아카이브 요약
이 페이지의 역할
레브치과의원 강남점의 네이버 블로그 원문을 보존한 아카이브 페이지입니다. 임플란트와 뼈이식 카테고리의 스트라우만 임플란트로 이뽑고 바로심는치과 - 믿고 사용하는 세계 1위 스위스 임플란트 회사. 글을 통해 병원의 한국어 정보 제공 방식과 진료 관련 안내 톤을 확인할 수 있습니다.
원문 검증
필요하면 원문 블로그와 병원 프로필로 바로 이동해 문맥을 다시 확인할 수 있습니다.
출처 아카이브 열기아카이브된 블로그 글
레브치과의원 강남점 · Naver Blog
안녕하세요. 임플란트 장인을 꿈꾸는 치과 백원장입니다. 저희 치과에서는 국내 1위 세계 1위 임플란트 제품을 사용하고 있는데요, 오늘은 그 중 세계 임플란트 점유율 1위 임플란트인 스트라우만 임플란트를 사용한 환자분 케이스를 소개해드려보고자 합니다. 특이점으로는, 70대 여성 환자분이셨는데 옛날에 다른 치과에서 임플란...
게시일
2024년 9월 21일
원문 기준으로 확인된 발행일입니다.
카테고리
임플란트와 뼈이식
원문 블로그 카테고리를 정리해 함께 표시합니다.
이미지 수
41
현재 아카이브에 연결된 이미지 수입니다.
아카이브 요약
레브치과의원 강남점의 네이버 블로그 원문을 보존한 아카이브 페이지입니다. 임플란트와 뼈이식 카테고리의 스트라우만 임플란트로 이뽑고 바로심는치과 - 믿고 사용하는 세계 1위 스위스 임플란트 회사. 글을 통해 병원의 한국어 정보 제공 방식과 진료 관련 안내 톤을 확인할 수 있습니다.
원문 검증
필요하면 원문 블로그와 병원 프로필로 바로 이동해 문맥을 다시 확인할 수 있습니다.
출처 아카이브 열기안녕하세요.
임플란트 장인을 꿈꾸는 치과 백원장입니다.
저희 치과에서는 국내 1위 세계 1위 임플란트 제품을 사용하고 있는데요,
오늘은 그 중 세계 임플란트 점유율 1위 임플란트인 스트라우만 임플란트를 사용한 환자분 케이스를 소개해드려보고자 합니다.
특이점으로는, 70대 여성 환자분이셨는데 옛날에 다른 치과에서 임플란트 한창 비쌀 때 스트라우만 임플란트로 치료를 받으셨고 20년 넘게 잘 쓰고 계시더라구요. 그래서 함께 케이스를 공유해드려보고자 해요!!
이전에 소개드렸던, 저희 병원에서 스트라우만 임플란트를 가장 많이 사용하셨던 환자분 증례입니다.
어금니를 포함하여 전체적으로 구강내 환경을 새로이 재건해드려, 예쁘고 건강한 치아를 가지게 되셨죠!

뿌리만 남은 치아가 2개 있어요. 좋은 임플란트로 치료받고 싶어요.

저희 치과에 다니시던 70대 여자 환자분입니다.
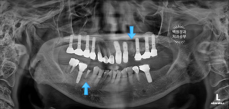
잘 보시면, 임플란트가 총 위턱에 9개, 아래턱에 2개 되어있는데 대부분이 아주 유명한 외국 임플란트 제품들입니다. 특히나 위턱 어금니는 스트라우만 standard 제품으로, 제가 가장 신뢰하는 제품 중 하나입니다.
무려 20년이 넘으셨다고 했는데... 임플란트 주위염 하나 없이 너무너무 잘 사용하고 계시더라구요.
스트라우만에 대한 꾸준한 믿음으로, 저희 치과에서 스트라우만 임플란트를 사용한다는 정보를 입수해서 내원해주신 환자분이셨습니다!

