안녕하세요.
임플란트 장인을 꿈꾸는 치과 백원장입니다. 오늘도 시작하는 백원장과 치과공부!
포스팅하는 증례는 환자분들의 동의 후 주치의가 직접 작성하는 포스팅입니다.!!

제가 트레이닝을 받았던 연세대학교 치과대학병원 치주과에서
레지던트 시절 펠로우 선생님의 주도로,
임플란트의 바이블같은 책을 만들기 위해 (!?!??!?!?!) 한가지 주제로 3년동안 공부한 적이 있습니다..
이름하여.....
임플란트 주변 유리치은이식술
(Free gingiva graft)
아주 이름만 들어도 엄청나게 어려운 주제입니다.
근 50년 동안의 연구를 열심히 탐색하며, 나름의 진리를 깨닫게 되었는데요...
그 깨달음은 결국.....


2016년 대한치과의사협회지 논문에 수록되게 됩니다.
정의원 지도교수님을 비롯, 당시 함께했던 교수님들의 성함을 보니 감회가 새롭네요.ㅎㅎ
유리치은이식술이 무엇인가?
이 블로그를 읽고 계신 분들은..
아마도 임플란트 수술 할 때 잇몸이식을 권유받은 분들이라고 생각합니다.
사실 유리치은이식술 (잇몸이식술)의 필요성을 이해하고 있는 의사도, 할 줄 아는 의사도 거의 없을거에요.
치과대학병원에서 치주과 전문의만 주로 하게되는 술식이니깐요.
일단 뭔지 알아야되겠죠?

google.com
거울을 들고 각자의 입 안을 보시면, 잇몸이 두 가지 형태를 갖고 있는 것을 보실 수 있을거에요.
-
Attached gingiva (부착치은) : 치아 주변에 존재하는 각화된 단단한 잇몸.
-
Alveolar mucosa (치조점막) : 부착치은 하방의 점막.
** Muco-gingival line (muco-gingival junction = MGJ) : 부착치은, 치조점막의 경계를 일컫는 말.
쉽죠?
치아 주변에는 비교적 단단한 잇몸이 있고, 이 잇몸이 있음으로 인해 단단한 것도 편하게 씹을 수 있습니다.
물론 양치질도 가능하죠. 단단한 잇몸은 치아 주변에 음식이 끼지 않도록 도와주기도 합니다.
이 단단한 잇몸이 어느 순간부터 볼 살로 변하게 되는데요, 그 경계를 바로 MGJ 라고 합니다.
치아를 잃게 되면, 주변의 부착치은이 사라집니다.
치아 주변의 잇몸이든 치아 주변의 뼈든, 치아를 상실하면 그 조직들은 이제 사라지기 시작합니다.
즉, 부착치은이 많이 사라져버리게 되고 대부분 치조점막으로 대체되지요.
그러면 이제 아래 (a) 그림처럼 됩니다.

