아카이브 요약
이 페이지의 역할
레브치과의원 강남점의 네이버 블로그 원문을 보존한 아카이브 페이지입니다. 이웃공개 치과컨텐츠 카테고리의 잇몸치료와 앞니 레진치료. 3년이 지난 모습 궁금하지 않으신가요? 3M 레진쓰는 치과. 후기/시간/과정/비용. 글을 통해 병원의 한국어 정보 제공 방식과 진료 관련 안내 톤을 확인할 수 있습니다.
원문 검증
필요하면 원문 블로그와 병원 프로필로 바로 이동해 문맥을 다시 확인할 수 있습니다.
출처 아카이브 열기아카이브된 블로그 글
레브치과의원 강남점 · Naver Blog
안녕하세요. 임플란트 장인을 꿈꾸는 치과 백원장입니다. 모든 케이스는 제 환자분들의 동의하 제가 직접 작성하는 포스팅임을 미리 알려드립니다!! 임플란트 장인을 꿈꾸는 치과 백원장이지만, 저희 치과는 "당연히" 기본적인 치과진료에도 최선을 다하고 있습니다! 오늘은 앞니에 양치질이 잘 되지 않아 잇몸이 붓고 충치가 정...
게시일
2024년 7월 13일
원문 기준으로 확인된 발행일입니다.
카테고리
이웃공개 치과컨텐츠
원문 블로그 카테고리를 정리해 함께 표시합니다.
이미지 수
12
현재 아카이브에 연결된 이미지 수입니다.
아카이브 요약
레브치과의원 강남점의 네이버 블로그 원문을 보존한 아카이브 페이지입니다. 이웃공개 치과컨텐츠 카테고리의 잇몸치료와 앞니 레진치료. 3년이 지난 모습 궁금하지 않으신가요? 3M 레진쓰는 치과. 후기/시간/과정/비용. 글을 통해 병원의 한국어 정보 제공 방식과 진료 관련 안내 톤을 확인할 수 있습니다.
원문 검증
필요하면 원문 블로그와 병원 프로필로 바로 이동해 문맥을 다시 확인할 수 있습니다.
출처 아카이브 열기안녕하세요.
임플란트 장인을 꿈꾸는 치과 백원장입니다.
모든 케이스는 제 환자분들의 동의하 제가 직접 작성하는 포스팅임을 미리 알려드립니다!!
임플란트 장인을 꿈꾸는 치과 백원장이지만, 저희 치과는 "당연히" 기본적인 치과진료에도 최선을 다하고 있습니다! 오늘은 앞니에 양치질이 잘 되지 않아 잇몸이 붓고 충치가 정말 많았던, 20대 여자환자의 레진치료에 대한 이야기를 해보고자 합니다. 3M 레진이 얼마나 좋은지 한 번 보여드릴께요!
지난 포스팅에서 저희 치과에서 사용하는 3M 회사의 레진치료를 한 번 다뤄본적이 있습니다!
전 절대 아무것도 제공받고 있지 않습니다..... 대기업은 아무것도 주지 않아요...

스케일링 받고 싶어요.
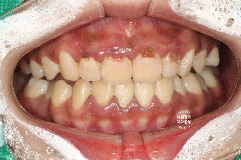
앞니에 충치가 많이 보여요.

아주 시크하게 스케일링을 받으러 왔던 20대 여자 환자입니다.
개원 초반에 내원하셨었는데, 사진 퀄리티가 좀 좋지 않네요..!..
딱 봐도 잇몸이 부어 있으신 상태였습니다. 흡연자로써 치은연하치석 (잇몸 아래에 위치한 치석)이 많아 치주질환이 심하였고, 더불어 치태 관리가 되지 않아 충치도 여러군데 있었어요... 젊은 분이셨는데..

