아카이브 요약
이 페이지의 역할
레브치과의원 강남점의 네이버 블로그 원문을 보존한 아카이브 페이지입니다. 임플란트와 교정치료 카테고리의 삐뚤어진 앞니를 8개월만에 가지런하게 만드는 50대 성인부분교정. 신사역 교정치과. 치료과정/기간/비용. 글을 통해 병원의 한국어 정보 제공 방식과 진료 관련 안내 톤을 확인할 수 있습니다.
원문 검증
필요하면 원문 블로그와 병원 프로필로 바로 이동해 문맥을 다시 확인할 수 있습니다.
출처 아카이브 열기아카이브된 블로그 글
레브치과의원 강남점 · Naver Blog
안녕하세요. 임플란트 장인을 꿈꾸는 치과 백원장입니다. 치과교정과 전문의 선생님께서 진료보는 치과가 많지 않은데요, 매주 수요일 - 합리적인 비용으로 충분히 만족스러운 교정치료를 받으실 수 있답니다. 첫번째 케이스로, 삐뚤어진 앞니를 단 8개월만에 가지런하게 만들었던 성인교정 케이스를 보여드릴께요. 중년인데 삐뚤어...
게시일
2024년 3월 26일
원문 기준으로 확인된 발행일입니다.
카테고리
임플란트와 교정치료
원문 블로그 카테고리를 정리해 함께 표시합니다.
이미지 수
29
현재 아카이브에 연결된 이미지 수입니다.
아카이브 요약
레브치과의원 강남점의 네이버 블로그 원문을 보존한 아카이브 페이지입니다. 임플란트와 교정치료 카테고리의 삐뚤어진 앞니를 8개월만에 가지런하게 만드는 50대 성인부분교정. 신사역 교정치과. 치료과정/기간/비용. 글을 통해 병원의 한국어 정보 제공 방식과 진료 관련 안내 톤을 확인할 수 있습니다.
원문 검증
필요하면 원문 블로그와 병원 프로필로 바로 이동해 문맥을 다시 확인할 수 있습니다.
출처 아카이브 열기안녕하세요.
임플란트 장인을 꿈꾸는 치과 백원장입니다.
치과교정과 전문의 선생님께서 진료보는 치과가 많지 않은데요, 매주 수요일 - 합리적인 비용으로 충분히 만족스러운 교정치료를 받으실 수 있답니다.
첫번째 케이스로, 삐뚤어진 앞니를 단 8개월만에 가지런하게 만들었던 성인교정 케이스를 보여드릴께요.
중년인데 삐뚤어진 앞니를 교정치료로 가지런히 할 수 있을까요?
아니면 앞니를 다 씌워서라도 예쁘게 만들고 싶어요.

참 많이 듣는 상담 주제입니다.
중장년층 어른들도 앞니가 삐뚤어진 것을 개선하고 싶어하시는 경우가 점점 많아지고 있죠. 사실 나이가 들어서 교정치료를 받는다는게 참 새삼스럽다는 생각이 있었던 시기가 지나고, 요새는 100세 시대에 앞니 부분교정 정도는 얼마든지 권해드리고 있는 추세입니다.
보통 삐뚤어진 앞니를 가지런히 하기 위해 크라운 치료를 권하는 치과들이 많은데요, 충분히 건강한 잇몸건강상태만 유지하신다면 나이에 상관없이 교정치료가 가능하다는 것이 교과서에 나오는 진실입니다.
얼마전에 제가 보여드렸던 케이스를 보시면, 앞니 크라운의 장기적 결과가 얼마나 비심미적인지 아실 수 있을겁니다. 그리고 크라운으로 치료받았던 치아들은 탈이 나면 또 크라운을 만들어야 하구요. 크라운의 평균 수명은 10~15년 입니다. 자연치아는... 관리만 잘 하시면 평생 쓰죠?

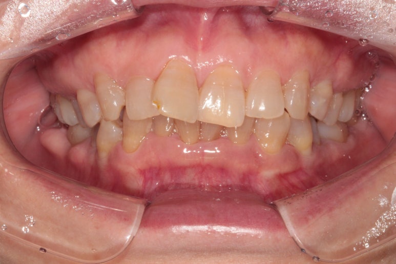
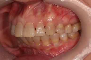
앞니가 좀 삐뚤어져 있었습니다.
보통 아래 앞니보다는 위 앞니가 삐뚤빼뚤 할 때 상담차 오시곤 하는데요,
아무래도 환자의 대부분이 성인이다보니 그런 것 같아요.

