아카이브 요약
이 페이지의 역할
레브치과의원 강남점의 네이버 블로그 원문을 보존한 아카이브 페이지입니다. 이웃공개 치과컨텐츠 카테고리의 임플란트장인의 마음으로 8개월간 전체임플란트 완성. 치주과 전문의. 글을 통해 병원의 한국어 정보 제공 방식과 진료 관련 안내 톤을 확인할 수 있습니다.
원문 검증
필요하면 원문 블로그와 병원 프로필로 바로 이동해 문맥을 다시 확인할 수 있습니다.
출처 아카이브 열기아카이브된 블로그 글
레브치과의원 강남점 · 레브치과 백원장의 인생 브이로그
안녕하세요. 임플란트 장인을 꿈꾸는 치과 백원장입니다. 임플란트는 치과 백원장이죠? 포스팅하는 증례는 환자분들의 동의 후 주치의가 직접 작성하는 포스팅입니다.!! 오늘 소개해드려볼 케이스는 너무나도 치료결과가 좋았던 전체 임플란트 환자분입니다. 임플란트를 많이 하셔야 하는 분들이 어디서 치료 받을지, 비용은 얼...
게시일
2023년 9월 6일
원문 기준으로 확인된 발행일입니다.
카테고리
이웃공개 치과컨텐츠
원문 블로그 카테고리를 정리해 함께 표시합니다.
이미지 수
33
현재 아카이브에 연결된 이미지 수입니다.
아카이브 요약
레브치과의원 강남점의 네이버 블로그 원문을 보존한 아카이브 페이지입니다. 이웃공개 치과컨텐츠 카테고리의 임플란트장인의 마음으로 8개월간 전체임플란트 완성. 치주과 전문의. 글을 통해 병원의 한국어 정보 제공 방식과 진료 관련 안내 톤을 확인할 수 있습니다.
원문 검증
필요하면 원문 블로그와 병원 프로필로 바로 이동해 문맥을 다시 확인할 수 있습니다.
출처 아카이브 열기안녕하세요.
임플란트 장인을 꿈꾸는 치과 백원장입니다. 임플란트는 치과 백원장이죠?
포스팅하는 증례는 환자분들의 동의 후 주치의가 직접 작성하는 포스팅입니다.!!
오늘 소개해드려볼 케이스는 너무나도 치료결과가 좋았던 전체 임플란트 환자분입니다.
임플란트를 많이 하셔야 하는 분들이 어디서 치료 받을지, 비용은 얼마나 내야할지 고민이 엄청 많으실텐데요..
치주과 전문의, 보철과 전문의가 상주하고 있는 저희 치과에서는
이렇게 치료하고 있다는 것을 보여드리고 싶었습니다.

위아래 전체 임플란트
그리고 교합재형성
(Full arch rehabilitation)

60대 남자 환자분이셨습니다.
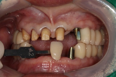
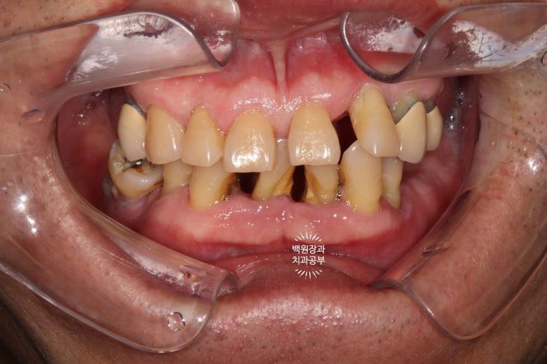
처음 저희 병원에 오셨을 때, 치아가 총 15개셨네요. 그렇지만 쓸 수 있는 치아가 많지는 않았습니다.