그 날 찍었던 치과용 파노라마 엑스레이 사진입니다.
사랑니가 매복되어 있다는 것 말곤.. 크게 문제가 없어 보였어요!!
스케일링(치석제거)을 먼저 해드렸습니다.
그리고 잇몸치료를 계획하였습니다.
저희는 치근활택술이라고 부릅니다.
앞니 레진치료를 하기에 앞서, 가장 먼저 해야할 일은 건강한 잇몸을 만들어 드리는 것입니다!

출처: Scaling and Root Planing | Periodontal Procedures (anzurperiodontics.com)
쉽게 이야기 해드리면,
치석제거(scaling)은 보이는 잇몸 상방의 치태 및 치석을 제거하는 행위입니다. 일반적으로 주사 마취는 하지 않고, 가글 마취만 시행하고 당일에 입안 전체에 걸쳐 치료를 받게 되죠. 우리가 흔히 받는 스켈링!
치근활택술(root planing)은 치석제거를 받고 1주일이 지나 2차로 다소 깊게 다시 한 번 치석제거를 시행하는 것입니다. 이 때에는 잇몸 하방 약 2-3mm 까지 적극적인 치석제거를 시행함으로써 건강한 잇몸을 만들어주는데 큰 도움을 줍니다.

쉽게 이해하시게 위해 도식을 그려 보았습니다!
치석제거와 잇몸치료를 약 2-3주에 걸쳐 시행하고 나면 깨끗한 잇몸 상태를 보실 수 있을거에요.
무려 저렇게 부었던 잇몸도 깔끔하게 돌아옵니다...!...
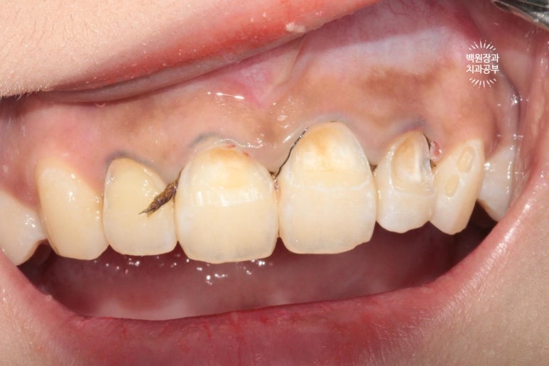
앞니 충치치료 시작!

지금 잇몸 상태가 치석제거와 잇몸치료를 모두 완료한 직후입니다.
흡연으로 인한 약간의 잇몸 착색은 있지만, 붉고 부어 있었던 잇몸은 온데간데 없고, 너무나 깨끗한 잇몸상태를 되찾았죠...? 잇몸의 색깔은 선홍색으로 돌아왔고, 날씬하고 얇아진 모습입니다.
이것이 바로 잇몸치료의 위엄입니다!.. 치주과 전문의가 대표원장인 저희 치과에서 가장 많이 행하는 치료이기도 합니다.
위 사진은 충치를 갓 제거하고 나서의 사집입니다.
충치가 넓기도 하였지만, 자연스러운 색조 재현을 위해 널찍하게 치아삭제를 시행하였습니다.
bevel도 길게 주고..

잇몸의 하방에 삽입되어 있는 코드는 충치치료 직후 제거될 예정입니다.
깊이 있는 충치가 잘 보이게 하기 위함이죠.
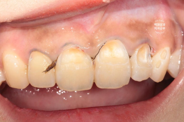
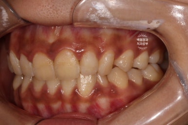
앞니 충치치료 완료!

