아카이브 요약
이 페이지의 역할
레브치과의원 강남점의 네이버 블로그 원문을 보존한 아카이브 페이지입니다. 이웃공개 치과컨텐츠 카테고리의 부분틀니를 오래써서 어금니가 아플 때, 아래턱 양쪽 어금니 임플란트 잘하는 강남임플란트치과 글을 통해 병원의 한국어 정보 제공 방식과 진료 관련 안내 톤을 확인할 수 있습니다.
원문 검증
필요하면 원문 블로그와 병원 프로필로 바로 이동해 문맥을 다시 확인할 수 있습니다.
출처 아카이브 열기아카이브된 블로그 글
레브치과의원 강남점 · Naver Blog
안녕하세요. 임플란트 장인을 꿈꾸는 치과 백원장입니다. 너무 오랜만의 치과포스팅이네요.. 신생아를 돌보는게 이렇게 힘들줄이야!... ㅜㅜ 앞으로 임플란트 장인을 꿈꾸는 치과 백원장의 치과 포스팅은 매주 화, 토요일에 업로드 하도록 하겠습니다. (이렇게 마음가짐을 널리 떠들고 다녀야 그게 지켜지니깐요...) 오늘은...
게시일
2024년 9월 17일
원문 기준으로 확인된 발행일입니다.
카테고리
이웃공개 치과컨텐츠
원문 블로그 카테고리를 정리해 함께 표시합니다.
이미지 수
41
현재 아카이브에 연결된 이미지 수입니다.
아카이브 요약
레브치과의원 강남점의 네이버 블로그 원문을 보존한 아카이브 페이지입니다. 이웃공개 치과컨텐츠 카테고리의 부분틀니를 오래써서 어금니가 아플 때, 아래턱 양쪽 어금니 임플란트 잘하는 강남임플란트치과 글을 통해 병원의 한국어 정보 제공 방식과 진료 관련 안내 톤을 확인할 수 있습니다.
원문 검증
필요하면 원문 블로그와 병원 프로필로 바로 이동해 문맥을 다시 확인할 수 있습니다.
출처 아카이브 열기안녕하세요.
임플란트 장인을 꿈꾸는 치과 백원장입니다.
너무 오랜만의 치과포스팅이네요.. 신생아를 돌보는게 이렇게 힘들줄이야!... ㅜㅜ
앞으로 임플란트 장인을 꿈꾸는 치과 백원장의 치과 포스팅은 매주 화, 토요일에 업로드 하도록 하겠습니다.
(이렇게 마음가짐을 널리 떠들고 다녀야 그게 지켜지니깐요...)
오늘은 아래턱 부분틀니를 오래쓰는 도중에 발생한 만성치주염으로 남은 치아를 몇개 제거하고,
양쪽 어금니 임플란트 치료를 받으셨던 50대 여자 환자분 이야기 입니다.
오스템임플란트의 네비게이션 임플란트 시스템인 원가이드 수술 장치를 활용해서 깔끔하게 마무리 되었던 케이스에요~!!

아래 부분틀니를 오래쓰고나니, 고리거는 치아가 흔들리고 아파요.
어금니 임플란트 수술 받아보고 싶어요.

사실 이미 임플란트 치료를 여러개 받아보신 분이었습니다.
위턱 전체 임플란트는 타치과에서 치료가 완료된 상태였고, 비용 문제로 아래 부분틀니만 아직 사용중이신 상태였어요.
** 여기서 팁! 위턱과 아래턱의 보철물 종류는 맞춰주는게 좋습니다.
예를 들면, 위턱 전체 틀니 & 아래턱 부분 틀니 조합 혹은 위턱 전체 틀니 & 아래턱 임플란트틀니
혹은 위턱 자연치아 & 아래턱 전체 임플란트 혹은 위턱 전체 임플란트 & 아래턱 자연치 이런 식으로요!!
위 아래가 성격이 다른 보철물을 사용하시게 되면, 기능함에 있어 많은 부족함을 느끼시는데.. 이번 50대 여자 환자분도 위는 딱딱한 전체 임플란트 & 아래는 움직임이 허용되는 부분 틀니라 고충이 많으셨던 분이었어요.

