아카이브 요약
이 페이지의 역할
레브치과의원 강남점의 네이버 블로그 원문을 보존한 아카이브 페이지입니다. 이웃공개 치과컨텐츠 카테고리의 불편한 틀니를 아직도 쓰시나요? 전체 임플란트 치료비용/치료기간/치료과정. 글을 통해 병원의 한국어 정보 제공 방식과 진료 관련 안내 톤을 확인할 수 있습니다.
원문 검증
필요하면 원문 블로그와 병원 프로필로 바로 이동해 문맥을 다시 확인할 수 있습니다.
출처 아카이브 열기아카이브된 블로그 글
레브치과의원 강남점 · Naver Blog
안녕하세요. 임플란트 장인을 꿈꾸는 치과 백원장입니다. 틀니는 생각만해도 정말 불편한 치료입니다. 말랑한 잇몸위에 딱딱한 틀니를 얹어 밥을 먹는건 정말 고역입니다. 소개해드릴 증례는 불편한 틀니를 사용하시다가, 용기내어 전체 임플란트 치료를 받기 위해 오신 분입니다. 치료비용, 치료기간, 치료과정 모든 것을 이번 포스...
게시일
2023년 12월 1일
원문 기준으로 확인된 발행일입니다.
카테고리
이웃공개 치과컨텐츠
원문 블로그 카테고리를 정리해 함께 표시합니다.
이미지 수
31
현재 아카이브에 연결된 이미지 수입니다.
아카이브 요약
레브치과의원 강남점의 네이버 블로그 원문을 보존한 아카이브 페이지입니다. 이웃공개 치과컨텐츠 카테고리의 불편한 틀니를 아직도 쓰시나요? 전체 임플란트 치료비용/치료기간/치료과정. 글을 통해 병원의 한국어 정보 제공 방식과 진료 관련 안내 톤을 확인할 수 있습니다.
원문 검증
필요하면 원문 블로그와 병원 프로필로 바로 이동해 문맥을 다시 확인할 수 있습니다.
출처 아카이브 열기안녕하세요.
임플란트 장인을 꿈꾸는 치과 백원장입니다.
틀니는 생각만해도 정말 불편한 치료입니다. 말랑한 잇몸위에 딱딱한 틀니를 얹어 밥을 먹는건 정말 고역입니다.
소개해드릴 증례는 불편한 틀니를 사용하시다가, 용기내어 전체 임플란트 치료를 받기 위해 오신 분입니다.
치료비용, 치료기간, 치료과정 모든 것을 이번 포스팅에서 한번에 살펴보시죠!

틀니가 너무 불편해서, 전체 임플란트로 바꾸고 싶어요.

70대 남자 환자분입니다.
처음 저희 치과를 찾아주셨을 때의 상태입니다!
위턱은 전체 틀니를 사용하고 계셨고, 아래턱에는 임플란트 틀니 (오버덴처)를 사용하고 계셨습니다.
임플란트에 비하면 틀니는 이제 대부분 단점만을 가진 열등한 치료가 되어버렸습니다.
환자분은 임플란트 틀니에 사용하던 임플란트를 계속 사용하여 최소한의 비용으로 최대한의 치료 효과를 기대하고 계셨습니다.


위턱은 치아가 하나도 없으신 상태였고, 전체 틀니를 사용 중이셨지요.
아래턱은 임플란트 네개가 있었지만, 위치가 약간 제각각이네요.
임플란트 재수술은 고려사항이 참 많은 수술입니다.



정면과 측면 구강 내 사진입니다. 아래 임플란트가 임플란트 주위염을 앓고 있어 보이지 말아야 할 임플란트의 뿌리부분이 보이네요...
그래도 최대한 갖고 계신 임플란트를 사용하고 싶어 하셨기 때문에, 왼쪽 아래 한개만 제거하고 나머지는 사용해보기로 하였습니다.
오스템임플란트 네비게이션 수술을 계획하였습니다.
일단 저도 궁금한 점이 생겼습니다.
가장 관건은 몇 개의 임플란트를 재사용 할 수 있는지였습니다.
또한 사용할 수 없는 임플란트는 재수술을 통해 위치를 바꿔야겠죠.
그래서 오스템임플란트의 네비게이션 수술을 계획하였습니다.
.
간단히 설명드리면, 촬영했던 치과용 CT 영상을 기준으로 완성될 치아의 배열을 계획하고 필요한 임플란트의 위치를 역산하여 기존의 임플란트들이 사용 가능한지를 평가했다. 정도로 말씀드릴 수 있겠네요.