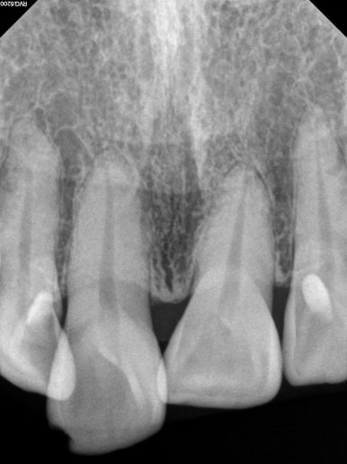
엑스레이를 찍는 이유는 잇몸이 건강한지를 확인하기 위함입니다.
50대 여성분임에도 불구하고 충분히 건강한 잇몸상태를 확인할 수 있었습니다.
그러면.. 교정치료가 가능하다는 뜻입니다.
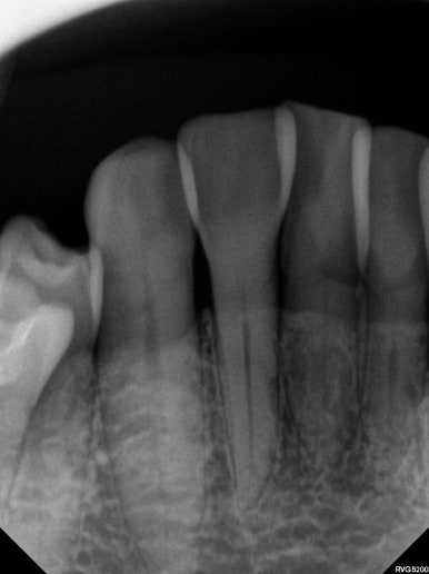
처음 시작은 충치가 있는지 풍치가 있는지 보는 것입니다.




충치검사를 꼼꼼히 해야합니다.
잇몸이 안좋으시면 잇몸치료를 먼저 완벽하게 해놓아야하고, 충치가 있으시면 충치치료를 완벽하게 해놓아야 합니다. 완벽한 잇몸치료가 생각보다 달성하기 어려운 목표인데요, 제가 또 치주과전문의 아니겠습니까? ㅎㅎ
성인교정의 대부분은 삐뚤어진 앞니의 배열 개선을 위함입니다.
치아의 뿌리 상태를 확인하기 위한 방사선 사진 촬영 필수!


교정을 하기 전에 무조건 위아래 앞니의 뿌리길이를 체크해야 합니다.
아무래도.. 성인교정의 대부분은 삐뚤어진 앞니 배열의 개선이지요?
그러면 앞니의 움직임이 다소 많을 것이기 때문에, 교정하기에 적합한 뿌리 길이를 갖고 있는지 확인해야합니다.
그런 면에서 이번 환자분은 당연히 합격!
클리피씨 교정을 합니다.

TOMY 사의 클리피씨는 가장 많이 쓰이는 교정장치입니다.
위에 보이는 사진은 교정장치를 붙이고 불과 4개월 후 입니다!
생각보다 위턱 앞니가 빨리 가지런해 진 것을 확인할 수 있습니다.
아래 앞니만 조금 더 가지런해지면... 될 것 같은 느낌이네요.


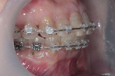
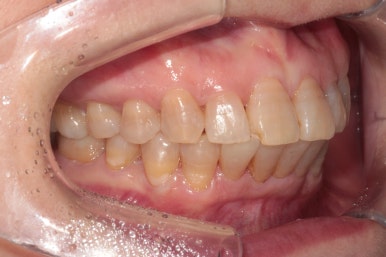
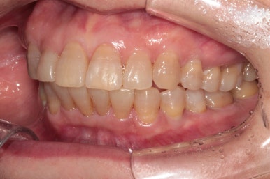
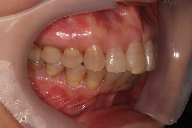
상당히 뻐드러져 있었던 앞니가 적절한 위치를 찾아가고 있는지 확인을 하기 위해 측면 사진도 찍어봅니다.
저희 치과에서는 Overjet이라고 표현하는데, 윗니가 아랫니를 약 1-2mm 정도 덮는 모양이어야 평균이라고 봅니다.
보시면 위와 아래 치아 사이에 약간의 틈이 있는 것을 보실 수 있죠? 점점 개선될거에요!!