이렇게 하루만에 원데이 레진치료가 완료되었습니다!
white spot을 모두 제거하지 않았기에, 앞니 지르코니아 크라운만큼 완벽한 결과라고 말하긴 어려울 수 있겠지만,
최대한 치아를 삭제하지 않고 자연스러운 색깔을 부여한 것 같아요.
3M 레진 성능 참 좋습니다!
아~주 만족스러운 치료를 마치고, 1년 정기검진 예약을 잡아드렸는데.....
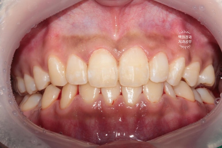
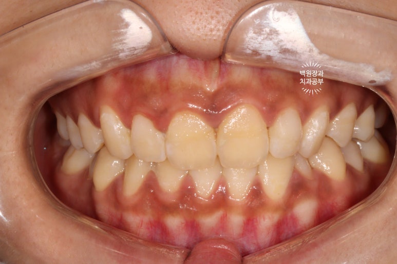
3년만에 나타난 환자분...
병원에서 무소식은 희소식입니다만..

스케일링을 받고자 하는 마음으로 3년만에 방문해주신 환자분!
앞니 레진은 워낙 변색으로 악명이 높기에.. 약간은 긴장을 하면서 본 환자분의 입 안은....
상당히 잘 유지되고 있다는 것을 볼 수 있었습니다!
저희 치과에서 색조 안정성이라고 부르는데요.. 3년이 지난 시점까지도 이렇게 색상이 잘 유지되고 있는 3M 레진.... 역시 미국제 대기업 제품은 다르다 생각이 들었습니다.


흡연을 여전히 하고계셨고, 3년만에 내원하여 잇몸 속의 치석이 관찰되긴 하였지만 전에 비하면 훨씬 관리가 잘 되고 있었습니다.
기쁜 마음에 열심히 스케일링을 해드렸어요!! 그리고 1년이 지난 지금도 환자분은 오지 않고 있긴 합니다 ^^;;;
잘 지내시죠..?
저를 믿고 잘 따라와주신 환자분께 감사드리며, 꼭 1년 정기검진은 오셨으면 좋겠어요!!!!
이번 포스팅은 아주 간단한, 머리가 아프지 않은 내용의 포스팅이었습니다!
레진 치료는 전국 어느치과에서도 많이 하는 치료입니다. 그렇지만 솔직히 앞니 레진치료는 누구에게나 부담스러운 주제에요. 시간이 지난 변색에 민감하고, 은근히 치료가 까다롭기 때문이죠.
전 개인적으로 레진치료의 좋은 결과를 위해, 1번 중요한 것은 치과의사의 숙련도이지만 적어도 2번은 어떠한 레진을 사용하느냐라고 생각합니다. 믿을만한 좋은 회사의 제품을 사용하는 것이 단돈 5천원 1만원 환자분한테 돈을 덜 받는것보다 훨씬 가치있는 일이라고 생각하거든요.
재료 실명제를 실천하고 싶은 마음에서 이렇게 짤막하나마 포스팅을 해보았어요.
치주과 전문의가 상주하여 깔끔한 잇몸치료를 제공하고, 치과보존과 전문의가 상주하여 레진치료도 깔끔하게 해드릴 수 있는 그곳. 저희 치과 포스팅을 찾아주셔서 감사합니다!
온라인상으로나마 상담을 원하신다면, 최대한 성실한 답변을 드려보도록 할께요 :)
치료기간은 이를 뽑을 때부터 완성까지 약 3개월 반 정도 걸렸습니다.
실제로 내원하신 횟수는 7회입니다.
비용이 궁금하신 분들은 댓글을 달아주세요 :) 친절히 안내해드리도록 하겠습니다.
언제든 어떠한 질문도 치과진료와 연관되어있다면 환영입니다 !

이상 '잇몸치료와 앞니 레진치료. 3년이 지난 모습 궁금하지 않으신가요? 3M 레진쓰는 치과. 후기/시간/과정/비용.' 에 관한 포스팅의 치과 백원장이었습니다. 긴 글 읽어주셔서 감사드리며, 궁금한 점은 언제든지 댓글로 문의해주세요!
더 좋은 포스팅으로 또 찾아뵙겠습니다 ^^
본 포스팅은 환자분의 동의 후 작성하였습니다.
치료 시작: 2020.06.25
치료 완료: 2023.06.27
예상되는 부작용: 레진변색, 이차충치발생 등