아카이브 요약
이 페이지의 역할
레브치과의원 강남점의 네이버 블로그 원문을 보존한 아카이브 페이지입니다. 이웃공개 치과컨텐츠 카테고리의 잇몸 성형과 치아미백 그리고 지르코니아 20대 앞니 크라운 치료. 치료과정/기간/비용. 글을 통해 병원의 한국어 정보 제공 방식과 진료 관련 안내 톤을 확인할 수 있습니다.
원문 검증
필요하면 원문 블로그와 병원 프로필로 바로 이동해 문맥을 다시 확인할 수 있습니다.
출처 아카이브 열기아카이브된 블로그 글
레브치과의원 강남점 · Naver Blog
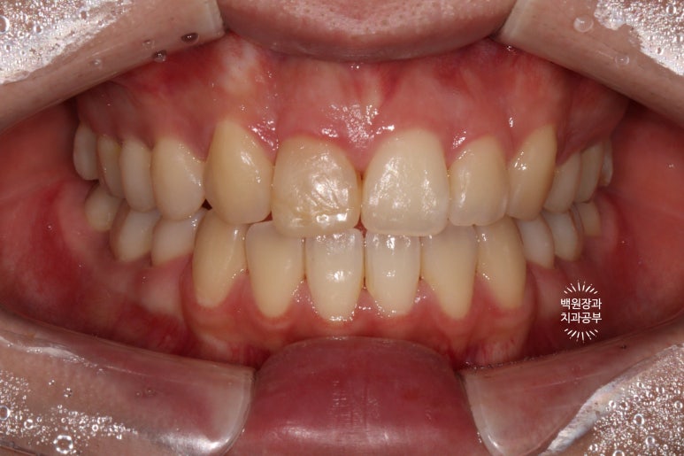
안녕하세요. 임플란트 장인을 꿈꾸는 치과 백원장입니다. 오늘 소개해드릴 환자분은 다소 보기 드문, 앞니가 하나 없어 교정치료를 받았던 20대 여자 환자분입니다. 잇몸 성형과 치아미백 그리고 지르코니아 크라운을 이용해 앞니를 예쁘게 만들어 본 케이스입니다. 어렸을 때 대문니를 하나 뺐어요. 인접한 작은 앞니에 레진을...
게시일
2024년 4월 5일
원문 기준으로 확인된 발행일입니다.
카테고리
이웃공개 치과컨텐츠
원문 블로그 카테고리를 정리해 함께 표시합니다.
이미지 수
17
현재 아카이브에 연결된 이미지 수입니다.
아카이브 요약
레브치과의원 강남점의 네이버 블로그 원문을 보존한 아카이브 페이지입니다. 이웃공개 치과컨텐츠 카테고리의 잇몸 성형과 치아미백 그리고 지르코니아 20대 앞니 크라운 치료. 치료과정/기간/비용. 글을 통해 병원의 한국어 정보 제공 방식과 진료 관련 안내 톤을 확인할 수 있습니다.
원문 검증
필요하면 원문 블로그와 병원 프로필로 바로 이동해 문맥을 다시 확인할 수 있습니다.
출처 아카이브 열기안녕하세요.
임플란트 장인을 꿈꾸는 치과 백원장입니다.
오늘 소개해드릴 환자분은 다소 보기 드문, 앞니가 하나 없어 교정치료를 받았던 20대 여자 환자분입니다.
잇몸 성형과 치아미백 그리고 지르코니아 크라운을 이용해 앞니를 예쁘게 만들어 본 케이스입니다.

어렸을 때 대문니를 하나 뺐어요.
인접한 작은 앞니에 레진을 붙여 사용하고 있었어요.