출처: 대한치과의사협회지 2016. 4 저자: 백원선 외
특히 아래 어금니를 뽑고나면 현저하게 사라져 버리는 단단한 잇몸을 보실 수 있습니다.
이 때, 그 부위에 단단한 잇몸을 이식하는 것.
그것이 바로 유리치은이식술 (Free gingival graft = FGG) 입니다.
유리치은이식술에서 단단한 잇몸은 어디서 구하는가?
입 안에 단단한 잇몸이 많은 곳이 있습니다.
바로... 입천장이죠?
입천장은 모두 각화치은으로 구성되어 있고, 약 3mm의 두께를 갖습니다.
이 부위에서 필요한 만큼 약 1mm 두께로 잇몸을 빌려오게 됩니다.
유리치은이식술... 안하면 안되는지?
어금니 임플란트를 할 때, 주변에 잇몸이식수술 (유리치은이식술)을 꼭 해야하느냐고 늘 물으시죠.
정답은?
사실, 필수적이지는 않다!! 입니다.
그 어떤 논문에서도 '반드시' 필요하다고 하지 않아요.
왜냐면, 단단한 잇몸이 없다고 해서 임플란트가 제 기능을 못한다던지 염증이 생기고 그러는게 아니기 때문이죠.
다만, '충분히' 이득을 얻을 수 있는 것들은 알고 계셔야 합니다.
그리고 굳이 이러한 수술을 하자고 말을 하는 치과의사의 선한 마음을 이해하셔야 합니다.
(보통 받을 수 있는 비용 대비 수술이 어렵고 오래걸리거든요.)
유리치은이식술... 해놓고 나면 얻어지는 이득?
입천장에서 잇몸을 빌려와 아래 어금니에 이식수술을 하다니..
사실 저처럼 숙련된 치주과 전문의는 30분도 안걸리는 수술입니다.
그래서 반드시 권해드리고 싶은데요,
이득이라고 하면,
- 단단한 잇몸이 많아지니 밥먹을 때, 양치질 할 때 아플일이 훨씬 줄어듭니다.
- 생각해보시면.. 임플란트 주변의 잇몸이 볼살과도 같은 점막이라면 양치질 하기가 엄청 힘들거에요.
- 밥을 먹을 때 움직이지 않는 잇몸이 있으니 음식이 덜 낍니다.
- 주변이 물렁한 볼살로 이루어져 있는 것보다, 단단한 잇몸으로 구성되면 밥먹을 때 움직이지 않아 음식이 덜 끼고, 그 결과 임플란트 주변 염증이 훨씬 덜 생깁니다.
- 임플란트 주위염이 현저히 줄어듭니다.
- 앞서 이야기 해드린대로 임플란트 주변 염증이 훨씬 줄어드니 임플란트 주위염 (임플란트 주위 풍치) 발생 가능성이 현저히 줄어듭니다.
유리치은이식술!
필요성을 이해하고, 수술을 할 줄 의사만 권유할 줄 아는 수술!
전국의 모든 치과대학에서 본과 2학년 '치주과학' 시간에 유리치은이식술을 배웁니다.
그렇지만 솔직히.. 필요성을 이해할 수 있을만큼 깊이 배우지 않을 뿐더러
수술을 할 줄 모르는건 당연지사...
그래서 이렇게 장점이 많고 필요한 수술임에도 불구하고, 대부분의 환자분들이 설명을 제대로 이해하지도 못하고 치료의 기회를 많이 놓치게 됩니다. 너무 안타깝죠.
임플란트 치료를 받기 전에 치주과 전문의를 찾아가시면 많은 도움을 얻을 수 있습니다.
유리치은이식술
한 번 보도록 합시다.

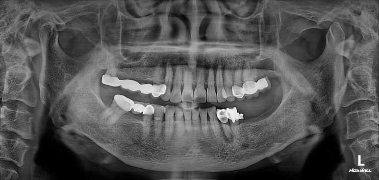
저희 병원에 작년에 오셨던 여자환자분입니다.
왼쪽 아래 어금니가 2개가 없으신 것을 아실 수 있으실텐데,
그 자리에 편측 틀니를 쓰고 계셨고, 너무너무 불편하여 임플란트로 치료 받으러 내원하셨습니다.


왼쪽 아래 큰어금니 두개가 없었고,
교합면 사진을 보시면, 앞의 두 치아에 surveyed crown (서베이드 크라운)을 설치하고 부분 틀니를 사용하게 하심을 단번에 알 수 있었습니다.
중요한 것은 해당 부위의 대구치 두 개를 뽑은지가 너무 오래되셨고, 틀니를 사용하셔서
대부분의 부착치은 (각화치은)이 사라져 있는 상태였습니다.
그래서 유리치은 이식술을 강하게 권유드렸고, 환자분이 다행히도 필요성을 이해해주셨어요.
(치료를 하겠다고 하는 말이 이렇게 기쁠줄야!?)
치과의사로써 꼭 해야하는 치료를 진심으로 권해드릴 때, 환자분이 흔쾌히 치료를 따라오시면 그렇게 행복할 수 없습니다....
왼쪽 아래 작은 어금니 두개를 뽑았습니다.
그리고 플렉서블 임시틀니 (Flexible denture)를 전달해드렸습니다.


큰 어금니 앞에 씌워져 있던 두 작은어금니도 잇몸이 모두 망가져 있었기에,
위에서 보시는 Flexible denture를 미리 준비하고 두 치아를 뽑았습니다.
Flexible denture는 쇠가 하나도 들어가있지 않고,
유연함을 갖고 있는 임시틀니로
심미적으로 최상의 결과가 필요한 분들이 선택하는 프리미엄 임시틀니입니다.
(아무 치과에서 만들어주지 않아요!!!!!)
저희 병원에서는 거의 원가에 가까운 30만원을 받고 있어요..

