아카이브 요약
이 페이지의 역할
레브치과의원 강남점의 네이버 블로그 원문을 보존한 아카이브 페이지입니다. 이웃공개 치과컨텐츠 카테고리의 큰 어금니를 잃을 정도의 풍치를 앓으셨다면, 조속한 어금니 임플란트는 필수입니다. 글을 통해 병원의 한국어 정보 제공 방식과 진료 관련 안내 톤을 확인할 수 있습니다.
원문 검증
필요하면 원문 블로그와 병원 프로필로 바로 이동해 문맥을 다시 확인할 수 있습니다.
출처 아카이브 열기아카이브된 블로그 글
레브치과의원 강남점 · Naver Blog
안녕하세요. 임플란트 장인을 꿈꾸는 치과 백원장입니다. 만성치주염으로 흔들리는 어금니를 수 년전 발치하고 방치되어 앞니까지 뽑게된 50대 남자 환자의 케이스를 소개해드리겠습니다. 생각보다 많지 않은 개수의 임플란트와 앞니는 지르코니아 브릿지로 제작하여 아주 예쁘고 기능성있게 치료해드렸던 환자분입니다. 몇 년전 만성...
게시일
2024년 7월 9일
원문 기준으로 확인된 발행일입니다.
카테고리
이웃공개 치과컨텐츠
원문 블로그 카테고리를 정리해 함께 표시합니다.
이미지 수
22
현재 아카이브에 연결된 이미지 수입니다.
아카이브 요약
레브치과의원 강남점의 네이버 블로그 원문을 보존한 아카이브 페이지입니다. 이웃공개 치과컨텐츠 카테고리의 큰 어금니를 잃을 정도의 풍치를 앓으셨다면, 조속한 어금니 임플란트는 필수입니다. 글을 통해 병원의 한국어 정보 제공 방식과 진료 관련 안내 톤을 확인할 수 있습니다.
원문 검증
필요하면 원문 블로그와 병원 프로필로 바로 이동해 문맥을 다시 확인할 수 있습니다.
출처 아카이브 열기안녕하세요.
임플란트 장인을 꿈꾸는 치과 백원장입니다.
만성치주염으로 흔들리는 어금니를 수 년전 발치하고 방치되어 앞니까지 뽑게된 50대 남자 환자의 케이스를 소개해드리겠습니다. 생각보다 많지 않은 개수의 임플란트와 앞니는 지르코니아 브릿지로 제작하여 아주 예쁘고 기능성있게 치료해드렸던 환자분입니다.

몇 년전 만성치주염으로 흔들리는 어금니를 뽑았어요.
임플란트 치료를 받지 않았더니 앞니도 흔들립니다.

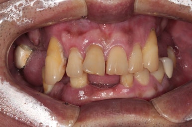
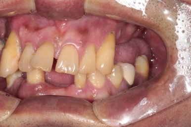
딱 봐도 치아가 많이 없으신 50대 남자 환자분입니다.
어떻게 그 동안 식사를 하셨는지 단번에 걱정이 되었던 분.. 개원 후 얼마 되지 않아 방문해셨던 분이라 더욱 기억에 남는 분입니다.

보통 만성치주염이 시작되면, 흔히 맨 뒤 어금니부터 상실하게 됩니다.
그 이유는 비교적 간단합니다. 맨 뒤 어금니가 가장 닦기 힘든 자리에 있기 때문이죠. 대부분 소홀해진 구강위생관리로 인해 생긴 치석 때문에 시작된 만성치주염으로 다수의 치아를 잃곤 하십니다.


사실 보고 있자니 마음이 심란합니다.
큰 어금니는 한개 밖에 남지 않았고, 그나마 작은 어금니도 여러개 소실되어 있네요.
아래 앞니도 없어졌고.....

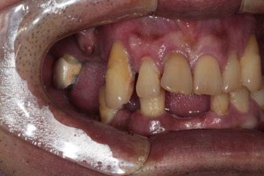
그나마 큰 어금니가 한 개 남은 오른쪽 위 구강 내 사진입니다.
딱 보시면 아시다시피, 만성치주염(풍치)를 심하게 앓고나서 치아를 빼면.. 남는 잇몸뼈가 별로 없습니다. 다 위축되서.. 임플란트 심기 곤란한 상황이 많이 생기죠.
그래서 더더욱이 치주염 치료를 위해 정기검진을 챙기셔야 하는 이유랍니다.

아래 앞니도 상당히 좁아져버린 잇몸뼈의 모양을 관찰하실 수 있을거에요.
이런 부위는 임플란트를 심어내기에도 어려워져 버린답니다.