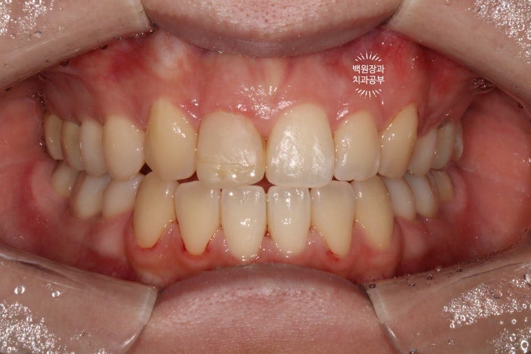
앞니가 하나 없어 대문니 없이 교정치료를 마무리하신 상태입니다.
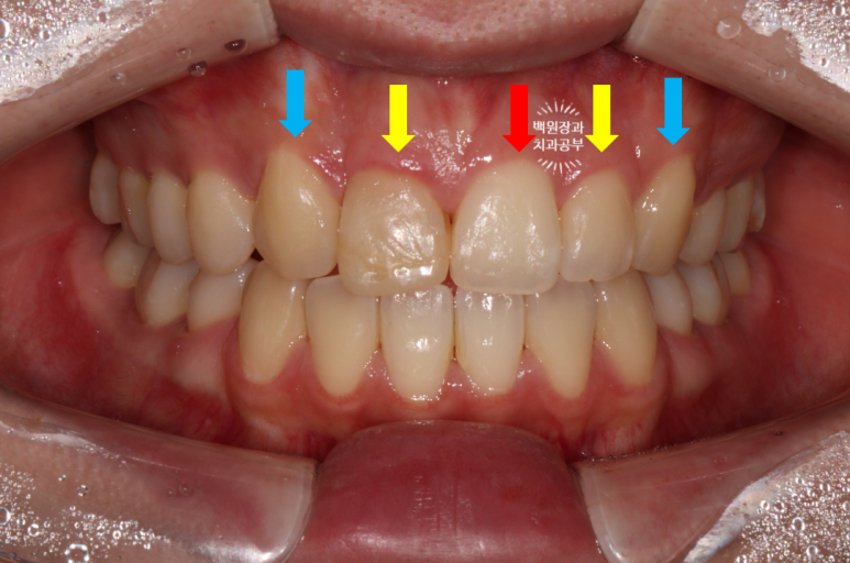
사실 전문가가 아니면 딱 보고 뭐가 문제지?? 라고 생각하실 수도 있을텐데요,

다시 보시면, 빨간색으로 표시된 것이 가장 가운데 치아인 중절치.
노란색으로 표시된 것이 작은 앞니인 측절치
파란색으로 표시된 것이 송곳니인 견치입니다.
마치, 가운데 앞니 두개가 모두 대문니 같아 보이지만, 하나는 레진으로 감싸놓은 착시 현상이라는 것!!
비교적 세모난 모양을 갖고 있는 송곳니의 위치를 파악하시고 나면, 아!!! 하고 깨달으실거에요. ㅎㅎ


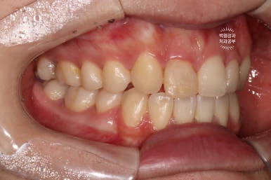
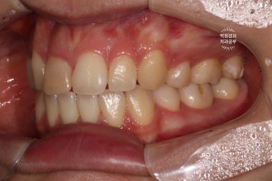
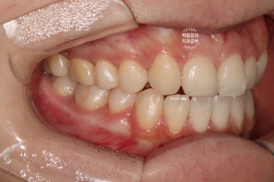
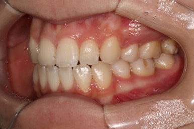
왼쪽: 우측 측면사진, 오른쪽: 좌측 측면사진
고개를 돌려 촬영한 사진을 보시면, 더욱 확실히 확인이 가능하실거에요.
우측 측면사진에 앞니가 하나 부족합니다. 정확히 얘기하면 대문니 - 중절치가 없죠.

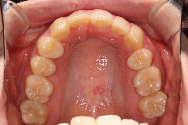
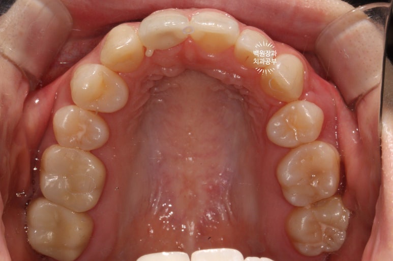
교합면에서 보면, 앞니가 다섯개라는 것이 더 명확해집니다!!!
아마, 어렸을 때 앞니를 잃어버리신 것 같아요. 그래서 작은 어금니도 비대칭으로 왼쪽은 1개 오른쪽은 2개였습니다. 상당히 난이도 있는 교정치료일텐데, 정말 훌륭한 치료결과이긴 했었어요!
저희 치과도 교정과 전문의 선생님께서 열심히 양질의 교정치료를 해주고 계십니다 :)
간단한 링크 한 번 걸어드리고...
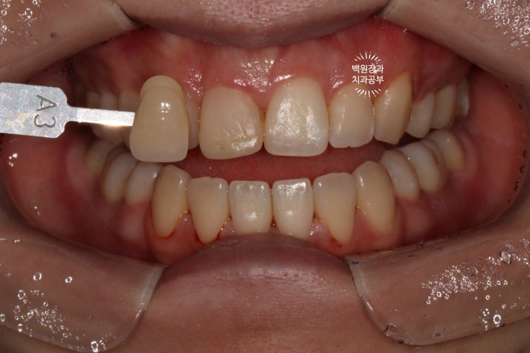
미백치료를 먼저 했습니다.
저희 치과의 치료 계획은 세가지 입니다.
치아미백을 하여 전반적인 색조 개선을 합니다.
잇몸 성형을 하여 좌우 대칭이 되도록 잇몸 라인을 맞춰줍니다. 이 때 임시치아가 중요합니다!
지르코니아 크라운을 제작하여 치아 형태의 좌우 대칭을 완성합니다.

