안녕하세요.
임플란트 장인을 꿈꾸는 치과 백원장입니다.
임플란트 수술 중 가장 어려운 수술이 어떤 것일까요? 혹자는 앞니 임플란트라고도 하고, 누구는 상악동 뼈이식술을 해야하는 임플란트라고도 합니다. 물론 전체 임플란트도 어렵습니다.
그래도 단연 누구나에게나 빼놓지 않고 어려운 임플란트 수술은 '임플란트 재수술'일 것입니다.
성공률도 낮고, 이미 파괴된 잇몸뼈와 잇몸조직들로 예쁘게 마무리 짓기도 어렵죠...
덴티움 뼈이식재와 덴티움 차폐막 그리고 건강보험 오스템임플란트로 멋지게 재수술했던 케이스 입니다.

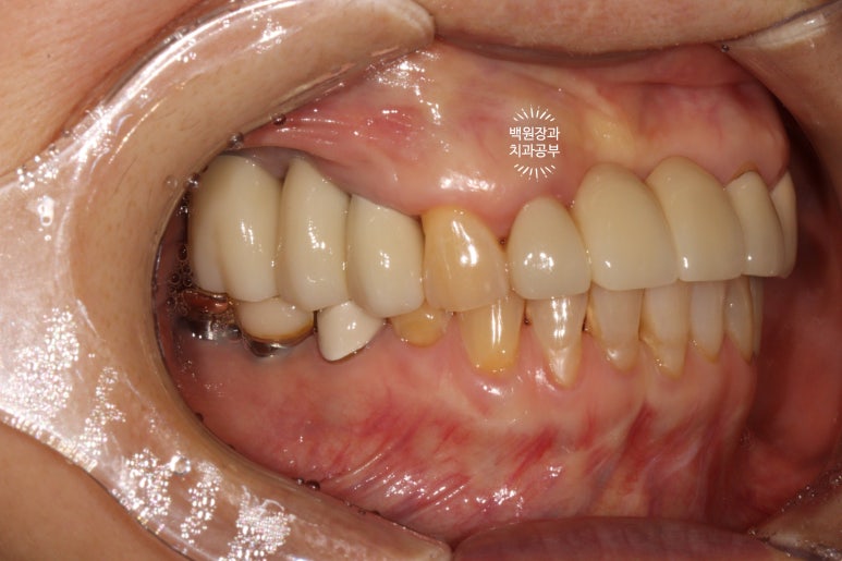
다른치과에서 했던 어금니 임플란트가 망가진 것 같아요.
임플란트 주변에서 고름이 나옵니다.

저희 병원에 내원했던 60대 여자 환자분입니다. 특이 병력으로 골다공증이 있으셨어요.
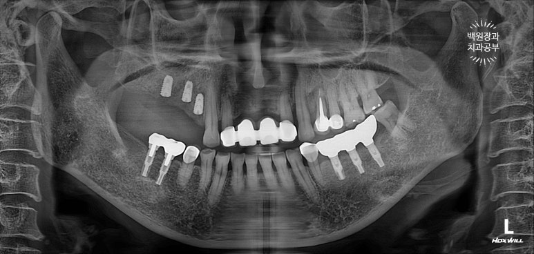
오른쪽 위 임플란트 2개를 약 10년 전에 수술하신 분입니다.
노란색으로 동그라미 쳐져 있는 부위의 임플란트 주변 잇몸에서 고름이 나온다고 하셨어요.
이미 잇몸뼈는 주황색 선처럼 매우 많이 사라져 버린 상태..... 이미 임플란트 주변 뼈는 모두 사라져 빠지기 직전.
보시면 녹색 별로 표시한 자기치아도 주변 뼈가 이미 많이 없어진 것을 보실 수 있습니다.
임플란트 주위염이 심해지면 주변 자연치아도 못쓰게 됩니다. 정기검진을 꼭 다니셔야하는 이유입니다.
저희 치과는 책임지고 저희 임플란트 환자분들 정기검진을 열심히 하고 있습니다!..

