아카이브 요약
이 페이지의 역할
레브치과의원 강남점의 네이버 블로그 원문을 보존한 아카이브 페이지입니다. 임플란트와 뼈이식 카테고리의 신경치료한 치아 부러짐! 뼈이식 하면서 임플란트 수술하는 과정/기간/비용. 글을 통해 병원의 한국어 정보 제공 방식과 진료 관련 안내 톤을 확인할 수 있습니다.
원문 검증
필요하면 원문 블로그와 병원 프로필로 바로 이동해 문맥을 다시 확인할 수 있습니다.
출처 아카이브 열기아카이브된 블로그 글
레브치과의원 강남점 · Naver Blog
안녕하세요. 임플란트 장인을 꿈꾸는 치과 백원장입니다. 오늘 소개해드릴 사연은 신경치료한 치아가 부러져, 제거하고 임플란트로 치료했던 환자분입니다. 이빨 부러짐을 겪으셨을 때, 어떤 경우는 살릴 수 있지만 어떤 경우여서 살릴 수 없었는지를 보여드리고자 해요. 밥먹다가 어금니가 부러졌어요. 아프지는 않은데 살릴 수...
게시일
2023년 12월 16일
원문 기준으로 확인된 발행일입니다.
카테고리
임플란트와 뼈이식
원문 블로그 카테고리를 정리해 함께 표시합니다.
이미지 수
19
현재 아카이브에 연결된 이미지 수입니다.
아카이브 요약
레브치과의원 강남점의 네이버 블로그 원문을 보존한 아카이브 페이지입니다. 임플란트와 뼈이식 카테고리의 신경치료한 치아 부러짐! 뼈이식 하면서 임플란트 수술하는 과정/기간/비용. 글을 통해 병원의 한국어 정보 제공 방식과 진료 관련 안내 톤을 확인할 수 있습니다.
원문 검증
필요하면 원문 블로그와 병원 프로필로 바로 이동해 문맥을 다시 확인할 수 있습니다.
출처 아카이브 열기안녕하세요.
임플란트 장인을 꿈꾸는 치과 백원장입니다.
오늘 소개해드릴 사연은 신경치료한 치아가 부러져, 제거하고 임플란트로 치료했던 환자분입니다.
이빨 부러짐을 겪으셨을 때, 어떤 경우는 살릴 수 있지만 어떤 경우여서 살릴 수 없었는지를 보여드리고자 해요.
밥먹다가 어금니가 부러졌어요.
아프지는 않은데 살릴 수 있을까요?

30대 남자 환자분이었습니다.
밥먹다가 오른쪽 아래 어금니가 부러졌다고 오셨어요.


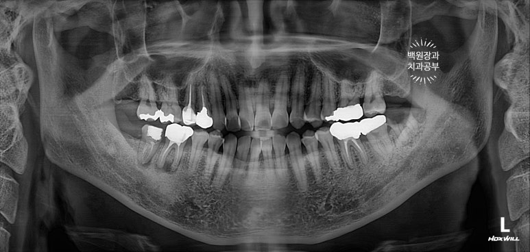
치과용 파노라마 엑스레이를 보니 오른쪽 아래 두번째 큰어금니와 왼쪽 아래 사랑니가 머리가 부러져 있네요.
그 중 오른쪽 아래 어금니는 신경치료를 하셨던 이빨인데, 이차 충치가 심해서 부러진 모양입니다.
일단 살려봐야하지 않겠습니까?
그래도 아쉬우니.. 충치라고 생각되는 부위를 제거해봅니다.

머리가 부러진 오른쪽 아래 어금니...
충치라고 생각되는 부위를 조심조심 제거해보았습니다.
보시면 안에 분홍색으로 동그랗게 보이시는게 있죠?? 옛날에 신경치료 때 사용했던 재료에요!
GP cone 입니다.
그 정도로 제거했는데도 여전히 까만색의 치아만 남아있네요...
이 치아는 뿌리 내부까지 썩었다고 판단되어 뽑기로 결정하였습니다.
이차 충치가 너~무 심해져서 뿌리 속까지 썩어버리면 그 치아는 포기해야합니다.
그러니 이가 부러졌다 생각이 들면 얼른 치과에 찾아가세요!!
잇몸뼈는 나쁘지 않았던 부위라 2달 정도 기다려 보았습니다.
이를 뽑고나면 언제 임플란트를 심을 수 있냐고 많이들 물어보시는데요,
정말 case by case라 뭐라고 단정지을 수는 없습니다만. 확실한 것은 잇몸 질환이 있었던 부위는 이를 뽑으면서 임플란트를 동시에 심는건 권하고 싶지 않다는 것입니다.
왜냐!!! 잇몸 질환이 있었던 부위는 어쩔 수 없이 이빨을 뽑고나서 많은 변화를 거치게 됩니다.
잇몸뼈의 모양이나 체적의 변화가 심하기 때문에 예측이 어렵죠. 자전거 타다가 넘어지면 생기는 무릎 상처가 어떤 모양으로 나을지는 아무도 모르죠? 특히 상처가 더 큰 경우일수록....
그래서 저는 안정적인 결과를 위해 특히 큰어금니라면, 이를 뽑고 적어도 4주는 기다립니다.

