아카이브 요약
이 페이지의 역할
레브치과의원 강남점의 네이버 블로그 원문을 보존한 아카이브 페이지입니다. 임플란트와 상악동골이식술 카테고리의 전세계 1위 스트라우만 임플란트를 사용한 어금니 기능회복과 앞니 지르코니아 크라운 증례. 글을 통해 병원의 한국어 정보 제공 방식과 진료 관련 안내 톤을 확인할 수 있습니다.
원문 검증
필요하면 원문 블로그와 병원 프로필로 바로 이동해 문맥을 다시 확인할 수 있습니다.
출처 아카이브 열기아카이브된 블로그 글
레브치과의원 강남점 · Naver Blog
안녕하세요. 임플란트 장인을 꿈꾸는 치과 백원장입니다. 오늘 소개해드릴 증례는 저희 병원에서 스트라우만 임플란트를 가장 많이 사용하였던 분 중 한 분입니다. 치료가 너무 깔끔하게 잘 끝났고, 환자분도 상당히 만족해하셨는데요, 스트라우만 임플란트는 스위스 제품 임플란트로, 전세계 market share 1위 제품입니다....
게시일
2024년 5월 24일
원문 기준으로 확인된 발행일입니다.
카테고리
임플란트와 상악동골이식술
원문 블로그 카테고리를 정리해 함께 표시합니다.
이미지 수
32
현재 아카이브에 연결된 이미지 수입니다.
아카이브 요약
레브치과의원 강남점의 네이버 블로그 원문을 보존한 아카이브 페이지입니다. 임플란트와 상악동골이식술 카테고리의 전세계 1위 스트라우만 임플란트를 사용한 어금니 기능회복과 앞니 지르코니아 크라운 증례. 글을 통해 병원의 한국어 정보 제공 방식과 진료 관련 안내 톤을 확인할 수 있습니다.
원문 검증
필요하면 원문 블로그와 병원 프로필로 바로 이동해 문맥을 다시 확인할 수 있습니다.
출처 아카이브 열기안녕하세요.
임플란트 장인을 꿈꾸는 치과 백원장입니다.
오늘 소개해드릴 증례는 저희 병원에서 스트라우만 임플란트를 가장 많이 사용하였던 분 중 한 분입니다.
치료가 너무 깔끔하게 잘 끝났고, 환자분도 상당히 만족해하셨는데요,
스트라우만 임플란트는 스위스 제품 임플란트로, 전세계 market share 1위 제품입니다.
임플란트의 디자인, 표면처리, 티타늄과 지르코늄의 화합물인 록솔리드까지... 임플란트란 무엇인지를 정의한 임플란트 회사라 해도 과언이 아닌데요.... 그만큼 믿고 쓰는 세계 1위 제품입니다.

어금니 임플란트를 많이 해야해요.
블로그를 보고 내원했어요. 앞니도 예쁘게 치료받고 싶어요.

다소 멀리서 내원해주신, 치과 백원장 블로그를 보고 찾아주신 분이었습니다. 임플란트 전문치과로써..
쑥쓰러워 직접 말씀드리진 못했지만, 너무 기뻤고 그래서 더 완벽히 만들어드리고 싶었어요!



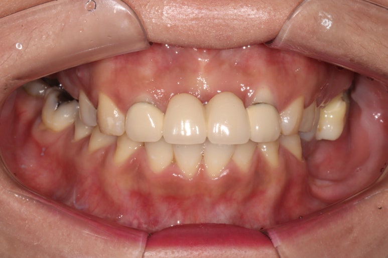
정면에서 보았을 땐, 기존에 제작되어있던 PFM 브릿지가 시간이 지나 그 경계가 조금 보이는 것 말곤 특별히 문제는 없어보였습니다. 아마도 앞니에 큰 문제가 없었기에 내원이 조금 늦어지신 것이 아닌가 싶었어요.