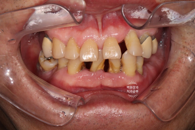
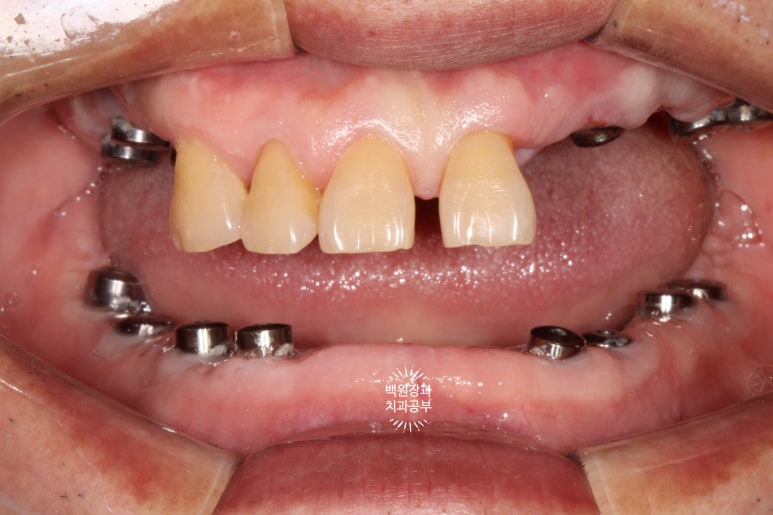
정면에서 찍어본 구강 내 사진 소견입니다.
다수의 치은연상치석, 치은연하치석이 침착되어 있고, 만성치주염으로 인해 치아가 제 위치를 상실하여,
치아의 병적이동 (pathologic migration)을 하고 있는 중이었죠.
풍치가 심해서 만성치주염을 오래 앓으신 분들은 치아 사이가 벌어져 심미적으로 불리한 모습을 많이 보이십니다.
게다가, 어금니들도 씹는 면끼리 물리지 못해서 이제 식사도 어려우신 상황이었어요.


저희 치과에 오시면, 첫 날 입 안 사진을 보여드리면서 어디가 문제인지 세심하게 설명해드립니다!! 대표원장인 제가 이렇게 조목조목 말씀드리는걸 좋아하시더라구요~


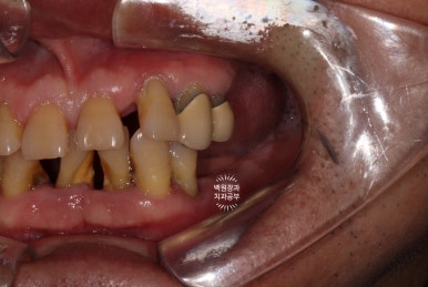
구강내 교합면 사진입니다.
파노라마 엑스레이상에서 많은 치아가 있어보이지만,
실제로 대부분의 치아는 많은 양의 치석이 침착되어 만성치주염의 주소견인 흔들림을 보여주고 있었습니다.
오스템임플란트의 네비게이션 수술 (원가이드 수술)을 이용한
전체 임플란트 수술을 계획하였습니다.
일단 가장 먼저 할 일은 제거해야할 치아는 제거해야한다는 것입니다.
어떤 치아를 뽑을지에 대하여 치과의사 선생님들에 따라 의견이 다를 수 있습니다만,
저희 치과에서는 치주과 전문의인 저와 보철과 전문의 선생님이 함께 의논하여 정하고 있습니다.
치주학적으로 예후가 좋지 않아 발치하는 치아는? 주로 흔들거리는 치아입니다.
치주염을 겪고 있는 치아는 제 자리에 있지 않아 저작기능이 부족하고, 주변 치아 혹은 임플란트에도 지속적인 영향을 주기 때문에 어느 정도 이상 수명이 다 된 치아는 제거하게 됩니다.
보철학적으로 예후가 좋지 않아 발치하는 치아는? 제가 느끼기엔 살리는 것 보다 제거하면 더 득이 되는 치아입니다.
어차피 여러개의 치아 / 혹은 임플란트를 치료하여 최종적으로 밥을 잘 먹게 해드려야 하는 상황에서,
애매한 위치에 있어 예쁘지 않은 결과물을 만들다던지, 조만간 망가질 것 같은 치아는 둘 필요가 없겠죠.
그래서 결론적으론.... 치주과 전문의와 보철과 전문의 상의 하 '합집합'으로 치아를 제거하게 되는 것 같습니다.
(물론 최대한 자기치아를 유지하고자 노력합니다. 최고의 치아는 당연히 자기치아입니다.!!!!!)
네비게이션 수술은 어떤 것인가요?