4주를 기다리는 이유는 연조직인 '잇몸'의 치유를 기다리기 위함입니다.
쉽게 이해를 돕자면, 이를 뽑고 난 잇몸의 구멍이 채워지는 시간으로 4~6주 정도를 기다린다 생각하시면 됩니다.
아무래도 뼈이식을 해야하는 경우에 안정적인 치유를 기대할 수 있죠.
환자분의 사정으로 8주를 기다리고 잇몸뼈 내부를 살펴보았지만, 아직도 치유가 더딘 것이 보이죠?

일단 임플란트를 정위치에 위치시키고, 오스템 임플란트를 사용하여 수술하였습니다.

부족한 부위는 합성뼈로 채워넣었습니다.
저희 연세더좋은플란트치과는 덴티움의 osteon III를 사용하고 있답니다!
오랜 역사와 전통을 가진 국내산 뼈이식재라고 표현하면 알맞을 듯 해요 :) 명품이라고 생각합니다.

그리고 같은 덴티움 사의 dentium collagen membrane (차폐막)을 이용하여 골이식재 상방을 덮어주었습니다.
제대로 된 뼈이식을 하려면 골이식재를 차폐막으로 무조건 덮어주어야 합니다! 말뿐인 골이식재가 아니라 확실한 결과를 얻기 위해선 학문적으로 차폐막의 사용은 필수입니다.

깔끔하게 꿰매드렸습니다.
사실 두 세 바늘 정도 꿰매는건, 솔직히 작은 수술입니다. 임플란트, 너무 두려워하지 마세요!!
15분도 안걸려 금방 마무리하였습니다.

그리하여 수술 후 치과용 파노라마 사진입니다.
임플란트 위치가 아주 듬직하니 마음에 드네요!!
임플란트 수술 시 뼈이식을 하게 되면 치유기간 3개월을 갖습니다.

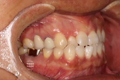
수술 후 약 3개월 정도 지난 후의 입 안 사진입니다.
다소 잇몸에 수술 자국은 있어보이나, 대체로 잘 아물어 있는 것을 볼 수 있었습니다.

다시 한 번 간단한 시술을 통해 임플란트 주변 뼈이식이 잘 유지되고 있는지를 확인합니다.
덴티움 뼈이식재와 차폐막은 오랫동안 형태를 유지하며 조화로운 치료 결과를 보여주네요.
아주 만족스러운 결과를 직접 눈으로 확인하고 치유지대주 (Healing abutment)를 연결해드렸습니다.

치유지대주 (healing abutment)를 연결하고나면 마치 임플란트가 길어진 것 처럼 보이실텐데요,
잇몸이 아무는 동안만 잠시 자리를 잡아주는 역할을 합니다.
임플란트 인상채득을 합니다.
(임플란트 뽄뜨기!)

저희 치과에 구강스캐너가 도입되기 전에 내원하셨던 환자분이었네요!
impression coping을 사용하여 인상채득을 시행합니다.
쉽게 얘기해서 임플란트 뽄뜨기!
맞춤형 지대주(custom abutment)와 지르코니아 크라운 (zirconia crown)을
장착해드렸습니다.

잇몸뼈 안에 있는 임플란트의 뿌리부분 (fixture)에 맞춤형 지대주 (custom abutment)를 연결해줍니다.
맞춤형 지대주를 연결하면, 마치 크라운으로 씌우기 위해 깎은 치아같은 모양이 됩니다.
지대주 (abutment)는 크게 두가지가 있는데, 기성지대주에 비하여 맞춤형지대주는 환자 개개인의 잇몸모양에 맞게 '주문제작'하는 제품으로써 훨씬 우월함을 갖고 있습니다.
모든 환자분들께 오스템임플란트의 정품 티타늄 지대주를 사용하여 맞춤형 지대주로 제작해드리고 있습니다. 보험 임플란트 환자분도 똑같은 맞춤형 지대주를 사용합니다.
기성지대주는 가격적인 면에서 3-4배 저렴한 제품입니다. 당장의 이익보다 오래쓰는 임플란트를 만들어드리려 정말 노력 많이 하고 있답니다.