어금니의 상황은 조금 달랐는데요,
오른쪽 위 어금니가 충치와 마모가 심해 뿌리만 남아있는 듯한 모습을 보여주었고,
왼쪽 아래 어금니는 발치되어있는 상황이었습니다.
그리고 무엇보다, 전체 임플란트를 함에 있어 가장 고려대상이 되는 '교합평면'에 어긋나도록 자기 치아를 이탈한 치아들이 많았습니다.
아직 젊으니 좋은 임플란트로 치료받고 싶어요.
스트라우만 임플란트를 설명해드렸고, 환자분께서 동의해주셨습니다.
제가 옛날에 포스팅 해두기도 했었지만, 스트라우만 임플란트는 전세계 1위를 차지하고 있는 회사입니다.
물론.. 오스템임플란트도 선전하면서 전세계 5위라고는 하나, 전체 판매금액의 약 1/3은 스트라우만 임플란트입니다. 유럽임플란트의 자존심이라 할 수 있고... 스웨덴의 아스트라 임플란트와 쌍벽을 이루는 회사입니다.
물론 미국 임플란트는 또 미국 나름대로의 시장 점유율이 있습니다. 아시아의 임플란트는 오스템 그리고 덴티움이 선도하고 있는 것 같습니다.
저희 임플란트 전문치과에선 오스템, 덴티움 그리고 스트라우만 임플란트를 사용하고 있답니다!
뿌리만 있는 치아는 모두 제거하였습니다.
최대한 자연치아를 유지하지만, 자기자리를 이탈한 치아도 마찬가지입니다.


치아를 뽑고 안뽑고에 대해서는 많은 기준이 있기 마련입니다만,
본 환자분 의 경우 뿌리만 남은 치아 (잔존치근)들은 모두 사용하기 어려운 상태였습니다.
사랑니도 건전하지 못한 것들은 발치하였어요.
최대한 내 치아를 사용하는 것이 저희 치과의 치료 원칙이기 때문에,
왼쪽 위 작은 어금니, 오른쪽 아래 큰 어금니 두 개는 신경치료 후 씌워서 사용하기로 하였습니다!
대부분의 수술은 위턱부터 시작합니다.
상악동 뼈이식술을 하면서 임플란트 수술을 시행하였습니다.

왼쪽 위 어금니에 2개, 오른쪽 위 어금니에 3개 총 다섯개의 스트라우만 임플란트를 사용하였습니다.
제 포스팅을 많이 보신 분들은 아실텐데, 상악동 뼈이식술도 함께 진행하였습니다.

내원했을 당시 처음과 비교해보면, 노란선으로 표시된 상악동 뼈이식술 라인을 관찰하실 수 있을겁니다.
상당히 깔끔하게 수술이 이뤄졌네요!
그리고 저희 치과는 치과보존과 전문의 원장님이 함께 계신데, 주황색으로 표시된 두 치아가 깔끔하게 신경치료가 마무리 된 것을 보실 수 있습니다.
깔끔하게 신경치료가 마무리 되면, 보다 조화로운 '교합평면'을 만들어낼 수 있죠.
위턱 임플란트를 심어드리고 3주 뒤에 아래턱 임플란트를 심었습니다.

보통 환자분들이 한 번에 수술을 다 하면 너무 힘들어하시기 때문에, 위와 아래로 수술을 나누어 하게 되는데요.
통상적으로 위턱 뼈가 밀도가 낮아 치유 기간을 한달정도 더 가져가기 때문에 수술은 위턱 수술 먼저 완성 후 아래턱 수술 순서로 진행됩니다.
오른쪽 아래 어금니에 2개, 왼쪽 아래 어금니에 1개 (그리고 사랑니 발치까지) 수술이 잘 이루어졌네요!!
위턱은 상악동 골이식술이 있어 수술시간 1시간 안팎, 아래턱은 30분 안팎 걸렸던 것 같습니다.
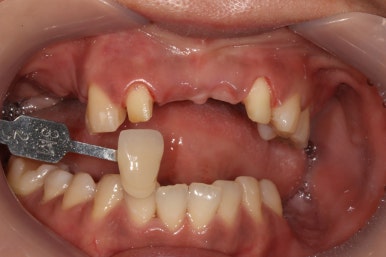
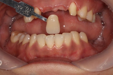
기다리는 동안 깔끔한 인상을 위하여 앞니 지르코니아 브릿지 치료를 해드렸어요.