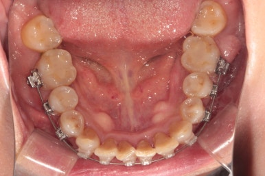
그리고 교합면 사진을 통해 전체적인 진행 상태도 파악할 수 있죠.
많은 교정치료 포스팅에서 치료 전 - 치료 중간 - 치료 후 사진을 보여주는데요,
사실 교정치료에 대해서 포스팅을 통해 이랬다 저랬다 설명할게 별로 없습니다. ㅎㅎㅎㅎ
왜냐면 치료하는 주치의마다 교정치료의 방법이 매우 다양하고, 치료를 해나감에 있어 개개인의 경험과 테크닉이 중요할 뿐이지 결과는 가지런한 치아가 됐다! 이것 뿐이니깐요...
다만, 꼭 드리고 싶은 말씀은 치과교정과 전문의가 직접 치료하는 치과를 방문하시길 바란다는 것입니다.
왜냐면 치과전문의들은 치료 완성도에 대한 기준이 높습니다. 아무래도 전문의의 자존심과 연관된 것이겠죠?
전문가가 치료함에 있어 치료에 대해 자부심과 자신감을 갖고 있는 것은 매우 중요합니다. 그래서 전... 기왕 묵돈내고 받으시는 교정치료, 치과교정과 전문의가 있는 치과를 찾아 받으시라 권하고 싶습니다.
(통합치의학과 전문의 + 교정과 레지던트 = 교정과 전문의는 아닙니다. 그냥 두 과정을 했다 뿐이지 말장난이죠.)
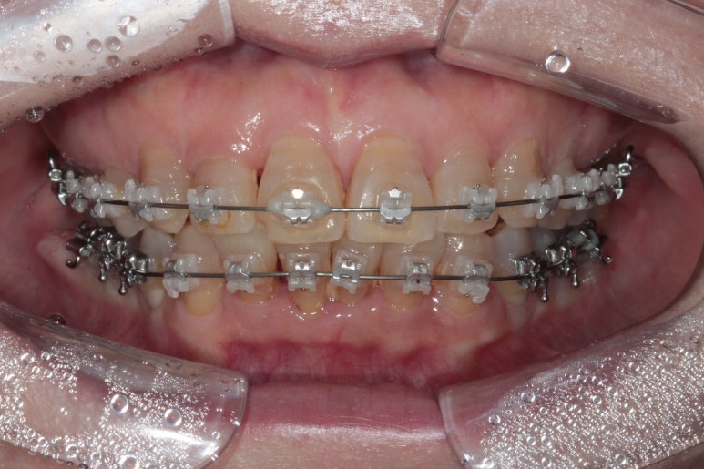
교정 시작하고 6개월만에 치아배열이 다되어갑니다.

요새 유행하는 인비절라인 (투명교정) 의 경우 치료 기간에 가장 중요한 것이 환자의 협조도입니다.
그런 면에서 고정식 브라켓을 치아에 붙이고 와이어를 이용해서 교정을 해내는 전통적 스타일의 클리피씨 교정치료는 치료기간을 상당히 단축시킬 수 있다는 장점이 있습니다.
요새 교정 브라켓은 하얀색이 많고, 사실 교정치료 받는다는 것이 부끄러운 것이 아닌 세상입니다.
기왕 하실거라면.. 치료기간이 불확실한 인비절라인보단 고정식 장치를 사용하는 클리피씨 교정치료를 권해드리겠습니다.


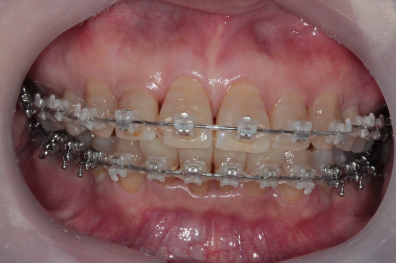
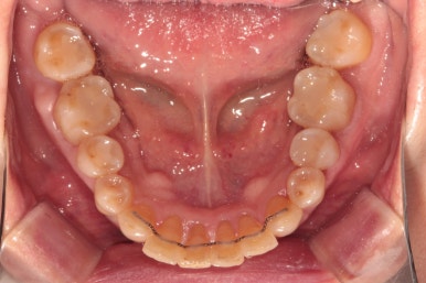
이제 정말 많이 배열이 완성되었습니다. 아래 앞니를 배열시키느라 시간이 조금 더 걸렸던 것 같아요.
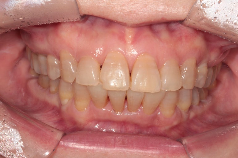
대망의 교정치료 완성의 날.

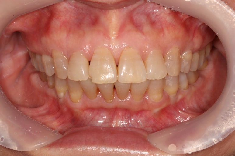
교정치료가 완성되었습니다!!
비록 앞니가 깨진 것이 조금 눈에 띄긴 하지만... 환자분은 배열만 해도 매우 만족한다 하셔서 이렇게 치료를 마무리 하였습니다. 끝까지 배열이 어려웠던 아래 앞니의 가지런함이 눈에 띕니다.