처음 오셨을 때, 치과용 파노라마 사진에서 파란색 화살표로 표시해둔 두 치아 - 왼쪽 위 송곳니와 오른쪽 아래 작은어금니가 뿌리만 남아있는 상태로 내원하셨어요.
특이할만한 점이, 두 치아 모두 신경치료와 크라운 치료를 받았던 치아였다는 것... 역시나 신경치료는 치아 건강에 그리 좋지 않음을 알 수 있습니다..
정말 부득이할때만 하는 치료이죠 ㅠㅠ 저희 성동구 금호동 연세더좋은플란트치과도 최~~대한 신경치료를 하지 않기위해 노력하고 있습니다!! 신경치료는 치과의사들도 힘들어해요. . .

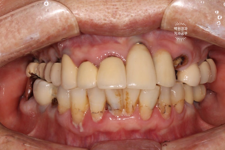
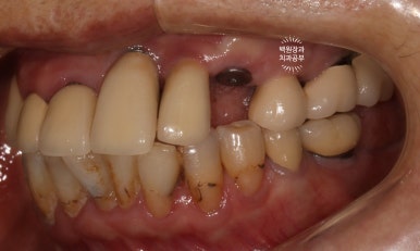
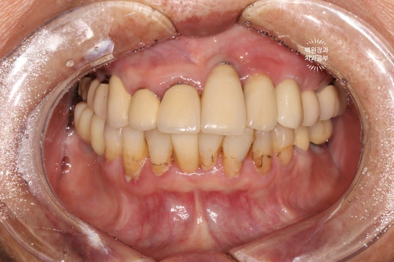
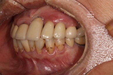
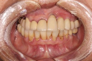
처음 오셨을 때 정면 사진입니다.
잘 보시면, 아까 보였던 치과용 파노라마 사진대로 뿌리만 남은 두 개의 치아를 찾아보실 수 있으실거에요. ㅎㅎ
제가 서두에서 어금니에 스트라우만 임플란트가 많다고 말씀드렸는데, (나머지도 branemark 제품으로 보이며, 명품으로 주름잡던 스웨덴 임플란트 입니다.) 이 미친 퍼포먼스의 스위스 임플란트는 20년이 지난 지금도 짱짱한 성능을 자랑하고 있답니다.
오스템임플란트도 신뢰하며 좋아하는 제품이긴 하지만, 60년 이상의 역사를 자랑하는 임플란트 원조격인 스위스의 스트라우만 임플란트는 진짜.. 미쳐버릴 것 같은 신뢰도를 자랑하고 있었습니다.
사실 구강위생관리가 그렇게 완벽하신편이 아니신데도.. 이런 임상결과를 보이고 있는 것이 늘 경이롭습니다.
이는 연세대학교 치과대학병원 교수님들도 인정하시는 포인트일거에요!!


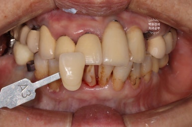
아까 말씀드렸듯, 왼쪽 위 송곳니와 오른쪽 아래 작은어금니에 뿌리만 있는 잔존치근이 관찰됩니다.
개인적으로 이를 뽑으면서 동시에 심어내는 발치 즉시 임플란트에 보수적인 의사입니다만,
이렇게 비록 치아가 썩어서 부러졌을지언정 만성치주염없이 건강한 잇몸뼈를 가지신 분은 충분히 고려해볼만 하죠!!
그래도 발치 동시에 임플란트를 심어내는 것은 여러가지 사항이 고려되어야 하고, 신중하게 접근할 필요가 있습니다.