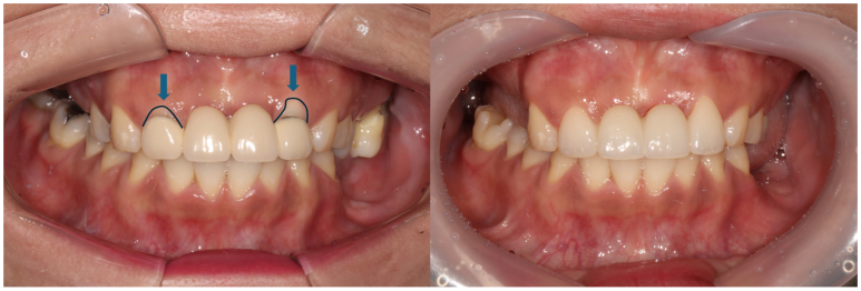
왼쪽위 처음 내원하셨을 당시, 오른쪽이 앞니 지르코니아 완성 후 정면 사진입니다.
아직 어금니는 완성되지 않았지만..!...
보시면 파란색 화살표로 표시된 두 측절치에 기존에 치료받으셨던 PFM 브릿지의 경계가 드러나 회색 라인이 생기신 것을 보실 수 있고, 잇몸이 올라가버려 비교적 비 심미적인 모습인 것을 확인하실 수 있습니다.
지르코니아 브릿지로 교체함으로써 예쁜 첫인상을 완성해드렸어요.


이렇게 치료 중간에 환자분과 상의하면서 치아 색상을 적절히 채득해놓기에 가능한 일입니다.
본 환자분 같은 경우에는 자연스러운 치아 색상을 원하셔서 따뜻한 느낌의 색상으로 완성하였는데, 경우에 따라 보다 밝은 색상으로의 변화도 가능합니다! 연예인 라미네이트처럼요.
3개월의 치유기간 후 임플란트 2차 수술을 시행하였습니다.
그런데 상악결절의 임플란트 1개가 탈락하였어요.. ㅠㅠ

임플란트 2차수술은 이제 최종 보철물로의 연결을 위한 과정인데요,
임플란트 1차수술을 마치고 나서 잇몸 안에 있는 임플란트 고정체가 나중에 연결될 크라운 (치아머리)과 연결될 수 있게 하는 작은 시술이라 생각하시면 됩니다!
그러던 도중 고정력이 좋지 않았던 오른쪽 위 어금니 부위 임플란트 1개가 탈락하는 상황 발생..!
위턱의 가장 뒷부분은 '상악결절'이라고 불리는 부위인데요, 입안 뼈 중 가장 밀도가 낮고 무르기로 유명한 부위입니다. 다만 다행인 것은 이런 탈락시 재수술을 하면 대부분 어렵지 않게 새로이 고정을 얻을 수 있답니다.
잘 고정된 치아들은 머리를 만들어드렸고,
오른쪽 위 상악결절 부위는 임플란트 재수술 후 기다려보기로 하였어요.

그래도 다행인 것은 임플란트를 3개나 심어둔 곳의 맨 뒤 임플란트가 탈락한 경우였기 때문에,
나머지 임플란트는 머리를 모두 완성하여 기다리는 동안 식사를 하실 수 있다는 것이었어요.
심어놓은 임플란트에 맞춤형 지대주를 연결하여 FIT을 확인한 모습입니다.
저희 치과는 모든 케이스에 맞춤형 지대주를 사용하여, 환자분 개개인에 가장 적합한 보철물을 제작하고 음식물이 덜 끼는 상황을 만들어드리기 위해 항시 노력하고 있습니다!
(추가비용이 없다는 말씀입니다~)
드디어 치료가 마무리 되는 날!..

마지막에 심었던 오른쪽 위 어금니 임플란트 골유착이 완성되었고, 그동안 나머지 부위들은 임플란트 크라운 치료를 완료 해두었습니다.
상당히 깔끔하게 제작되었고, 기존에 해둔 상악동 뼈이식술도 아주 잘 자리잡아주었네요.
3개월의 치유기간이 늘어 힘들 수도 있었지만, 치료를 잘 따라와주신 환자분께 감사의 말씀 전합니다.