미백치료의 시작은 스케일링입니다!
깨끗한 상태로 만들어드려야 미백 결과도 더 예쁘게 보인다구요~
중요한 것은 우리가 치료할 예정인 치아는 이미 레진으로 치료가 되어있고, 레진은 미백으로 밝아지지 않는다는 것입니다.
전문가 치아 미백에 궁금하시다면 간단하니깐 포스팅 한 번 구경해보세요!

전반적으로 A2.5~A3 shade를 갖던 치아들이, 2시간 정도 전문가 치아미백을 받고 나서

B1보다도 더 밝아졌답니다.
전반적으로 색조가 whitish하게 개선되었네요!
잇몸 성형을 시행합니다.
잇몸 라인을 새로 형성하기 위해서 잇몸 성형술을 시행하였습니다.
다만, 단순히 레이저로 잇몸을 성형한다고 해결될 일이 아닙니다.
잇몸을 비롯하여 주변 치아와 잇몸뼈의 구조를 이해하고 함께 성형을 해주어야 좋은 결과를 얻을 수 있습니다.
그래서 치주과 전문의의 전문 진료 영역이기도 하죠!

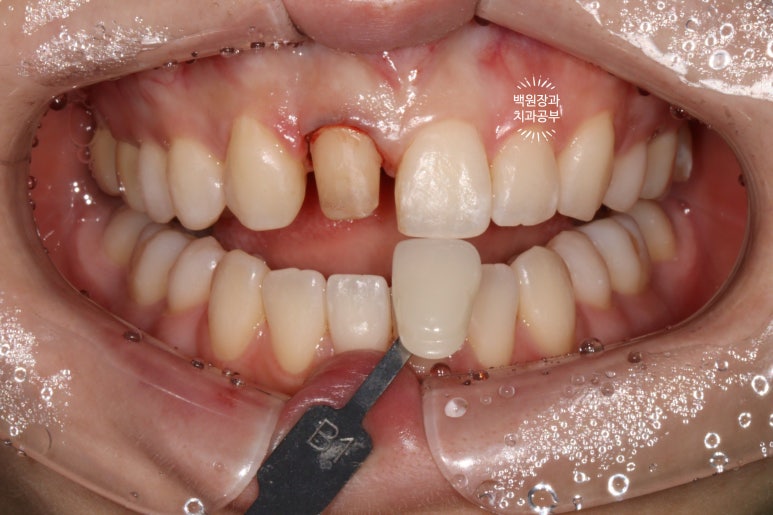
먼저 최소한으로 지르코니아 크라운을 위한 치아 삭제를 시행해주었고,
반대쪽 앞니를 참고해서 최대한 대칭이 되도록 잇몸성형술을 시행해주었습니다.
보통 creeping 되는 경우가 많기 때문에, 임시치아를 최대한 완벽하게 만들어 주어 치은을 빚어주어야 합니다.
(gingiva molding이라고도 합니다.)
원래부터 측절치였기 때문에, 치아 삭제량이 생각보다 거의 없었습니다.

B1임을 측정해서 임시치아를 제작해 붙인채로 약 1달 정도 기다리면 좋습니다!
왜냐면, 잇몸의 상피 조직이 성숙화 되는 시간이 1달 정도이기 때문이죠.
지르코니아 크라운을 제작하였습니다.

최대한 비슷한 형태로 반대쪽 치아와 유사하게 지르코니아 크라운을 제작해드렸습니다.
새 크라운이라 조금 더 윤이 나고 반짝반짝하지만, 환자분은 매우 만족해 하셨어요!