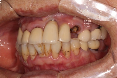
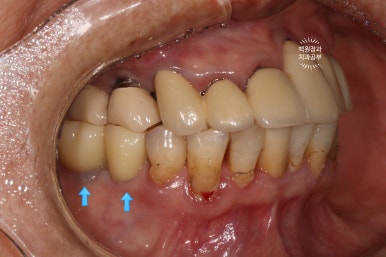
좌측은 위턱 사진, 오른쪽은 아래턱 구강내 사진입니다.
아주 어렵지 않게 두 치아가 부러져 있다는 것을 확인할 수 있죠.
이뽑으면서 동시에 임플란트를 심으려면 가장 중요한 1조건은, 임플란트가 위치될 부위의 잇몸뼈가 '애당초' 넉넉해야한다는 것입니다. 그래서 너~무 염증이 심했던 치아는 뽑으면서 임플란트 하기가 곤란하고, 설령 해내더라도 예후가 좋지 않아요.
본 70대 여자 환자분의 경우, 치아가 부러지긴 했지만 실질적으로 내부에 염증이 심하지 않았고 송곳니와 작은어금니 모두 비교적 작고 짧은 형태의 뿌리를 갖고 있었기에 발치 동시 임플란트 수술을 계획했습니다.
임플란트는 한개씩 수술해야 치아보험 적용을 다 받을 수 있어서,
한개씩 수술받고 싶어요.

요새 치과치료 계획을 세우다보면, 가장 크게 고려되는 항목 중 하나가 치아보험입니다.
사보험 중 하나인 치아보험이 확장되면서 큰 치료를 받기 전에 치아보험을 두개 세개씩 가입하시는 분들도 많더라구요. 소비자로써 슬기로운 소비는 아주 아주 추천하는 바이지요.
본 70대 여성 환자분의 경우 '임플란트 수술은 하루에 한개까지만 보험 적용 가능' 이라는 조항이 있었기에, 수술날을 나누어 치료하기로 하였습니다.
치과 원장님이랑 치료시작하기 전에 치아보험이 있다는 것을 미리 알려주시면, 치료계획을 세움에 매우 도움이 됩니다!! 백원장은 보험금을 내고 보험금을 받는 것은 당당한 소비자의 권리라고 생각합니다.
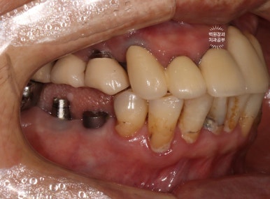
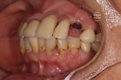
오른쪽 아래 작은어금니에 스트라우만 임플란트를 심고 골이식을 했습니다.

이를 뽑으면서 동시에 임플란트를 심는 발치 즉시 임플란트의 경우, 뼈이식이 필수적으로 동반될 수밖에 없습니다.
왜냐하면... 당연한 얘기지만, 치아를 뽑은 자리가 임플란트와 똑같은 형태일리 없기 때문이죠..
그러니 이를 뽑고 임플란트를 심으면, 빈자리엔 뼈이식을 할 수밖에 없다는 말씀!
결론적으로 임플란트를 조금 저렴하게 하고싶다면, 뼈이식을 안할수 있는 방향을 선택하게 되는데.. 역으로 생각하여 이를 뽑으면서 임플란트를 동시에 심지 않으면 됩니다. 이를 뽑고 3-6개월 정도 충분히 기다려주면 되죠.
다만, 기다렸지만 잘 아물지 않아 기다렸지만 뼈이식을 해야할수도 있다는 점만 감수하시면 됩니다... 뼈이식비용을 지불하는 대신 이가 없는 시간을 줄여주는게 발치 동시 임플란트 수술이라고 생각하시면 됩니다!


보시면 이가 없던 자리에 임플란트 두개가 생겨 있는 것을 보실 수 있습니다.
발치 동시 임플란트의 또 다른 특징으로, 대부분 임플란트 2차수술을 하지 않습니다.
왜냐~ 이를 뽑으면서 임플란트를 바로 심기 때문에, 잇몸이 비어있는 부분이 있잖아요? ㅎㅎ 그러니 당연히 뚜껑을 껴야한다구요!! 그래서 임플란트 수술이 모두 끝나버립니다.
많은 분들이 모르는 발치 즉시 임플란트의 또다른 장점?


