아카이브 요약
이 페이지의 역할
레브치과의원 강남점의 네이버 블로그 원문을 보존한 아카이브 페이지입니다. 이웃공개 치과컨텐츠 카테고리의 삐뚤빼뚤 앞니 세로 금 - 신경치료 없이 지르코니아 크라운으로. 상악동뼈이식술 임플란트. 글을 통해 병원의 한국어 정보 제공 방식과 진료 관련 안내 톤을 확인할 수 있습니다.
원문 검증
필요하면 원문 블로그와 병원 프로필로 바로 이동해 문맥을 다시 확인할 수 있습니다.
출처 아카이브 열기아카이브된 블로그 글
레브치과의원 강남점 · Naver Blog
안녕하세요. 임플란트 장인을 꿈꾸는 치과 백원장입니다. 모든 케이스는 제 환자분들의 동의하 제가 직접 작성하는 포스팅임을 미리 알려드립니다!! 이번에 소개해드릴 환자분은 앞니에 세로로 금이 가있어서 깨질까봐 노심초사 걱정하시던 60대 여자 환자분의 이야기 입니다. 더불어 나이를 먹어감에 따라 피할 수 없는 구강 내...
게시일
2024년 8월 3일
원문 기준으로 확인된 발행일입니다.
카테고리
이웃공개 치과컨텐츠
원문 블로그 카테고리를 정리해 함께 표시합니다.
이미지 수
26
현재 아카이브에 연결된 이미지 수입니다.
아카이브 요약
레브치과의원 강남점의 네이버 블로그 원문을 보존한 아카이브 페이지입니다. 이웃공개 치과컨텐츠 카테고리의 삐뚤빼뚤 앞니 세로 금 - 신경치료 없이 지르코니아 크라운으로. 상악동뼈이식술 임플란트. 글을 통해 병원의 한국어 정보 제공 방식과 진료 관련 안내 톤을 확인할 수 있습니다.
원문 검증
필요하면 원문 블로그와 병원 프로필로 바로 이동해 문맥을 다시 확인할 수 있습니다.
출처 아카이브 열기안녕하세요.
임플란트 장인을 꿈꾸는 치과 백원장입니다.
모든 케이스는 제 환자분들의 동의하 제가 직접 작성하는 포스팅임을 미리 알려드립니다!!
이번에 소개해드릴 환자분은 앞니에 세로로 금이 가있어서 깨질까봐 노심초사 걱정하시던 60대 여자 환자분의 이야기 입니다. 더불어 나이를 먹어감에 따라 피할 수 없는 구강 내의 변화.. 바로 삐뚤빼뚤한 앞니도 가지런히 만들었으면 하는 환자분이었습니다.

앞니에 세로로 금이 가있어요. 충치도 있는 것 같고...
삐뚤빼뚤한 앞니, 가지런하게도 하고싶어요.

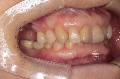
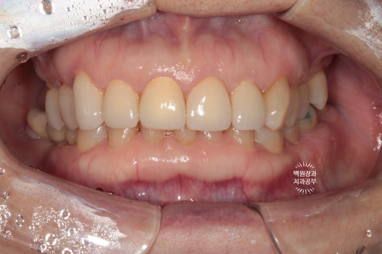
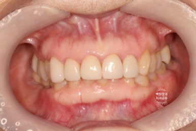
처음 내원하셨을 때 정면 사진입니다.
딱 봐도 위 대문니 두개에 큼지막한 세로 금이 관찰되네요. 환자분의 걱정 포인트이자, 콤플렉스였던 앞니 금.
생긴지 오래 되었을터인데, 시간이 흘러 착색까지 생겨버렸습니다. 50년 이상 사용한 치아에는 크랙이 많이 생길 수 있죠.


옆에서 보아도 너~무 잘 보이는 앞니 세로 금. 치아의 끝단에는 충치로 생각되는 어둑함이 자리잡고 있었고..
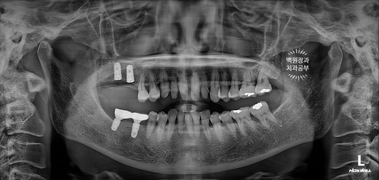
사진을 보시면 아시겠지만, 오른쪽 위 어금니 두개가 없으신 상태였습니다.