뽑을 치아를 뽑고, 구강스캐너를 이용하여 전체 데이터를 오스템임플란트에 보내주면,
주치의인 저와 상의하여 가상의 모의수술을 컴퓨터 상으로 진행하게 됩니다.


결과적으로 어떤 위치에 어떤 깊이로 어떤 크기의 임플란트를 심을지 결정하고,
그 것을 구현해줄 수 있는 수술 장치를 만들게 되죠.
연세대학교 치과대학병원에서 레지던트로 수련을 받던 시절엔, guided surgery라고 불렀습니다. ㅎㅎㅎ
(이젠 많이 보편화 되었지만서도요~)
임플란트 수술은 주로 위턱부터 합니다.
왜냐하면, 위턱뼈가 아래턱뼈에 비해 상대적으로 무르기 때문에,
임플란트 수술을 하고나서 치유기간을 한 달 정도 더 부여하기 때문입니다.
다 같이 끝나려면, 오래 기다려야 하는 부위부터 임플란트 수술을 받으셔야겠죠?

수술을 하기 전에 아까 언급되었던 네비게이션 장치가 잘 맞는지 먼저 입안에 시적해봅니다.
오스템임플란트.. 역시 대기업답게 네비게이션 임플란트도 상당히 시스템을 잘 구축해 놓았어요.!!
만약, 다수의 임플란트 수술을 하신다면... 개인적으로는 오스템임플란트를 추천드리는 바입니다..ㅎㅎ


치주염으로 다수의 치아를 발치하셨던 환자분들은
기존의 만성치주염으로 인해 본인의 잇몸뼈를 많이 잃으셨던 분들이기에,
다수의 치아에 뼈이식이 필요하게 됩니다.
이로 인해 치조골 이식술 (골유도재생술) 부터 상악동 골이식술, 블록본 이식술 등 여러 수술 테크닉이 동반되게 되죠.
생각보다 엄청난 공이 들어가는 수술입니다 !! 전문가의 섬세한 손길이 필요한 :)

수술 하고 봉합 후 사진입니다!
으... 너무 아파보인다 ㅠㅠ 라고 많이들 생각하시지만,
실제로 마취를 넉넉히 하고 하기 때문에 하나도 아프지 않습니다........
보통 이를 빼는 것보다 임플란트 수술이 덜 아프다고들 하세요!

위턱 임플란트 수술 직후 파노라마 엑스레이 사진입니다.
처음 오셨을 때 갖고 계셨던 치아 중 흔들리지 않고, 비교적 제 위치를 잘 유지하고 있던 위턱 앞니 네개만 남겨놓았었네요...
건강한 사람은 위턱치아 14개, 아래턱치아 14개 총 28개의 치아를 갖고 살아갑니다.
그를 위해 위턱에 총 7개의 임플란트를 심어드렸었네요.
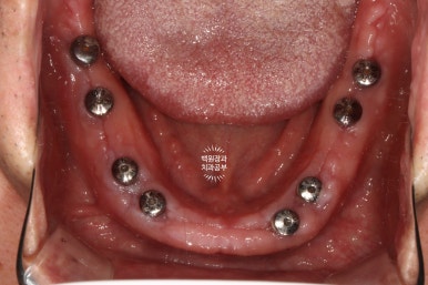
한 달쯤 지나 아래턱 임플란트 수술을 합니다.

비슷한 과정이기에, 무서운 수술 과정은 생략하겠습니다..!.....
아래는 치아가 하나도 없는 상태셔서... 14개의 치아를 만들어드리기 위해 총 8개의 임플란트를 심어드렸습니다.
센스 있는 분들은 눈치채셨을 수도 있는데, 위 아래의 임플란트가 생긴게 좀 다르죠?
위턱은 잇몸 안에 임플란트가 다 들어가 있는 상태입니다. 뼈이식을 동반하였기 때문입니다.
(뼈이식 재료가 밖으로 쏟아져 나오면 안되잖아요!!)
아래턱의 경우 뼈 상태가 워낙 튼튼하니 좋으셨고, 뼈이식이 많이 필요하지 않아 치유지대주까지 연결해드렸습니다.
즉, 위턱은 임플란트 1차수술까지 진행된 것이고 아래턱은 임플란트 1차수술,2차수술이 한 번에 모두 완료된 상태!


