아카이브 요약
이 페이지의 역할
레브치과의원 강남점의 네이버 블로그 원문을 보존한 아카이브 페이지입니다. 충치치료, 크라운치료 카테고리의 치과 전문의가 하는 일 - 치주과, 치과보존과, 치과보철과, 치과교정과 전문의가 있는 치과. 글을 통해 병원의 한국어 정보 제공 방식과 진료 관련 안내 톤을 확인할 수 있습니다.
원문 검증
필요하면 원문 블로그와 병원 프로필로 바로 이동해 문맥을 다시 확인할 수 있습니다.
출처 아카이브 열기아카이브된 블로그 글
레브치과의원 강남점 · Naver Blog
안녕하세요. 임플란트 장인을 꿈꾸는 치과 백원장입니다. 치과에도 다양한 전문의가 있습니다! 제가 전공한 치주과부터 흔히들 아시는 치과교정과, 구강악안면외과 그리고 치과보존과 및 치과보철과가 5개의 메이저 전공입니다. 그 외에 소아치과, 구강내과, 영상치의학과, 예방치과, 구강병리과 등이 있구요! 대학병원식 협진진료...
게시일
2023년 12월 12일
원문 기준으로 확인된 발행일입니다.
카테고리
충치치료, 크라운치료
원문 블로그 카테고리를 정리해 함께 표시합니다.
이미지 수
25
현재 아카이브에 연결된 이미지 수입니다.
아카이브 요약
레브치과의원 강남점의 네이버 블로그 원문을 보존한 아카이브 페이지입니다. 충치치료, 크라운치료 카테고리의 치과 전문의가 하는 일 - 치주과, 치과보존과, 치과보철과, 치과교정과 전문의가 있는 치과. 글을 통해 병원의 한국어 정보 제공 방식과 진료 관련 안내 톤을 확인할 수 있습니다.
원문 검증
필요하면 원문 블로그와 병원 프로필로 바로 이동해 문맥을 다시 확인할 수 있습니다.
출처 아카이브 열기안녕하세요.
임플란트 장인을 꿈꾸는 치과 백원장입니다.
치과에도 다양한 전문의가 있습니다!
제가 전공한 치주과부터 흔히들 아시는 치과교정과, 구강악안면외과 그리고 치과보존과 및 치과보철과가 5개의 메이저 전공입니다. 그 외에 소아치과, 구강내과, 영상치의학과, 예방치과, 구강병리과 등이 있구요!

대학병원식 협진진료
치과전문의가 하는 일; 치주과, 치과보존과, 치과보철과, 치과교정과
최근에 개원하는 다소 규모가 큰 치과들이 가장 많이 표방하는 단어입니다. '대학병원식 협진진료'
근데 실상은 대학병원에 치과가 있는지 모르는 분들도 많고, 있다 하더라도 '치과'는 그냥 '치과' 아냐? 하는 분들이 대부분이죠... 그렇지만 생각보다 치의학이라는 학문이 세분화되어있어서 - 제가 졸업한 연세대학교 치과대학병원에서도 상상하기 어려우시겠지만, 진료 종류마다 주치의를 나눠서 진료를 봅니다.

연세대학교 치과대학병원 홈페이지
지금도 연세대학교 치과대학병원 웹페이지에 접속해보시면 이렇게나 많은 과가 있는 것을 보실 수 있는데요,

본원 내과를 검색해도 12개가 나오는 것을 보면... 잘 모르시는 일반인들은 진짜 과도하다 싶을 정도로 치과도 과가 나뉘어져 있습니다.
치주과, 치과보존과, 치과보철과, 교정과
저희 치과는 그 중 치과 진료의 뼈대가 되는 메이저 5개의 과 중 구강악안면외과를 제외한 4개과의 전문의가 모여 진료를 보고 있습니다.
다양한 치과 전문의가 모여서 자기가 전공한 진료를 함으로써, 보다 완성도 있는 치료로 좋은 결과를 내기 위함입니다. 궁극적으로는 진료 효율도 좋아져 환자분들의 진료시간을 대폭 줄일 수 있죠.
현대화된 사회는 많은 분야의 전문가가 모여져 시너지를 내어 발전하는 것 아시죠?
전반적인 구강검진을 받고 싶어요.
오른쪽 어금니가 썩어서 아픈 것 같아요.