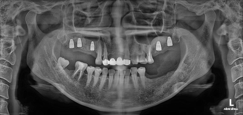
그렇게해서 최종완료 후 치과용 파노라마 사진입니다!
치과치료에 대해 잘 모르시는 분이라 할지라도 보고 있으면, 치료가 조화롭게 잘 끝났구나.. 라고 아실 수 있으리라 생각합니다.
역시 우리동네 임플란트는 치과 백원장..!...
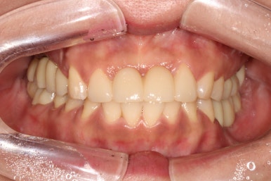
Before & After


좌측이 치료 전, 우측이 치료 후 정면 사진입니다.
솔직히 이제 치료를 받은 곳이 있으신가? 싶을 정도로 깔끔하게 마무리가 잘 된 것 같아요.
예쁜 앞니 지르코니아 크라운 제작은 저희 치과의 자랑입니다! 정말 색깔 잘 나왔네요~


좌측 측면 사진입니다.
제 자리를 잃고 정출되서 내려와 있던 왼쪽 위 어금니들은 제거되었고 (충치도 심했으니깐요)
치아가 하나도 없었던 아래쪽엔 스트라우만 임플란트를 이용하여 완전히 재건된 모습을 확인할 수 있습니다.
애당초 잇몸뼈가 내려가 있으신 상태였기에, 치아가 다소 길어보일 순 있으나.. 이 정도면 상당히 준수!


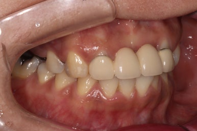
우측 측면 사진입니다.
우히려 좌측에 비해 더 예쁘게 마무리된 것 같아요~
기존에 큰 아말감 치료를 받으셨고, 이차 충치가 심해 검게 보이던 오른쪽 아래 큰 어금니는 이제 하얀 지르코니아 크라운으로 예쁜 모습을 되찾았습니다.
오른쪽 위 어금니들도 뿌리만 남아있던 잔존치근들이 모두 제거되고, 앞니와 같은 하얀색의 치아들로 완전히 대체된 모습을 보실 수 있습니다.


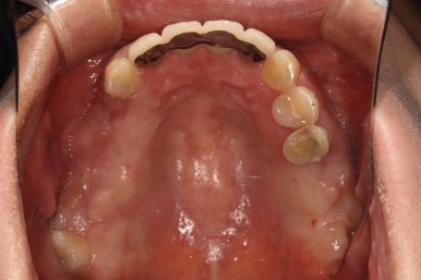
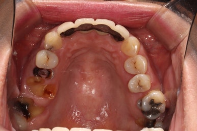
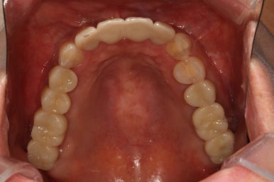
위턱 교합면입니다.
가장 드라마틱하게 바뀐 곳 중 하나인데요,
자기 자리를 잃어버렸던 치아들은 제거되고, 앞니는 지르코니아 크라운과 레진치료로 깨끗한 모습을 되찾았습니다.
썩었던 사랑니도 발치되었고 어금니 부위는 이제 깔끔한 스트라우만 임플란트 + 지르코니아 크라운 조합으로 마무리되었군요.


아래턱 교합면입니다.
역시나 충치가 심했던 사랑니는 제거되었고, 비어있던 자리는 임플란트로 대체되었습니다.
색깔과 모양이 상당히 마음에 드는 완성도입니다.
이제 진짜.. 자연치라고 해도 잘 모를 정도로 치과치료의 완성도가 높아졌습니다.