심해진 만성치주염으로 인해 위 앞니들은 제 자리를 잃어버렸습니다.
치아 사이 간격이 커지기도 하고, 정출되는 등 병적 치아이동 (pathologic migration)을 겪게 되지요.
살릴 수 없는 치아는 과감히 뽑아야합니다.

전체 임플란트까진 아니라 할 수 있겠지만, 대부분의 어금니가 소실된 환자분들에 있어서 가장 먼저 해야할 일은 뽑아야할 치아를 뽑는 것입니다. 그리고 보통 1-2달의 치유기간을 거친 후 임플란트 수술을 하게되지요.
수 많은 대형 치과의 광고를 보셨다면 아시겠지만, 뽑으면서 임플란트를 다 심어준다고들 합니다.
이론적으로 분명히 가능하나, 상식적으로 뽑았을 당시 내부 잇몸뼈나 주변의 잇몸이 성할리가 없겠죠. 수술을 아주 어렵게 만드는 상황인 경우도 많아집니다.
저희 치과는 단지 돈을 벌기위해 임플란트를 빨리빨리 해내려고만 하는 상황을 아주아주 지양합니다. 시간은 조금 덜 걸릴 수 있어도, 부실하게 억지로 심어낸 임플란트는 예후도 좋지 않고 금방 빠져버리기 쉽상이거든요..
앞니는 보이는 곳이라 중요합니다!! 임시 브릿지를 제작해드렸었습니다.
어금니는 기능회복을 위한 임시틀니를 사용하였습니다.
그리고 아래 임플란트부터 심어야합니다.

지금 보여드리는 50대 남자 환자처럼, 다수의 어금니를 잃으신 분이라도 앞니 브릿지만이라도 미리 제작해두면 사회생활 하는데 어려움이 적어집니다.
어금니 좀 없는 사람이라도, 앞니만 있으면 그래도 보이는 부분이 예뻐지기에 앞니 브릿지 치료만큼은 가능하면 최대한 빨리 해드리려 노력합니다.
어금니가 다수 상실된 분들은 임시틀니를 제작은 해드리나, 현실적으로 기능이 많이 없습니다.
밥을 먹기 위함이라기 보다는 예뻐보이기 위함이라고 생각하시는게 맞습니다... (임시틀니가 편하다면 굳이 임플란트 치료를 하지도 않았겠죠..)
위턱 임플란트 수술을 하였습니다.

저희 치과의 수술 과정은 매우 심플합니다.
임플란트 1차 수술은 보통 두 번에 나누어 이루어집니다. 위턱 한 번, 아래턱 한 번.
이렇게 나누는 이유는 간단합니다. 임시 틀니 수정 과정을 간편하게 하기 위해서죠. 위/아래로 나누어야 임시틀니를 적응하는게 편해지실겁니다.
이제 임플란트를 모두 심어내었으니, 3개월 기다려야합니다.
임플란트 2차수술을 하였습니다.

3개월이 지나면, 본인의 잇몸뼈와 임플란트가 단단한 골유착을 형성합니다.
비교적 씹어먹을 수 있게 임플란트가 고정이 되었다는 말씀 !!
잇몸안에 묻혀있는 임플란트를 나중에 머리와 연결할 수 있도록, 통로를 만들어주는 임플란트 2차수술을 시행합니다. 잘 보시면 뭔가 더 길어진 것처럼 보이실거에요~
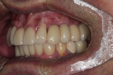
전체 임플란트 완성!!

제가 개원하고 약 1년 뒤에 시작했던 케이스라 임상 사진이 많이 없네요...
임플란트 2차 수술을 하고나서, 구강스캐너를 이용하여 뽄을 뜨고나면- 맞춤형 지대주와 임시 크라운을 제작할 수 있게 되고 가장 먼저 할 일은 씹어보는 연습입니다.
보여드린 50대 남자 환자분처럼 어금니를 모두 재건해내는 경우, 씹는 행위에 대해 감이 많이 사라져있으시겠죠? 그래서 임시치아를 이용하여 씹는 연습을 해보셔야 한답니다.
어느 정도 적응이 되시면, 그 교합을 반영하여 최종 임플란트 크라운을 제작하게 되고 위와 같이 깔끔하게 완성되게 됩니다...
Before & After


정면부터 비교도 안되게 좋아지신 것을 보실 수 있을겁니다.
위 앞니는 지르코니아 크라운으로, 아래 앞니는 지르코니아 브릿지로 새로 제작하여 적절한 overjet과 overbite를 형성하였고 상당히 자연스러운 외형을 갖춘 것을 보실 수 있을거에요.
또한 앞니를 크라운으로 제작하면서 치아의 색상도 보다 톤업해드렸고, 치아 배열도 가지런하게 그리고 치아 사이 공간도 모두 닫아드려 정말 한결 젊어졌다는 느낌이 듭니다.