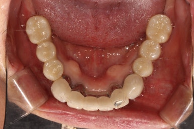
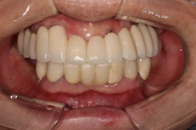
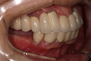
아래 틀니를 끼지 않은 상태에서 초진 정면 사진입니다.
기존에 치료받으신 임플란트의 metal 부분이 조금 비추긴 하나, 전체적으로 나쁘지 않습니다.


잘 보시면 아래턱의 맨 끝 치아 두개는 유독 치태가 많이 쌓여있고, 그 앞 치아들로부터 떨어져있는 것을 보실 수 있습니다.

화살표 표시해둔 두 개의 아래턱 작은 어금니는, 아래 부분틀니의 고리가 걸리는 치아입니다.
처음 아래 부분틀니를 제작할 당시에 여러개의 치아를 보철물로 묶어서 제작해드렸어야 하는데, 보시다시피 single crown으로 제작되어있는지라 성인 여성의 저작력을 견디지 못하고 만성치주염으로 흔들거리는 상태가 되었죠... 보면 치과용 파노라마 사진에서 두 치아 주변으로 까맣게 잇몸뼈 소실이 관찰됩니다.


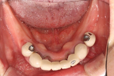
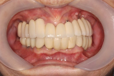
위턱은 임플란트로 어느 정도 치아 자리가 채워져 있는 모습이지만, 아래턱은 어금니가 상당히 많이 없네요.
임플란트로 모두 치료해보기로 하였습니다.
빠르고 정확한 수술을 위해 네비게이션 임플란트 계획합니다.
오스템임플란트 원가이드 시스템 사용하였습니다.

수술 전에 이런 투명한 장치를 미리 만들었는데요, 흔히들 네비게이션 임플란트라고 홍보하는 그 장치입니다.
수술 전 CT 영상에서 추후 제작될 임플란트 머리를 가상으로 구상하고, 최대한 이상적인 임플란트 위치를 설정후에 그 위치 그대로 임플란트를 심어낼 수 있도록 도와주는 장치입니다.
임플란트 회사마다 여러 상품명으로 불리는데, 국내에서 가장 큰 회사 오스템임플란트는 '오스템 원가이드'라고 명칭하고 있습니다.
빠르면 30분이면 끝나는 수술...

오스템 원가이드 시스템을 사용하면, 상당히 정확한 위치에 상당히 빠른 속도로 임플란트 수술을 해낼 수 있습니다.
그렇지만 술자의 역량이 중요하지 않다는 것은 절대 아닙니다.

저희 치과는 덴티움 社의 골이식재 osteon III와 차폐막 collagen membrane을 씁니다.
아무리 CT를 통해 미리 모든 계획을 한다고 해도, 수술에는 늘 변수가 있기 마련이며 위에 보시다시피 임플란트 주변 치조골 이식술을 함께 해야하는 경우 약간의 임플란트 위치 수정도 필요하기 때문이죠.
게다가 수술 전 CT를 사용한 수술 계획은 근본적으로 완벽할 수 없는 근거가 있습니다.
바로 '잇몸'을 고려할 수 없는 치료계획을 세우게 된다는 것인데요.. CT 상에서 잇몸은 보이지 않기 때문에 어찌보면 당연한 것.. 주변 잇몸부터 잇몸뼈, 치조골이식술, 임플란트 위치오 보철물의 형태까지 - 종합적으로 생각해가며 수술을 해야하기에 반드시 경험있는 치과의사에게 치료받기를 권해드리는 것입니다.

