아카이브 요약
이 페이지의 역할
레브치과의원 강남점의 네이버 블로그 원문을 보존한 아카이브 페이지입니다. 앞니 심미치료 카테고리의 앞니레진치료 할 줄 모르는 치과의사는 없지만, 좋은 레진으로 치료하는 치과의사는 잘 없습니다. 글을 통해 병원의 한국어 정보 제공 방식과 진료 관련 안내 톤을 확인할 수 있습니다.
원문 검증
필요하면 원문 블로그와 병원 프로필로 바로 이동해 문맥을 다시 확인할 수 있습니다.
출처 아카이브 열기아카이브된 블로그 글
레브치과의원 강남점 · 레브치과 백원장의 인생 브이로그
안녕하세요. 임플란트 장인을 꿈꾸는 치과 백원장입니다. 모든 케이스는 제 환자분들의 동의하 제가 직접 작성하는 포스팅임을 미리 알려드립니다!! 오늘은 수 많은 임플란트 포스팅에서 살짝 벗어나, 저희 행당동치과 연세더좋은플란트치과에서 치료했던 앞니 레진치료 환자분 들 중 그 유명한 미국 3M 사의 레진을 이용한 앞니...
게시일
2023년 9월 13일
원문 기준으로 확인된 발행일입니다.
카테고리
앞니 심미치료
원문 블로그 카테고리를 정리해 함께 표시합니다.
이미지 수
28
현재 아카이브에 연결된 이미지 수입니다.
아카이브 요약
레브치과의원 강남점의 네이버 블로그 원문을 보존한 아카이브 페이지입니다. 앞니 심미치료 카테고리의 앞니레진치료 할 줄 모르는 치과의사는 없지만, 좋은 레진으로 치료하는 치과의사는 잘 없습니다. 글을 통해 병원의 한국어 정보 제공 방식과 진료 관련 안내 톤을 확인할 수 있습니다.
원문 검증
필요하면 원문 블로그와 병원 프로필로 바로 이동해 문맥을 다시 확인할 수 있습니다.
출처 아카이브 열기안녕하세요.
임플란트 장인을 꿈꾸는 치과 백원장입니다.
모든 케이스는 제 환자분들의 동의하 제가 직접 작성하는 포스팅임을 미리 알려드립니다!!
오늘은 수 많은 임플란트 포스팅에서 살짝 벗어나,
저희 행당동치과 연세더좋은플란트치과에서 치료했던 앞니 레진치료 환자분 들 중
그 유명한 미국 3M 사의 레진을 이용한 앞니 레진치료를 소개해드려보고자 합니다.
오늘 포스팅의 포커싱은 치과치료 재료로써 양질의 좋은 레진을 사용하는가에 대한 생각입니다.

레진? Dental Composite!
치과용 레진을 가장 많이 배우고 이용하는 치과 전문의는 치과보존과 전문의 일 것입니다.
저희 연세더좋은플란트치과에도 치과보존과 김준영 선생님이 레진치료를 많이 하고 있죠 :)
한편으로 레진치료를 할 줄 모르거나 안하는 치과의사는 단언컨데 없을겁니다.
슬프지만 이제는 한 개에 3만원 5만원 10만원... 가격으로의 홍보대상인 레진...
어떤 진실된 치료가 세상에 남아있을까요.....

구글링만 해봐도 수 없이 검색결과가 나오는 이것 !!
네일아트에 사용되는 것도 레진의 일종인데요,
손톱위에 예쁜 네일 작업을 받으시고 마지막에 빛을 쪼여서 굳히는 것을 보지 않으셨나요?
광중합형 레진의 일종입니다. 작업하기 쉽게 액상으로 된 레진을 사용하고, 마지막에 굳혀서 고체로 만들 수 있는 제품이지요.
저는 환자분들께 설명드릴 때 강화된 플라스틱의 일종이라고 설명드립니다.

해당 내용을 나무위키에 검색해보면, 레진은 의도한 파장을 가진 빛을 이용하여 중합과정 (polymerization)을 거쳐 쉽게 원하는 형태로 모양을 갖추는 재료이죠.
그래서 치과에서도 많이 사용합니다. 과거에 아말감, GI 등 여러 재료가 차지했던 치과용 충전재의 자리를,
비록 강도는 조금 부족했었지만 치아와 유사한 색상을 갖고 있고, 치료 과정이 비교적 수월하다는 레진 고유의 장점이 있어 빠르게 그 자리를 뺏어오게 됩니다.

