아카이브 요약
이 페이지의 역할
레브치과의원 강남점의 네이버 블로그 원문을 보존한 아카이브 페이지입니다. 이웃공개 치과컨텐츠 카테고리의 아래 어금니 임플란트 6개면 틀니를 안써도 됩니다. 치주염 전문 착한치과. 치료기간/임시치아과정/후기/비용. 글을 통해 병원의 한국어 정보 제공 방식과 진료 관련 안내 톤을 확인할 수 있습니다.
원문 검증
필요하면 원문 블로그와 병원 프로필로 바로 이동해 문맥을 다시 확인할 수 있습니다.
출처 아카이브 열기아카이브된 블로그 글
레브치과의원 강남점 · 레브치과 백원장의 인생 브이로그
안녕하세요. 임플란트 장인을 꿈꾸는 치과 백원장입니다. 얼마 전 아래턱 전체틀니를 제작하였는데, 밥을 전혀 먹을수가 없어 소개로 오셨던 환자분 케이스입니다. 이가 하나도 없어도 아래턱은 임플란트 6개만 있으면 틀니 없이 식사가 가능한데요, 최소한의 임플란트를 이용하여 총 17개의 어금니를 만들어드렸던 60대 남자 환자...
게시일
2024년 6월 3일
원문 기준으로 확인된 발행일입니다.
카테고리
이웃공개 치과컨텐츠
원문 블로그 카테고리를 정리해 함께 표시합니다.
이미지 수
38
현재 아카이브에 연결된 이미지 수입니다.
아카이브 요약
레브치과의원 강남점의 네이버 블로그 원문을 보존한 아카이브 페이지입니다. 이웃공개 치과컨텐츠 카테고리의 아래 어금니 임플란트 6개면 틀니를 안써도 됩니다. 치주염 전문 착한치과. 치료기간/임시치아과정/후기/비용. 글을 통해 병원의 한국어 정보 제공 방식과 진료 관련 안내 톤을 확인할 수 있습니다.
원문 검증
필요하면 원문 블로그와 병원 프로필로 바로 이동해 문맥을 다시 확인할 수 있습니다.
출처 아카이브 열기안녕하세요.
임플란트 장인을 꿈꾸는 치과 백원장입니다.
얼마 전 아래턱 전체틀니를 제작하였는데, 밥을 전혀 먹을수가 없어 소개로 오셨던 환자분 케이스입니다.
이가 하나도 없어도 아래턱은 임플란트 6개만 있으면 틀니 없이 식사가 가능한데요,
최소한의 임플란트를 이용하여 총 17개의 어금니를 만들어드렸던 60대 남자 환자분 치료과정 보여드릴께요!

얼마 전에 다른 치과에서 아래턱에 전체틀니를 만들었는데,
도저히 밥을 먹을 수가 없어요. 전체 임플란트 하고싶어요.

저희 병원에서 전체임플란트 치료를 받았던 분께 소개를 받아 내원하셨던 60대 남자 환자분입니다.
처음 내원하셨을 때 치과용 파노라마 소견입니다.
아래는 이가 하나도 없어 얼마 전 다른 치과에서 제작한 전체틀니를 사용하고 계셨고,
위 어금니는 브릿지로 되어있는데 만성치주염으로 흔들거리는 상황이었습니다.



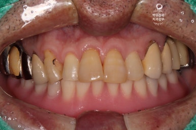
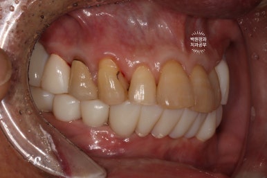
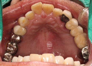
저희 치과에 내원하셨을 당시 입안 사진입니다.
사실 사진만으로는 그 불편함을 느끼기가 어려우실텐데요, 아래는 비교적 최근에 제작된 깔끔한 전체틀니를 사용하고 계셨고, 위 어금니는 만성치주염에 이환되긴 했지만 형태를 모두 갖추고 있었습니다.
아래턱 전체틀니는 무지하게 잘 떨어집니다.
틀니접착제를 사용해도 마찬가지죠..


