안녕하세요.
임플란트 장인을 꿈꾸는 치과 백원장입니다.
21세기인 지금, 치아를 상실한 대부분의 자리에 임플란트 수술이 가능하나 이 좋은 세상에 아직까지도 임플란트 심기가 참 곤란한 부위가 있습니다. 바로 위턱 어금니 부분인데요, 해부학적으로 '상악동'이라는 공간이 존재하여 잇몸뼈가 적기 때문입니다.
오늘 소개해드릴 환자분은 천만원짜리 수술장비의 도움을 받아 !!! 부분 틀니 대신에 성공적인 '상악동 뼈이식' 후 위턱 어금니 임플란트를 해냈던 케이스입니다.

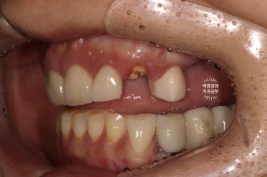
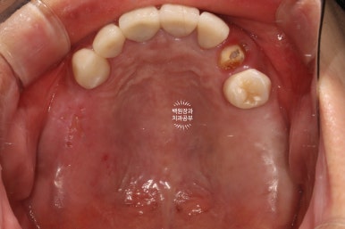
송곳니가 부러졌어요. 어금니 임플란트도 해야되는데...

사실은 송곳니가 부러져 저희 병원을 찾아주었던 40대 여자 환자분이었습니다.
보시면 주황색 화살표로 표시된 곳이 바로 부러진 송곳니가 있는 곳..
그리고 특이하게도 왼쪽 어금니 부위에 임플란트는 없는데, 상악동 뼈이식은 되어있더라구요?
치료 받다가 너무 힘들어 중단하셨다고 하더라구요... 저희 치과 백원장이 또 편안한 진료의 선두주자 아니겠습니까!?
일단 송곳니부터 해결해봅시다~!


신경치료 후 크라운으로 씌웠던 치아셨는데, 이차충치로 인해 치아가 부러진 그 자리엔 짧은 뿌리 뿐이었습니다..
어금니가 없이 앞니로만 너무 오래 식사를 하시면, 이렇게 앞니가 부러짐을 경험하게 되시죠..

보시면 부러진 치아의 일부는 잇몸 속까지 포함해서 부러진 것을 볼 수 있었습니다.
그리고 치과용 CBCT 소견 상 송곳니 부위 잇몸뼈가 너~~무 적어 이 부위는 임플란트가 불가하고.. 양 옆의 치아를 이용한 지르코니아 브릿지 치료를 권해드렸습니다.
내친김에 어금니 임플란트도 상악동 뼈이식술 후 해내보기로 했습니다.

보시면 빨간색으로 표시된 왼쪽 어금니 부위는 오래 전 상악동 뼈이식술이 되어 있었지만,
오른쪽 어금니 부위는 상악동 뼈이식술이 되어있지 않아 '녹색 화살표' 만큼의 뼈밖에 없기에... (화살표를 그려내기도 힘들구만요) 상악동 뼈이식술을 미리 해야하는 상황이었습니다.
그래서 치료 순서를
-
송곳니를 뽑고 그 자리에 임시 브릿지 설치하여 예쁜 앞모습을 만든다.
-
노란색으로 표시된 오른쪽 어금니 부위에 상악동 뼈이식술을 해둔다.
-
빨간색으로 표시된 왼쪽 어금니 부위에 임플란트를 심는다.
-
앞니 지르코니아 브릿지를 만든다.
-
오른쪽 어금니 오스템임플란트를 심는다.
-
왼쪽 어금니임플란트 완성 후 오른쪽 어금니임플란트도 완성.
이렇게 순식간에 치료 목표를 잡고 바로 시작해보았습니다-!!
천천히 사진으로 보시죠^^

대략적인 도식은 이러합니다...
어금니가 없는 자리에 뼈이식을 많이 해야하는 상황이므로, (상악동 뼈이식술은 치과에서 뼈이식재가 가장 많이 사용되는 영역 중 하나입니다.) 측방접근법을 사용하게 됩니다.
가장 효율적이고 성공률이 높은 뼈이식 방법이며, 저희 한남동 치과에는 성공적인 상악동 뼈이식술을 위한 초음파 골삭제 기구 (PIEZO surgery)가 있어 상악동 막의 손상없이 훌륭한 임상결과를 내고 있답니다.