학술적으로, 이를 뽑으면서 임플란트를 동시에 심게되면 주변의 잇몸에 최소한의 변화만 일으키게 되는데요.
이게 많은분들이 모르시는 내용! 주변 잇몸이 예쁘게 보존되면서, 임플란트 주변의 잇몸이 최~대한 많이 남아있게 할 수 있답니다.

요 치아 사이의 잇몸이 최소한으로 사라지고, 보존된다는 장점이 있죠.!!!
지금 환자분은 70대 여성분이라, 이미 잇몸이 많이 내려앉아 티가 많이 나진 않지만.. 이가 썩어서 부러지거나 신경치료 실패로 인해 이를 뽑게되는 20-30대 젊은 환자분들에겐 보다 더 중요한 장점입니다.
그래서 앞니 임플란트는 발치 즉시 임플란트가 가장 많은 부위가 되죠!
백원장과 치과공부 재밌지 않으십니까!? ㅎㅎㅎㅎ
충치가 많았지만.. 제일 심한 것 하나만 치아보험 받을 수 있어요.


저희 치과는 구강카메라가 있어서 충치가 있는 곳 구석구석 보여드릴 수 있어요!!
아래 앞니에 까맣게 썩은 옆면 충치가 보이시나요..? 우측 사진을 보면 더 확실히 보실 수 있답니다.
옆면에 쌓여나가는 치태는.. 충치의 가장 큰 원인이죠. 치실을 잘 사용하셔야 하는 이유입니다.


결국 이렇게 지르코니아 크라운 제작이 들어가게 되었고, 색상을 잘 측정하여..

이렇게 예쁘게 완성해드리게 되었죠!!!
저희 치과 지르코니아 크라운은 생각보다 끝내줍니다~! ㅎㅎ
발치 즉시 임플란트는 3개월의 치유기간이 필요합니다.
오른쪽 아래 작은어금니는 기존의 임플란트와 합치기로 하였어요.


발치 즉시 임플란트는 뼈이식이 필수로 동반되기 때문에, 3개월의 치유기간을 갖습니다.
3개월이 지나면, 임플란트가 내 뼈와 잘 붙었는지 확인하기 위해 'ISQ' 수치 측정을 하게 되는데요~
자성을 가진 기계를 이용하여 임플란트의 미세 흔들림을 측정하고, 임플란트가 성공적인 골유착을 이뤄냈는지 수치로써 확인할 수 있는 진단 TOOL 입니다.

저희 치과에서 사용하는 OSSTELL 제품은 수입산 중 가장 좋은 기계 중 하나입니다.
장비충인 백원장은... 이런 좋은 기계를 사용하는 것을 좋아합니다...... 고백중....
여튼 ISQ 수치가 좋아 보철 치료를 들어가기로 하였어요!


오른쪽 아래 임플란트는 음식이 많이 낀다는 이유로 임플란트 크라운 재제작을 원하셔서, 머리부분만 제거하고 새로 2개짜리 임플란트 크라운으로 제작하기로 하였습니다.
임플란트 크라운을 묶어주면 보다 튼튼해진다는 장점과 음식이 덜 낀다는 두가지 장점을 함께 가져갈 수 있습니다.
그래서 임플란트는 가능하면 최대한 묶어서 제작해드려요~
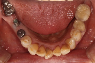
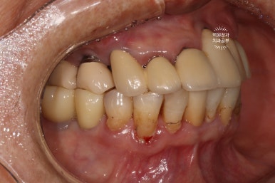
1주일이 지나 보철물을 모두 껴드렸습니다!

스트라우만 임플란트를 사용하여 수술하였던 어금니 부위에 임플란트 머리가 제작되었습니다!
상당히 많은 임플란트를 가지고 계시지만, 다행히 그 사이에 예쁘게 쏙 심어내었답니다 :)
약간 생긴게 다른데, 임플란트도 회사마다 보통 약 3-4가지 라인업이 있기 때문입니다. 스트라우만 임플란트의 경우 크게 Standard, BLT, BLX 라인이 있으니 형태가 달라도 놀라지 마세요! 상황마다 용도가 다를 뿐입니다.