왼쪽: 위턱 수술 1달 후, 오른쪽: 아래턱 수술 1달 후
한달 쯤 지난 후 보시면, 위턱은 잇몸만이 보이고 깨끗하게 아물어 있는 것을 보실 수 있고,
아래턱은 치유지대주 (healing abutment) 주변으로 잇몸이 깨끗하게 아물어 있는 것을 보실 수 있죠.
위턱 임플란트도 치유지대주 연결을 위한 임플란트 2차수술을 합니다.

임플란트 2차수술은 사실 1차수술에 비하면 훨씬 간단한 수술입니다!
제가 저번에 포스팅했던, 임플란트 주변 잇몸이식술 (유리치은이식술, free gingiva graft) 등의 수술이 부가적으로 시행되지 않는 한 임플란트 2차 수술은 약간의 잇몸 성형이라고 생각하시면 됩니다!..

위아래 임플란트에 모두 치유지대주를 연결시켜드렸습니다.
조금 사이보그 (?!) 같긴 하지만.. 이제 어느 정도 치료의 끝이 보이네요~!
임플란트에 기둥을 연결하고, 임시치아를 붙여 저작 연습을 해봅니다!
임플란트들이 내 잇몸뼈와 잘 결합이 된다면, 이제 슬슬 밥먹는 연습을 해보실 시간입니다.
저는 재활치료라고 표현하는데요... 결국 입은 머리 안에 있는 구조물이고, 상당히 민감하기 때문에 연습을 하면서 익숙해지시는 시간이 필요하지요.

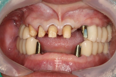
기존에 있었던 모든 임플란트에 맞춤형 지대주 (custom abutment)를 연결해드리고,
상부에 임시치아를 붙여드리게 됩니다.
임시치아는 레진 재질로 되어 있고 (손톱에 하는 네일아트도 레진이죠? 플라스틱입니다.) 왠만한 식사는 레진 치아로 하실 수 있습니다.

임시치아를 붙여드린 뒤 사진입니다.
네개만 남은 앞니도 임시치아로 함께 제작해 드렸어요.
1달 정도 사용 하신 뒤 찍은 사진이라 색상이 조금 좋진 않지만.... 최종보철물은 다를겁니다.!!!
자세히 보시면 임플란트 맞춤형 지대주의 티타늄 색깔이 조금 비춰보이는 곳들이 있네요?
이런 곳들도 세심하게 잡아내어 수정을 해드릴겁니다.


그래도 나름 그럴싸하게 씹을 수 있도록 교합면도 어느 정도 재현해 드린답니다.
슬슬 예쁘게 완성되어가는 느낌이 나시나요?
저작 연습은 2~4주 정도 하시게 되고, 이제 최종 보철물로 교체해드릴 시간입니다.
임플란트는 모든 치아가 따로따로 제작되지 않고,
주로 위턱 3피스, 아래턱 3피스로 제작한답니다.