머릿속에 계획했던 도식대로 측방접근법을 이용하여 lateral 부위에 window를 형성해 줍니다.
이를 위해 아까 언급했던 초음파 골삭제 기구가 참으로 많은 도움이 됩니다.

이 기계 한개에 천만원이랍니다.... 그치만 마치 게임처럼.. 수술도 장비빨 무시 못합니다.
좋은 결과를 위해서 투자가 필요한 대목. ㅎㅎ
연세대학교 치과대학병원 치주과에서부터 사용하던 기계입니다.

아까 보시던 얇은 상악동막을 기존의 치조골에서 박리 후, 원하는 만큼 뼈이식을 해둡니다.
저희 연세더좋은플란트치과는 주로 덴티움 (제노스) 사의 osteon III 합성골을 많이 사용합니다.
합성골은 제조 과정부터 아주 깔끔하며 (사체나 동물에서 뼈를 채득하는 것 보단... 물론 멸균은 하지만) 분해되면서 방출되는 칼슘 이온이 뼈를 만들어내는 세포를 보다 더 활성화 시킨다고 되어있습니다.
물론 여러 논문에서 상악동 뼈이식술을 위해 어떤 뼈이식재든 큰 차이는 없다고 되어있지만... 기왕 사용하는 것 국내 1위 합성뼈 제조 회사의 제품을 사용하는 것이 좋겠죠? ㅎㅎㅎ
늘 말씀드리지만, 좋은 재료를 사용하는 치과를 찾아가시길 바랍니다...

출처 : ITI
제가 애정하는 스위스 스트라우만 임플란트의 연구 기관인 ITI에서 따온 모식도를 보시면 이해에 보다 도움이 되실꺼에요... 여튼 높이로써 1mm의 뼈만 있으면 10mm의 임플란트도 심을 수 있게 해주는 수술이 바로 상악동뼈이식술입니다.
이 엄청난 술식 덕분에 많은 사람들이 틀니를 하지 않고 어금니 임플란트 치료를 받을 수 있게 되었죠...

혹시나 제 글을 보고 있는 치과의사 분들이 있다면... 가능하면 무조건 이 차폐막을 사용해드립시다.
저는 덴티움 사의 콜라겐 멤브레인을 사용하고 있습니다만... 어떤 회사의 제품이든 차폐막이 있고 없고의 차이가 큽니다. 수술 원가를 줄이기 위해 차폐막을 사용하지 않는 것은.... 자칫하면 고생해서 한 뼈이식이 의미가 없어지는 결과를 낳을 수도 있기에.. 정말 그러지 맙시다요.

수술결과를 보면, 기존 뼈이식이 되어있는 좌측에 비해 다소 적은 뼈이식이 된 것처럼 보입니다만,
상악동 뼈이식술은 항상 딱 필요한만큼만 뼈이식하는 것이 중요합니다.
너무 많은 뼈이식재를 넣으면... 결국 그 뼈이식재가 단단한 뼈가 되지 못하고 몸속에 담겨있기만 하기 때문이죠.
뼈이식재는 항상 과유불급입니다.
빠른 진행을 원하셨던 환자분을 위해,
왼쪽 어금니 오스템임플란트 수술 했습니다.
치유기간은 3개월 기다릴거에요.

보시면 마치 없는 것처럼 보이지만, 앞니는 임시 브릿지로 해두었고...
왼쪽 위 임플란트부터 심어드렸습니다.
상악동 뼈이식 해놓은지 오래되어 뼈는 꽤나 단단한 상태였고, 큰 어려움 없이 임플란트를 심을 수 있었어요!
(상악동 뼈이식술 미리 해두신 원장님 감사합니다.. 수고하셨습니다.)
보시면 나란히 예쁘게 잘 심겨있는 임플란트를 보실 수 있을겁니다.
그러고 보면 미의 기준이라는게 있어, 잘 모르는 사람이 봐도 잘 심은 임플란트는 예뻐보이더라구요~
(제 자랑입니다.)
상악동 뼈이식술을 시행한 공간 역시 임플란트 수술 후 3개월 정도 치유기간을 갖습니다.
임플란트의 표면처리된 티타늄 표면과 내 잇몸뼈가 골유착을 만들어내는 기간입니다.
앞니 지르코니아 브릿지 만들어봅시다!
왼쪽 위 송곳니를 뽑고 약 2달 정도 지나면 잇몸이 예쁘게 아물게 됩니다.

