아카이브 요약
이 페이지의 역할
레브치과의원 강남점의 네이버 블로그 원문을 보존한 아카이브 페이지입니다. 충치치료, 크라운치료 카테고리의 크라운 앞니 충치로 냄새가 나요 - 최소한의 임플란트와 씌우는 치료. 치료과정/기간/비용. 글을 통해 병원의 한국어 정보 제공 방식과 진료 관련 안내 톤을 확인할 수 있습니다.
원문 검증
필요하면 원문 블로그와 병원 프로필로 바로 이동해 문맥을 다시 확인할 수 있습니다.
출처 아카이브 열기아카이브된 블로그 글
레브치과의원 강남점 · Naver Blog
안녕하세요. 임플란트 장인을 꿈꾸는 치과 백원장입니다. 이번에 제가 소개해드릴 케이스는 앞니 크라운에 이차충치로 썩어서 냄새가 난다고 내원했던 환자분입니다. 보통 앞니 크라운을 씌울 때 (특히 예뻐지기위한 목적으로) 제작하는 크라운은 치아 개개별로 낱개로 제작해야하는데, 이번 환자분 같은 경우는 무작정 6개의 앞니를...
게시일
2024년 3월 21일
원문 기준으로 확인된 발행일입니다.
카테고리
충치치료, 크라운치료
원문 블로그 카테고리를 정리해 함께 표시합니다.
이미지 수
18
현재 아카이브에 연결된 이미지 수입니다.
아카이브 요약
레브치과의원 강남점의 네이버 블로그 원문을 보존한 아카이브 페이지입니다. 충치치료, 크라운치료 카테고리의 크라운 앞니 충치로 냄새가 나요 - 최소한의 임플란트와 씌우는 치료. 치료과정/기간/비용. 글을 통해 병원의 한국어 정보 제공 방식과 진료 관련 안내 톤을 확인할 수 있습니다.
원문 검증
필요하면 원문 블로그와 병원 프로필로 바로 이동해 문맥을 다시 확인할 수 있습니다.
출처 아카이브 열기안녕하세요.
임플란트 장인을 꿈꾸는 치과 백원장입니다.
이번에 제가 소개해드릴 케이스는 앞니 크라운에 이차충치로 썩어서 냄새가 난다고 내원했던 환자분입니다.
보통 앞니 크라운을 씌울 때 (특히 예뻐지기위한 목적으로) 제작하는 크라운은 치아 개개별로 낱개로 제작해야하는데, 이번 환자분 같은 경우는 무작정 6개의 앞니를 한개의 보철물로 제작해서 문제가 생겼던 경우였어요.
크라운 치료를 받은 앞니가 썩어서 냄새가 나요.
임플란트는 최소한으로 치료받고 싶어요.

갖고 계시던 기존의 6개가 하나로 제작되어 있던 splinted PFM 크라운을 제거하고 대문니를 포함한 4개의 치아는 지르코니아 크라운으로, 양쪽 송곳니 2개는 오스템 네비게이션 임플란트 수술로 재건했던 치료입니다.

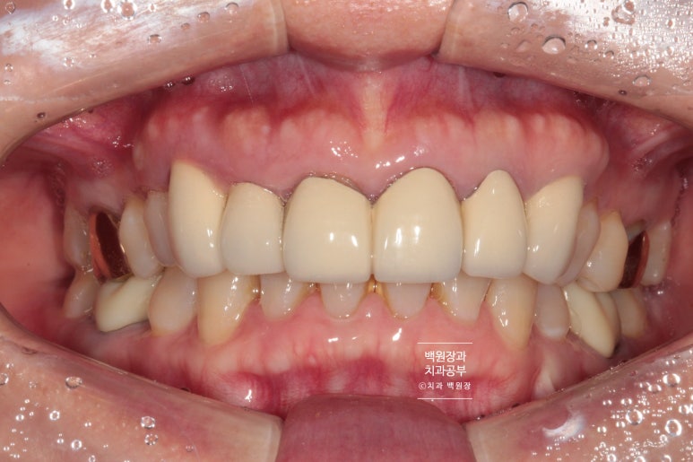
이렇게 봤을 때는 큰 문제가 없어보이는 앞니를 가진 환자분이었습니다.
아래 앞니에 치석이 조금 보이지만... 그리고 위 앞니에 크라운 치료를 받으시고 오래되서 뿌리 노출이 조금 있긴 하지만, 기능적으로 큰 문제는 없어보이죠?

