안녕하세요.
임플란트 장인을 꿈꾸는 치과 백원장입니다.
이번 포스팅은 만성 치주염으로 앞니가 흔들려 빼야하는 분들을 위한 글입니다.
앞니를 발치하고나서 브릿지로 할지 임플란트로 할 지 고민이 많이 되실텐데요, 이 포스팅으로 많은 해답을 얻으실 수 있으리라 봅니다.
치과 백원장입니다.

앞니 잇몸의 만성 염증으로 생긴 치주염.
이를 뽑고나서 임플란트? 아니면 브릿지?

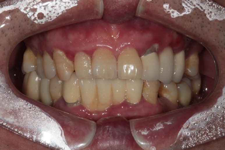
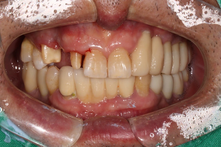
저희 병원에 오셨던 60대 남자 환자분입니다.
딱 봐도 구강위생상태가 좋지 않습니다...
잘 보시면 적절히 관리되지 않아 다수 축적되어있는 치태와 치석들을 쉽게 보실 수 있죠.

아~ 잇몸이 좋지 않았습니다. 그래서 스케일링과 잇몸치료 그리고 필요한 치아를 뽑고 임플란트 하기를 권해드렸죠. 이 분이 3년만에 저희 병원에 다시 오셨는데요.
오른쪽 위 송곳니가 잇몸이 붓고 흔들려서 뽑고싶어요.
강남에서 저렴하게 임플란트 치료를 받았어요.
근데 썩 마음에 들지는 않네요..

3년만에 다시 저희 병원에 오셨더라구요?
못뵙던 사이에 강남 소재 덤핑 치과에서 임플란트를 다 하고 오셨더라구요. 아무래도 비용이 장점이겠죠..
그치만 사실 정성어린 진료는 어려운 환경인건 어쩔 수 없습니다.
왠지 모르게 좋아진 것 같기도 하고 아닌 것 같기도 하고 그렇습니다. ㅎㅎ
요새 한창 유행하고 있는 모 치과에서 저렴한 임플란트로 치료받고 오셨더라구요.

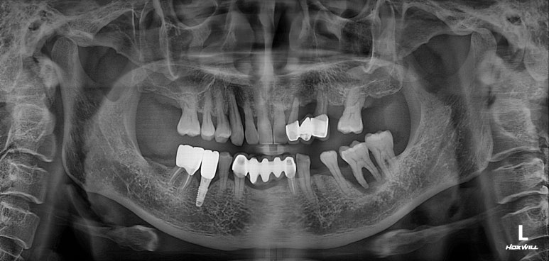
치과용 파노라마 엑스레이입니다.
임플란트가 무려 9개나 되어있네요! 여기에서 앞니 임플란트의 명백한 단점을 확인할 수 있습니다.

보이시나요? 바로 임플란트 크라운이 너~무 길다는 것.
잇몸질환 (만성 치주염)이 심하신 분들의 경우 잇몸뼈의 상실이 심해 결국 임플란트를 '깊게' 심게 됩니다.
결과적으로 치아 길이가 너~무 길어보여 결국 음식도 많이 끼고 비심미적인 (보기 안 좋은) 결과를 낳는다는 것...
사실 어쩔 수 없이 임플란트를 해야만 하는 상황이긴 하나, 잇몸뼈 염증이 심했을 땐 저렇게 어색한 임플란트 머리를 피할 수가 없습니다...
오른쪽 송곳니는 뽑고나서 앞니 지르코니아 브릿지로 권해드렸습니다.

이번에 저희 치과로 오신 이유는 바로 이 송곳니 때문이었습니다.
딱 봐도 만성 치주염이 너무 심해서 고름이 맺혀있는 것을 보실 수 있죠..
이미 병적 치아 이동 상태 (pathologic migration)이 심해서 치아는 내려오고 치아 사이 틈은 더 벌어진 상황.
속된말로 치아가 둥둥 떠있었습니다.
이런 경우 저는 단호하게 앞니 임플란트 말고 앞니 브릿지를 권해드립니다.
그 이유가 앞에 나왔죠? 잇몸뼈를 너무 많이 잃어버린 상황에서 임플란트를 억지로 하면 임플란트 크라운이 너무 길어져 보기에도 안좋고 음식도 많이 끼고 결과적으로 임플란트 주위염에 시달릴 것이 뻔하기 때문이죠.