빼뚤빼뚤하기도 하면서, 금도 갖고 있었던 위 앞니들은 뒤에서 보면 이렇게 어둑하니.. 충치까지도 잘 보였습니다.
앞니 지르코니아 크라운 치료를 통해,
치아 세로 금 (crack)과 삐뚤빼뚤함 (crowding)을 모두 해결하기로 했습니다.
중년의 여성에서 예쁘지 못한 앞니의 문제로 손꼽히는 이유라 함은..
보통 이러한 세로 금이 있어 비심미적인 앞니를 가지고 계시거나, 삐뚤빼뚤한 상황인 것 같습니다. 더불어 누렁니도 꽤나 빈도수가 잦은 것 같아요.
이러한 문제를 한 번에 해결하려면, 치과교정치료로는 부족하고 지르코니아 크라운 치료가 필수입니다.

간단히 무통마취를 시행하고나서, 정갈하고 깔끔하게 지르코니아 크라운을 위한 치아 삭제를 시행하였습니다.
저희 치과는 치과보철과 원장님이 상주하여, 이렇게 말끔한 보철치료를 도와주고 있어요! 정말 프로페셔널 합니다 :)

어느 치과 의사가 보아도 부끄럽지 않을 수준의 치아 삭제입니다.
다행히 치아 내부의 신경이 가깝거나 노출되지 않아, 신경치료는 시행하지 않았습니다.

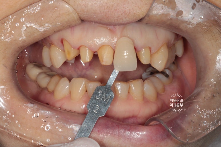
Vita shade guide를 이용하여 색상을 기록한뒤, 준비해두었던 임시치아를 붙여드렸습니다.
앞니 지르코니아 크라운을 셋팅해봅시다.

앞니 지르코니아 크라운은 완성하는데, 약 1주일 정도의 시간이 필요합니다.
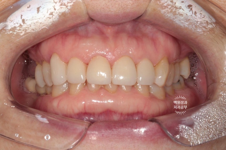
확실히 가지런해진 모습인데요, 인위적으로 색상이 밝은 것 같다고 다른 치아와 유사한 색상으로 만들어 싶어하셨어요.

음.. 대부분의 환자들이 보통 앞니 크라운 치료시 보다 밝은 색상을 원하시는데, 치과의사가 좋아하는 정확한 내 치아색을 원해하셔서 조금의 수정을 해보기로 하였습니다.
저희 치과는
만족하실 때까지 수정해드립니다!!

짜잔~ 조금의 차이점이 느껴지시나요?
치아의 목부분 (치경부)의 색상이 약간 yellowish하게 수정되었습니다.
보다 더 자연스러운 느낌이에요!
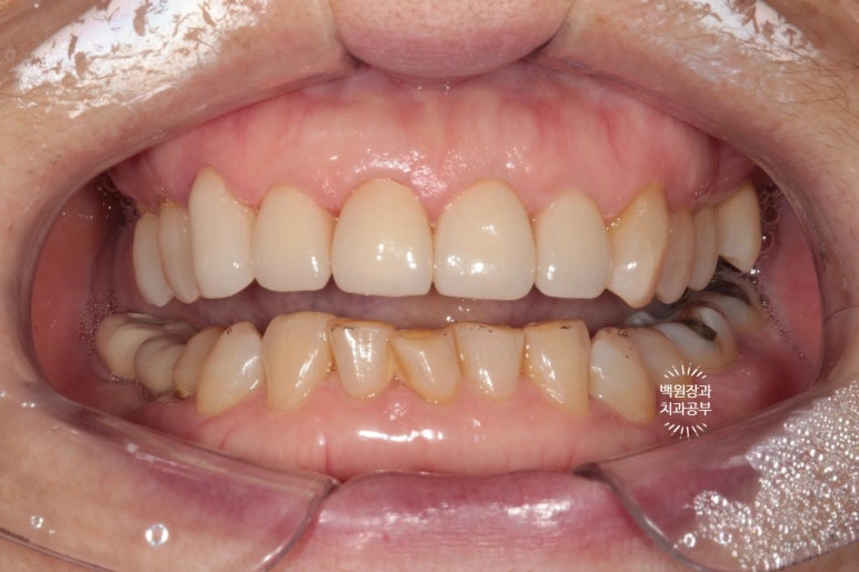
그랬지만, 이번에는 조금 어둡기도 하고, 송곳니가 길어보여서 만족스럽지 않다 말씀하신 환자분...
넵 그래도 수정 해드려야지요.
저희 치과는
만족하실 때까지 수정해드립니다!!