마지막으로 맞춤형 지대주에 딱 맞는 지르코니아 크라운을 접착해드렸습니다.
지르코니아 크라운은 CADCAM 방식으로 컴퓨터로 디자인하여 깎아서 만드는 제품으로 생각보다 치아와 많이 유사한 형태를 자랑합니다. 색상도 거의 티가 안나죠.

임플란트 완성 후 치과용 파노라마 사진입니다.
임플란트가 이상적인 모양으로 예쁘게 제작된 것을 보실 수 있을거에요!
과연 내 임플란트는 잘 치료된건가? 라고 판단하고 싶으시다면, 제 블로그 포스팅을 참고하여 직접 치과용 파노라마에 적용시켜 보세요!
글의 중간에 내 임플란트가 잘 되었나 확인해보는 법을 간단하게 적어보았답니다 :)
뼈이식 + 임플란트 치료 1년이 지나고...


임플란트 치료 1년이 지나 환자분이 다시 정기검진차 저희 치과에 방문해주셨습니다!
임플란트는 무조건 정기검진이 필수입니다 !! 그리고 금연과 금주도 필수라고 생각합니다.
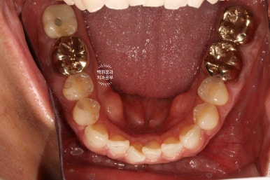
잘 보시면, 처음에 치료된 모습 그대로 잘 유지되고 있는 임플란트 크라운을 왼쪽에서 보실 수 있습니다.
충분히 단단한 지르코니아 크라운으로 제작된 임플란트는 오랜 수명을 자랑합니다!
그리고 오른쪽 사진에서, 아주 완벽하게 잘 유지되고 주변 잇몸과 조화로움을 자랑하는 임플란트를 보실 수 있을거에요. 얼핏 보면 자기 치아랑 헷갈릴 정도라니깐요..
오스템임플란트와 덴티움 뼈이식재 조합이 아주 좋은 결과를 보여주었네요.
긴 시간동안 치료를 잘 따라와주신 환자분께 진심으로 감사드립니다!
치아가 부러져 뽑고 뼈이식을 하게 된 한 환자분의 사연에서 몇 가지 알고 가셔야 할 점이 있습니다!
이가 부러지면 치과에 바로 가야합니다. 특히 신경치료 했던 치아의 경우 아픔을 느낄 수 없어 너무 늦게 방문하게 될 시 뽑아야 하는 상황을 은근히 많이 봅니다.
큰 어금니를 뽑게 되는 경우 왠만하면 뽑으면서 동시에 임플란트 수술은 피해봅시다. 전체적인 치료 기간이 짧아지는 것은 사실이지만, 치료 결과가 다소 불확실하고 임플란트 실패 가능성도 높습니다. 실패할 경우 시간은 배로 듭니다.
치료 결과가 좋지 않으면 임플란트 주위염에 시달릴 수 있습니다.
덴티움 뼈이식재는 대학병원에서 교수님들도 널리 사용하시는 인정받은 제품입니다. 내 입에 들어가는 뼈이식재료.. 뭔지 알고 치료 받읍시다!
저희 치과에서는 일상 있는 임플란트 & 뼈이식 치료였지만, 기초적인 부분부터 알려드리고자 간단히 포스팅을 해보게 되었습니다! 천천히 읽어보고 궁금한 점이 있으시면 언제든지 댓글 달아주세요 :)
이상 백원장과 치과공부의 치주과 전문의 치과 백원장이었습니다.
온라인상으로 상담을 원하시면 댓글을 달아주세요. 최대한 성실하게 답변을 드리겠습니다! :)
치료 받으신 기간은 10회입니다. 치료 기간은 약 6달입니다.
비용이 궁금하신 분들 또한 댓글을 달아주세요 :) 친절히 안내해드리도록 하겠습니다.
이상 '신경치료한 치아 부러짐! 뼈이식 하면서 임플란트 수술하는 과정/기간/비용. ' 에 관한 포스팅의 치과 백원장이었습니다. 긴 글 읽어주셔서 감사드리며, 궁금한 점은 언제든지 댓글로 문의해주세요!
더 좋은 포스팅으로 또 찾아뵙겠습니다 ^^
본 포스팅은 환자분의 동의 후 작성하였습니다.
치료 시작: 2022.01.21
치료 완료: 2023.07.29
예상되는 부작용: 임플란트 치료 후 통증, 수술 후 감염 등.