안녕하세요.
임플란트 장인을 꿈꾸는 치과 백원장입니다. 오늘도 시작하는 백원장과 치과공부!
포스팅하는 증례는 환자분들의 동의 후 주치의가 직접 작성하는 포스팅입니다.!!
여러 이유로 자기 치아를 잃고, 임플란트를 하러 많은 분들이 찾아오시고 계신데요,
은근히 많이 듣는 질문이 있습니다.
치아가 없어진 빈 자리를 양 옆의 치아와 임플란트를 묶어서 해결할 수는 없나요?

질문이 이해가 되시나요.? ㅎㅎ
만성치주염이든, 치아우식증 (충치)든 치아를 상실하고나면,
보통 '임플란트'를 이용하여 빈 자리를 대체할 생각을 가장 먼저 하시는데요!
임플란트가 없던 시절에는 어떻게 했을까요?
다 아시겠지만, '브릿지'라는 치료로 해결을 했었습니다.

이렇게 앞니가 한 개 없을 때,

인접한 두 치아를 깎아내어

치아 세개짜리 보철물로 제작해서 만들어드리는 것이 브릿지입니다.
즉, 세개의 치아가 엮여있는 것이죠!
임플란트가 없었을 때 많이 쓰던 방법이긴 하지만,
요즈음에도 많이 쓰이는 방법입니다.
예를 들어,
뼈가 너~무 적어 임플란트를 심기 곤란한 앞니 부위라던지,
아래턱 뼈에 위치한 신경관과 너무 인접하여 임플란트 수술이 난해한 곳...
혹은 골다공증으로 인해 주사 치료를 받고 있으신 분들 등등.
임플란트가 실제적으로 불가능한 경우, 브릿지 치료가 많이 택해집니다.
(위에서 보여드린 치료는 앞니 PFZ 지르코니아 브릿지 치료입니다.)
자기 치아 끼리만 묶을 수 있나요?
임플란트랑 자연치랑 묶으면 안되나요?
이런 의문이 생길 수 있겠죠?
어쩌다보면.. 치아를 하나 잃었는데
양 옆에 있는 것이 두 개 다 치아가 아니라 하나는 내 치아 하나는 임플란트인 경우도 있을 수 있단 말이죠!
이런 의문점을 제가 연세대학교 치과대학생일 때, 일찌감치 교수님들한테 정답을 들었답니다.
절대 안됩니다. 둘 중 하나가 무조건 망가집니다.
네 맞아요! 자연치와 임플란트를 묶어서 보철물을 제작하는 것은 금기입니다.
금기인데... 여러가지 이유로 또 그 금기를 깨고 치료를 하는 치과의사도 있더라구요...
(아마 연세가 많으셔서 이러한 상황을 모르셨을 수도 있겠고...)
다른치과에서 오신 분을 통해 그 결말이 어떻게 되는지 보았고, 어떻게 해결했는지 보여드려볼께요.

왼쪽 위 어금니를 치료받은지 2년 정도 되었는데,
자기 치아에 염증이 생겨서 빼야한다고 들었어요.
요즈음에는 정말 보기 드문데.....
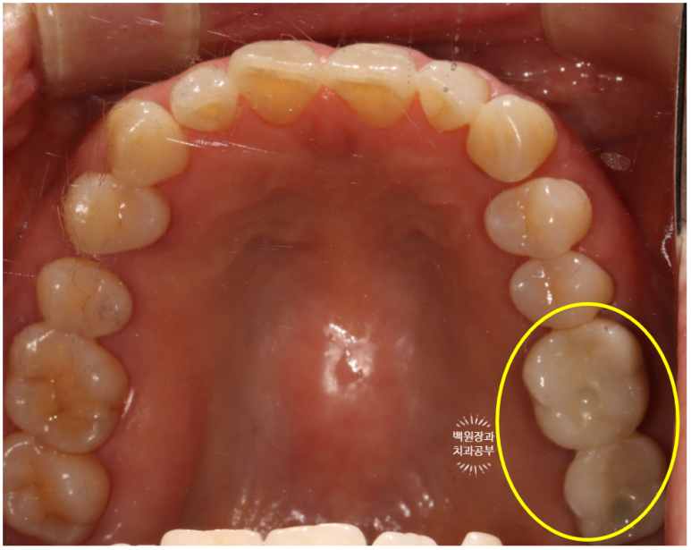
작년 말 저희 병원에 내원하셨던 중년 여성 환자분입니다.
왼쪽 위 어금니에 염증이 있어서 빼야한다고 들으셨다는데...
왠걸! 이런 보철물을 내가 직접 보게 되다니~