같은 사진입니다. 빨간색과 파란색 별로 치아를 표시해두었는데요, 별이 붙은 6개의 치아가 하나의 보철물로 묶여서 제작되어 있었습니다. 그로 인해 치실을 잘 사용할 수 없음이 이차 충치로 이어지게 된 원인으로 작용했죠.
빨간색으로 표시된 양쪽의 두 송곳니의 뿌리에 이차충치가 있었습니다.

파노라마 엑스레이에서 확실히 확인할 수 있는데요,
똑같이 6개의 앞니를 별로 표시해 보았습니다.
빨간색으로 표시한 두 개의 송곳니 모두 치근우식이 있는 것을 관찰할 수 있습니다. 뿌리에 충치가 심했어요.
노란색 화살표로 가리킨 곳에 파노라마 엑스레이상 소견으로 까맣게 충치가 생겨있는 것을 볼 수 있죠.

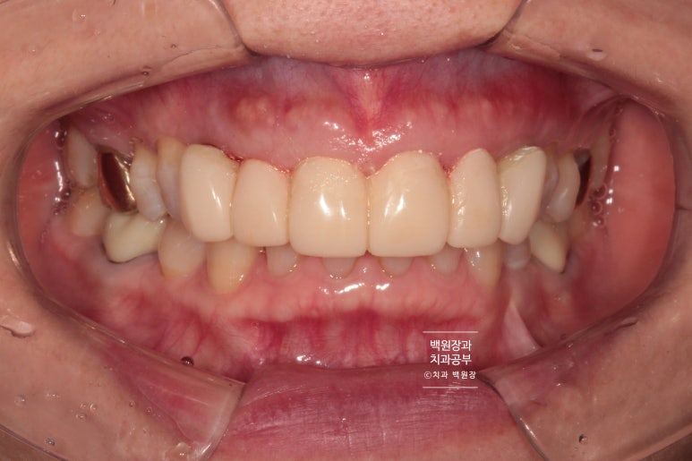
뒤에서 보니 PFM 크라운이었습니다. Porcelain fused metal 이라는 뜻인데요, 메탈 위에 도재를 붙인 형태의 보철물로 옛날에 많이 쓰던 스타일의 보철물이죠.
이렇게 크라운을 여러개 만들 때 가능하면 최대한 낱개로 제작해야합니다. 옛날엔 치과의사의 편의로 붙이는 형태인 splinted crown을 많이 사용했었는데... 치아에도 잇몸에도 아주 안좋은 형태의 보철물이에요!
오스템 임플란트를 이용한 네비게이션 임플란트 수술을 계획했습니다.
두 송곳니를 뽑음과 동시에 임플란트 1차 수술을 시행했어요.

요새 강남의 무수히 많은 치과들이 당일 수술 + 당일 보철물 치료를 표방하고 있습니다만...
이는 분명 허울 좋은 말일 뿐입니다.
이를 뽑으면서 동시에 임플란트를 심어내는 것이 여간 힘든 것이 아닙니다.
보통 잇몸이 안좋아서 이를 뽑는 경우보단 지금처럼 충치로 인해 치아를 뽑는 경우에 어울리는 치료 방법이고, 큰 어금니보다는 작은 어금니나 앞니 치료에 어울리는 치료 방법이죠..
본 환자분 같은 경우에는 두 송곳니도 앞니에 해당됐고, 잇몸이 안좋아서 뽑았던 경우가 아니었기에 위에 보이시는 바와 같이 이를 뽑으면서 임플란트 동시 식립을 시행하였습니다.

