIT를 이용하여 제거하였습니다!!

뭐 .. 대략 이렇게 생겼습니다... 원통형으로 임플란트를 제거할 수 있게...
(넘 무서워하지 마세요.. 만날 일 별로 없으실거에용..)

어려운 뼈이식 (치조제보존술) 케이스 일수록 좋은 뼈이식 재료를 사용하는 것이 필수입니다!!
저희 연세더좋은플란트치과는 가이스트리히(Geistlich)사의 Bio-Oss Collagen 을 사용하는데요,
스위스에서 생산한 세계 1위를 자랑하는 뼈이식 재료입니다.
연세대학교 치과대학병원 치주과에서 수련받을 당시엔 늘 이 재료만 사용하여 좋은 결과를 얻었었는데...
어쩔 수 없는 가격경쟁에 시달리는 개인치과에서는 참 사용하기 어렵더라구요.
그래도 좋은 뼈이식 재료가 너무너무 필요하다고 생각되는 경우에는 바이오스콜라겐을 사용합니다.
정말로 놀라운 결과를 보여주어 되지 않을 것도 되게하는 느낌이랄까요 :) ㅎㅎㅎ

저는 보다 대용량을 사용하였지만.. 바로 이 제품입니다!!
무려 1851년부터 뼈이식 재료를 만들었다는 가이스트리히 ....... 분명히 치과 뼈이식재료에도 명품은 존재합니다.
임플란트는 스트라우만 체고!)
뼈이식을 하였으면, 재료가 빠져나오지 않게 입구를 닫아주어야겠죠?
저희 병원은 덴티움의 Collagen graft 2 라는 제품을 사용합니다.
콜라겐으로 구성되어 있어 약 1-2주면 흡수되면서, 임플란트를 제거했던 입구가 잇몸으로 차오르게 도와줍니다.

임플란트 주위염이 너~무 심하셔서, 제거하고 났더니 출혈이 상당히 심하더라구요 ㅠㅠ
그래서 염증조직을 빠르게 제거 후 Bio-Oss collagen 250mg 을 나누어 적용하였습니다.

그리고 임플란트를 뽑아내었기 때문에 동그랗게 비어있는 잇몸 위치는
Collgen graft 2 10C를 사용하여 막아주기!
깔끔하게 수술이 끝났지요 :)
이제 뼈가 잘 차올라 임플란트를 담을 수 있을만큼 단단해지길 기도하면 됩니다.