임시치아를 사용하면서, 어금니 임플란트 임시치아가 자꾸 깨져나가서,
(씹는 힘이 너무 쎄셔서)
어금니를 먼저 최종 보철물로 바꿔드렸고,
어르신께서 앞니를 가장 덜 (?) 신경쓰셔서 앞니를 마지막에 제작하게 되었습니다.
남아있던 4개의 치아는 새로운 형태를 갖기 위해 지대치삭제가 되어 있는 상태입니다.
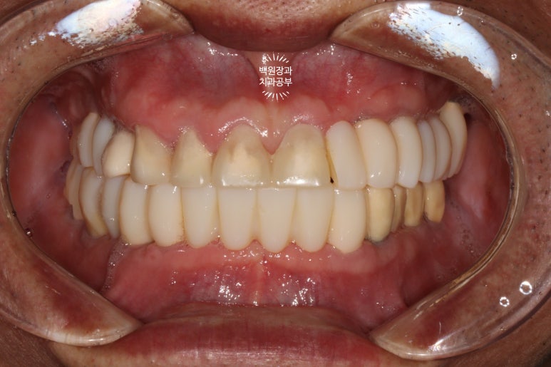
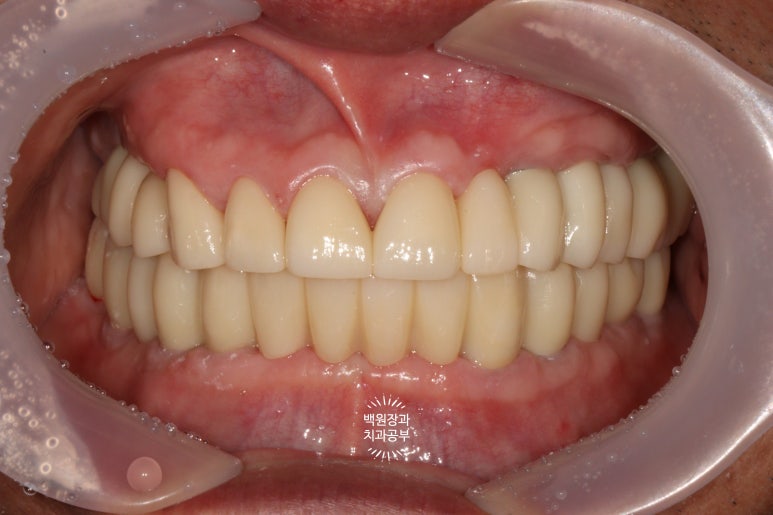
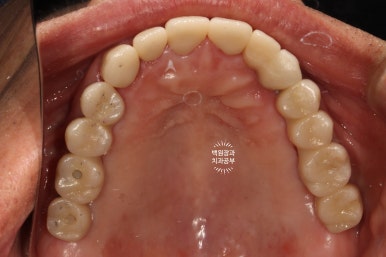
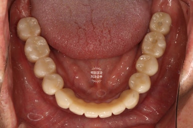
대망의 최종 보철물 완성 후!!!

최종 보철물로 완전히 교체 후 구강내 사진입니다.
순차적으로 포스팅을 읽으신 분들은... 첫 모습을 이미 까먹으셨을텐데요...

처음 내원시 구강내 사진을 생각하신다면!!! 정말 놀라운 변화가 아닐 수 없죠...
제자리를 잃어버렸던 치아들이 모두 가지런하게 되었고,
치아 사이의 벌어진 틈은 지르코니아 보철물을 이용해서 모두 깔끔하게 채워드렸으며,
치아의 색상 또한 60대 남자 환자분의 피부색에 맞추어 어울리게 그리고 화사하게 바꿔드린 상태입니다.
금속색 하나 비춰보이는 것 없이 완벽하네요....
역시 저희 치과의 보철과 전문의 원장님의 장인정신은 혀를 내두를만 합니다.


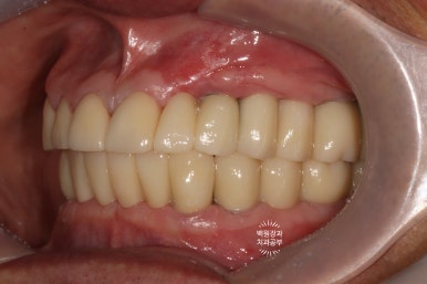
최종보철물 완성 후 측면사진입니다.
임플란트가 저렇게 지그재그로 완벽하게 물리기 쉽지 않습니다.....
환자분의 인내심과 의료진의 노력으로 만들어낸 결과입니다.


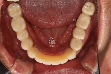
구강내 교합면 사진입니다.
모든 치아가 지르코니아 크라운으로 제작되어, 진짜 자연치같은 형태를 재현해내고 있습니다.
지르코니아 크라운운 캐드캠으로 제작되기 때문에 상당히 자연치와 유사한 형태와 색감을 냅니다.
임상적으로 아주 만족스러운 결과네요.