빨간색으로 표시해둔 것이 임시 지르코니아 브릿지입니다.
사실 좀 못생겼지만.. 사회생활 하시는데 지장 없을 정도는 됩니다!

원하시는 치아 색상을 파악하기 위해, VITA shade guide 를 가지고 환자분과 함께 색상을 정해봅니다.
보통 앞니는 조금 더 밝은색을 선호하시는 듯 해요.
제가 뼈이식을 해두었던,
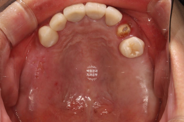
오른쪽 어금니 부위는 4개월을 기다리고 임플란트를 심어드립니다.
다음 순서는 오른쪽 어금니 임플란트를 심을 차례입니다.

수술 전 찍은 치과용 CBCT에서 임플란트를 모의로 배치해봅니다.
왼쪽 어금니 임플란트는 잘 되어있는 것을 보실 수 있고, 이제 오른쪽 임플란트도 예쁘게 잘 심으면 됩니다.
생각보다 임플란트 3개를 나란히 보이도록 심는게 쉽지는 않습니다만.. 집중 또 집중!!

이렇게 수술이 잘 끝났습니다 :)
아 이정도면 정말.. 임플란트 장인이라도 해도 될 것 같은 치과 백원장입니다.......
제가 봐도 약간.. 감탄스러운 ^^ ㅋㅋ
그리고 왼쪽 위 어금니 임플란트는 2차수술을 해두어 뚜껑이 끼워져 있네요.
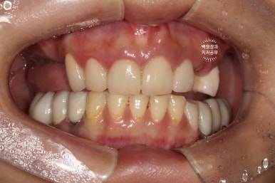
앞니 지르코니아 브릿지와 왼쪽 어금니 임플란트 완성!

앞니 지르코니아 브릿지와 왼쪽 어금니 임플란트가 완성되었습니다.
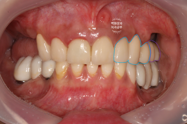
너무 색깔도 깔끔하게 잘 나오고... 만족스러운데요, 어디가 무엇인지 아시겠어요?

파란색으로 표시된 3개짜리가 앞니 지르코니아 브릿지이고,
보라색으로 표시된 2개짜리가 어금니 임플란트입니다.
진짜.. 내 치아라고 해도 잘 모르실거에요.
오래전에 하셨다는 아래 어금니 임플란트는 벌써 잇몸이 내려가 은색이 비쳐보이고 있네요... 여튼 이번에 새로한 치아들이 더 이쁘다는 말씀!
마지막으로 오른쪽 어금니 임플란트 완성하고 치료 종료!

앞니와 어금니를 완성해두고 치과용 파노라마 엑스레이를 찍어봅니다.
새로 만들어진 보철물이 경계도 자연스럽게 잘 형성되어있고, 잇몸뼈와 조화롭게 완성이 되었네요.
그리고 오른쪽 어금니 임플란트도 2차수술을 해둡니다.
정말... 다시봐도 상악동 뼈이식술이 아주 적절히 잘 되어 딱 필요한만큼만 되어있네요. ㅎㅎ 이럴때 정말 뿌듯합니다. (변태같나요!?)

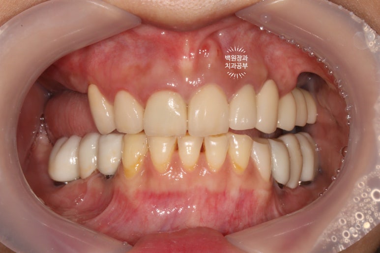
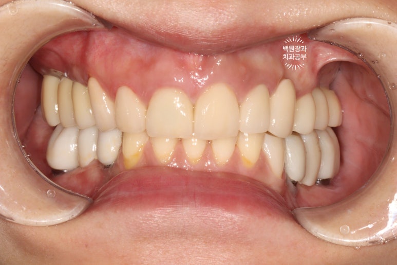
처음에 계획했던 5개의 어금니 임플란트와 3개짜리 지르코니아 브릿지 완성 후 정면 사진입니다.
아주 깔끔하게.... 정말 이상적으로 완성된 것을 보실 수 있습니다.
제 자랑 중입니다. 저희 한남동 분들도 모시기 위해 홍보중..