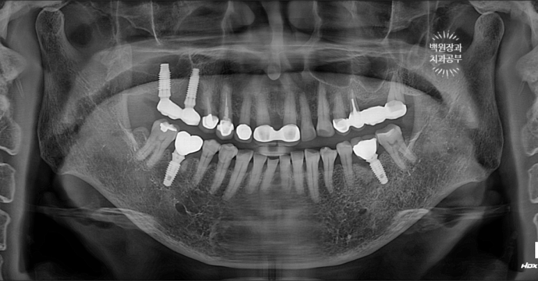
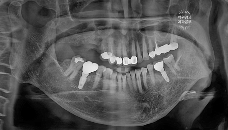
수술 후 찍은 치과용 파노라마 엑스레이를 보시면,
임플란트가 사라진 자리에 충분히 자리잡은 뼈이식재를 보실 수 있을거에요!
치아를 뽑는 발치던 임플란트를 제거하는 임플란트 제거술이던,
뼈이식을 하게되면 약 4개월 정도의 치유기간이 필요합니다.
임플란트가 세상에 발명된 후 벌써 60년이 넘는 시간이 흘렀습니다.
우리나라 회사인 오스템임플란트도 벤처로 시작하여 벌써 20년을 훌쩍 넘은 역사를 자랑하는데요,
임플란트도 사람이 만들어낸 창조물이기에, 이제와서야 많은 부작용에 시달리고 있습니다.
임플란트 실패의 대표적인 원인이라고 함은 임플란트 주위염과 임플란트의 파절을 생각해볼 수 있어요.
이번에 소개해드린 분들은 모두 임플란트 주위염이 그 원인이었습니다.
첫번째 환자분의 임플란트틀니!
상당히 좋은 치료는 맞습니다만, 위턱에 임플란트 틀니를 하시는 것을 권하지 않습니다.
아래턱과 다르게 위턱뼈는 상대적으로 골밀도가 낮기 때문에, 임플란트를 4개씩이나 심어도 틀니를 지탱하기에 어려움이 있기 때문이에요.
반대로 아래턱은 2개만 심어도 임플란트틀니를 사용하기에 크게 부족함이 없답니다.
결론적으로 위턱의 임플란트틀니를 임플란트주위염을 반드시 고려하고 계획되어야 합니다.
두번째 환자분의 임플란트 주위염!
아마도 옛날에 만들어진 임플란트는 과학기술이 발달한 요즈음의 임플란트와 차이가 컸을거에요!
임플란트가 잇몸뼈와 붙는데 가장 큰 역할을 하는 임플란트 표면처리부터 달랐고, (RBM vs SLA)
성능이 떨어졌기에 길이도 훨씬 길어야만 했고 보철 디자인의 컨셉도 달랐습니다.
그래서 오래된 임플란트에 임플란트주위염이 생겨 오시는 분들이 꽤나 있어요.
정답은 역시 제거하고 뼈이식하여 임플란트 재수술을 하는 것입니다.
많은 분들이 어떤 재료로 뼈이식을 하는게 좋냐고 물어보시는데,
사실 정답은 정해져 있습니다. 비싼게 좋긴 합니다!!
다만, 케이스마다 조금 성능이 부족한 국산재료라도 충분한 결과를 낼 수 있는 경우가 많아 국산 뼈이식재료도 많이 쓰는 편입니다.
가이스트리히 회사의 바이오스콜라겐을 많이 써본 유저로써, 바이오스콜라겐은 가격은 비싸긴 합니다만 충분히 좋은 결과로 보답을 해주었던 것 같습니다.
저는 스트라우만 임플란트를 좋아하는 유저인데.. 공교롭게도 둘 다 스위스 제품이네요. ㅎㅎ
치과는 늘 유럽제품이 강세이긴 합니다 :) 기억해두세요!
임플란트 재수술이 쉽다면 쉽고, 어렵다면 정말 너무너무 어렵습니다.
재수술이 능사가 아닌 경우도 많아 틀니를 선택하거나 혹은 뼈가 있는 부위를 찾아 네비게이션 임플란트 수술을 해야하는 경우도 많지요.
그렇기에 임플란트 제거 그리고 임플란트 재수술을 계획하고 있으신 분이라면, 경험 많은 치과를 꼭 찾아가시길 바랍니다.!!! 그래야 여러 치료 옵션을 들어볼 수 있고, 좋은 재료로 치료를 받으실 수 있어요!!!
온라인상으로나마 상담을 원하신다면, 최대한 성실한 답변을 드려보도록 하겠습니다! :)
치료기간은 임플란트 제거부터 봉합사 제거까지 약 10일 정도 걸렸습니다.
실제로 내원하신 횟수는 2회입니다.
비용이 궁금하신 분들은 댓글을 달아주세요 :) 친절히 안내해드리도록 하겠습니다.
이상 '임플란트에서 고름이 나와요. 임플란트 주위염 그리고 재수술을 위한 준비. 치료과정/치료기간/비용/후기. ' 에 관한 포스팅의 치과 백원장이었습니다. 긴 글 읽어주셔서 감사드리며, 궁금한 점은 언제든지 댓글로 문의해주세요!
더 좋은 포스팅으로 또 찾아뵙겠습니다 ^^
본 포스팅은 환자분의 동의 후 작성하였습니다.
치료 시작: 2023.03.06
치료 완료: 2022.03.13
예상되는 부작용: 술 후 통증과 부종, 술 후 감염, 출혈 등