이렇게 앞에서 봤을 때 생각보다 티가 안나서 충격적입니다.
근데 가만 보시면 생각보다 임시틀니를 어렵지 않게 구별하실 수 있죠.
약 6주 후 왼쪽 아래 어금니 부위에 뼈이식을 동반하여
임플란트 1차 수술을 시행하였습니다.

왼쪽 아래 네 개의 어금니를 만들어 드려야 했기에, 과반수가 넘는 3개의 임플란트 수술을 계획하였습니다.
#34,36,37 자리에 임플란트를 식립할 예정이었어요.

#34번 부위는 임플란트를 위치시키고 나면 협측으로 뼈이식을 반드시 넉넉하게 해야할 모양새였습니다.

비교적 뽑은지 오래되었던 #36,37 치아는 잇몸뼈가 넉넉하게 보였습니다.

두 큰어금니 부위는 하치조신경관(아래이틀신경)만 조심해서 적절한 임플란트를 심어놓으면 되었습니다.
임플란트 1차수술


이렇게 예쁘게 3개의 임플란트를 심어드렸습니다.
뼈이식을 하여야 하는 경우의 임플란트 1차 수술은
치유지대주가 (healing abutment) 아닌 커버스크류(coverscrew)를 장착한채로 마무리 됩니다.
요새 강남의 임플란트가 엄청 저렴한 치과들은 필요없는 뼈이식도 해가며 돈을 벌고 있는데요,
동네 치과는 정직함이 생명입니다.
임플란트 2차수술 (3달 경과 후)
- 유리치은이식술 (free ginigval graft)
임플란트 1차수술을 마치고 정확이 3개월 뒤에 임플란트 2차수술을 시행하였습니다.
임플란트 2차수술을 하는 바로 이 시기가 유리치은이식술 (FGG)을 하기에 가장 좋은 시기입니다.

먼저 부분층 판막 (partial thickness flap)을 예쁘게 형성하여,
골막이 드러나는 환경을 만들어 줍니다.

원하는 크기를 선택하여 치유지대주를 연결해 줍니다.
부분층 판막을 형성하였기 때문에, 사실 가만히 두면 부착치은이 되어 회복될 것입니다만
어떤 퀄리티로 치유가 완성될지 모르는 불명확한 상황이므로 유리치은이식술이 최고입니다.


앞서 보셨던 제 논문과도 같이,
골막 상방에 입천장에서 채득한 두께 1mm의 얇은 유리치은을 이용하여 유리치은이식술을 시행해줍니다.
많이 꿰매지 않기 때문에 시간이 오래걸리지는 않아요.
잇몸이식수술이 완료되고 나면, 수술 부위를 보호하기 위해 치주팩을 설치해줍니다.
유리치은 이식술 후 봉합사 제거

약 2주 후 치유 경과입니다.
처음보다 훨씬 조화로운 색을 갖고 있고, 특이하게도 이식한 입천장 시편은 더 빨간듯한 모습을 보여줍니다.
왜냐면 재혈관화가 이루어지고 있기 때문입니다.!!

잇몸이식수술을 하고, 실밥을 제거하고 약 2주일 뒤에 임플란트 인상채득을 시행하였습니다.
쉽게 말해 뽄을 떴습니다.
치주과 전문의에게 유리치은이식술은 너무 너무 루틴한 수술입니다.

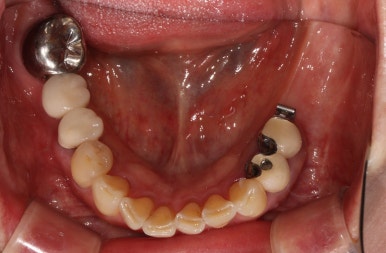
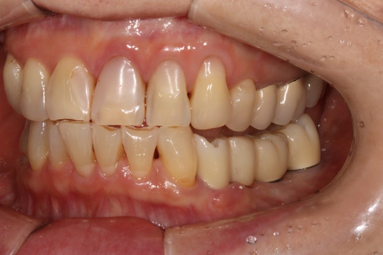
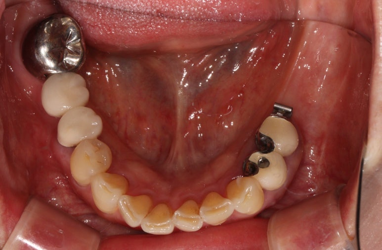
왼쪽 아래 어금니의 임플란트 보철물을 모두 만들고 나서의 임상 사진입니다.
자세히 보시면, 맨 뒤 어금니의 바깥쪽으로 단단하게 보이는 부착치은 (각화치은)이 잘 생착되어 있는 것을 보실 수 있어요!!