*** 그리고 네개의 앞니가 있기에 임플란트를 심고나서 임시 치아를 붙여드릴 수 있어 고정식 임시치아를 제작해드렸습니다. 생각보다 감쪽같아 대부분의 사람들은 임시치아인지도 잘 몰라요!!!
3개월이 지나면 임플란트 2차수술을 할 수 있습니다.

오스템 임플란트를 이용한 네비게이션 임플란트를 시행했기에, 아주 간단히 잇몸절제술 후 별도의 실밥 없이 임플란트 2차수술을 마칠 수 있었습니다.

2차수술을 마치고 끼고 계시던 임시치아를 다시 붙여드렸습니다.

보시면 뼈속에 있는 임플란트에 치유지대주 (healing abutment)를 연결해 줌으로써 임플란트 2차수술을 성공적으로 마친 것을 볼 수 있습니다.
일반적인 앞니 임플란트 치료는 제 포스팅을 한 번 구경해보세요!

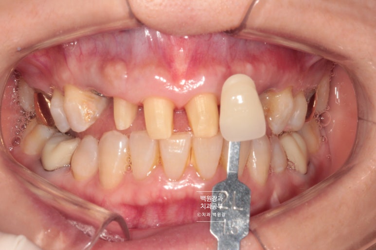
임플란트 2차 수술 후 1주일이면 잇몸이 잘 아무는데요, 이 시점에서 마지막으로 크라운 제작을 위해 앞니를 살짝 다듬어드렸습니다.

shade guide를 이용하여 제작할 색상을 기록합니다.
Vita shade guide 기준으로
2L 1.5는 조금 밝고 2M 2가 비슷해보이는데요, 원하신다면 앞니 지르코니아 크라운 치료시 보다 더 밝은 색상으로도 제작이 가능합니다! 환자분의 경우 자연스러운 색상을 원하셔서 2M 2로 선택하였습니다!
충치가 심했던 송곳니를 뽑고 약 3.5개월 후 드디어 완성의 날..

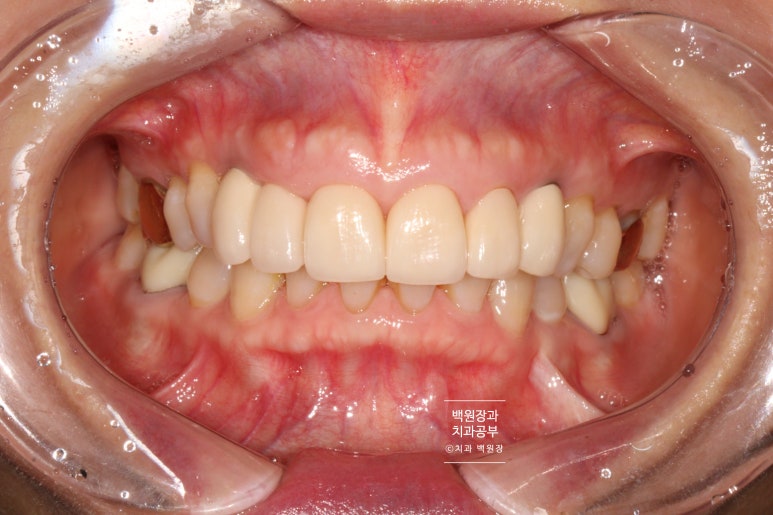
4개의 앞니를 지르코니아 크라운으로 제작하였고, 2개의 송곳니를 임플란트로 제작해드렸습니다.
상당히 자연스러운 색상과 외형을 가진 보철물로 제작이 잘 되었네요!
여성분이라 잇몸의 두께가 얇아 임플란트의 경우 내부의 맞춤형 지대주 (custom abutment)가 약~간 비춰보이는 경향은 있으나, 사실 본인이 아니고서야 이게 자연치인지 크라운인지 임플란트인지 분간조차 어려울 거에요.
아주 조금의 아쉬움이라 할 수도 있겠으나, 한편으론 더 잘닦아내실 수 있는 형태이기도 합니다.