보시면 치아의 병적 이동으로 이미 자기 자리에서 한참 이탈해버린 오른쪽 위 송곳니를 보실 수 있습니다.
참고로 송곳니까지 앞니라고 합니다!

보이시는 것처럼 엄청나게 깊이 임플란트를 심어내고 결국 머리가 엄청 길어져버린 임플란트를 만들어드리게 된단 말이죠...
여기서 백원장만 알려드리는 설명!
깊이 심긴 임플란트는 장기적으로 보았을 때 결국 인접한 치아들의 잇몸도 안좋게 만든답니다.
즉, 오늘은 양 옆의 치아를 깎지 않아 아낀 것 같지만... 머지 않은 시일 내에 양 옆의 치아들이 잇몸질환으로 흔들려 빼게되는 가능성도 많다는 것!
잇몸 질환이 심한 앞니의 경우 이를 뽑고 1~2달 정도 치유기간을 기다립니다.
고름이 가득찰 정도로 만성 치주염이 심했기 때문에, 이를 뽑고나서도 1~2달 정도의 치유기간을 가져주어야 비로서 정상적인 잇몸형태를 되찾을 수 있습니다.

이를 제거하고 앞니 브릿지를 제작하기 위해 치아 삭제를 시행하였습니다.
저희 치과는 치과보철과 전문의가 라미네이트와 앞니 크라운 진료를 전담하여 최선의 결과를 내기 위해 늘 노력하고 있습니다!

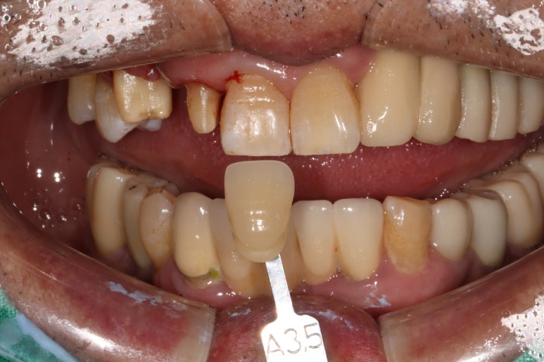
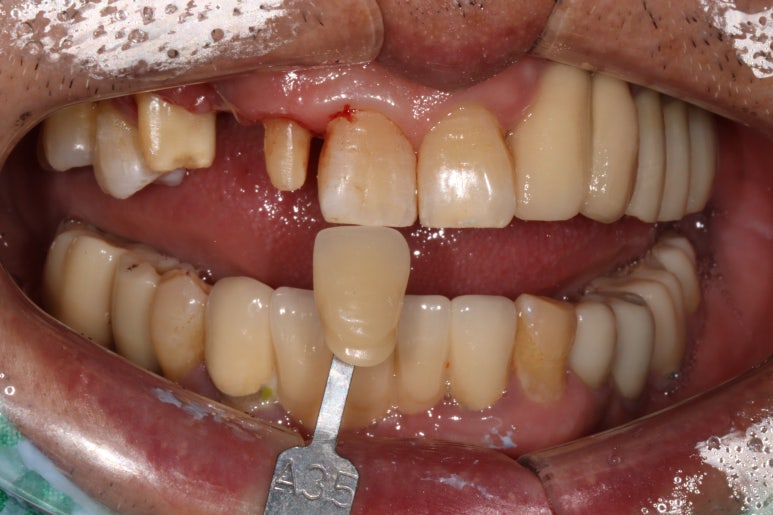
shade guide를 사용하여 치아의 색상을 측정하였습니다.
A3.5를 적용하니 조금 어두우나 치경부와는 비슷한 색을 내네요.

치아가 다양한 색상을 갖고 계시기 때문에 최대한 자기 치아를 모방하기 위해 꼼꼼하게 치아색상을 기록합니다.
앞니 지르코니아 브릿지 제작을 위해
치아를 삭제하고 뽄을 떠 1주일 뒤에 최종 보철물을 연결합니다.