비록 많은 양은 아닙니다만,
이 최소한의 2-3mm 폭의 단단한 잇몸은
편하게 양치질을 하게 해주고, 임플란트 주변에 음식물이 끼는 것을 최대한으로 막아준답니다.
그래서 임플란트 주위염의 발생 가능성을 현저히 낮추고, 결과적으로 어금니 임플란트를 오래 쓸 수 있게 해주죠.

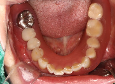
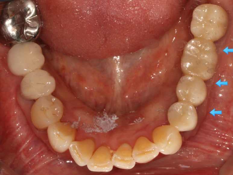
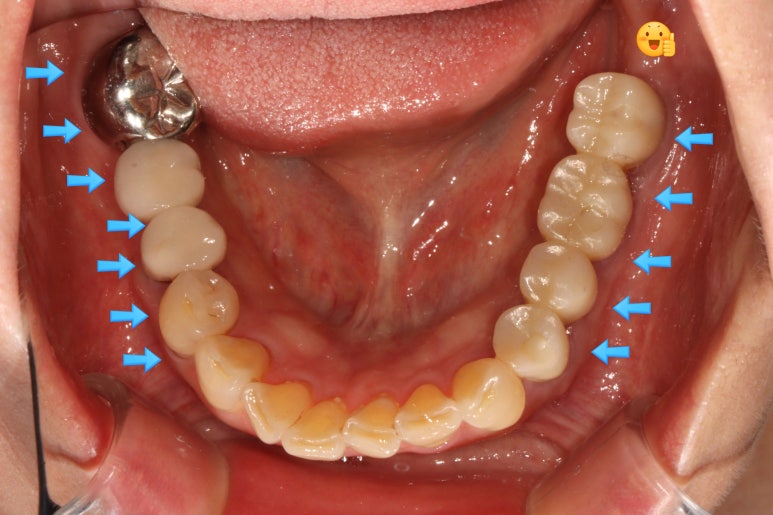
치료 완료 후 단단한 잇몸과 볼점막의 경계인 MGJ를 화살표로 표시해 보았는데요,

처음 오셨을 때의 사진을 참고해보시면 이해가 편하실거에요.
아무 치료도 하지 않고 브릿지로 치료가 되어있던 부분은 단단한 잇몸이 하나도 없이 대부분 볼점막의 경계를 갖고 있습니다만,
제가 유리치은이식술을 하면서 지르코니아 임플란트 크라운을 제작해드렸던 부분은
이식해놓은 단단한 잇몸이 아주 깔끔하게 자리잡으며 최적의 컨디션을 보여주고 있습니다.

