안녕하세요.
임플란트 장인을 꿈꾸는 치과 백원장입니다.
화요일과 토요일은 백원장과 치과공부 하는 날이죠!@?
모든 케이스는 제 환자분들의 동의하 제가 직접 작성하는 포스팅임을 미리 알려드립니다!!
임플란트 장인을 꿈꾸는 백원장의 치과에 임플란트 환자분만 오시는 것은 아닙니다.
저희 치과에는 치주과 전문의인 저 뿐만 아니라, 보철과, 보존과, 교정과 전문의가 함께 계시는데요~ 이번엔 치과보존과 전문의 선생님이 주로 맡고 있는 '치아크랙(금간 치아)'에 대한 간단한 포스팅을 해보겠습니다.
시술: 신경치료(근관치료), 지르코니아 크라운 치료

왼쪽 아래 어금니가 씹을 때 찌릿하게 아픈 때가 있어요.

40대 남자 환자분이었습니다. 왼쪽 아래 맨 뒤 어금니의 불편감을 호소하시고 계셨습니다.
치아에 크랙이 있는 경우, 많이들 호소하시는 표현입니다.
씹을 때 항상은 아니고, 어떻게 씹으면 갑자기 찌릿한 통증이 강하게 와서 너무 아프다...
치아에 크랙이 생기면, 크랙이 있는 부분에 - 특히나 깨 같이 작고 단단한것이 위치한채로 씹을 때 electric shocking한 강력한 통증을 느낀다고 합니다. 치아가 벌어지면서, 아주 강력한 통증을 치아 내부의 신경조직으로 전달하기 때문이에요.
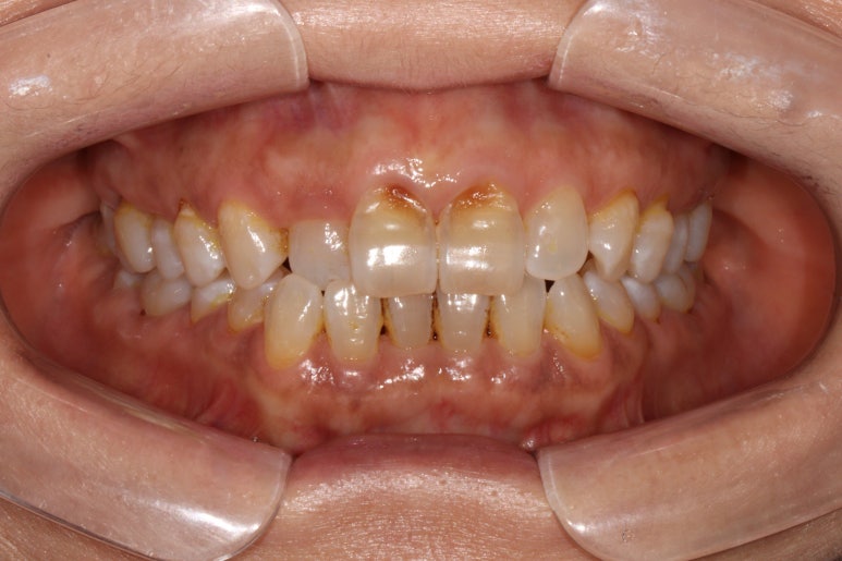
치과용 파노라마 사진을 보았을 때, 전체적으로 건강해보이는 분이었습니다. 건치왕!!!!

치경부 (=치아의 목부분)에 약간의 마모가 되어있는 것이 보이긴 하지만, 충치가 있을 것 같지 않은 분위기..
사람마다 체질이 있듯이, 충치가 잘 생기지 않는 사람이 분명히 있습니다!!


앞니의 치경부 마모가 눈에 띄긴 하지만, 전체적으로 쌓여있는 치석말고는 별 문제가 없었습니다.