예쁘게 제작된 임플란트 크라운은, 치아보다도 더 예쁘고 가지런한 모양을 보여준답니다.
어느게 스트라우만 임플란트인지 확인 가능하신가요..? ㅎ


화살표로 표시해놓은 것들이 이번에 새로 임플란트로 채워넣어진 자리입니다!
진짜 깔끔하고 예쁘게 마무리 되어서 너~무 뿌듯합니다 :)
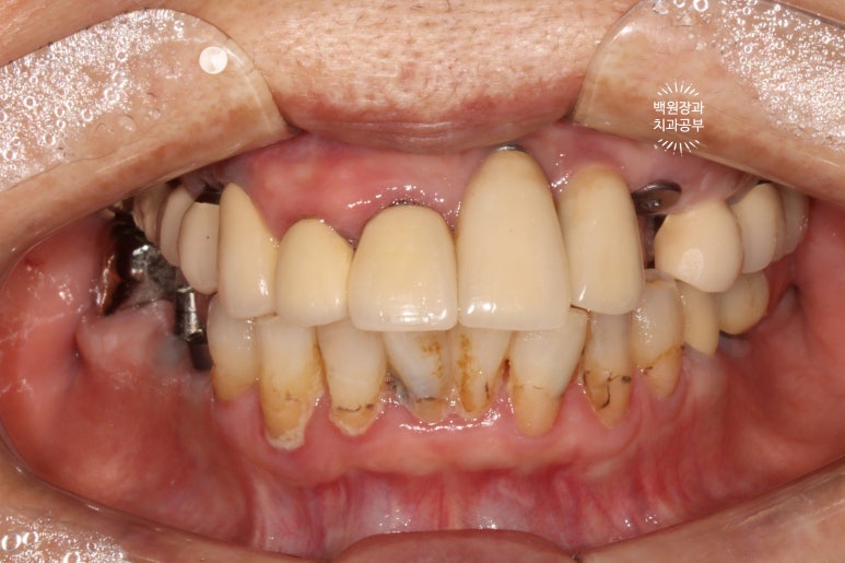
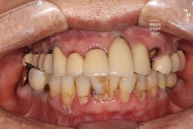
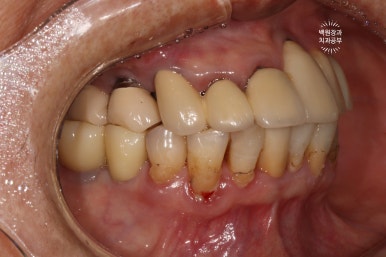
Before & After


정면 사진이 가장 드라마틱한데요,
일단 철저한 스케일링과 잇몸치료 그리고 함께 했던 착색제거술로 전반적으로 깨끗해진 구강내 환경을 보실 수 있어요!!! 다만, 아래 앞니에 있던 치아 목부위 레진들의 착색은 완전히 제거하지 못했답니다... 이는 다시 떼워야 해결이 되어요!
그리고 아래 앞니 한 곳은 지르코니아 크라운으로 씌워드렸고, 가지런히 깨끗깨끗~


위턱의 씹는면을 보시면, 스트라우만 임플란트로 아주 깔끔히 치료된 것을 보실 수 있습니다.
옛날에 치료받았던 스트라우만 임플란트는 이제 오래되어... 조금 깨지도 닳은 것은 보이나, 사실 기능하는데는 문제가 없었어요. 20년이 넘었음에도 이렇게 훌륭한 임상결과를 보이는 스트라우만 임플란트. 정말 최고임을 직접 보여주고 있었습니다. 진짜 올타임 넘버원 임플란트입니다.