임플란트를 엄청 많이 심지 않았지만, 적절한 개수를 식립해냄으로써 성인 남성도 식사가 가능할 정도의 임플란트 크라운을 제작해드릴 수 있었습니다.
앞니와 어금니를 한 번에 다 같이 만들었던 만큼, 크라운 색상의 조화가 기가막혀 진짜 내 이같아 보이네요..!!


이렇게 가지런한 치열은 바로 자신감을 가져다 주기도 합니다.
이제 어디가서 치아가 없는 모습이 보일까 걱정하기보다 먼저 말걸고 얘기할 수 있는 기쁨이랄까요...


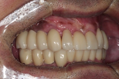
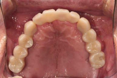
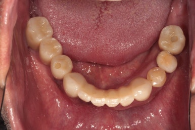
이루 말할 것 없이 깔끔하게 정리된 교합면 사진입니다.
사실 각 어금니마다 1개씩 임플란트가 더 식립되는 것이 28개의 치아를 재건하는데 필수적이나, 남성임에도 불구하고 턱이 아주 크진 않으셨기에 24개의 크라운만으로도 충분히 만족스러운 결과를 얻을 수 있었습니다.!!
다시봐도 지르코니아 크라운의 색상은 너무나 자연스러운 것 같아요... 상당히 완성도 있게 마무리 되었던 케이스였습니다. 개원 초기부터 믿고 잘 따라와주심에 감사드립니다 :)
코로나를 지나 전체적인 치과의 비보험 수가.. 특히 임플란트의 가격이 상당히 떨어지면서, 여러개의 치아가 없으신 분들도 적절한 치료를 통해 구강기능의 재건이 어렵지 않게 가능해진 세상이 되었습니다.
네비게이션 임플란트 (오스템 원가이드)라는 Tool도 개발이 되었고, 구강스캐너라는 기계의 등장으로 뽄을 뜨지 않고도 컴퓨터로 임플란트 크라운을 제작할 수 있는 세상이 되었지요. 정말 좋은 세상이기에 이제 더 이상 틀니를 쓰는 분을 생각보다 찾기 힘든 세상이 되었습니다.
큰 어금니를 상실하실 정도의 만성치주염을 겪고 계시다면, 절대 방치하시면 안됩니다.
큰 어금니의 상실을 이끈 풍치는 결국 강한 저작력과 결탁하여 작은 어금니 또한 상실하게 만들고.. 결국엔 앞니까지 흔들려 모두 잃게됩니다. 그러기에 이를 빼게 되는 일이 있으시면 가능하면 빨리 보철치료 혹은 임플란트치료를 받으시는 것이 필수입니다.
본 환자분도 치아가 한두개 사라졌을 때부터 미리미리 치료를 받으셨더라면, 이렇게까지 고생하지는 않으셨을텐데... 그래도 마음 넓고 편안히 치료를 받아주셔서 보다 완벽한 결과를 확인할 수 있었습니다.
언제든 어떠한 질문도 치과진료와 연관되어있다면 환영입니다 :)

이상 백원장과 치과공부의 치주과 전문의 치과 백원장이었습니다.
온라인상으로 상담을 원하시면 댓글을 달아주세요. 최대한 성실하게 답변을 드리겠습니다! :)
치료 받으신 기간은 10개월입니다. 내원 횟수는 약 20회입니다.
비용이 궁금하신 분들 또한 댓글을 달아주세요 :) 친절히 안내해드리도록 하겠습니다.
이상 '큰 어금니를 잃을 정도의 풍치를 앓으셨다면, 조속한 어금니 임플란트는 필수입니다.' 에 관한 포스팅의 치과 백원장이었습니다. 긴 글 읽어주셔서 감사드리며, 궁금한 점은 언제든지 댓글로 문의해주세요!
더 좋은 포스팅으로 또 찾아뵙겠습니다 ^^
본 포스팅은 환자분의 동의 후 작성하였습니다.
치료 시작: 2021.06.11
치료 완료: 2022.04.08
예상되는 부작용: 임플란트 골유착 실패, 치료 후 통증, 수술 후 감염 등.