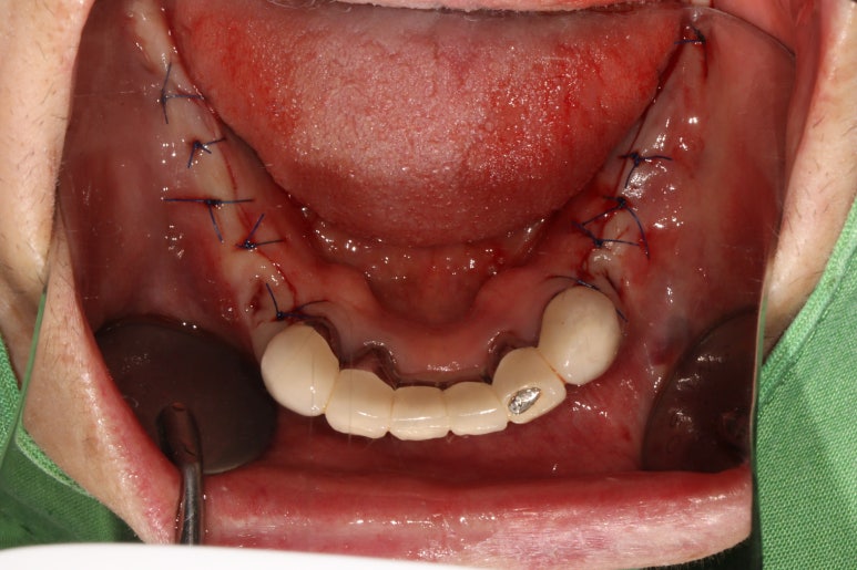
수술이 끝나고 깔끔하고 예쁘게 꿰매드렸습니다.
임플란트 개수 자체는 많지만, 네비게이션 임플란트 수술 시스템을 이용하여 빠르고 덜 침습적인 수술을 하게 됨으로써 수술 후 통증을 최소화 시킬 수 있습니다.
역시 수술은.. 손맛이지요.

수술 후 촬영한 치과용 파노라마 사진에서, 정~말 깔끔하고 예쁘게 식립된 임플란트를 보실 수 있습니다.
아래턱뼈 내부에는 하치조신경이라는 감각신경이 주행하고 있는데요, 네비게이션 임플란트를 통해 수술 후 감각마비 없이 깔끔하게 마무리 되었습니다.
임플란트 2차 수술

아래턱뼈에 식립한 임플란트의 경우, 약 2달 정도의 치유기간만 주어지면 충분한 골유착을 기대할 수 있습니다.
임플란트를 잇몸 안에 모두 묻어놓았기 때문에 (submerged) 추후에 임프란트 보철물을 연결할 수 있도록 치유지대주 (healing abutment)를 연결해주어야 합니다.
이 간단한 시술을 임플란트 2차 수술이라고 부릅니다.
임플란트 2차 수술을 얘기하면, 대부분의 환자분들이 또 수술을 해야하냐고 싫어하시지만... 임플란트 2차 수술은 학술적으로 보았을 때, 단순히 뚜껑을 하나 바꿔껴내는 행위는 아닙니다.
추후 제작될 임플란트 보철물 주변의 잇몸의 성상을 조성할 수 있고, 경우에 따라 잇몸이식술도 시행하여 보다 관리가 용이한 환경을 만들어내는 소수술이라고 보시는게 맞습니다.

아래턱 어금니 임플란트에 임플란트 2차 수술을 시행하고나서 약 10일 뒤 실밥을 제거합니다.
이제 임플란트 인상채득을 시행합니다.
임플란트 보철물 제작을 위한 구강 스캔


각 임플란트에 연결된 치유지대주를 제거하고, 스캔 바디를 연결한 뒤 구강스캐너를 사용하여 인상채득 (뽄뜨기)을 시행합니다.
치과에서 어떤 치료를 받으시던지, 뽄뜨는 과정은 많이들 해보셨을거에요. 이제는 많이 디지털화되어 뽄을 잘 뜨지 않고, '구강스캐너'를 이용하여 입 안 상태를 스캐너로 사진을 찍습니다 (!?)
맞춤형 지대주 (custom abutment)와 임시치아를 사용한 씹기 연습.