하나는 자연치아, 하나는 임플란트가 한 개의 보철물로 연결되어 있더라구요.
정확히 브릿지 (bridge)라고 부르지는 않지만, splinted crown 이라고 부릅니다.
교수님들 말씀이 맞았네요... 결국 자기 치아가 완전히 고장나버렸고,
주변은 염증이 가득 형성되서 잇몸뼈가 모두 사라져 버렸습니다.
너무 많이 뼈가 파괴되어 임플란트 심기가 어려워
이를 뽑으면서 뼈이식을 미리 해두기로 하였습니다.

처음 오셨을 때 입 안 사진으로 보면, PFM 크라운 두 개가 붙어있는 형태.
즉, splinted PFM crown 형태로 제작이 되어 있었어요.
추측컨데... 수술했던 임플란트 크라운이 너무 짧으니 잘 떨어질까봐 앞에 치아와 연결한게 아닐까 싶었습니다.
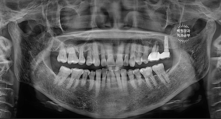
여튼.. 상부 보철물을 갈아서 뜯어내니, 여지없이 자연치는 쑥 빠져버렸습니다. ㅠㅠ

제가 나름 좋아하는 합성골인 덴티움사의 Osteon III collagen과

같은 덴티움사의 dentium collagen membrane을 사용하여
이를 뽑은 자리에 염증조직 (granulation tissue)을 모두 제거하고 뼈이식을 해두었습니다.
치조골 이식술이라고 합니다.
저희 신금호역 연세더좋은플란트치과는 국내 뼈이식재료 1위 덴티움(제노스)사의 뼈이식재, 차폐막과
세계 뼈이식재료 1위 가이스트리히사의 뼈이식재, 차폐막을 사용합니다.!!!
(경우에 따라 제 판단 아래 필요시 조금 다른 재료를 혼용하긴 합니다)
(임플란트가 어느 회사인지도 중요하지만, 사용되는 뼈이식재료의 회사도 당연히!!! 엄청 중요해요.)
발치 동시 치조골 이식술 후 기다리는 치유 기간은 3-4개월 입니다.
많은 치과들에서 치아를 뽑으면서 임플란트를 동시에 심는,
'발치 동시 임플란트'를 권유하는데요,
가능한 부위도 있지만, 불가능한 부위도 많습니다!!!!
이번 환자분의 경우처럼 남은 뼈가 하나도 없는데 어떻게 심겠어요......
이럴 때 선택되는게 발치 동시 뼈이식술 입니다. 학술적으로 치조제보존술(발치와보존술) 이라고도 합니다.
발치&뼈이식술 (치조제보존술) 전과
이를 뽑고 뼈이식을 한 뒤 4개월 쯤 지나서 치과용 CT를 비교해보면,

노란 선은 이를 뽑고 나서 잇몸뼈 하단의 위치, 노란면은 사용 가능한 잇몸뼈의 양.
치아가 있을 때,
염증이 가득해 대부분의 뼈가 없어져서 상악동 하연과 잔존한 치조골 사이의 뼈가 대부분 사라져있는 그 때와 달리,

노란 선은 임플란트를 심을 수 있는 잇몸뼈 상단의 위치, 노란면은 사용 가능한 잇몸뼈의 양.
임플란트를 제거하고 넉넉히 뼈이식을 해둔 결과, 4개월이 지난 시점에서 잇몸뼈가 가득한 듯한 모습!!