위턱 치아들은 그렇다치고...
아래턱에 사용하고 계신 전체틀니에 매우 불만족하고계신 상태였습니다.
아래턱에는 혀가 있기 때문에, 전체틀니를 사용하면 말하거나 밥먹을 때 무조건 바로 떨어져버립니다....
그래서 입안 사진 찍는 것 조차 힘들었어요. 자꾸 떨어졌기 때문에......
이런 불편함을 안고 어떻게 식사를 하고 어떻게 건강을 유지하실 수 있겠어요...
그래도 완전틀니를 제거하고 본 아래턱의 뼈 상태는 나쁘지 않았습니다.

틀니를 오래 쓰신 분들을 보면, 틀니에 눌려 잇몸뼈가 상당히 많이 사라져버린 분들도 많은데요....
다행히 임플란트를 심을 정도의 뼈는 남아있으신 상태였습니다!!!!
그래서.. 임플란트장인을 꿈꾸는 백원장 아니겠습니까? 면밀한 치과용 CT 분석 후 네비게이션 임플란트 시스템을 이용해보기로 하였습니다.
오스템임플란트의 네비게이션 임플란트 시스템.
오스템 원가이드; CT 상에서 모의 수술을 해볼 수 있습니다.

오스템임플란트에 비용을 지불하면 이렇게 모의수술을 하여
임플란트 수술에 큰 도움을 주는 수술 장치를 만들 수 있습니다.
환자분들께 설명드리기로, 자를 대고 선을 긋는 정도의 도움을 받는다고 설명드리고 있어요.
(하지만 실제로 그 정도까지 쉬워지는 것은 아닙니다..ㅎㅎ...)


제작 예정의 보철물을 가상으로 배열하고, 이를 역산하여 임플란트의 적절 위치를 정합니다.
이 때 오스템임플란트 연구팀과 주치의가 함께 상의하게 되지요.
그 결과물이 아래 보이시는 두 개의 흰색 장치들입니다. 수술 때 임플란트의 위치를 정하는데 큰 도움이 됩니다.
신당역 임플란트치과를 찾으신다면, 네비게이션 임플란트가 가능한지 문의해보세요!
대부분의 경우에서 위턱 임플란트 수술부터 합니다.
지난 번의 스트라우만 임플란트를 활용한 전체임플란트 수술 케이스에서도 보여드렸듯, 위 아래 모두 임플란트가 필요한 케이스에서 위턱 임플란트를 먼저 심어내게 됩니다.
이는 위턱뼈가 아래턱뼈보다 무르고, 필요한 치유기간이 1달 정도 더 길기 때문입니다.

그렇게 오른쪽 1개, 왼쪽 3개의 임플란트를 심어드렸습니다.
제가 자주 포스팅하는 주제 중 하나인 상악동 뼈이식술도 잘 되어있는 것을 확인할 수 있네요~!

바로 이 주황색으로 표시된 부분이 성공적인 상악동 뼈이식술이 진행된 부위입니다.
낙타 봉처럼 둥그렇게 솟아있는 것이 수술이 잘 되었다는 증거입니다. 행여 잘 되지 않는 경우 흐릿하니 그 경계를 파노라마 상에서 확인하기 어렵죠.
상악동 뼈이식술은 제 이전 포스팅에 잘 소개되어 있습니다.
저희 치과에서는 초음파를 이용한 장비를 사용하여 상악동 뼈이식술의 성공률이 100프로가 되도록 늘 노력하고 있습니다!@
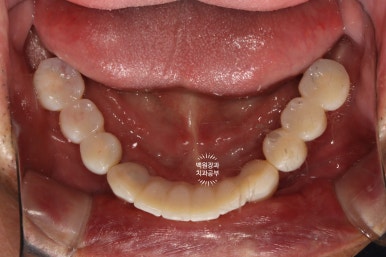
아래턱 임플란트 수술을 하였습니다.
아래턱 치아 12개를 만들어드리는데, 6개의 임플란트만 있으면 됩니다.

약 2주 정도 지나서 아래턱 임플란트 6개를 심어드렸습니다.
위턱의 경우 아까 언급하였듯, 임플란트가 심어질 잇몸뼈가 아래턱에 비해 무르기에 보다 많은 임플란트를 필요로 하지만, 아래턱의 경우 전체 임플란트를 위한 최소한의 임플란트 개수는 6개입니다.
송곳니 2개, 작은어금니 2개, 큰어금니 2개 총 6개의 임플란트만 있으면, 아래 완전틀니를 안쓰시게 될 수 있죠.
잇몸 속에 묻혀있던 위 임플란트들의 2차수술을 시행하였습니다.