그렇게해서 제작된 맞춤형 지대주 (custom abutment)와 임시치아를 이용하여 이제 씹는 연습을 해보시게 됩니다. 저희 치과에서는 모든 케이스에 있어 '정품 오스템 티타늄 환봉'을 사용한 맞춤형 지대주만을 사용하고 있습니다.
대부분의 환자분들이 자신의 입 안에 어떤 형태의 보철물이 제작되어 들어가는지 잘 모르시는게 당연하죠...?
맞춤형 지대주 (흔히 말하는 임플란트 기둥입니다.)를 사용하게되면, 보다 더 내 잇몸에 맞게끔 커스터마이징 된 보철물을 설치함으로써 구강위생관리가 편해지고 음식도 덜끼며 fit이 좋아 크라운의 탈락 가능성도 낮아집니다.
뭐든지... 처음 만들 때 잘해놓아야 나중에 고생하지 않으신다는 뜻!!!



저희 치과와 협업하는 기공소에서 제작해온 임시치아를 장착한 상태입니다.
플라스틱 재질인 레진으로 제작되어 있어 색상은 그닥 수려하지 않으나, 연습용으로 써보기에는 아주 딱이죠?
생각보다 보기에 모양도 괜찮습니다. 요새 임플란트 보철물은 모두 CADCAM으로 지르코니아 블럭을 깎아서 제작하기 때문에, 만약 이 임시치아가 마음에 드셨다면 최종 지르코니아 크라운도 컴퓨터에 입력된 데이터를 이용하여 똑같이 깎아서 제작해드릴 수 있답니다. 이 모든게 치과에서 구강스캐너를 사용하기에 가능하죠..
어쨌든, 어금니 임플란트로 치아가 6개나 새로 제작되었기에 볼이나 혀가 씹히진 않는지 - 식사시에 아프거나 음식이 끼는 것은 없는지 등을 확인하기 위해 약 2-4주 정도 사용해보시게 됩니다.
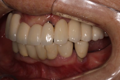
임플란트 최종 완성까지 걸린 시간은 4달 이었습니다.

생각보다 적응하는데 조금 시간이 걸리셨지만, 처음 임플란트 수술을 했던 날부터 약 4달이 지나 이렇게 보철물을 완성해드릴 수 있었습니다.
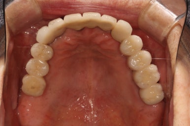
생각보다 임시치아보다 훨씬 매끈한 표면과 비슷한 색깔을 자랑하는 지르코니아 크라운입니다.


아마 어금니에 임플란트가 생긴건가? 싶으실거에요.
오스템 원가이드 네비게이션 임플란트 시스템을 이용하면, 정교하게 이상적인 위치에 임플란트를 심어낼 수 있어 자연스러운 임플란트 보철물을 제작하는데 많은 도움을 받을 수 있습니다!!