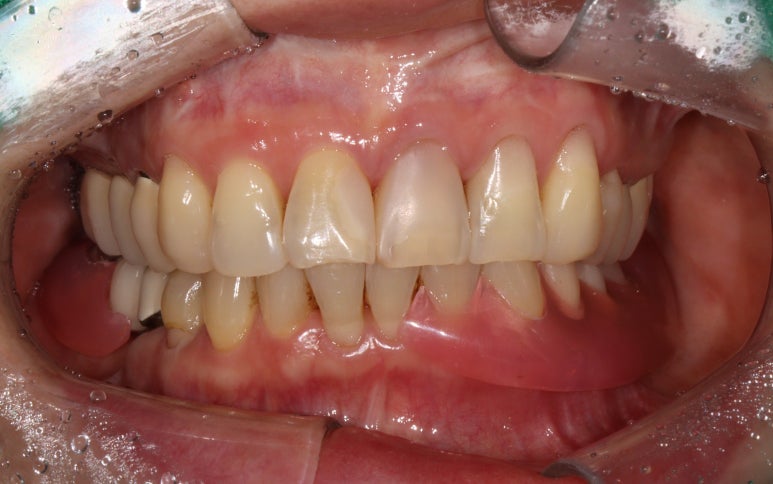
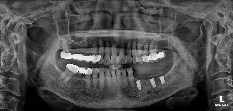
마무리는 갈끔한 엑스레이 사진으로 !!!
자연치 저작기능의 30%도 가져갈 수 없는 한쪽 틀니에서,
임플란트로 교체하시면서 씹어먹는 기능에 대해 큰 만족도를 표하셔서 너무 기뻤습니다.
저희 치과는 임플란트와 잇몸뼈도 생각하지만, 눈에 보이는 잇몸조직까지도 고려해서 치료계획을 수립하는 치과입니다.
직관적으로 눈에 보이지 않는 것을 설명하고, 이해시키고, 치료하는 것은 정말 어려운 일입니다.
보통 치과를 방문하시는 가장 많은 이유 중 하나가 충치 (치아우식증) 입니다.
딱 보기에도 치아가 까맣게 썩어있으니, 치료를 받으시러 오신 분도 그 필요성을 완전 이해하고 계시죠.
사실 잇몸이 조금 붓고 피난다고 해서 치과에 바로 오시는 분들은 드물어요..
그래서 정말 잇몸이 땡땡 붓고 이가 흔들리고 아파서 오시면.. 이미 풍치 (만성치주염)가 한창 진행된 상태이고 결국 5개 6개씩 치아를 빼게 되는 경우가 허다합니다...
비슷한 논리로 만성치주염 치료의 필요성을 주지시키는 것이 너무 어렵습니다. 많이 안아프니깐요..
그런 의미에서 크랙이 의심가는 균열치아는 가장 환자분들을 이해시키기 어려운 치료입니다.
치아에 있는 실금은 잘 보이지도 않고 증명해내기는 더 어려운데,
환자분을은 씹을 때마다 찌릿하다는 등 꽤나 큰 통증을 호소하시니.. 치료 과정을 설명하고 이해시키기가 상당히 난이도가 있는 편이죠.. 그래서 분쟁도 종종 일어난다고 들었습니다.
제 생각에 이번 포스팅의 주제인 '유리치은이식술'이 치료의 필요성을 설명하기가 가장 힘든 치료 같습니다.
-
유리치은 이식술을 받아보신 분들이 별로 없죠? 남들 안하는 치료 하고 싶지 않은게 인간의 본성...
-
항상 인생 첫 임플란트를 저한테 하러 오시는게 아니니, 저번처럼 그냥 임플란트만 심으면 될 것 같은데 불필요한 치료를 권한다고 생각하시는 것.... 한국 사회의 신뢰의 문제인가 ..ㅠㅠ
-
신촌세브란스병원 치주과에서 근무 당시 약 50만원 정도 받았던 치료입니다. 비록 지금은 그것보다도 더 낮은 비용을 받고 있지만.. 비용이 추가되는 것도 대부분 부담스러워 하시죠. 사보험 적용도 보통 어렵고...
임플란트 주변에 뼈이식 해야한다는 말은 실제로 잘 와닿아 하시는 것 같습니다.
그렇지만 한편으로, 치료가 끝나고 내 눈에 보이는 것은 '잇몸'입니다.
그만큼 잇몸의 조성과 형태가 앞으로의 임플란트 쓰임에 있어서 너무나도 중요하다는 뜻이죠!!
만약 이 글을 읽고 계신 분들 중 유리치은이식술 (잇몸이식술)을 권유받으신 분이 있으시다면........
논문에 나오는 이 어려운 치료를 이해하고 있고 권유하는 치과의사 선생님을 받고 꼭 받아보시길 바랍니다!!
너무나도 정성 가득한 조언이었을테니깐요..
항상 공부하고 연구하고 배우며, 환자의 힘듦을 공유하는 치과의사가 되도록 노력하겠습니다.
온라인상으로나마 상담을 원하신다면, 최대한 성실한 답변을 드려보도록 하겠습니다! :)
치료기간은 발치치부터 임플란트 완성까지 약 9개월 정도 걸렸습니다.
실제로 내원하신 횟수는 12회입니다.
비용이 궁금하신 분들은 댓글을 달아주세요 :) 친절히 안내해드리도록 하겠습니다.
이상 '어금니 임플란트 주변 잇몸이식수술 - 저는 꼭 해야한다고 생각합니다. (feat. 대한치과의사협회 논문) ' 에 관한 포스팅의 치과 백원장이었습니다. 긴 글 읽어주셔서 감사드리며, 궁금한 점은 언제든지 댓글로 문의해주세요!
더 좋은 포스팅으로 또 찾아뵙겠습니다 ^^
본 포스팅은 환자분의 동의 후 작성하였습니다.
치료 시작: 2022.09.07
치료 완료: 2023.05.26
예상되는 부작용: 술 후 통증과 부종, 술 후 감염, 출혈 등