치과에서 이용하는 쇼핑몰을 보면, 정말 다양한 회사에서 레진을 생산하고 있는 것을 보실 수 있어요.
주로 미국 회사도 많고, 일본 회사도 다수 존재합니다.
당연히 국내 회사도 있구요.
제가 연세대학교 치과대학병원에 다닐 때는, 유럽 회사와 일본 회사 제품을 주로 본 것 같은데...
(제 생각에 우리나라 치과계는 일본계 재료가 상당히 많습니다! 아마, 일본의 식민지 지배를 받았기에겠죠.)
이런 저런 이유로 다양한 레진을 만나다보니 3M에서도 치과용 레진을 만들더라구요!
색상이 참 맑고 투명하면서, 사용하기에도 좋은 고급진 재료입니다.

한국 3M의 홈페이지에 들어가보시면, 치과제품을 꽤나 많이 만들고 있는 회사라는 것을 쉽게 아실 수 있어요!
'접착'에 관한 세계적 대기업에서 생산하는 치과용 레진... 절로 믿음이 가지 않으시나요?

특히 보철물을 붙일 때 쓰는 치과용 시멘트로써는 3M이 거의 모든 치과에 독보적인 위치를 차지하고 있습니다.
아마.. 내 치아에 어떤 레진으로 치료를 받고 계신지 모르실거에요.
레진치료가 앞니는 얼마 어금니는 얼마 이런 가격에 대한 이야기는 많이 들어보셨겠지만,
정작 내가 치료받는 치과에서 내 입에 들어가는 레진이 어떤 회사의 제품인지는 설명듣지 못하셨을거에요.
사실 저도 치과에서 한 분 한 분 설명할만한 여유는 없습니다만... 궁금해하실까봐 포스팅으로 남겨봅니다.
미국 3M 회사의 Filtek 계열의 제품과
유럽 Ivoclar vivadent 회사의 Tetric 계열의 제품을 사용합니다.


왼쪽: packable resin, 오른쪽: flowable resin
위에 보여드리는 것이 저희 치과에서 쓰고 있는 미국 3M 사의 packable, flowable resin 입니다.
쉽게 설명하면 왼쪽 것은 밀가루 반죽같은 느낌, 오른쪽 것은 보다 흐름성이 좋은 액상의 느낌입니다.