교합평면도 평평하게 조화롭게 완성된 것을 보실 수 있습니다.
생각보다 평평한 교합평면을 달성해내는 것은 어려운 과정입니다.


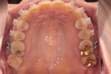
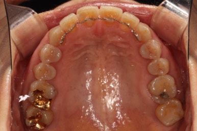
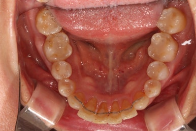
씹는면에서 보아도 상당히 가지런히 완성된 것을 보실 수 있습니다.
교정치료가 끝나면 혀쪽에 유지장치를 붙여드리는데요, 치석이 보다 덜 생기도록 하기 위해서 치아 표면 그대로의 모양을 따라가는 와이어를 제작하여 부착해드리고 있습니다.
조금 더 비용을 들이더라도 정성담긴 모양의 유지장치입니다!!
치아 사이 공간까지도 완벽하게 밀착하고 지나가야 좋은 고정식 유지장치입니다. 그래야 치석도 덜 생기고 관리가 편해지시거든요..

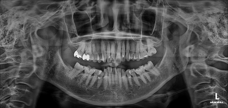
마지막으로 파노라마 엑스레이를 찍고 마무리하였습니다.
보시다시피 모든 치아가 뿌리가 나란하게끔 교정이 마무리 된 것은 아닙니다만, 생리적으로 적절한 교합을 형성하였고 가장 눈에띄는 앞니는 배열을 가지런히 맞추어 내었습니다.
성인 교정은 금방 치아가 틀어지지 않나요?
절대 그렇지 않습니다!! 유지장치를 잘 사용해주세요.

교정치료가 끝나고 2년 뒤 내원하셨을 때의 구강내 사진입니다.
스크롤을 위아래로 이동해가며 보시면 아시곘지만, 치열의 변화가 거의 없어요!

치과용 파노라마 엑스레이를 보았을 때, 특별히 잇몸이 안좋아진 치아도 보이지 않았으며 향상된 치아배열로 인해 구강위생관리 또한 향상되어 있다는 생각이 절로 들었습니다.


성인 앞니 부분교정 2년이 지나고 나서도 변함없이 깔끔하게 유지되고 있는 위턱아래턱 관계를 보실 수 있을거에요. 이렇게 관리 잘 해주시는 분들께 치과의사도 감사함 뿐입니다!


교정유지장치 끊어짐 없이 아주 깔끔하게 잘 관리되고 있습니다.
조금 힘드셨겠지만, 철저한 구강위생보조용품 사용으로 더욱 완벽히 관리해주시고 있는 모습입니다.
보통 교정유지장치가 있는 경우 6개월에 한번씩 내원하셔서 스케일링 받으시길 권해드립니다!!
한 개의 크라운도 없이 오직 치아배열만으로 비교적 짧은 시간에 치료를 마칠 수 있었던 성인교정 케이스였습니다.
가지런한 앞니를 갖기 위해 왠만하면 지르코니아 크라운, 라미네이트 등 보철치료를 권하지 않습니다.
보다 하얗고 가지런하고 이상적인 치아를 가질 순 있지만.. 가능하다면 교정치료를 통해 그리고 필요하다면 치아미백을 곁들여서 아름다운 인상을 만들어보세요!
저희 치과는 개원한 이래로 늘 치과교정과 전문의 선생님과 함께하고 있습니다. 비록 치과교정과 전문의 선생님이 상주해 있지는 않지만, 그만큼 합리적인 가격으로 '클리피씨'를 사용한 교정치료를 제공하고 있으며 완성도 있는 진료에 만족스러우실거에요.
천천히 읽어보고 궁금한 점이 있으시면 언제든지 댓글 달아주세요 :)
이상 백원장과 치과공부의 치주과 전문의 치과 백원장이었습니다.
온라인상으로 상담을 원하시면 댓글을 달아주세요. 최대한 성실하게 답변을 드리겠습니다! :)
치료 받으신 횟수는 약 12회입니다. 치료 기간은 약 8달입니다.
비용이 궁금하신 분들 또한 댓글을 달아주세요 :) 친절히 안내해드리도록 하겠습니다.
이상 '삐뚤어진 앞니를 8개월만에 가지런하게 만드는 50대 성인부분교정. 치료과정/기간/비용.' 에 관한 포스팅의 치과 백원장이었습니다. 긴 글 읽어주셔서 감사드리며, 궁금한 점은 언제든지 댓글로 문의해주세요!
더 좋은 포스팅으로 또 찾아뵙겠습니다 ^^
본 포스팅은 환자분의 동의 후 작성하였습니다.
치료 시작: 2021.04.15
치료 완료: 2021.12.29
예상되는 부작용: 교정치료 후 relapse 등