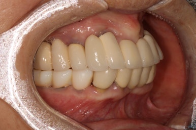
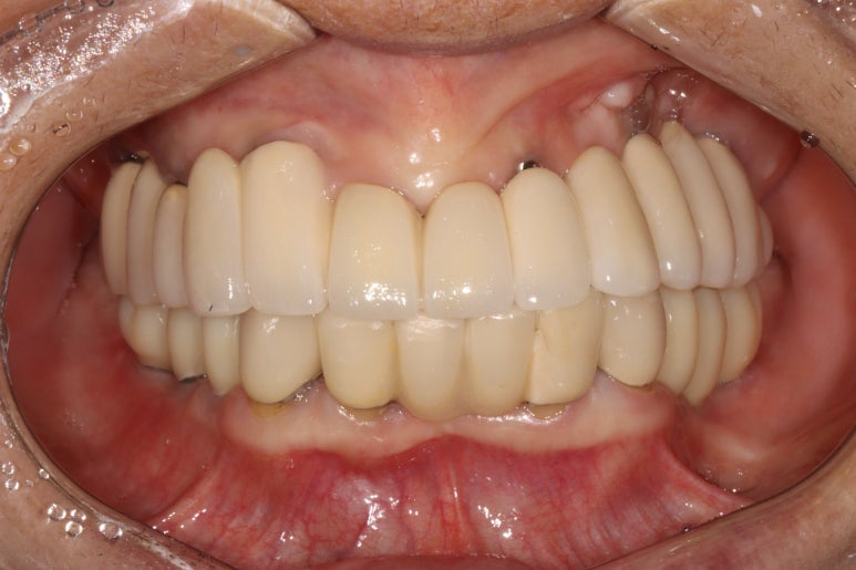
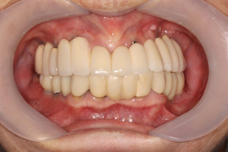
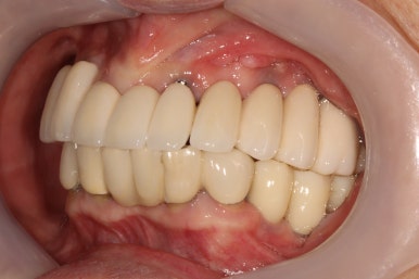
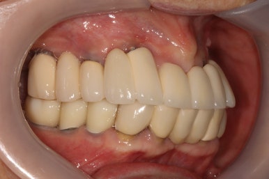
최종 완성된 보철물은 상당히 이상적인 형태를 갖고 있습니다.
이제 드디어 부분틀니를 쓰지 않아도 되는 ... 행복한 순간입니다.

치과용 파노라마 사진을 보면 뭔가 좌우 대칭으로 깔끔하게 완성된 아래턱 양쪽 어금니 임플란트를 보실 수 있어요!!
이 정도면 임플란트 장인이라고 할 수 있지 않을까요....? ㅎ.ㅎ
임플란트가 많으셨기에,
다른치과 임플란트까지 포함하여 6개월 단위 검진을 권해드립니다.

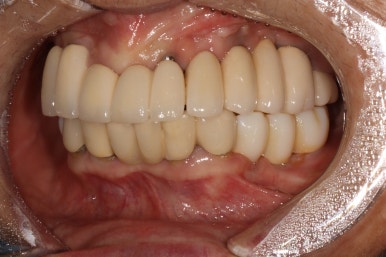
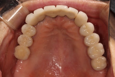
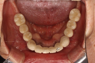
차이를 별로 못느끼실 수 있겠지만, 임플란트 보철물 완성 6개월 후 방문 때 구강내 사진입니다.
감사히도 환자분께서 상당히 깨끗하게 유지하고 계셔서, 잇몸에 염증하나 없이 너~무 보기 좋더라구요.


저한테는 당연한 이야기이지만, 환자분들은 생소해하는 이야기!
임플란트도 6개월에 한 번씩 스케일링을 받으셔야 합니다.
치아랑 똑같이 치태도 쌓이고 치석도 생긴답니다.
결국은 자연치아의 만성치주염에 해당하는 임플란트주위염으로 발전할 수 있기 떄문에, 자가 관리를 확실히 그리고 철저하게 하시는 것이 매우 중요해요!!!


그래도 대부분의 환자분들은 고생해서 받은 임플란트 치료 결과를 잘 유지하기 위해 치간칫솔, 칫솔, 워터픽 등 수단을 가리지 않고 열심히 관리해주시더라구요!
저는 정확한 위치에 심겨진, 그리고 임플란트회사 정품 맞춤형 지대주와 양질의 지르코니아 크라운으로 만들어진 임플란트는 흡연과 당뇨의 위험만 아니라면 높은 확률로 반영구적으로 사용 가능하다고 생각합니다.
잘 수술해내고 만들어드리는 것은 제 몫이지만, 유지관리에 있어서는 함께 최선을 다해야 한다는 것!!
Before & After


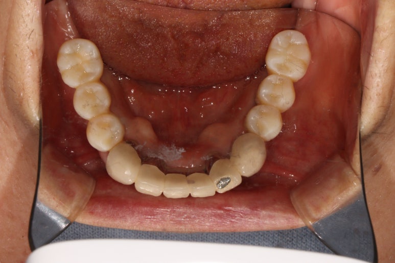
치과용 파노라마 엑스레이만 보아도, 임플란트 여섯개가 깔끔하게 제작된 것을 보실 수 있을겁니다.