이런 식으로 예상되는 치아 머리를 배열하고, 역산하여 필요한 임플란트의 위치를 정해봅니다.
그러면 갖고 계신 4개의 임플란트 중 위치가 적당하여 쓸 수 있는 임플란트를 골라낼 수 있겠죠?

오스템임플란트의 네비게이션 임플란트 시스템인 원가이드는 생각보다 정교하고 디테일합니다.
마치 AI가 추천해주듯이 추천되는 임플란트의 길이와 직경까지 다 알려주는데요,
그래도 수술이란건 모름지기 손맛이 중요하긴 하지만요! ㅎㅎ
기존 임플란트 4개 중 3개를 살려보기로 하였습니다.
전체 임플란트를 하기 위한 임플란트 개수는 보통 위턱은 810개의 아래턱은 68개입니다.
아래턱에서는 임플란트 주위염이 심했던 왼쪽 아래 임플란트 하나를 제외한 3개를 사용하기로 하여서, 4개만 추가로 심기로 하였고 위턱은 총 8개를 심어드리기로 계획하였습니다.
전체 틀니와 임플란트 틀니에서 전체 임플란트로 바꾸기 위해 총 12개의 임플란트를 추가로 심게 되었네요.

보이시는 것이 오스템임플란트의 네비게이션 임플란트 수술 장치입니다.
마치 자를 대고 선을 긋듯이, 장치가 임플란트가 들어갈 위치를 가이드해줍니다.
그렇지만 수술이 그렇게 호락호락한게 아니죠.!! 전체 임플란트는 다양한 종류의 뼈이식이 필요한 경우가 많으며, 얼굴의 외형과 조화롭게 임플란트를 심어내야하기 때문에 전체 임플란트 수술 경험이 절대적으로 중요합니다.
위턱 임플란트를 먼저 심어드렸습니다.

그리하여 임플란트 주변 뼈이식술과 상악동 뼈이식술을 동반해서 위턱에 임플란트 8개를 먼저 심어드렸습니다.
제 포스팅을 보신 분들은 아시겠지만, 보통 위턱 임플란트부터 먼저 심어드리는데요,
그 이유은 위턱뼈가 아래턱뼈에 비해 골밀도가 낮아 약 1달 정도 치유기간이 더 필요하기 때문이랍니다.
약 3주 뒤 아래턱 임플란트를 심어드렸습니다.

그리고 약 3주 뒤에 오스템임플란트 네비게이션 임플란트 시스템을 이용하여 아래 임플란트를 심어드렸습니다.
과거에는 전체 임플란트를 할 때 힘들더라도 무조건 위아래를 같이 수술해야만 했습니다.
왜냐면 위 아래 임플란트가 잘 맞물리는지 확인했었어야 했으니깐요... 환자분들은 너무 힘들어하셨었죠.
금호동 치과 연세더좋은플란트치과에서 사용하듯 네비게이션 임플란트 시스템의 도움을 받으면 수술 전에 대부분의 치료계획이 반영된 임플란트 수술 장치가 있기 때문에 이렇게 위/아래턱 나눠서 수술이 가능해집니다.
위턱 임플란트는 3개월, 아래 임플란트는 2개월의 치유기간!

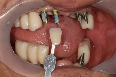
치유지대주를 연결해주기 위해서 임플란트 2차수술을 시행하였습니다.
임플란트 2차수술을 할 때 잇몸 성형술도 같이 시행해주게 되는데요, 보다 양치질을 하기 편한 형태의 잇몸을 갖춰드리기 위해서 많은 사항을 고려하여 수술하게 됩니다.
잇몸성형수술 전문진료과는 치주과입니다. 치주과 전문의가 대표원장으로 상주하는 금호동 치과 연세더좋은플란트치과의 장점이라고 할 수 있죠!! 임플란트는 잇몸뼈 안에 심는 것도 중요하지만, 결국은 주변 잇몸과 조화로운 치아 머리가 완성되어야만 합니다.