측면에서 보아도 자연스러운 외형을 관찰할 수 있고, 이차 충치가 생기거나 잇몸질환이 생기는 것을 방치하기 위하여 4개의 치아와 2개의 임플란트 모두 크라운을 따로따로 제작하였습니다.
그래야 치실을 사용하실 수 있어 구강위생관리가 가능해집니다!!!! 앞니 크라운을 다 붙여서 만드는 것은 정말 왠만하면 피하는 것이 좋습니다. ㅠㅠ

씹는면에서 바라보았을 때도 자연스러운 모양과 색상을 관찰할 수 있습니다.
오스템 임플란트의 네비게이션 임플란트 가이드 수술 시 이렇게 최종 보철물을 자연스럽게 만들 수 있답니다.

치료 완료 후 치과용 파노라마 엑스레이 사진입니다!
아주 깔끔하게 6개의 크라운이 잘 제작되어 있는 것을 보실 수 있을거에요.

치료 전 후를 비교해보면, 여섯개의 크라운이 따로 제작되어 모두 떨어져 있는 형태를 가지고 있고 두개의 임플란트는 아주 가지런한 방향으로 잘 수술되어 있는 것을 보실 수 있을겁니다.
환자분께서도 최종 치료 결과에 아주 만족하고, 위생관리도 편해 더 이상 냄새도 나지 않고 아프게 잘 쓸 수 있다고 하신... 보람 가득한 치료였습니다!
아드님도 저희 치과를 선택해주신 것은 안비밀~ :)
정말 특별한 경우가 아니라면, 예쁜 앞니를 갖기 위해 크라운 치료까지 하는 것을 잘 권해드리지 않습니다. 색을 개선하고 싶으면 치아미백 치료를, 배열을 개선하고 싶으면 교정치료를 권해드립니다. 왜냐면 치과 치료를 거듭할수록 자연치의 수명은 더욱 짧아지기 때문입니다.
다만, 보다 빠르게 보다 하얗게 보다 예쁘게 앞니를 만들기 위해 지르코니아 크라운 치료 혹은 라미네이트 치료를 선택하기도 하는데요, 왠만하면 크라운을 묶어서 여러개를 하나로 만들어 씌우는 것은 피하길 권해드립니다.
더 많이 이차 충치가 생기고, 더 많이 치주염이 생겨 결국 앞니의 이차충치, 구취, 잇몸 올라감 혹은 패임 등 합병증이 자주 발생하게 됩니다. 그만큼 치아를 묶어서 치실을 사용할 수 없는 환경을 조성하는 것이 치아 건강에 크게 안좋은 영향을 끼친다는 것이죠.
이번 환자분의 경우 이차 충치가 깊게 생긴 두 송곳니는 오스템 네비게이션 임플란트로 그리고 네개의 앞니는 지르코니아 크라운으로 깔끔하게 제작하여 자연치-임플란트간 최선의 조화로움의 결과를 만들어냈던 것 같습니다.
아~주 솔직한 심정으로 잘 된 케이스만 보여드리려고 하고 있긴 하나, 특별히 더 깔끔하게 잘 마무리 된 것 같아 이렇게 소개해드려보았습니다.
천천히 읽어보고 궁금한 점이 있으시면 언제든지 댓글 달아주세요 :)
이상 백원장과 치과공부의 치주과 전문의 치과 백원장이었습니다.
온라인상으로 상담을 원하시면 댓글을 달아주세요. 최대한 성실하게 답변을 드리겠습니다! :)
치료 받으신 횟수은 약 12회입니다. 치료 기간은 약 4달입니다.
비용이 궁금하신 분들 또한 댓글을 달아주세요 :) 친절히 안내해드리도록 하겠습니다.
이상 '크라운 앞니 충치로 냄새가 나요 - 최소한의 임플란트와 씌우는 치료. 치료과정/기간/비용.' 에 관한 포스팅의 치과 백원장이었습니다. 긴 글 읽어주셔서 감사드리며, 궁금한 점은 언제든지 댓글로 문의해주세요!
더 좋은 포스팅으로 또 찾아뵙겠습니다 ^^
본 포스팅은 환자분의 동의 후 작성하였습니다.
치료 시작: 2022.04.30
치료 완료: 2022.09.12
예상되는 부작용: 이차충치, 만성치주염 등.