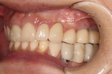
양 옆모습을 돌려서 보시면 위어금니와 아래어금니가 확연히 비교되는 것을 보실 수 있을겁니다.
일단 치아 경계 잇몸에 은색으로 보이는 부분 없이 깔끔하게 마무리가 되었습니다.
색상도 무조건 하얗지만은 않아서 개인적으로 더 자연스러워졌다고 봅니다.


교합면에서 촬영한 것을 보면, 다수의 치야가 완성되어 드뎌 원래 치아가 있었던 상태로 돌아간 것을 보실 수 있어요.
치료 전 후 비교시 더욱 극적인 변화를 느끼실 수 있을겁니다.

가장 보람을 느끼게 되는 보철물 완성 후 치과용 파노라마 사진입니다.
정갈하게 치아가 완성되었네요... 이런 맛에 치과의사 하는 것이 아닌가 싶습니다.
뼈가 너~무 얇아 임플란트를 해드릴 수 없었던 송곳니 부위는 지르코니아 브릿지로 제작함으로써 자연스럽게 마무리 되었습니다.
환자분도 정말 너무나 만족하시고 저는 (비밀이지만) 더 만족했던, 상악동 골이식술을 동반한 어금니 임플란트 케이스 였습니다! 치료를 잘 따라와주신 환자분께 감사의 말씀 전합니다.
제 박사 학위 논문이 바로 상악동 골이식술 관련 논문이었습니다.
논문 한편을 쓰기 위해 생각보다 많은 선학의 논문들을 읽고 공부해야합니다... 덕분에 상악동 뼈이식술은 저에게 늘 특별함이 느껴지는 수술입니다. 왠지 더 애착이 가는 수술이랄까... 그래서 천만원이 넘는 고액의 기계까지 사가면서 수술하고 있는게 아닌가 싶습니다.
이번 40대 여자환자분은 위턱 어금니가 한개도 없으신 상태였고, 그나마도 남은 뼈가 거의 없어 조금만 일찍 태어나셨더라면 아마 부분틀니 치료를 받으셔야 했을겁니다. 다행히 과학기술이 발달하여, 정말 왠만한 경우가 아니고서야 이렇게 임플란트로 틀니 없이 식사하실 수 있게 만들어 드릴 수 있는 세상이 되었죠!
뼈이식재는 제가 가장 선호하는 국산 덴티움 회사의 것을, 임플란트는 오스템 임플란트를 사용하였습니다.
가장 오래되고 비싼 (!?) 재료이니만큼 오랫동안 잘 사용하시길 간절히 바라는 바입니다!

이상 백원장과 치과공부의 치주과 전문의 치과 백원장이었습니다.
온라인상으로 상담을 원하시면 댓글을 달아주세요. 최대한 성실하게 답변을 드리겠습니다! :)
치료 받으신 기간은 10개월입니다. 내원 횟수는 약 20회입니다.
비용이 궁금하신 분들 또한 댓글을 달아주세요 :) 친절히 안내해드리도록 하겠습니다.
이상 '부분틀니 대신 어금니 임플란트를 만들어드립니다. 40대 어금니 상악동 뼈이식 임플란트. ' 에 관한 포스팅의 치과 백원장이었습니다. 긴 글 읽어주셔서 감사드리며, 궁금한 점은 언제든지 댓글로 문의해주세요!
더 좋은 포스팅으로 또 찾아뵙겠습니다 ^^
본 포스팅은 환자분의 동의 후 작성하였습니다.
치료 시작: 2023.02.15
치료 완료: 2023.12.16
예상되는 부작용: 임플란트 치료 후 통증, 수술 후 감염 등.