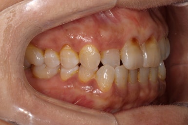
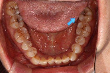
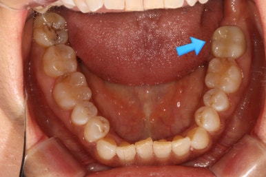
화살표로 가리치고 있는 치아의 불편감을 호소하고 계셨습니다.
보시다시피, 아래턱 큰어금니의 씹는면에 약간의 충치가 있는바.. 일단 레진으로 떼우기로 치료계획을 세웠었죠.
레진으로 떼워도 아프다고 하셨습니다.

불편하다고 얘기하셔서 아까 파란색으로 표시했던 왼쪽 아래 어금니를 자세히 살펴보기 위해 치근단사진 촬영을 해보았습니다.
분명히 명확한 충치나 잇몸질환은 관찰되지 않았어요...
그렇지만, 치료 후에도 환자분은 씹을 때 찌릿한 통증을 호소하셨고.. 1-2달 기다려보았지만 개선되지 않았습니다.
Crack tooth 구나!

레진치료를 해드리고 얼마 지나지 않은 어느 날, 너무 아프다고 하시면서 내원하셔서 응급 신경치료를 시작하였습니다.
저희 치과에서는 신경치료는 역시, 치과보존과 선생님이 전담해서 전문의 진료를 해주고 계십니다!
신경치료를 시작하기 위해 만들었던 입구를 통해, 세로로 형성된.. 그리고 오래되어 착색까지 된 진한 crack line을 관찰할 수 있었습니다.
치아 크랙 (crack tooth)의 원인으로는 역시나 강한 외력을 의심하는게 맞습니다. 누구한테 맞는다고 큰 어금니가 깨지진 않습니다. 대부분 이악물기나 이갈이 같은 구강악습관, 단단한 것을 좋아하는 식습관 (얼음, 마른오징어 등) 혹은 저작근육 자체의 힘이 세서 치아에 강한힘이 전달되고 있는 분! 등등 여러 요인이 복합적으로 작용하여 치아에 과도한 로딩을 줄 때 발생합니다. 오랜 시간을 두고 천천히 진행되기에 '피로파절'과도 같은것입니다.

결국 시작했던 신경치료는 치과보존과 선생님의 솜씨 아래 깔끔하게 마무리 되었습니다.
치아 크랙은 보통 통증의 history가 길고, 통증이 전기오르듯 찌릿하다 합니다. 이렇게 신경치료를 하고 내부를 확인하여 확신을 얻을 수 있습니다. 다만, 모든 치아를 구멍낼 수는 없겠죠..?
치아 내부에 있는 금은 정말 잘 보이지도 않을 뿐더러, 설령 보이더라도 잇몸 하방에 위치한 치아 뿌리 금은 확인조차 불가능해요.. 그래서 일반적으로 통증의 history taking을 하고, 작은 나무막대기 같은 것을 물려보면서 증상을 재현해보고 크랙 치아인지 아닌지를 감별하게 됩니다.
금간 치아는 반드시 크라운으로 씌워주어야 합니다.

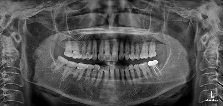
치료 끝나고 7개월 뒤에 내원하셨을 때의 치과용 파노라마 사진입니다.
보시면 지르코니아 크라운으로 깔끔하게 씌워져 있는 것을 보실 수 있을텐데요~ 크랙이 있는 치아가 벌어지는 힘에 저항하려면, 반드시 크라운으로 씌워주어야 합니다.
종류는 상관 없는듯 합니다. 금니도 좋고 지르코니아 크라운도 좋지만.. 반드시 꼭!! 크라운 씌우는 치료까지 받으셔야 해요. 금간 치아를 가운데 구멍까지 내서 신경치료를 했는데.... 고생해서 받으신 치아가 얼마 못가 쪼개지는 경험을 하실 수도 있으니까요...