치과용 CT 상에서 모의 수술을 시행하였을 때, 임플란트가 위치할 수 있을만큼
잇몸뼈가 넉넉히 재생되었습니다.
치조골 이식을 하지 않고 기다리기만 해도 뼈가 다 차오르지 않나요?
맞습니다! 어떤 치아를 뽑든 6개월~12개월 정도 기다리면 거의 완벽하게 뼈가 자라오르긴 합니다만,
회복 과정의 결과는 사람마다, 치아가 처해있는 상황마다 매우 다르기 때문에
보다 '예지성있는' 회복 결과를 만들어내기 위해서 치과의사 판단에 따라 발치하면서 뼈이식을 하기도 합니다.
의학, 치의학에서 많이 쓰는 '예지성있다'란,
확률이 높게, 예측이 가능한 정도로 해석하시면 되지 않을까 싶어요.
잇몸뼈가 너무 많이 녹았다 -> 그냥 무작정 기다린다 -> 뼈가 잘 안차서 임플란트 할 수 없을 수 있다.
이런 사고 과정이 아닌
잇몸뼈가 너무 많이 녹았다 -> 이를 빼면서 치조골이식을 해준다 -> 뼈가 차올라서 높은 확률로 양질의 임플란트를 할 수 있다.
이러한 사고 과정으로의 전환입니다.
사람을 치료하는 의학/치의학에서 '예측가능한 치료'를 수행하는 것은 매우 중요하기 때문에,
이를 빼면서 뼈이식을 해둔다는 행위는 그러한 측면에서 우월한 면이 있습니다.

약 4개월이 지난 시점에서,
이식해두었던 뼈이식 재료와, 함께 재생된 새로운 잇몸뼈가 양질의 구성을 이루고 있음을 눈으로 직접 확인 후,

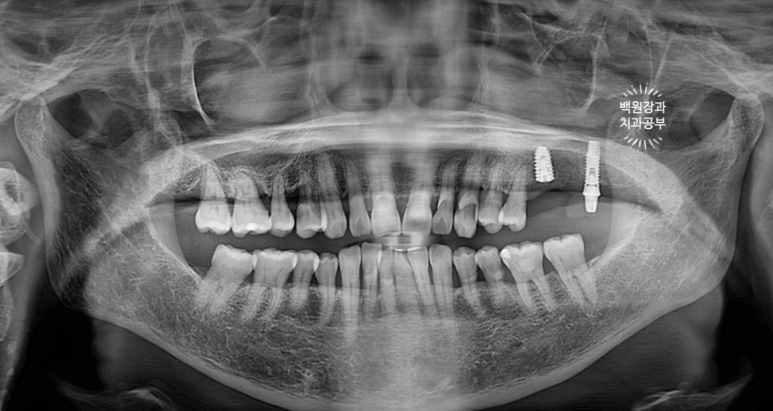
해당 부위에 임플란트를 새로 심어드렸어요.
오스템 TS BA 직경 5.0mm 길이 8.5mm 임플란트를 심어드렸는데,
딱 보시더라도 기존의 임플란트보다 훨씬 두꺼운 것을 보실 수 있을거에요.
큰어금니 부위는 임플란트가 하중을 많이 받기 때문에,
가능한한 두꺼운 임플란트를 심어드리는게 아~주 중요합니다.
얇은 임플란트를 심으면 부러질 가능성이 아주 높아지기 때문이에요.

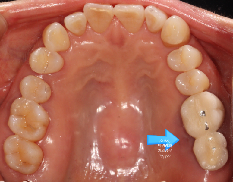
3개월의 치유기간을 가진 후 보시는 바와 같이 새로이 보철물을 제작해 드렸습니다.
약간 이상적이지 않은 형태 같아 보이실 수 있지만!?