그런게 기가막힌건 그냥 입 안 사진을 봐서는 그렇게 안좋아보이지 않는다는 것입니다..
그래서 임플란트 주위염.. 임플란트 풍치는 방치되는 경향이 있습니다.
그러다 어느날 갑자기 빠진 임플란트를 들고오시죠.. 그 땐 이미 너무 늦습니다..ㅠㅠ
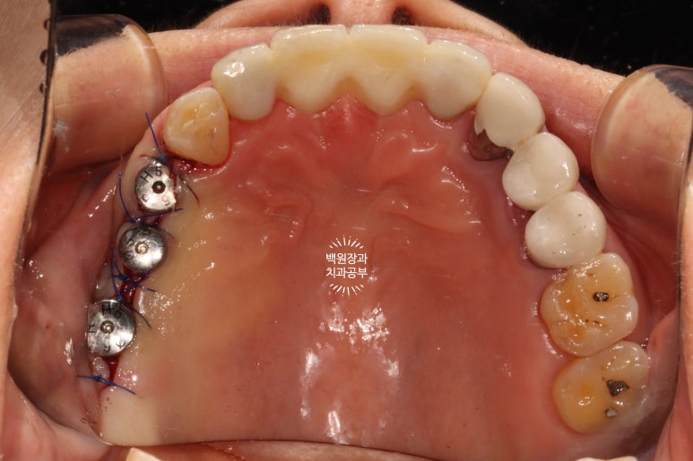
임플란트 두개와 같이 잇몸뼈가 망가진 자기 치아를 뽑기로 했어요.
덴티움 뼈이식재를 이용한 치조제 보존술을 합니다.

임플란트 주위염이 심해져 심한 잇몸뼈 소실이 있는 경우 특별한 방법이 없습니다.
해당 임플란트와 자연치를 제거하고 너무나 큰 빈 공간에 뼈이식을 하게 됩니다.
위 세개를 제거하기로 했습니다.
그리고 덴티움의 시그니처 뼈이식재인 osteon III를 사용해서 동시 뼈이식을 계획했어요.

잇몸뼈가 망가진 임플란트와 자연치는 생각보다 쉽게 제거됩니다.
임플란트 재수술의 기초는 반드시 임플란트 제거와 동시에 뼈이식을 함으로써 시작되는데요,
보시다시피 엄청나게 큰 웅덩이가 세개나 있는 것을 보실 수 있을거에요.

제가 애정하는 덴티움 (제노스) 사의 Osteon III 1.0cc 합성골을 이용하여 넉넉하게 뼈이식을 해주었습니다.
저희 치과의사는 이를 뽑으면서 뼈이식을 하는 행위를 치조제보존술이라고 부릅니다.
'치조제'란 치아를 담고있는 잇몸뼈를 칭하고, 보존술은 말 그대로 그 잇몸뼈를 보존해보자는 뜻.....
뼈이식을 한다고 100프로 뼈가되는 것은 절대 아니지만, 그래도 이렇게 최선을 다해봅니다.
덴티움은 오스템에 이어 두번째로 큰 임플란트 회사이며, 뼈이식재는 R&D가 잘 되어있어 오랫동안 독자적으로 잘 생산하고 있는 회사입니다.

그리고 '반드시' 덴티움 뼈이식재 상방에 덴티움 차폐막을 덮어주어야 합니다.
차폐막은 주변 잇몸 조직으로부터 뼈이식재료들이 침범당하지 않고 오롯이 뼈가 되도록 도와주는 역할을 합니다.
치과 백원장은 덴티움 뼈이식재와 덴티움 차폐막의 콜라보레이션을 가장 선호하는 편입니다.
꽤나 깔끔하게 꿰매진 것을 보실 수 있을겁니다 :)

1주일이 지나 실밥을 제거한 뒤의 소견입니다.
아주 당연하지만, 이와 임플란트를 뽑으면 그 자리에 잇몸이 없으니 구멍이 나 있을 수 밖에 없겠죠?
그 구멍을 통해 뼈이식재가 다 쏟아진다면 우리가 했던 치조제보존술은 아무 의미가 없겠죠.
그래서 사용하는 것이 차폐막이라는 막이고, 실밥을 제거할 때 보이는 저 흰색의 재료들이 그 차폐막입니다.
차폐막은 콜라겐으로 이루어져 있고, 덴티움사의 차폐막이 cross-linked 방식으로 제조되어 잘 흡수되지 않고 오래 버텨주기로 유명합니다.
딱 봐도 뼈이식재가 삐져나오지 않고 잘 갇혀있을 것 같은 느낌이죠?

뼈이식을 하고나서 촬영한 치과용 파노라마 사진입니다.
뼈이식재가 엄청나게 잘 위치된 것을 볼 수 있습니다. 마치 뼈가 하나도 없어지지 않았던 것처럼......
기억하셔야 할 점은 이 재료들이 100프로 뼈가되지 않는다는 것입니다. 그래서 더 비싸고 좋은 뼈이식재료를 사용하는 치과를 찾아가셔야 합니다. 아무래도 좋은 재료일수록 잘 버티고 많이 남죠....
그래서 저희 치과는 스위스 가이스트리히 사의 뼈이식재와 대한민국의 덴티움사의 뼈이식재 두가지를 주력으로 사용하고 있습니다.
치조제 보존술을 하고 나면 4개월은 기다려주셔야 합니다!
임플란트 재수술은 일반적으로 더 오래걸려요. ㅠㅠ