왼쪽: packable resin, 오른쪽: flowable resin
같은 색상 (shade)이라 표기가 되어 있어도 회사마다 약간씩 색의 느낌이 다릅니다.
제가 느끼기에 3M 레진은 다소 창백하게 밝아 서양인 치아의 느낌이 있고,
Ivoclar vivadent의 레진은 노르스름한 느낌이 있어 동양인 치아에 잘 어울리는 느낌이에요.
그래서 두 가지 제품을 구비하고 있습니다.
참고로 이보클라 비바덴트는
유럽의 리히텐슈타인에 본사를 두고 있는 기업이며, 약 130개국에 제품을 공급하고 연매출이 1조가 넘는 유구한 역사가 100년이 넘는 기업입니다.
우리나라 치과에는 예로부터 쉽게 들여와 사용되던 일본 제품들이 많이 알려져있는데, 젊은 원장님들을 중심으로 영미권, 유럽산 제품들이 점점 보편화되어가는 느낌입니다.
인레이 재료로 매우 유명한 EMAX 또한 이보클라 비바덴트의 제품이며, 감히 유럽의 작은 나라인 리히텐슈타인을 먹여 살린다고 할 수 있는 아주 큰 회사입니다.
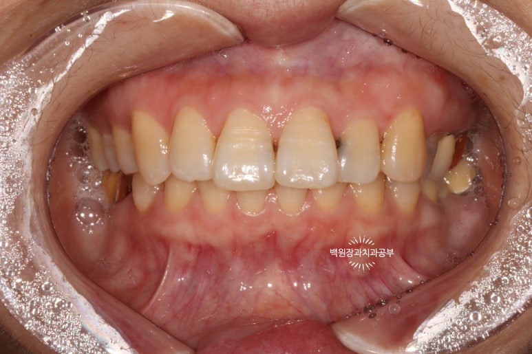
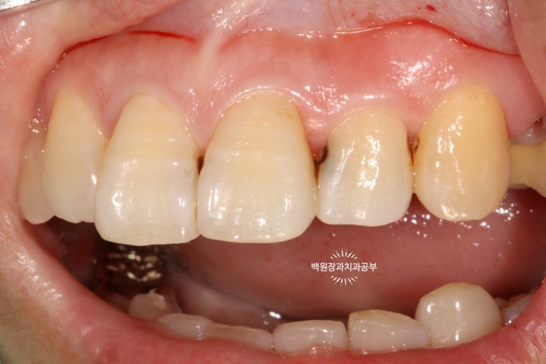
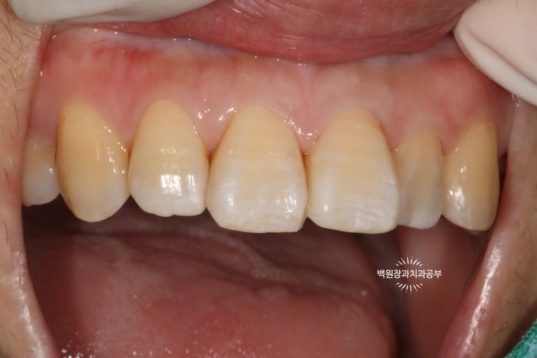
앞니 사이에 충치가 있는 것 같아요.
서론이 길었네요. 60대 여자 환자분이시고 위 앞니 사이사이에 있는 인접면 충치 치료차 내원하셨습니다.

정면을 보면, 치아 사이사이에 있는 충치가 얼핏 보이실거에요!

하얀것은 치아고 까만것은 충치라는걸 유치원생도 다 구분할 수 있을거에요. ㅎㅎㅎ
위턱 앞니의 사이사이마다 인접면 충치가 보이네요...
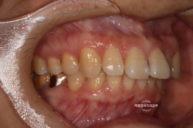
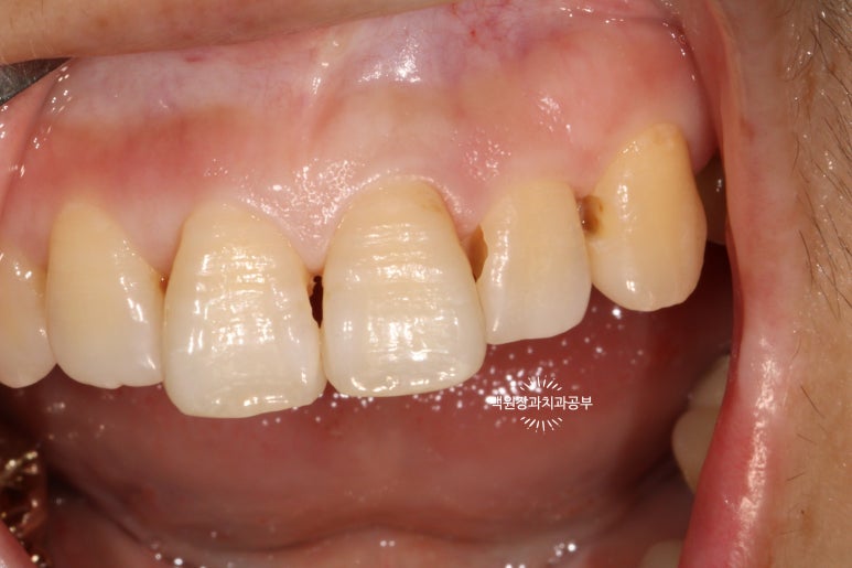
더 확실하게 보여드리기 위해 고개를 살짝 돌려서 보면..