앞에서 볼 땐 많이 테가 안날수도 있겠지만...


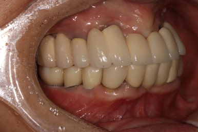
어금니 좌측


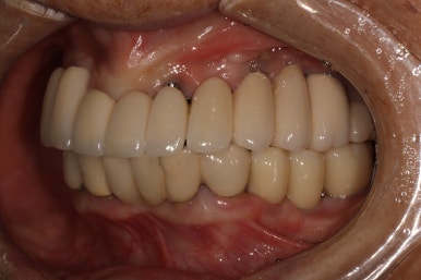
어금니 우측
좌우측 측면 사진 비교시, 아래 어금니 임플란트로 깔끔하게 메꿔진 빈 공간이 인상적입니다!
이제 부분틀니는 안녕~ 잘 제작된 오스템 임플란트로 행복하게 식사시간 되시길 기도합니다 !!
저희 행당역 연세더좋은플란트치과는 치과 이름과 비슷하게 유독 임플란트 환자분들이 많이 찾아주시는 것 같습니다. 제가 전공한 연세대학교 치과대학병원 치주과가 임플란트 중점 교육을 하는 곳이라.. 제일 잘하는게 임플란트라고 생각하여 지었던 치과 이름덕에 이렇게까지 성장한 것 같아요.
늘 감사드리며, 항상 좋은 결과로 동네 최고의 치과가 되려 노력하고 있습니다!!
비슷하게 아래 틀니를 떠나보내고, 아래턱 임플란트 치료 받는 환자분들도 여럿 계시고..
더 나아가 전체 임플란트 치료를 받으셨던 분도 꽤나 생각납니다..
세월이 흐르다보니, 추억이 되는 것 같습니다 (!!?) 멋진 그림작품을 하나하나 그려나가는, 정말 장인이 되어가는 느낌이랄까요 :) ㅎㅎ
틀니를 사용하고 계신 분들 중에서, 생각보다 임플란트 치료를 하기에 너~무 좋을 정도의 구강 내 환경을 가지고 계신 분들이 많습니다.
틀니의 저작 기능은 자기 치아의 고작 30% 정도라고 합니다. 코로나를 거치며, 임플란트 가격도 상당히 많이 내렸고... 꼭 저희 치과가 아니어도, 자기 치아의 90%의 기능을 낼 수 있다는 임플란트 치료 상담을 한 번 받아보세요!
잘 제작된 임플란트 보철물이 신세계를 열어줄거라 확신합니다 :)
늘 말씀드리지만, 어려운 치료를 힘들다 한마디 없이 잘 따라와주신 환자분께 무한한 감사를 표합니다!
언제든 어떠한 질문도 치과진료와 연관되어있다면 환영입니다 ^^

이상 백원장과 치과공부의 치주과 전문의 치과 백원장이었습니다.
온라인상으로 상담을 원하시면 댓글을 달아주세요. 최대한 성실하게 답변을 드리겠습니다! :)
치료 받으신 기간은 4개월입니다. 내원 횟수는 약 15회입니다.
비용이 궁금하신 분들 또한 댓글을 달아주세요 :) 친절히 안내해드리도록 하겠습니다.
이상 '부분틀니를 오래써서 어금니가 아플 때, 아래턱 양쪽 어금니 임플란트 잘하는 치과.' 에 관한 포스팅의 치과 백원장이었습니다. 긴 글 읽어주셔서 감사드리며, 궁금한 점은 언제든지 댓글로 문의해주세요!
더 좋은 포스팅으로 또 찾아뵙겠습니다 ^^
본 포스팅은 환자분의 동의 후 작성하였습니다.
치료 시작: 2023.02.17
치료 완료: 2023.06.30
예상되는 부작용: 임플란트 골유착 실패, 치료 후 통증, 수술 후 감염 등.