정확히 4개월을 기다려 임플란트를 심어드렸습니다.
보시면, 처음 뼈이식했던 것보다는 임플란트가 다소 깊이 위치한 것을 보실 수 있죠?
왜냐면, 아까 얘기했듯이 우리가 사용했던 뼈이식재가 100프로 모두 잇몸뼈가 되지 않기 때문이죠.
*** 그런데 왜 뼈이식을 굳이 합니까. 시간도 오래걸리고.....
비싼재료 사용해가면서 임플란트 재수술을 위해 임플란트 제거 날 뼈이식을 해두는 이유는 간단합니다.
뼈이식을 해두지 않으면, 정말 뼈가 다 주저앉는 경우도 많기 때문이에요......
가뜩이나 잇몸뼈가 많이 없어진 상태에서 아무 조치도 않고 두면.. 임플란트 재수술이 불가능해지거나, 가능하더라도 엄~~~~청나게 임플란트를 깊이 심어야 하는 상황이 됩니다.
임플란트가 깊이 위치한다 = 임플란트의 머리가 길어진다.
상상만해도 괴롭지 않습니까? 양치질도 너무 어렵고.. 밥먹으면 음식 엄청 끼고... 그래서 굳이 어려운 뼈이식을 하고 있는겁니다!!! 목표는 임플란트의 머리가 길어지지 않게 해보자는 것.
길어지는 임플란트 치료기간동안 앞니 지르코니아 브릿지 완성!

사실 요 왼쪽 위 작은어금니가 잇몸이 좀 안좋다고 하셨거든요.
요기는 임플란트보다 다소 더 심미적인 브릿지를 원하셔서 앞니처럼 지르코니아 브릿지로 제작하기로 했습니다.
요게 치료 전~


요게 치료 후~
저희 치과는 지르코니아 크라운/브릿지 맛집이랍니다.
사실 늘 함께 열심히 만들어주는 실력좋은 기공소와 함께하기 때문입니다. :0
임플란트 1차수술 후 3개월을 더 기다려 임플란트 2차수술을 합니다.

정확히는 3개월 반 정도 기다려서 임플란트 2차수술을 해드렸습니다.
아무리 날고 기는 회사의 임플란트 뼈이식재라도... 사용되고나서 내 뼈처럼 단단해지려면 4개월은 필요합니다.
4개월을 기다려도 조직학적 소견을 살펴보면 정작 내 뼈는 많지 않죠.....
그래서 만들어진 그 잇몸뼈에 임플란트를 심고나서 또 넉넉히 3-4달 기다려야 합니다.
기나긴 시간이었습니다... 잘 따라와준 환자분께 박수를....

이렇게 잇몸뼈 안에 있는 임플란트에 뚜껑을 끼우면 그게 임플란트 2차수술입니다.
사실 임플란트 2차수술은 이렇게 단순히 뚜껑만 껴주는 수술이 아닙니다.
대부분의 치과의사들이 임플란트 2차수술의 역할에 대해 간과하고 있는데.... 임플란트 2차수술은 임플란트 1차수술 못지 않게 중요한 수술이며, 가장 큰 역할은 앞으로 제작될 임플란트 주변의 잇몸 환경을 적절히 조성해 주는 것입니다.
이번 60대 여자 환자분의 임플란트 재수술 케이스의 경우, 임플란트를 제거하게 된 원인은 '임플란트 주위염' 이었으며 임플란트 주위염이 발생한 이유는 기존 임플란트 주변으로 칫솔질을 잘 할 수 있는 환경이 제공되지 않았기 때문입니다.
임플란트를 심으면서 잇몸의 형태를 고려해주지 않으면, 칫솔질이 어려운 임플란트 보철물이 제작되게 되고 결국 치태가 쌓이고 치석이 쌓여 임플란트 주위염으로 고생하시게 되죠....
그래서 저는 임플란트 2차수술을 하며 근단변위판막술 (apically positioned flap)을 함께 해주면서 전정성형술 (vestibular deepening)을 함께 해주어 임플란트 완성 후에 관리가 용이한 환경을 조성해 드린 것입니다!
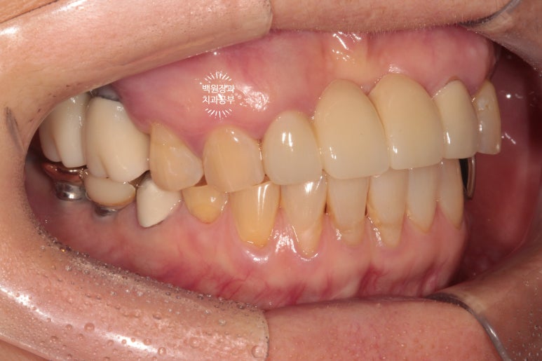
드디어 임플란트 재수술이 완료되었습니다.
정말 긴 시간 고생하셨습니다!