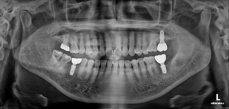
60대 여자 환자분이었습니다.
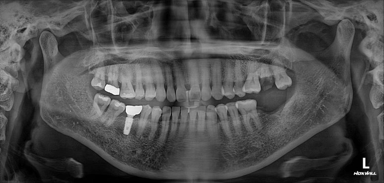
딱 봐도 치아가 조금 없는 것 같으시죠?

빨간색 동그라미로 표시된 곳에 치아가 없어요! 왼쪽 아래 두번째 어금니를 뽑으신 지 몇 년 지나신 상태였습니다.
노란색 동그라미로 표시된 치아는 뿌리만 있는 잔존치근 상태로, 살릴 수 없는 치아였어요.
그리고 마지막으로 파란색 동그라미로 표시된 치아는 기존 크라운 아래로 이차충치가 생겨서 신경치료가 필요한 상태!



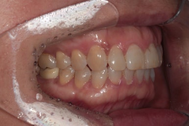
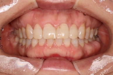
정면에서 본 사진입니다.
잘 모르실 수도 있겠지만, 잇몸이 염증이 생겨 치주염으로 인해 빨갛게 변하신 것을 보실 수 있어요.
즉, 잇몸질환-만성치주염을 갖고 계신 상태였죠.
위 앞니 (중절치)는 치아 사이 틈을 메우기 위해 예전에 레진치료를 받으신 상태였는데, 치료받으신지 오래되어 레진 충전물의 색이 변하고 어색한 모양을 띄고 있습니다.


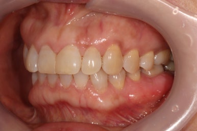
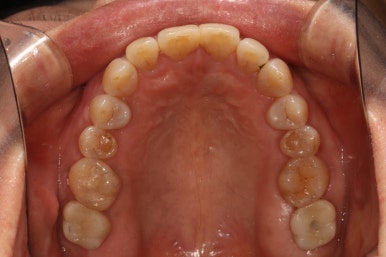
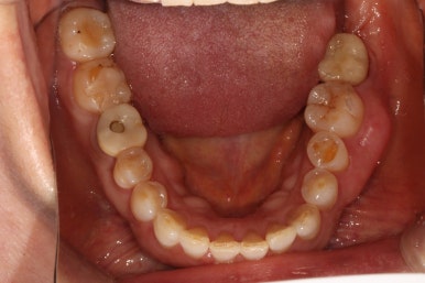
왼쪽: 위턱, 오른쪽: 아래턱
위턱과 아래턱의 교합면 사진입니다.
아래턱 사진을 보시면 치아가 하나 비어있는 것을 아실 수 있죠? 두 개 비어보이시겠지만, 하나는 사랑니니깐 한개로 칩니다. 아까 치과용 파노라마에서 빨간색 동그라미!
위턱 사진을 보시면 뿌리만 있는 치아를 확인하실 수 있을거에요. 노란색 동그라미!
마지막으로 딱 한개 있는 금니를 보실 수 있을텐데, 이차 충치가 있어 다시 치료해야했던 치아입니다. 파란색 동그라미!
치주과 대표원장 : 스케일링, 잇몸치료, 임플란트 수술, 사랑니 발치
치과보존과 원장 : 신경치료, 앞니 레진 재치료
치과보철과 원장: 지르코니아 크라운 치료, 임플란트 크라운
치료의 시작은 탄탄한 치료계획수립부터 시작인데요!
해야할 치료를 정하고 시간표를 짜서 짜임새 있는 치료과정을 통해 고퀄리티의 결과를 낼 수 있게 하는게 대표원장인 제 임무이죠! 즉, 제 지휘하에 다른 원장님들이 열심히 도와주는 형태로 치료가 이루어 집니다.
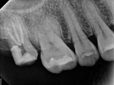
첫번째로 아팠던 어금니 치료를 위해 치과 보존과 원장님 출동!


좌: 신경치료 전, 우: 신경치료 후
가장 먼저 증상이 있어 불편해하셨던 오른쪽 위 어금니 (17번 치아) 신경치료부터 마무리 하였습니다.
어금니 신경치료는 생각보다 상당히 어려운 치료입니다. 그러기에 반드시 '치과보존과 전문의'가 있는 치과에 방문하시라고 꼭 일러드리고 싶어요.
치아 내부에 있는 신경을 깔끔하게 제거하고 소독한 뒤 알맞게 재료로 잘 채워넣은 것을 보실 수 있을겁니다.
또한 충치로 비어있던 자리는 레진 코어로 완료.