고개를 돌려서 보면 인접면 충치를 더 잘 확인하실 수 있습니다!
집에서 확인해 보실 때도 고개를 돌려서 보셨었겠죠?
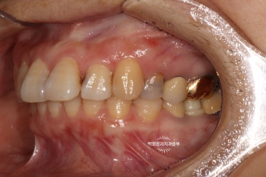
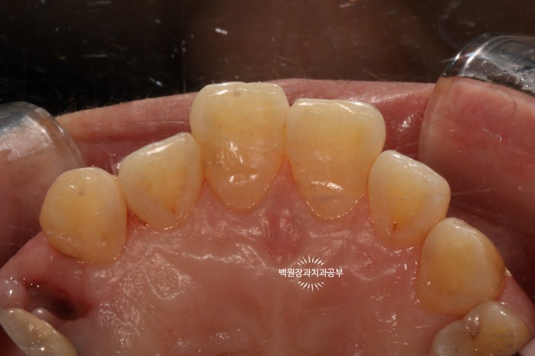
치과의사만 볼 수 있는 치아 뒷면 !!

사실 자기 앞니의 뒷면을 본 다는 것이 쉽지는 않습니다만..
치과의사는 뒷면을 볼 수 있습니다 !!!
딱 보아도 충치가 있는 걸 아실 수 있죠?

까맣게 보이는 부위들이 치아 옆면의 충치들입니다.
충치가 클 경우 지르코니아 크라운이나 PFM 크라운 치료를 권해드리지만,
이번에는 3M 레진을 이용하여 레진치료로 하기로 결정했어요!!
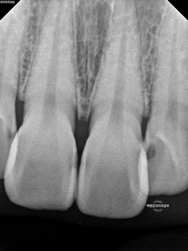
레진치료를 시작하기에 앞서
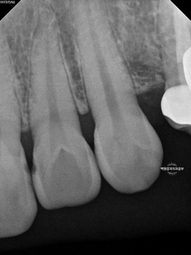
충치의 범위를 파악하기 위해 작은 엑스레이를 찍어봤어요.



Previous image Next image
총 세장의 치과용 치근단 방사선사진을 찍었고,
각 치아마다 옆면의 충치 범위를 확인할 수 있었어요!
까맣게 물들듯 보이는 곳들이 충기가 있는 곳입니다.
치과용 엑스레이 판독을 일반 사람이 하기는 힘드니깐,
제가 보기 쉽게 표시해 드릴께요!!

노란색으로 표시해 놓은 곳들이 옆면 충치가 있는 곳들이에요!
눈으로 확인하는 시진과 방사선 검사를 종합해서 합집합이 되는 부위를 모두 치료하면 됩니다.
레진치료 과정을 간단하게 살펴봅시다.

치료 전과 치료 후를 쉽게 비교하실 수 있도록, 치료 직전 찍어놓은 사진이에요.
상악 중절치와 측절치 그리고 견치에 옆면 모두에 충치가 있습니다.

먼저 충치가 있는 부위를 제거합니다.
제거 중의 사진인데요, 어디까지 제거 하냐고 물으신다면...
교과서 상에서는 affected dentin이지만, 제 생각에 앞니 치료에 있어서는 변색된 부위까지도 제거해야만 좋은 결과를 얻을 수 있다고 생각합니다.

조금 더 제거하고 나니, 이제 치아가 어두워 보이는 느낌이 사라진 것 같습니다.

위 앞니의 뒷면 사진이에요.
치아를 최소한으로 삭제하면서도, 어둡게 썩어있는 부위는 확실히 제거해야 최종 결과가 예쁘게 나온답니다.

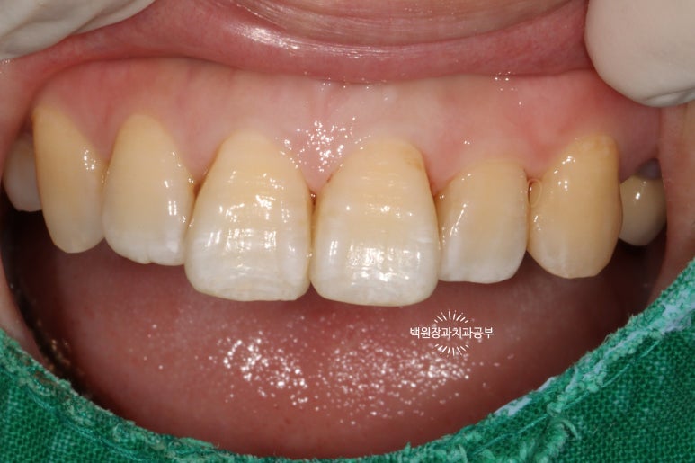
위에 보여드렸던 3M 레진을 사용하여 레진충전 완료 후 사진입니다.