드디어 임플란트 재수술이 성공적으로 마무리 되었습니다! 정말 긴 시간동안 단 한마디 불평도 없이 잘 따라와주신 환자분께 다시 한 번 감사드립니다 :)

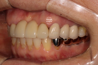
수술 전의 사진과 비교해서 생각보다 임플란트가 원래 자리와 비슷한 레벨에 위치해 있음을 확인할 수 있습니다.
이게 모두 임플란트 제거와 동시에 시행했던 덴티움 뼈이식재를 이용한 치조골 이식술 덕분입니다.

정면에서 보았을 때는 잘 보이시지 않을 수 있으나,

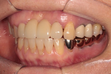
측면에서 보았을 때, 처음에 저희 병원에 내원하셨을 때에 비해 많이 길어지지 않고 비슷한 길이의 크라운으로 제작된 것을 확인하실 수 있을겁니다.

수술 전에 비해 약 1-2mm 정도 임플란트 크라운이 길어진 느낌이네요.
체감이 잘 안되실 수 있으나... 치과의사들이 보면 나름 흥미로움을 느낄 수 있는 결과라고 할 수 있죠!

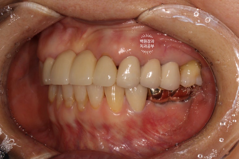
좌측은 깔끔하게 마무리된 지르코니아 브릿지를 보실 수 있네요 :)

씹는면에서 보면 그 깔끔함이 더 두드러집니다.
개인적으로 환자분이 생각보다 너무 만족해하셔서 기억에 남는 케이스였습니다.
긴 시간동안 치료를 잘 따라와주신 환자분께 진심으로 감사드립니다!
임플란트는 재수술이 불가능하다고만 생각하시는 분들이 많습니다.
물론 불가능한 경우도 있습니다. 위턱 임플란트의 경우 상악동이 제약을 많이 주고, 앞니의 경우 뼈가 너무 얇아서 심을 수 없는 경우도 있습니다. 아래턱 임플란트의 경우 하치조신경관이 제약을 많이 줍니다.
그래서 임플란트 주위염으로 임플란트를 제거하는 시기를 정할 때, 보통 교과서적으로 임플란트 주변 잇몸뼈가 수직적으로 50% 정도 소실 됐을 때를 그 기준으로 정합니다. 그보다 더 없어지면.. 회복이 어려운 경우가 많기 때문입니다.
이번 60대 여자 환자분 같은 경우에, 사실 80프로 이상의 임플란트 주변 수직 골소실이 있는 케이스였습니다만.. 정확한 진단과 좋은 재료의 사용으로 정말 좋은 결과를 얻었다고 자부할 수 있습니다.
덴티움은 오스템임플란트에 이어 2인자의 이미지가 있음을 부정할 순 없지만, 국내 회사로써 뼈이식재에 R&D 투자를 가장 많이 하고 많은 실적을 내는 회사입니다. 실제로 임플란트 수술 시 뼈이식재는 꽤나 중요한 비중을 차지하며, 제 지도교수님인 치주과 정교수님도 국산재료로써는 덴티움 재료만을 사용하셨죠..
늘 강조하지만, 임플란트가 무엇인지도 중요하고 아울러 뼈이식재료가 어느것인지도 중요합니다.
좋은 치과의사도 있지만 분명 좋은 치과재료도 있습니다. 현명한 선택으로 좋은 치료 받으시길 바랍니다!!
보기 흔하지 않은 임플란트 재수술 케이스이기에 천천히 읽어보고 궁금한 점이 있으시면 언제든지 댓글 달아주세요 :)
이상 백원장과 치과공부의 치주과 전문의 치과 백원장이었습니다.
온라인상으로 상담을 원하시면 댓글을 달아주세요. 최대한 성실하게 답변을 드리겠습니다! :)
치료 받으신 기간은 10개월입니다. 내원 횟수는 약 25회입니다.
비용이 궁금하신 분들 또한 댓글을 달아주세요 :) 친절히 안내해드리도록 하겠습니다.
이상 '60대 임플란트 주변에서 고름이 나와요. 골다공증 임플란트 제거 후 재수술. 덴티움 뼈이식재를 사용한 치조골 이식술.' 에 관한 포스팅의 치과 백원장이었습니다. 긴 글 읽어주셔서 감사드리며, 궁금한 점은 언제든지 댓글로 문의해주세요!
더 좋은 포스팅으로 또 찾아뵙겠습니다 ^^
본 포스팅은 환자분의 동의 후 작성하였습니다.
치료 시작: 2022.08.25
치료 완료: 2023.06.26
예상되는 부작용: 임플란트 치료 후 통증, 수술 후 감염 등.