입안에서 본 사진 상에서는 상당히 이상적인 지르코니아 크라운 형태로
제작이 잘 되었다는 것 !!
비록 잇몸뼈가 너무 많이 소실된 채로 내원하셔서
치료 기간이 다소 오래 걸리긴 하였으나,
환자분께서 정말 정말 흡족하게 만족하고 잘 사용하고 계십니다.
이번 포스팅을 통해 두가지를 알려드리고 싶었습니다.
- 임플란트와 자연치를 엮어서 보철물을 제작하면 어떻게 되느냐?
저도 이에 대해 교과서로 배우기만 했었는데, 다른 치과에서 치료해 놓으신 것을 보니 그렇게 하면 자연치가 망가져서 절대 하면 안되겠더군요. 치과의사 10n년차에 이렇게 또 배움을 얻었습니다.
임플란트와 자연치를 엮는 것은 금기입니다.
- 어떠한 경우에 치아를 빼면서 동시에 뼈이식을 하느냐?
정해진 것은 없습니다만, 치아의 염증이 커서 주변 치주조직의 파괴된 양이 많아질수록 뼈이식을 하는 것이 유리한 것 같습니다. 역으로, 심한 충치 혹은 파절로 인해 치아를 발치하는 경우 주변 치주조직은 비교적 정상인 경우가 많으므로 치조골이식이 필요 없는 경우가 많으며 오히려 치료 기간만 늘어납니다.
치조골 이식술은 '예지성'있는 치료를 위해 큰 도움이 되어 불가능할 것 같은 임플란트도 가능하게 하지만, 치료 기간이 2-3달 정도 늘어나게 됨은 불가피 합니다. 치과의사의 현명한 판단하에 결정되어야 할 문제입니다.
현실적인 부분에서 치료 비용을 '미리' 받을 수 있어 치과에 유리해 보이기도 하지만, 전적으로 신뢰할 수 있는 치과에서 진단을 받으시고 발치하고 동시에 치조골이식술을 권유 받으셨다면 '꼭' 필요한 경우가 많으니 믿고 치과의사 선생님의 치료 계획을 따라주시기를 바랍니다.
개원 후 시간이 쌓여가고, 감사히도 좋은 소문이 잘 나고 있어서인지 다양한 상황에 처한 환자분들을 많이 뵙게 됩니다. 임플란트 재수술, 전체(전악) 임플란트, 고난이도 뼈이식 임플란트 등 어려운 수술들을 많이 겪게 되면서 한편으로 또 배우고 느끼고 더 훌륭한 치과의사로 거듭나고 있는 기분이에요 :)
항상 공부하고 연구하고 배우며, 환자의 힘듦을 공유하는 치과의사가 되도록 노력하겠습니다.
온라인상으로나마 상담을 원하신다면, 최대한 성실한 답변을 드려보도록 하겠습니다! :)
치료기간은 임플란트 제거부터 봉합사 제거까지 약 8개월 정도 걸렸습니다.
실제로 내원하신 횟수는 14회입니다.
비용이 궁금하신 분들은 댓글을 달아주세요 :) 친절히 안내해드리도록 하겠습니다.
이상 '치아와 임플란트를 연결하면 치아가 망가집니다. 발치 동시 치조골 이식 후 임플란트. 치료과정/치료기간/비용/후기. ' 에 관한 포스팅의 치과 백원장이었습니다. 긴 글 읽어주셔서 감사드리며, 궁금한 점은 언제든지 댓글로 문의해주세요!
더 좋은 포스팅으로 또 찾아뵙겠습니다 ^^
본 포스팅은 환자분의 동의 후 작성하였습니다.
치료 시작: 2022.09.14
치료 완료: 2023.05.13
예상되는 부작용: 술 후 통증과 부종, 술 후 감염, 출혈 등