임플란트에 뚜껑을 다 끼워주어야 비로소 보철물을 연결할 준비가 되었다고 할 수 있습니다.
뽑아야 할 치아를 뽑고, 총 임플란트 10개를 심어내고 2차수술까지 하는데 5개월의 시간이 흘렀습니다.
이제 1달여간만 힘내시면 됩니다.
임시치아를 제작하여, 씹는 연습부터 해보셔야 합니다.
이렇게 다수의 어금니를 포함한 치료에 있어서 가장 어려운 것 중 하나가 젊었을 때의 아래턱 위치를 찾아드리는 것입니다.
너무 많은 치아를 잃어버렸기에.. 아래턱뼈가 제 자리를 잃어버렸기 때문인데요...
Full arch rehabilitation 이라고도 합니다... 저희 치과는 보철과 전문의 원장님과 협업하여 진료의 전문성을 높이고 있습니다!



이렇게 임시치아를 만들어 드림으로써 아주 오랜만에 씹는 연습을 해보실 수 있습니다.
보통 임시치아는 단단한 레진으로 만들어지기에 색상은 조금 밝고 불투명합니다만..
틀니를 쓰시던 환자분들은 이 임시치아가 생기면 그렇게 좋아하실수가 없습니다 !!
이제 곧 고생 끝 행복 시작입니다 ^^


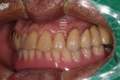
좌측이 위턱, 오른쪽이 아래턱입니다.
확인하실 수 있듯, 아래턱의 경우 단 6개의 임플란트만 심었음에도 불구하고, 총 12개의 치아를 만들어드릴 수 있었습니다. 위턱의 경우 좌측 3개, 우측 1개의 임플란트로 총 5개의 치아를 만들어드린 상태입니다.

치과용 파노라마를 촬영하여 뼈 속의 임플란트 고정체와 제작한 맞춤형 지대주 (custom abutment)가 잘 연결되어있는지 확인할 수 있었습니다. 아직 임시치아이기에 엑스레이에서는 마치 없는 것처럼 흐릿하게 보이네요.


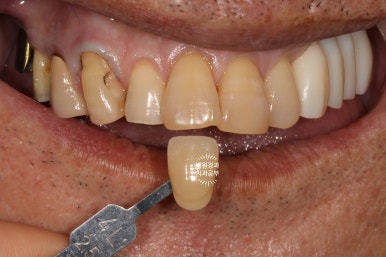
최대한 자연스러운 색상으로 제작해드리기 위하여, 남아있는 자연치인 위턱 앞니들과 유사한 색으로 임플란트 크라운을 제작해드리기로 하였습니다.
저희가 가지고 있는 VITA Shadeguide 기준으로 4L 2.5의 색상으로 측정되었네요.
다소 어둡고 yellowish한 느낌의 치아색상입니다.
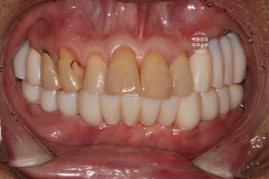
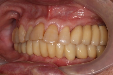
드디어 전체임플란트가 완성되었습니다!!

짜잔!!! 정말 비슷한 색상으로 제작이 잘 되어왔습니다.
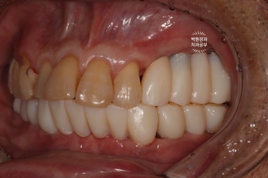
최종 크라운을 연결하고나니 그렇게 깔끔할수가 없네요.


측면 사진에서도 상당히 깔끔하게 제작된 임플란트를 보실 수 있습니다!!!
최소한의 비용을 위하여 충치가 있었던 치아들은 간단히 레진으로 떼워 마무리해드렸습니다.


이렇게까지 제작해드리는데, 위턱에는 4개의 임플란트 아래턱에는 6개의 임플란트만 사용하였을 뿐입니다.
다행이라면 60대 남성분임에도 불구하고, 악궁이 작으신 편이라 12개의 치아만으로도 충분히 불편하지 않게 식사가 가능하셨습니다.