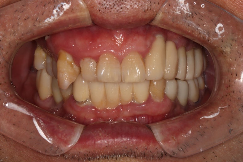
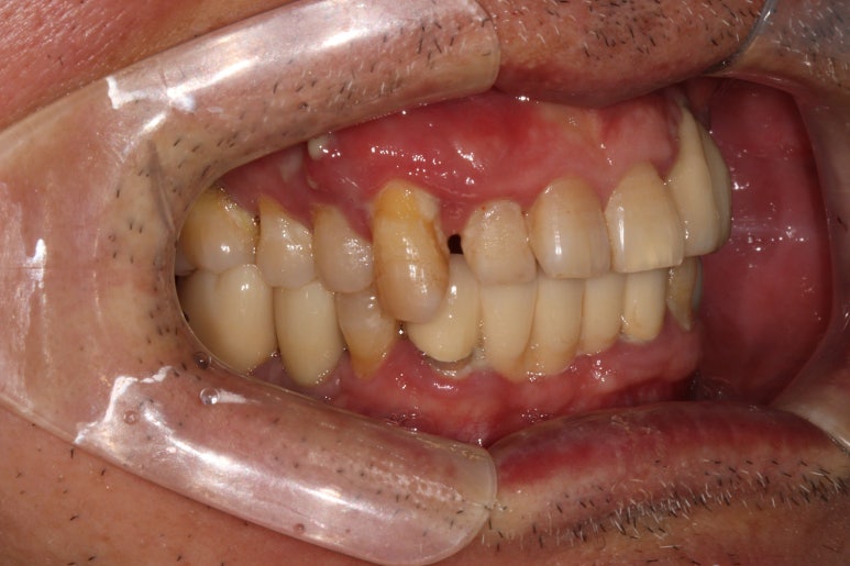
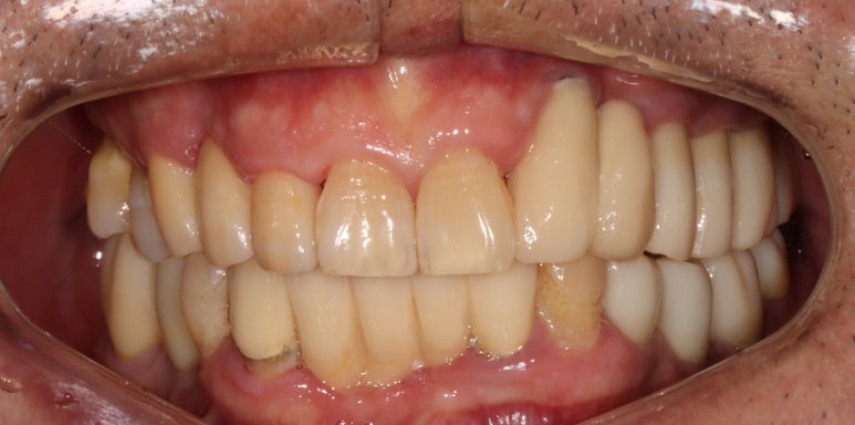
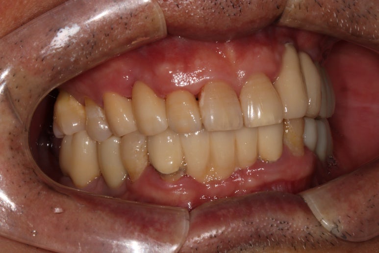
1주일 뒤에 제작된 앞니 지르코니아 브릿지입니다.
제가 봐도 좀 잘되었다고 감히 말할 정도로 완벽한 모습입니다....
사실 딱 보면 브릿지인지도 잘 모르겠네요...

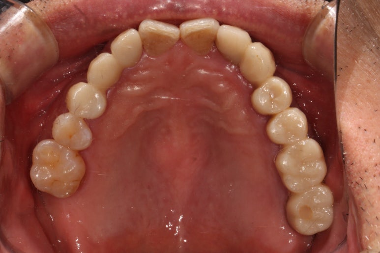
고개를 돌려 확인해보면 더더욱이 감탄이 나오는데요...

바로 요기가 새로 제작한 지르코니아 앞니 브릿지입니다.
감쪽같은 앞니 치료 아니겠습니까!! 크... 제가 봐도 칭찬합니다.

입천장에서 바라보면 이제 가지런히 정렬되어있는 치아의 배열을 보실 수 있으실겁니다.