이번에는 대표원장인 치주과 전문의 백원장이 출동!
음식물이 끼고 불편해하셨던 오른쪽 위 사랑니와, 임플란트 치료에 방해가 되던 왼쪽 위 사랑니를 발치하였고
왼쪽 위 아래 임플란트 수술을 뼈이식을 동반하여 시행하였습니다.
딱 봐도 예쁘게 수술이 잘 마무리 되어있는 것을 볼 수 있었습니다.

마지막으로 치과보철과 원장님 출동!
임플란트 수술을 예쁘게 마치고 나면, 눈에 보이는 임플란트 크라운 치료는 보철과 원장님이 마무리 해주시는데요
(물론 제가 하는 경우도 많지만!)
제가 여기서 임플란트 치료 잘 되었는지 확인하는 법을 대략적으로 알려드릴께요!

생각보다 이렇게 제작되어 있는 임플란트가 많지 않습니다. 특히 보다 더 비싼 맞춤형 지대주 (custom abutment)를 사용하지 않고 기성 지대주를 사용하면 이렇게 자연스러운 형태가 되기가 힘듭니다.
주변 뼈 높이에 잘 맞게 임플란트가 심겨있어야 합니다. 너무 깊어도 얕아도 좋지 않죠. 노란색 선이 잇몸뼈 높이를 표시한 것입니다.
임플란트 고정체 (fixture) 그리고 나머지의 비율이 1:1이 넘어가지 않는게 좋습니다. 너무 얕은 땅에 긴 전봇대가 심겨있다고 생각해보시면.. 불안하죠 뭔가?
임플란트 크라운의 중간에 임플란트 고정체가 위치해 있는게 이상적입니다. 상황에 따라 달라질 순 있겠지만, 아무래도 임플란트의 뿌리가 머리의 가운데에 있는게 좋겠죠. 츄파춥스 처럼요.
결론은 어쨌든 임플란트가 아~주 이상적으로 잘 제작되었다는 뜻!
앞니 레진 치료도 다시 받고 싶어요.
저희 치과에서 열심히 진료 해드렸던 것이 마음에 드셨는지, 앞니 레진 재치료까지 맡겨주셨는데요.
레진 치료는 모든 치과의사들이 가장 기본적으로 하는 치료이지만, 사실 잘 해내는건 또 별개의 문제죠.
연세대학교 치과대학병원에서는 치과보존과에서 맡아서 하는 치료입니다.


왼쪽: 치료 전, 오른쪽: 치료
앞니의 치아사이 틈 (black triangle)을 없애기 위해 하는 레진 치료를 치과에서 diastema closure라 부르는데요,
보시다시피 착색된 레진도 모두 제거되고, 비교적 자연스러운 외형으로 잘 치료됐다는 것을 확인하실 수 있을거에요.
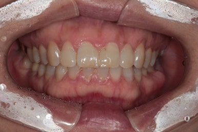
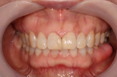
1년이 지났습니다.
치과 치료 뿐만 아니라 모든 치료는 치료 후에 적어도 1년 그리고 몇 년 지나서도 그 결과가 잘 유지되어야 합니다.



앞면, 양쪽 옆면 모두 아주 깔끔하게 유지되고 있네요!
기억하고 있으실지 모르겠지만, 전반적으로 나타내고 있던 잇몸의 붉은색도 대부분 사라져 있는 상태입니다.

임플란트 또한 적절히 유지되고 있고 잘 사용하고 계신 상태입니다.
신경치료와 지르코니아 크라운 치료를 받았던 치아도 뿌리끝 염증 없이 잘 사용중이시구요!


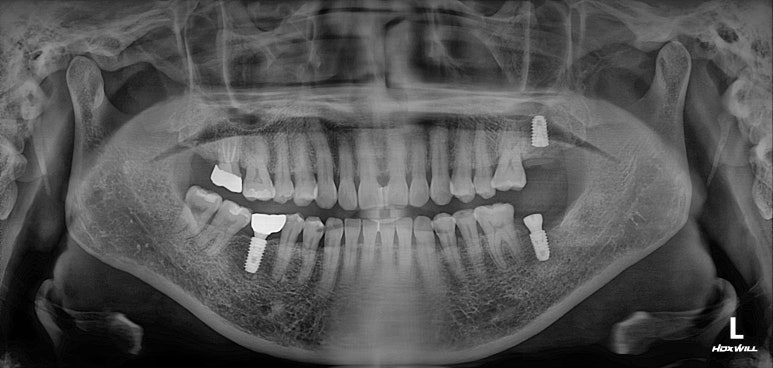
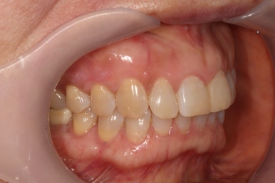
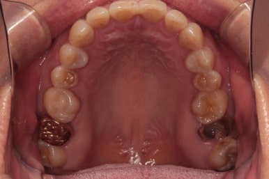
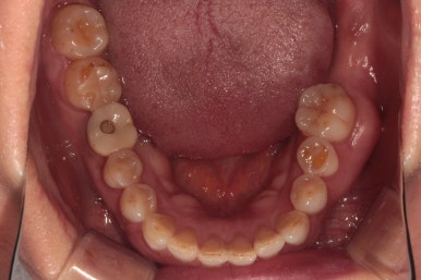
왼쪽 : 위턱, 오른쪽 : 아래턱
마지막으로 위턱 아래턱 교합면 사진입니다.