3M사의 Filtek Z350 XT Universial 제품과 Filtek Supreme Flowable Restorative 제품을 사용해서 레진충전을 시행하였고, 절단연과 치경부의 색상이 상이하기에 A3, A3.5, OA3 제품을 이용하였습니다.
생각보다 레진치료가 자연스러워 보이려면, 그 색상을 잘 선택해야하는데요
이 또한 노하우가 많이 쌓여야 하는 것 같습니다.

아까 보았던 것처럼 뒷면에서 바라본 위턱 앞니입니다.
치과의사로써 앞니 레진치료를 할 때, 가장 어려운 부분이라면
충치가 있던 옆면을 정교하게 재현해내는 것이라고 할 수 있는데요,

일반적인 충치치료는 보이는 면을 채워넣는 것과 달리,
앞니 옆면 충치치료는 닿아있어 직접 만질 수 없는 면을 레진으로 채워넣어야 하기 때문에
정교하게 모양을 만들어내기가 무척 어렵습니다.
때론 이를 포기하고 두 치아의 옆면을 한 덩어리로 메꿔 넣는 치과의사들도 계신데..
그렇게 치료해놓으면 나중에 치실을 사용할 수 없어 치석이 자주 생기고 만성치주염에 시달리게 됩니다.
그래서 제 생각에 앞니 레진치료를 잘 하는 사람은 당당히 치아의 뒷면을 보여줄 수 있는 치과의사라 생각해요!
보시면, 거의 색상의 차이나 경계의 구분 없이 자연스럽게 완성된 치아 외형을 관찰할 수 있습니다!
처음 개원했을 때 초심이 있습니다.
무조건 제일 좋은 재료를 어떻게든 저렴하게 구해와서 같은 가격에 치료해드리는 치과의사가 되자 !!!!
이제 개원 4년차가 되었고, 초심을 지키기가 얼마나 어려운지를 몸소 느끼고 있습니다.
치과는 유지비용이 많이 드는 병원이고... 원재료비를 줄이기 위해 모두가 극한으로 노력합니다.
그런데 정말 싸구려 재료를 쓰는 것은 .. 용납이 안되더라구요. ㅠㅠㅠㅠ
사실 치과용 레진이 어떤 회사를 사용하던지 가격에 큰 차이는 없습니다만,
조금이라도 이윤을 남기고 싶은 것이 경영자의 마음이지요.
그렇지만 저렴한 재료는 부족한 결과를 낳고 결국 손해는 저희 치과를 믿고 방문해주신 환자분들의 몫이기에,
살짝 비싸다는 생각이 드실지라도 (!?) 좋은 재료만으로 치료하기 위해 노력하고 있습니다!
내가, 우리 치과가 치료를 잘한다는 기본으로 갖춰야 하는 덕목이고
이번엔 우리 치과가 좋은 재료로 선한 마음으로 치료하고 있다는 사실을 알려드려보고 싶었어요.
오늘만 괜찮아 보이는 치료가 아닌, 지속가능한 치료를 할 수 있도록 노력하겠습니다!!
온라인상으로 상담을 원하시면 댓글을 달아주세요. 최대한 성실하게 답변을 드리겠습니다! :)
치료 받으신 기간은 1회입니다. 레진 치료는 당일에 완료가 됩니다.
비용이 궁금하신 분들 또한 댓글을 달아주세요 :) 친절히 안내해드리도록 하겠습니다.
이상 '미국 3M 회사의 레진을 이용한 여러개 앞니 옆면 충치 레진치료. ' 에 관한 포스팅의 치과 백원장이었습니다. 긴 글 읽어주셔서 감사드리며, 궁금한 점은 언제든지 댓글로 문의해주세요!
더 좋은 포스팅으로 또 찾아뵙겠습니다 ^^
본 포스팅은 환자분의 동의 후 작성하였습니다.
치료 시작: 2023.09.01
치료 완료: 2023.09.01
예상되는 부작용: 수술 후 치아의 민감증, 레진 충전재의 변색 등