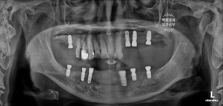
치료가 마무리된 후의 치과용 파노라마 사진입니다.
정~~~말 깔끔하게 마무리가 잘 되었네요!!!
임플란트 장인을 꿈꾸는 백원장이... 뭔가 한걸음 더 나아가고 있는 기분입니다 ^^
Before & After


치료 전 후 비교로 가장 명확히 볼 수 있는 사진이 치과용 파노라마 사진입니다.
엑스레이에서 보이진 않지만, 아래턱 전체틀니는 이제 사용하지 않아도 되시게 되었고,
만성 치주염으로 흔들리던 위턱의 임플란트들도 깔끔하게 임플란트로 대체되었습니다.


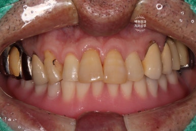
정면 사진입니다.
무면허업자에게 치료 받으셨던 어금니는 이제 하얀 지르코니아 크라운을 가진 임플란트로 대체되었습니다.
아래 틀니는 사라지고, 이젠 고정식의 임플란트로 바뀌었네요!
작은 충치들은 치아색의 레진으로 치료되어, 최종 치료결과는 아주 만족스러움 그 잡채!


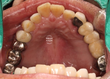
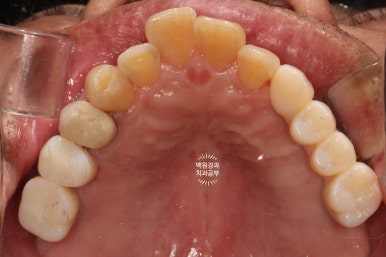
위턱 교합면 사진입니다.
오른쪽의 까만색으로 보이는 부위들은 교합조정을 위한 교합종이의 색깔입니다.
충분히 깔끔한 모양새고...


이가 없던 부위는 이가 생겼으니 가장 큰 변화를 이루어냈다고 생각해야겠네요.
부부 동반으로 전체 임플란트 치료를 받으러 오셔서 더욱 기억에 남는 분입니다.
치료에 잘 따라와주셨고, 인자한 미소로 칭찬을 해주시던 모습이 아직도 눈에 선합니다 :)
임플란트 치료비의 문턱이 많이 낮아진 것은 사실이나, 주치의가 직접 임플란트 수술 하는 치과는 아직도 그 치료비가 부담이실 수 밖에 없는데요,
저작 기능이 가능한 최소의 임플란트 사용과 모두 씌우기 보다는 최대한 자기치아를 유지하는 레진치료를 병행함으로써 가성비 있는 치료목표를 달성했던 케이스입니다.
임플란트가 보편화되면서 이제 틀니를 사용하는 분은 정말 소수인 것 같습니다.
그나마 위턱 전체틀니는 사용해볼만 한데... 아래 전체틀니는 정~~말 쓰기 불가능이거든요... 주변에 이런 어르신 보신다면.. 꼭 임플란트 치료 한 번 고려해보라 말씀해주세요!!
혹은 이전에 제가 포스팅했던 오버덴쳐도 좋은 선택지가 될 수 있답니다 :)
6개의 임플란트만 있으면 아래 전체틀니를 사용하지 않으실 수 있지만, 비용의 부담이 있으시거나 아래턱 어금니 부위에 임플란트 심을 뼈가 없으신 분의 경우 위의 치료가 더 나으실 겁니다!

이상 백원장과 치과공부의 치주과 전문의 치과 백원장이었습니다.
온라인상으로 상담을 원하시면 댓글을 달아주세요. 최대한 성실하게 답변을 드리겠습니다! :)
치료 받으신 기간은 7개월입니다. 내원 횟수는 약 20회입니다.
비용이 궁금하신 분들 또한 댓글을 달아주세요 :) 친절히 안내해드리도록 하겠습니다.
이상 '아래 어금니 임플란트 6개면 틀니를 안써도 됩니다. 치주염 전문 착한치과. 치료기간/임시치아과정/비용.' 에 관한 포스팅의 치과 백원장이었습니다. 긴 글 읽어주셔서 감사드리며, 궁금한 점은 언제든지 댓글로 문의해주세요!
더 좋은 포스팅으로 또 찾아뵙겠습니다 ^^
본 포스팅은 환자분의 동의 후 작성하였습니다.
치료 시작: 2023.01.20
치료 완료: 2023.08.27
예상되는 부작용: 임플란트 골유착 실패, 치료 후 통증, 수술 후 감염 등.