측변에서 보아도 심미적으로 상당히 개선된 치아 배열을 보실 수 있습니다.

치아 하나만 바꿨을 뿐인데, 교합면에서 볼때도 훨씬 안정적인 느낌을 줍니다.
비로소 균형을 되찾은 느낌이지 않나요? ㅎㅎ
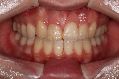
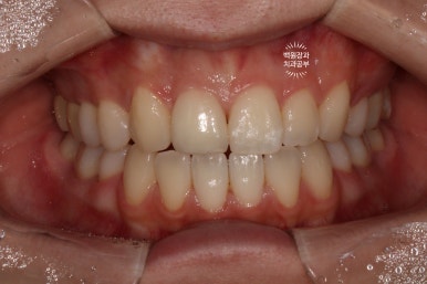
Before & After


치아미백과 잇몸성형술 그리고 단 한개의 지르코니아 크라운을 통해 얻은 심미적인 결과입니다!
치아는 보다 밝아졌고, 앞니는 더 나란히 - 가지런해진 모습이 훨씬 보기 좋아졌네요 :)
밝은 색상의 앞니는 밝은 인상을 가지는데 큰 역할을 합니다.
강남 소재 치과에서 많이 하고 있는 라미네이트는 완벽한 아름다움을 주곤 하지만, 소정의 치아 삭제량을 피할수가 없죠... 치아는 한 번 깎으면 돌이킬 수 없으니 신중하셔야 합니다.
치아 미백으로써 치아를 훼손시키지 않고 밝은 미소를 가질 수 있습니다. 어찌보면 가성비 좋고 만족감 높은 치과치료 술식 중 하나라고 할 수 있죠!! 저희 치과는 오스템 뷰티스 미백제를 사용합니다.
잇몸 높이를 맞춰드리기 위해 잇몸 성형술 (치은 성형술)을 시행했는데요, 좌우 대칭의 잇몸높이를 갖기 위해 생각보다 경험있는 치주과 전문의의 진료가 필요합니다. 위에서 보시는 Before & After 처럼 거의 완벽에 가까운 잇몸 형태를 재현해낼 수 있습니다!
마지막으로, 보편적으로 앞니 크라운의 경우 지르코니아 크라운을 많이 사용하며 자연스럽고 완벽한 결과를 얻기 위해 좌우 대칭으로 짝수 개수의 치료를 많이 받으십니다. 2개 혹은 4개 더 나아가 6개 8개 치료를 받아야 보다 쉽게 앞니의 아름다움을 가져갈 수 있거든요. 역설적으로 여러 치아를 손을 댈수록 과정은 쉬워지고 결과는 좋아집니다.
단 한개의 앞니만을 수정함으로써 생각보다 만족스러운 결과를 이끌어낼 수 있어서 기억에 남는 환자분입니다.
심지어 지르코니아 크라운으로 치료받았던 치아는 원래 작았던 측절치였기에 치아 삭제량도 최소로 할 수 있었습니다!! 상당히 뿌듯하고 자랑할만한 결과였고, 한편으로 일련의 치료를 잘 따라와주신 환자분께 감사의 말씀을 전하고 싶습니다.
천천히 읽어보고 궁금한 점이 있으시면 언제든지 댓글 달아주세요 :)
이상 백원장과 치과공부의 치주과 전문의 치과 백원장이었습니다.
온라인상으로 상담을 원하시면 댓글을 달아주세요. 최대한 성실하게 답변을 드리겠습니다! :)
치료 받으신 횟수는 약 6회입니다. 치료 기간은 약 1.5달입니다.
비용이 궁금하신 분들 또한 댓글을 달아주세요 :) 친절히 안내해드리도록 하겠습니다.
이상 '잇몸 성형과 치아미백 그리고 지르코니아 20대 앞니 크라운 치료. 치료과정/기간/비용. ' 에 관한 포스팅의 치과 백원장이었습니다. 긴 글 읽어주셔서 감사드리며, 궁금한 점은 언제든지 댓글로 문의해주세요!
더 좋은 포스팅으로 또 찾아뵙겠습니다 ^^
본 포스팅은 환자분의 동의 후 작성하였습니다.
치료 시작: 2023.02.15
치료 완료: 2023.03.30
예상되는 부작용: 보철물의 파절, 이차우식 등.