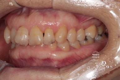
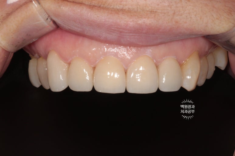
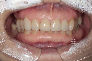
이렇게해서 두 번 수정한 앞니 지르코니아 크라운입니다.
처음에 비해 훨씬 가지런해지고 여성스러운 모양을 가진 치아로 완성되었네요!

어두운 배경을 깔고 촬영해보면 더더욱이 예뻐보이는 지르코니아 크라운입니다.


치료 전과 후를 비교해보았을 때, 대문니에 있던 세로 금이 깔끔하게 해결되었고 밝아진 치아의 색상은 훨씬 더 환한 인상을 주게 되었습니다.
아참! 오른쪽 위 어금니는
상악동 뼈이식술을 해서 임플란트를 예쁘게 심어드렸어요.

오른쪽 위 어금니 2개가 비어있어, 상악동 뼈이식술을 하면서 임플란트 2개를 심어드렸습니다.
이 것은 치주과 전문의인 제 작품입니다!! 두 명의 전문의가 상주하는 치과이지요 :)

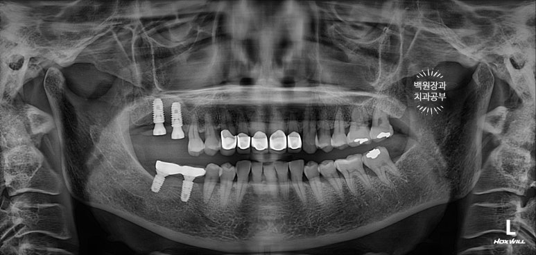
임플란트 2차 수술을 마칠 당시, 상악동 뼈이식술을 했던 부위가 훨씬 확연하게 드러나는 것을 보실 수 있을거에요.

짜잔! 이렇게 임플란트까지 아주 예쁘게 마무리가 되었었답니다.
그리고... 우리 모두가 똑같이 치과는 가고싶지 않은 곳이고..... 환자분은 3년 만에 다시 내원하셨습니다!
길다면 길고 짧다면 짧은 시간이지만,
3년 동안 어떤 변화가 있었을까요?


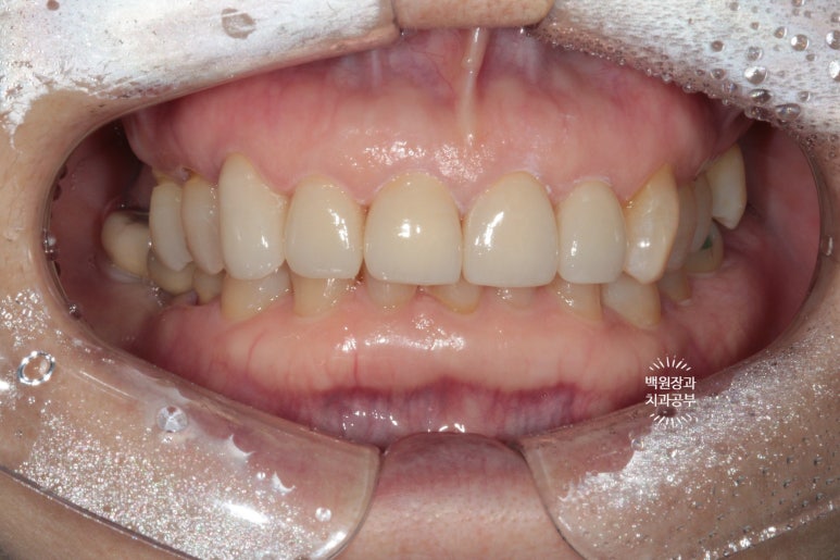
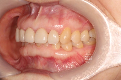
좌측이 3년 전, 우측이 3년 후 입니다.
저희 치과의 카메라가 달라져 비록 같은 색감을 내고 있지는 않으나, 2차 충치나 크라운의 파절 없이 깔끔하게 유지되고 있는 앞니 지르코니아 크라운들을 보실 수 있습니다!!
앞니 지르코니아를 계획할 때 가장 많이 물어보시는 질문 중 하나가 몇 년을 쓸 수 있냐는 말씀인데요,
논문과 교과서에는 평균 10~15년이라고 하나, 관리만 잘 하시면 반영구적으로 쓸 수 있는 것 같습니다.!!
개인적으로 저희 치과가 공들여서 열심히 치료한 치아, 평생 사용하셨으면 좋겠습니다!!!