임플란트 2차수술을 하면 이렇게 임플란트 위치를 확인하실 수 있게 됩니다.
그리고 잘 유지된 각화치은의 양을 확인하실 수 있죠.
처음 내원하셨을 때 임플란트 주위염이 심했던 1개의 임플란트를 제외하고 3개의 임플란트는 이제 치아 머리를 얹어 새로운 쓰임을 기다리고 있는 중입니다.
임플란트를 몇 개 심고나니 뭔가 위치가 더 조화로워 보이지 않나요?
다수의 임플란트 치료를 받으시는 경우,
임시치아로 사용하시는 재활치료 기간이 필요합니다.

이제 치유기간이 지났으니, 뿌리 속 임플란트에 기둥을 연결하고 치아머리를 붙여드릴 시간인데요,
사실, 너무너무 오랜만에 틀니 대신 치아를 갖게 되시는 상황이라 '재활치료'의 개념을 갖는 시간이 필요합니다.
보시면 치아와 기둥이 모두 연결되있는 것을 확인하실 수 있죠? 그리고 잘~보시면 임시치아의 외형도 보입니다.
(다시봐도 임플란트 좀 잘 했네요. 역시 나야!?)



그래서 사용하시는 것이 바로 이 임시치아입니다.
당연히 치아처럼 생겼지만, 사실 재료는 단단한 플라스틱 정도로 생각하시면 되는 레진치아입니다.
이 임시치아는 높이 조정이 쉽기 때문에, 이 임시 보철물을 사용하시면서 잃어버렸던 아래턱의 자리를 찾아간다고 생각하시면 됩니다.
이제부터는 임시틀니가 필요없어지기 때문에, 환자분의 삶의 퀄리티가 급격히 올라갑니다.


씹는면에서 본 임시치아입니다.
이제 제법 치아의 모양을 갖췄네요. 여기까지 오는데 7개월이라는 시간이 걸렸습니다.
임시치아로 저작기능에 적응하시면,
이제 비로소 최종 임플란트 치아로 바꿔드리게 됩니다.
저희 치과는 최종 임플란트 보철물로 지르코니아 크라운을 가장 많이 사용합니다.
지르코니아 크라운은 지르코늄과 산소의 결합물으로써 부식되지 않고 아주 단단한 강도를 갖고 있습니다.
그리고 치아색과 유사하여 치과에서 가장 선호되는 보철물 종류입니다.


대부분의 환자분들이 전체임플란트 치료를 받으시면, 위턱 아래턱 각각 3덩어리의 보철물로 제작해드립니다.
즉, 어금니-앞니-어금니 총 3피스의 보철물로 나누어 제작하게 되는데 이는 향후 임플란트 수리도 용이하다는 큰 장점을 갖고 있죠.
임시보철물을 제거하고 내부의 기둥이 보이는 모습입니다.
환자분과 함께 원하시는 치아 색상을 정해서 기공소에 전달하면, 이제 드디어 최종 보철물이 제작되어 옵니다.



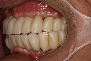
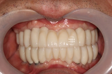
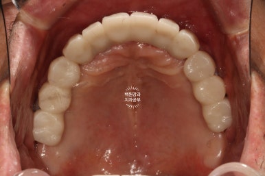
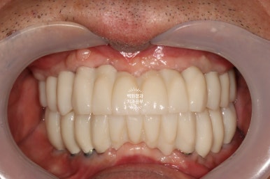
그리하여 완성된 최종보철물입니다!!
옛날부터 임플란트 틀니용으로 사용하시던 임플란트 3개는 임플란트 주위염이 조금 있어 약~간 쇠기둥 색깔이 보인다는 단점이 있긴 하지만, 다른 임플란트들은 꽤나 예쁘게 제작이 되었네요.