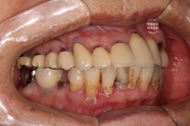
아래 또한 깔끔하고 예쁘게 임플란트 크라운이 제작되었어요. 특징이라면 기존의 임플란트와 보철물을 묶어서 제작해드림으로써 음식이 끼는 것을 확실히 막아드렸다는 것입니다!


왼쪽 측면과,


오른쪽 측면 사진도 상당히 괜찮은 결과를 보여줍니다.
상황이 허락하여 모든 치아를 치료하진 않았지만, 가성비 최고의 결과를 얻은 것 같습니다.
고령의 연세에도 항상 인자한 웃음으로 치료에 잘 따라와주신 환자분께 감사의 인사 전해드립니다.
오래오래 건강하고 행복하세요!
이번 환자분 케이스를 이렇게 성의를 담아 포스팅 하는 이유는, 이따금씩 보이는 스트라우만 임플란트들이 오랜 기간동안 문제 없이 탈나지 않고 사용되고 있는 모습에 감동했기 때문입니다.
스위스 회사이지만, 미국에서 제조되는 스트라우만 임플란트는
다른 회사들과 달리 독자적인 Roxolid 재질의 임플란트를 생산하는 기술이 있습니다. 이는 순수티타늄에 '지르코늄'을 첨가하여 합금을 만듦으로써 약 1.7배 정도 강도를 향상시킵니다. 더 튼튼하다는 얘기죠..
그리고 오래된 회사의 역사는 진짜 존중받을만 합니다. 60년 이상의 연구와 노하우는 타에 추종을 불허합니다. 오스템임플란트도 25년 이상 역사를 자랑하긴 합니다만.. 스트라우만의 'standard' 라인은 한가지 디자인으로 수십년간 생산중인 명품중의 명품입니다. 비교하긴 그렇겠지만, 에르메스보다도 더 낫다고 할 수 있는 독보적임.
사실 스트라우만 임플란트는 수술하는 사람이 사용하기 어려운 면이 있습니다. 다루기 힘든 연장같다고나 할까요... 그래서 일반 치과에서 비선호하는 경향이 강하죠.
명품이라고 다 사용하기 편한 것은 아니지만, 성능이 좋다면.. 스트라우만 임플란트의 장인이 되어 이 좋은 임플란트를 널리 사용하실 수 있게 하는 것도 치과의사의 소명 중 하나 아닐까요 ^^;;
높은 원가로 인해 스트라우만 임플란트가 국내에서 많이 사용되지 않고 있긴 하나.. 실제로 임플란트 수가가 비싼 선진국에서는 first choice로 고려되는 임플란트입니다. 이제 임플란트 가격도 평정되어 접근이 어려운 가격이 아니니, 100세 시대에 좋은 임플란트로 치료 받으시는 것도 고려해보세요!
임플란트에 대한 기본 포스팅입니다. 궁금하시면 한 번 가벼이 읽어보세요 ^^

이상 백원장과 치과공부의 치주과 전문의 치과 백원장이었습니다.
온라인상으로 상담을 원하시면 댓글을 달아주세요. 최대한 성실하게 답변을 드리겠습니다! :)
치료 받으신 기간은 4개월입니다. 내원 횟수는 약 7회입니다.
비용이 궁금하신 분들 또한 댓글을 달아주세요 :) 친절히 안내해드리도록 하겠습니다.
이상 '스트라우만 임플란트로 이뽑고 바로심는치과 - 믿고 사용하는 세계 1위 스위스 임플란트 회사. ' 에 관한 포스팅의 치과 백원장이었습니다. 긴 글 읽어주셔서 감사드리며, 궁금한 점은 언제든지 댓글로 문의해주세요!
더 좋은 포스팅으로 또 찾아뵙겠습니다 ^^
본 포스팅은 환자분의 동의 후 작성하였습니다.
치료 시작: 2023.02.27
치료 완료: 2023.06.16
예상되는 부작용: 임플란트 골유착 실패, 치료 후 통증, 수술 후 감염 등.