마지막 치과용 파노라마도 촬영해보아야겠죠?
가장 중요한 것은 아주 적절한 위치에 적절한 방향으로 임플란트가 위치하고 있다는 점입니다.
이것이 네비게이션 임플란트의 가장 큰 장점이라고 할 수 있습니다!!!
의료진의 경험을 컴퓨터 기술의 정밀함이 보완함으로써 최상의 결과를 가져오는 치료입니다.
임플란트를 3개 이상 수술 받으셔야 한다면.. 네비게이션 임플란트를 권해드립니다. 그리고 꼭 경험 많으신 치과의사 선생님을 찾아가세요.
제가 신촌세브란스병원 치주과 레지던트 때, 교수님이 항상 불만이라고 말씀하셨던 점이 있습니다.
'환자들은 임플란트를 여러개 한다고 더 깎아달라는데, 실제로는 여러개가 몇 곱절 더 어렵다'
격히 공감하는 바입니다.
사실 가장 쉬운 경우가 임플란트 1개 치료받는 환자분 입니다.
일단 집중하여 할 범위가 적고, 수술 시간도 짧기 때문에... 1개 치료받는 분 3분이 3개 치료받는 분 1분보다 난이도는 더 쉽다고 하는게 맞을거에요.
그런데 임플란트가 보여드렸던 환자분처럼 8개, 9개, 10개 이상으로 늘어나게 되면,
치료기간이 늘어날 뿐만 아니라,
이제는 나무만 보는 것이 아닌 숲을 보는 치료를 해야되는 상황이 되죠...
다수의 임플란트 치료를 받아야만 하는 분이라면, 그래서 더더욱 동네치과에서 치료받기가 어렵습니다.
한편으로는 너무 큰 치과에서는 솔직한 세심한 케어가 어렵죠 ^^;;
치료 받는 약 8개월 동안의 임시 틀니 사용에 대한 케어부터 시작해서,
수술 시간을 줄이기 위한 네비게이션 임플란트 장치의 사용과 그 이후의 적절한 대처,
치아를 만들고 만들어진 치아가 너무 높지는 않은지, 볼이나 혀가 씹히지는 않는지 모양은 만족스러운지 등
생각보다 여러 포인트에서 세심한 주의가 필요하기 때문에 이렇게 마스터피스 전체임플란트. 정말 쉽지 않습니다!
치의학박사, 치주과전문의, 청와대 근무, 제19대 대통령주치의 등등.. 많은 수식어들이 있는 저지만,
실제로 어떠한 치료가 어떻게 이루어지는지에 대해 한 번 보여드리고 싶었어요!
아무쪼록 전체 임플란트의 과정에 대해 개념을 잡아가시는데 도움이 되셨길 바라며,
워낙 복잡하고 어려운 치료이기 때문에 어떠한 궁금증이라도 질문하시면 답변해드릴 수 있도록 노력하겠습니다 :)
항상 공부하고 연구하고 배우며, 환자의 힘듦을 공유하는 치과의사가 되도록 노력하겠습니다.
온라인상으로나마 상담을 원하신다면, 최대한 성실한 답변을 드려보도록 하겠습니다! :)
치료기간은 발치치부터 임플란트 완성까지 약 8개월 정도 걸렸습니다.
실제로 내원하신 횟수는 25회입니다.
비용이 궁금하신 분들은 댓글을 달아주세요 :) 친절히 안내해드리도록 하겠습니다.
이상 '임플란트 장인의 마음으로 8개월간 전체임플란트 완성. 치주과 전문의. ' 에 관한 포스팅의 치과 백원장이었습니다. 긴 글 읽어주셔서 감사드리며, 궁금한 점은 언제든지 댓글로 문의해주세요!
더 좋은 포스팅으로 또 찾아뵙겠습니다 ^^
본 포스팅은 환자분의 동의 후 작성하였습니다.
치료 시작: 2021.12.07
치료 완료: 2022.08.04
예상되는 부작용: 술 후 통증과 부종, 술 후 감염, 출혈 등