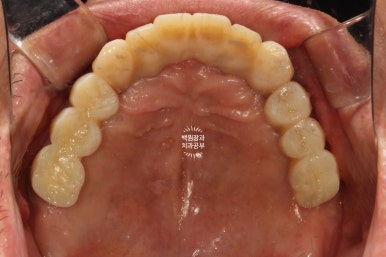
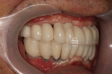
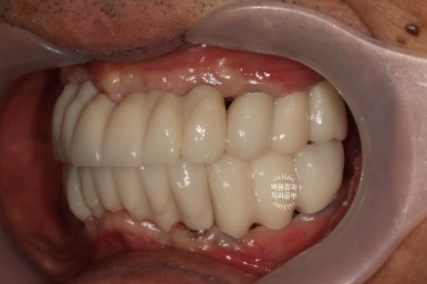
위 아래 교합면 사진을 보시면, 과연 이게 임플란트인가? 싶으실거에요. 치아에 지르코니아 크라운을 붙인 것과 큰 차이를 못느낄 정도로 정말 자기 치아같이 예쁘게 제작된 임플란트 크라운을 보실 수 있습니다!!

완성 후 치과용 파노라마 사진을 찍었습니다.
저희 치과에서 사용하는 오스템임플란트 네비게이션 시스템을 통해 임플란트 위치를 잘 계획하였고, 그 덕분에 각 치아의 가운데에 잘 맞춰져 임플란트가 위치된 것을 보실 수 있어요.
환자분께서 정말 너무너무 흡족해하셨고, 저절로 웃음을 되찾으셨답니다.
(그리고 잘 드셔서 살도 찌셨어요!!!)
이렇게 좋은 결과가 나올 수 있도록 수 개월간 지치지 않고 잘 따라와주신 환자분께 무한한 감사를 표합니다.
임플란트 수술이 무서워 아직도 틀니를 사용하시는 어르신들이 계시다면, 용기를 내어 치과를 방문하시라 말씀드리고 싶습니다.
요즈음은 고혈압, 당뇨, 심장질환, 골다공증 등 다양한 내분비내과 질환도 대부분 투약을 통해 잘 조절할 수 있습니다. 그 결과 대부분의 환자분들이 임플란트 수술을 받을 수 있는 아주 좋은 세상이 되었지요.
임플란트 수술 하면 아플 것 같고, 수술이 너무 길어 힘들 것 같다 라고 많이들 말씀하시지만,
단언컨데 사랑니 뽑는 것보다 아프지 않고, 수술 시간은 한쪽 턱 8개 심는데도 1시간 안팎이면 충분합니다.
물론 제가 열심히 연마한 치의술의 덕분이긴 하지만, 한편으로 네비게이션 임플란트 시스템 등 과학의 발전의 도움도 많죠! 그리고 성공률 높은 오스템임플란트의 덕이기도 합니다.


많은 치과치료가 당연히 큰 보람을 주지만, 불편한 틀니를 전체 임플란트로 바꿔드리는 과정은 정말 많은 치과 진료 중 꽃이라고 할 수 있을 것 같습니다.
혹시나 전체 틀니나 부분 틀니로 고생하시거나 임플란트로의 변경을 희망하시는 분이라면, 언제든지 주저하지 말고 댓글로 질문을 달아주세요!긴 글 읽느라 고생하셨습니다!
온라인상으로나마 상담을 원하신다면, 최대한 성실한 답변을 드려보도록 하겠습니다! :)
치료기간은 발치치부터 임플란트 완성까지 약 7.5개월 정도 걸렸습니다.
실제로 내원하신 횟수는 20회입니다.
이상 '불편한 틀니를 아직도 쓰시나요? 전체 임플란트로 웃음을 찾아드렸던 사례. ' 에 관한 포스팅의 치과 백원장이었습니다. 긴 글 읽어주셔서 감사드리며, 궁금한 점은 언제든지 댓글로 문의해주세요!
더 좋은 포스팅으로 또 찾아뵙겠습니다 ^^
본 포스팅은 환자분의 동의 후 작성하였습니다. 사진의 무단 사용을 금지합니다.
치료 시작: 2022.04.14
치료 완료: 2022.11.20
예상되는 부작용: 수술 후 불편감, 임플란트 조기 실패, 임플란트 주위염 등.