왼쪽: 위턱, 오른쪽: 아래턱
아래의 치료 전과 스크롤을 올리고 내리면서 비교해보시면 확실히 개선된 상태임을 확인하실 수 있어요.
치아가 없던 자리에 자연스러운 흰색의 지르코니아 크라운을 갖는 임플란트가 생겼고,
이차 충치가 있던 금니도 새로이 제작된 지르코니아 크라운으로 잘 사용하고 있으신 상태입니다.
사랑니가 없어져 더욱 개선된 구강위생관리도 확인할 수 있었습니다!
긴 시간동안 치료를 잘 따라와주신 환자분께 진심으로 감사드립니다!
대학병원식 4인 협진 진료! 라는 타이틀을 갖고 있는 치과들이 많습니다.
물론 어떤 전공인지 확인하시길 바랍니다. 상식적으로도 같은 전공인 사람이 중복될 필요는 없잖아요!!
개인적으로 치주과(구강악안면외과), 치과보존과, 치과보철과, 치과교정과는 있어야 한다고 생각합니다.
논외지만 통합치의학과 전문의의 경우 대학병원에서 '수련받는 과정'없이 시험응시만으로 취득한 분들이 많으니 참고하셔야 해요!
어르신들은 대표원장이 모든 치료를 다 해주는 것을 선호하시는데요,
가장 책임감이 넘치는 사람이 해야 좋은 결과가 나올 것이라는 믿음은 이해하나.. 이 복잡한 현대 사회에서 각자의 분야에 맞추어 치과전문의 진료를 보시는 것이 더 이득이 되실 것이라 생각합니다. 저 또한 다른과 전공하신 치과전문의 선생님들의 의견과 치료를 존중하며, 수용해야 할 때는 듣고 판단하여 최대한 수용하고 있기 때문입니다.
그리고 모든 치료계획 수립과 치료 순서 그리고 진행상황에 대한 것은 대표원장인 제가 다 관할하고 있습니다.
'우리동네 임플란트'라는 슬로건으로 홍보를 하고있지만, 사실 임플란트 진료도 많지만 이러한 일반적인 치과진료를 훨~~씬 더 많이 하고 있습니다!
포스팅이라는 짧은 지면을 빌어 ..저희 치과 방문 전 검색을 하시는 분들이 어떤 진료를 하고 있는 곳인지 확인하고 오실 수 있도록 열심히 적어보았습니다 ^^:; '대학병원식 협진 진료'를 하는 치과는 이렇구나~ 하고 보여드려보고 싶었습니다.!!!
이상 백원장과 치과공부의 치주과 전문의 치과 백원장이었습니다.
온라인상으로 상담을 원하시면 댓글을 달아주세요. 최대한 성실하게 답변을 드리겠습니다! :)
치료 받으신 기간은 10회입니다. 치료 기간은 약 5달입니다.
비용이 궁금하신 분들 또한 댓글을 달아주세요 :) 친절히 안내해드리도록 하겠습니다.
이상 '치과전문의가 하는 일 - 치주과, 치과보존과, 치과보철과, 치과교정과 전문의가 있는 치과.' 에 관한 포스팅의 치과 백원장이었습니다. 긴 글 읽어주셔서 감사드리며, 궁금한 점은 언제든지 댓글로 문의해주세요!
더 좋은 포스팅으로 또 찾아뵙겠습니다 ^^
본 포스팅은 환자분의 동의 후 작성하였습니다.
치료 시작: 2022.09.22
치료 완료: 2023.03.14
예상되는 부작용: 신경치료 후 통증, 임플란트 주위염 등