솔직히 금간 치아는 신경치료 및 크라운 치료를 받아도 그 수명을 장담할 수 없습니다.
그러기에 치료를 받아서 이제 아프지 않았다고 해서 예전처럼 가혹하게 쓰시면 안돼요!
그러다 어느날 갑자기 치아가 쪼개져 내원하시는 분들도 많기 때문입니다.
단단한 것을 주의해주시고, 찬것 뜨거운것을 무작위로 먹는 것은 좋지 않습니다. 예를들어 삼겹살 먹고 냉면먹고....
그리고 이갈이/이악물기가 있으신 분들은 이갈이장치 및 턱보톡스 치료가 많은 도움이 된다고 합니다. 치아 크랙은 하루아침에 생기는 질병이 아니니만큼, 나머지 치아들을 아끼기 위해 이러한 치료들도 고려해보세요!
보통 구강내 통증을 만들어내는 질환은 대표적으로 크게 두가지입니다.
바로 치아우식증 (충치)과 만성치주염 (풍치)...
근데 충치도 없고, 풍치도 없다? 그러면 대부분 금간 치아 (치아 크랙)을 의심해야 합니다.
경험상 귀 앞에 위치하고 있는 턱관절과 가장 가까운 가장 맨뒤 치아 (보통은 두번째 큰 어금니겠죠)에 가장 많이 생겼던 것 같습니다. 특히나 골드 인레이를 해두었을 경우 금간 치아가 되기가 더 쉬운 것 같구요.
-> 이러한 이유로 요즘 골드 인레이는 거의 사라지는 추세입니다. 합금이 치아 안에 들어가서 무리한 힘을 주게되고 이것이 치아의 크랙을 제공하는 원인 중 하나가 되니깐요.
가만히 있을 땐 아프지 않다가 씹으면 유독 아픈 경우. 씹을 때 찌릿한 느낌이 나고, 다시 씹기 싫을 정도의 크기의 통증인 경우. 그리고 점점 빈도와 강도가 심해지면.. 치아의 크랙을 의심해보실 필요가 있답니다.
치료 과정은 비교적 간단합니다. 증상이 경미한 경우 신경치료 없이 크라운 치료만 먼저 해보는데요, 금이 얕을테니 크라운을 제작하는 과정에서 금이 대부분 깎여나가는 경우도 있고 남아있더라도 증상을 만들정도는 아니는 경우가 많아서인 것 같습니다.
증상이 심해 통증을 자주 유발하고 있는 경우, 신경치료를 하고 크라운치료를 하게 됩니다.
물론 100프로 성공률을 자랑한다고 말할수는 없지만, 크랙 치아의 경우 식사를 할 수 있는 정도만 되어도 환자분들의 만족도가 높기 때문에 이러한 치료들이 가치가 있고 나아가 가능하면 빨리 치료를 시작하는게 그 예후도 좋습니다.
치료 비용은 신경치료의 경우 본인부담금이 몇 만원 정도일 것이고, 크라운 치료의 경우 재료에 따라 다르지만 대부분 40~50만원 하고있다고 보시면 될 듯 합니다.
온라인상으로나마 상담을 원하신다면, 최대한 성실한 답변을 드려보도록 할께요 :)
치료기간은 약 1개월 정도 걸렸습니다.
실제로 내원하신 횟수는 5회입니다.
비용이 궁금하신 분들은 댓글을 달아주세요 :) 친절히 안내해드리도록 하겠습니다.
언제든 어떠한 질문도 치과진료와 연관되어있다면 환영입니다 !

이상 '치아크랙 (금간 치아)의 찌릿한 통증 - 발치하지 않고 살려보기. 원인/진단/치료과정/비용/기간. 보존과전문의 치과.' 에 관한 포스팅의 치과 백원장이었습니다. 긴 글 읽어주셔서 감사드리며, 궁금한 점은 언제든지 댓글로 문의해주세요!
더 좋은 포스팅으로 또 찾아뵙겠습니다 ^^
본 포스팅은 환자분의 동의 후 작성하였습니다.
치료 시작: 2023.04.29
치료 완료: 2023.06.04
예상되는 부작용: 치관-치근파절, 비가역적치수염 등