앞니 지르코니아 브릿지 접착 후 치과용 파노라마 사진입니다.
잘 보시면, 송곳니가 있었던 자리가 엑스레이 상에서 꽤나 어둡게 보이는 것을 확인하실 수 있으실텐데요,
실제로 CT를 찍어보면 아마 남아있는 잇몸뼈가 너무 적어 임플란트 수술에 상당히 곤란할 모양일 것입니다.
치료의 방향을 결정함에 있어서 경험을 통해 과정과 결과를 예상하고 보다 유리한 치료방법을 선택한 예임을 확인할 수 있었습니다.
경우에 따라서 고전적인 방식인 브릿지가 임플란트보다 나을때도 있습니다.
만성 치주염이 심해지면 치아가 흔들리고 잇몸이 붓고 피나고 등등 여러 증상이 반복됩니다.
이러한 과정을 거치면서 잇몸뼈는 점점 소실되고, 임플란트 수술을 받기에 어려운 상황이 되어가죠.
그래서 언제 치아를 뽑고 어떤 방법으로 치료하고 어떤 결과가 나올지 예상할 수 있는 치과의사를 만나 정확한 설명을 듣고 치료 받으셔야 만족할만한 결과를 얻으실 수 있습니다!

이번 환자분 같은 경우 위턱의 양쪽 송곳니가 한쪽은 앞니 지르코니아 브릿지로, 한쪽은 임플란트 브릿지로 치료가 된 특이한 상황이었습니다.
무리해서 앞니에 임플란트를 수술하는 경우 (이번 경우는 어쩔 수 없었지만) 보시는 바와 같이 매우 긴 치아길이를 가진 보철물로 제작되게 되고, 장점보다는 단점이 많은 결과를 낳습니다.
치아를 닦기 위해 칫솔을 깊이 넣어야 하고 이는 부족한 칫솔질로 이어지며 결국 임플란트 주위염이 시작됩니다.
마지막엔 임플란트가 잇몸 밖으로 나오게 되는 보기 싫은 상황으로 귀결되기 쉽습니다.
잇몸질환이 심한 환자분 대부분의 경우에서 앞니 임플란트보다 앞니 브릿지가 훨씬 예쁜 결과를 보여줍니다.

첫째로 적절한 치아길이를 가진 것 처럼 보이게 할 수 있고,
둘째로 치아와 치아 사이의 공간 (black triangle)을 최소화 할 수 있게 보철물을 제작할 수 있습니다.
셋째로 '아직' 임플란트 치료를 받지 않은 상황이라 잘만 관리하신다면 평생 임플란트를 하지 않으실수도 있고, 그렇지 않아도 임플란트 수술을 최대한 미뤄볼 수 있습니다. 모름지기 자기 치아가 최고입니다.
앞니 임플란트 브릿지를 택할 경우 양 옆의 두 치아를 희생해야한다는 큰 단점이 있습니다.
물론 아깝습니다만, 무리해서 임플란트를 하는 경우라면 장기적으로 보았을 때 분명히 앞니 지르코니아 브릿지가 현명한 경우도 많이 있다고 봅니다.
앞니는 보이는 치아이고 사람의 첫 인상을 결정하는데 중요한 역할을 합니다.
조화로운 치료 결과를 내기 위해서 다양한 옵션을 고려할 수 있는 치과의사를 찾아가시길 권유드립니다.
이상 백원장과 치주과 전문의 치과 백원장이었습니다.
온라인상으로 상담을 원하시면 댓글을 달아주세요. 최대한 성실하게 답변을 드리겠습니다! :)
치료 받으신 기간은 4회입니다. 치료 기간은 약 1.5달입니다.
비용이 궁금하신 분들 또한 댓글을 달아주세요 :) 친절히 안내해드리도록 하겠습니다.
이상 '치주염 앞니 잇몸 염증으로 흔들릴 때 - 앞니 브릿지와 임플란트 장단점, 비용. 치료과정과 결과를 눈으로 보여주는 치과.' 에 관한 포스팅의 치과 백원장이었습니다. 긴 글 읽어주셔서 감사드리며, 궁금한 점은 언제든지 댓글로 문의해주세요!
더 좋은 포스팅으로 또 찾아뵙겠습니다 ^^
본 포스팅은 환자분의 동의 후 작성하였습니다.
치료 시작: 2022.04.12
치료 완료: 2022.05.24
예상되는 부작용: 향후 브릿지 주변의 이차우식, 만성치주염 등