좌측과 우측 측면에서 보아도 아주 깔끔하게 유지되고 있는 앞니 지르코니아 크라운들입니다.
매우 흡족한 결과입니다 :)


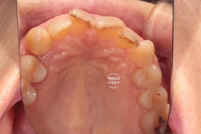
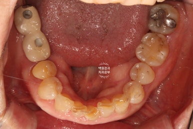
교합면에서 보았을 때 제작해드렸던 임플란트 크라운도 깔끔하게 잘 관리하고 계셨습니다.
이렇게 잘 쓰고 계신 모습을 보면 정말정말로 치과의사로써 큰 보람을 느낍니다 :)

3년이 지나니 상악동 뼈이식술을 했던 곳은 이제 거의 내 뼈와 하나가 된 것처럼 예쁘게 성숙된 모습을 보여주고 있고, 앞니 지르코니아 크라운은 꼼꼼히 관리해주신 덕분에 충치 하나 없이 신경치료 하지 않았음에도 아주 잘~ 쓰고 있는 모습을 확인할 수 있었습니다!
앞니 지르코니아 크라운 치료를 고민하시는 여러 이유가 있으실겁니다.
대부분 치아의 충치, 세로 금 (파절선), 삐뚤빼뚤함 (총생), 누렁니 (변색) 등의 이유로 고민중이실텐데요..
치아의 배열은 치아교정으로 개선이 가능하지만, 현실적으로 지르코니아 크라운 치료가 최선인 경우가 많습니다.
치아를 깎고 씌우는 일은 최소한으로 해야하는게 치과의사의 역할이라고 생각합니다만,
치아에 파절선이 존재하거나, 삐뚤빼뚤함이 심하여 잇몸관리가 어려운 경우 이를 개선하기 위해 선택하는 지르코니아 크라운 치료는 분명히 옳은 진료 방향 중 하나라고 생각합니다.
어떤 과정인지 궁금하고, 그 결과는 어떻게 예상됨이 궁금하실 분들을 위해 사진 위주로 가벼이 포스팅해보았습니다. 특히나 중장년층이 많이 선택하시게 되는 지르코니아 크라운 치료같아요.^^
아울러, 저희 치과에서 임플란트 수술과 가장 많이 같이 하는 뼈이식술 중 하나가 바로 상악동 뼈이식술입니다.
상악동 뼈이식술로 연세대학교 치과대학원에서 박사학위까지 받은 자부심으로!!! 최선을 다해 수술해드리고 있어요. 수술 과정과 결과는 상기 포스팅이 조금 더 자세합니다 :)
온라인상으로나마 상담을 원하신다면, 최대한 성실한 답변을 드려보도록 할께요 :)
치료기간은 치아를 삭제하고 지르코니아 크라운을 2번 수정하여 최종접착까지 약 1개월 정도 걸렸습니다.
실제로 내원하신 횟수는 5회입니다.
비용이 궁금하신 분들은 댓글을 달아주세요 :) 친절히 안내해드리도록 하겠습니다.
언제든 어떠한 질문도 치과진료와 연관되어있다면 환영입니다 !

이상 '삐뚤빼뚤 앞니 세로 금 - 신경치료 없이 지르코니아 크라운으로. 상악동뼈이식술 임플란트.' 에 관한 포스팅의 치과 백원장이었습니다. 긴 글 읽어주셔서 감사드리며, 궁금한 점은 언제든지 댓글로 문의해주세요!
더 좋은 포스팅으로 또 찾아뵙겠습니다 ^^
본 포스팅은 환자분의 동의 후 작성하였습니다.
치료 시작: 2021.07.09
치료 완료: 2021.08.12
예상되는 부작용: 이차충치발생, 근관치료 가능성 등