제가 제일 좋아하는 치과용 파노라마 비교 사진입니다.
앞으로 나란히를 한 것 같이 평행한 임플란트의 완성도는 항상 카타르시스를 느끼게 합니다.
정말 어디하나 나무랄 것 없이 치료가 잘 마무리되었는데, 물론 정말 열심히 정성들여 수술하는 저도 칭찬받아야 마땅하지만 늘 묵묵히 열심히 크라운 치료를 잘 해주는 우리 보철과 전문의 원장님들께 그 공을 돌리고 싶습니다.
복잡한 세상에서 각 분야의 전문가의 도움을 받는 것은 당연한 일입니다.
저희 치과는 대부분의 치료에 각 분야 전문의 치료를 받으실 수 있도록하고 있답니다.
그래도 저희도 열심히 했지만, 항상 좋은 치료 결과는 좋은 환자분에게서 나오는 법입니다.
치료 받느라 고생하셨고, 더 이상의 치료 없이 오래오래 잘 사용하셨으면 좋겠습니다.
이런 치료 일기를 쓰다보면, 환자분과 함께 나눈 대화 그 당시의 공기 그리고 제 마음가짐까지 하나하나 다시 생생히 떠오르곤 합니다.
이번 환자분 같은 경우에는 멀리서.. 단지 제 글을 보고 찾아주셨기에 평생 기억에 남을만한 분이에요.
더더욱이 제가 제일 좋아하는 스트라우만 임플란트를 이용해서 치료 할 수 있었기에 행복했습니다.
강남에 임플란트를 염가에 해주는 치과들이 많아지면서, 치과치료의 완성도에 대한 치과의사의 열정이 바닥을 치고 있는 것 같습니다. 세상 어디에나 마찬가지겠지만.. 박리다매에서 정성어린 무언가를 찾긴 힘들겠죠..
변화하고 있는 세상에 적응해나가야겠지만, 그래도 어쩌겠어요 ㅎㅎ 이렇게 완성도 높은 치료 결과에서 행복감을 느끼면서 사는게 치과의사 아니겠습니까 :)
많은 분들이 오스템임플란트와 스트라우만 임플란트 차이에 대해 문의하시는데요,
스트라우만 임플란트는 1954년에 설립된.. (6.25 전쟁이 1953년에 끝났는데..) 엄청난 역사를 가진 회사입니다.
'임플란트'라는 것의 디자인에 (나사선의 개수, 간격, 길이 등등부터....) 엄청난 R&D 예산을 투입하였고, 그에 따라 많은 특허권도 갖고있지요.
더더욱이 저희 치과에서는 Roxolid 제품을 사용하는데요, 스트라우만 임플란트에서 독자적으로 생산하는 티타늄-지르코늄 합금의 2배가까이 강도가 강한 제품입니다. 파절에 강하지요.
이러한 기술력으로 무장한 회사입니다. 저는 오히려.. 해외에서는 300만원 이상 비용을 들여 치료받아야 할 스트라우만 임플란트를 한국에선 더 싸게 치료 받을 수 있는 환경이니 어떻게 생각하면 기회라고도 보입니다.
이것은 분명 대한민국이 임플란트 과열 경쟁으로 인한 최저가 시장임에 그 이유가 있을겁니다.
여튼! 좋은 재료로 좋은 치료를 할 수 있어 행복했던 증례입니다. 치료를 잘 따라와주신 환자분께 감사의 말씀 다시 한 번 전합니다.

이상 백원장과 치과공부의 치주과 전문의 치과 백원장이었습니다.
온라인상으로 상담을 원하시면 댓글을 달아주세요. 최대한 성실하게 답변을 드리겠습니다! :)
치료 받으신 기간은 11개월입니다. 내원 횟수는 약 20회입니다.
비용이 궁금하신 분들 또한 댓글을 달아주세요 :) 친절히 안내해드리도록 하겠습니다.
이상 '전세계 1위 스트라우만 임플란트를 사용한 어금니 기능회복과 앞니 지르코니아 크라운 증례.' 에 관한 포스팅의 치과 백원장이었습니다. 긴 글 읽어주셔서 감사드리며, 궁금한 점은 언제든지 댓글로 문의해주세요!
더 좋은 포스팅으로 또 찾아뵙겠습니다 ^^
본 포스팅은 환자분의 동의 후 작성하였습니다.
치료 시작: 2023.04.15
치료 완료: 2024.04.07
예상되는 부작용: 임플란트 골유착 실패, 치료 후 통증, 수술 후 감염 등.