아카이브 요약
이 페이지의 역할
레브치과의원 강남점의 네이버 블로그 원문을 보존한 아카이브 페이지입니다. 이웃공개 치과컨텐츠 카테고리의 만성치주염으로 인해 아주 좁아진 잇몸뼈에 광범위한 뼈이식 + 전체임플란트. 신사 레브치과. 글을 통해 병원의 한국어 정보 제공 방식과 진료 관련 안내 톤을 확인할 수 있습니다.
원문 검증
필요하면 원문 블로그와 병원 프로필로 바로 이동해 문맥을 다시 확인할 수 있습니다.
출처 아카이브 열기아카이브된 블로그 글
레브치과의원 강남점 · Naver Blog
안녕하세요. 임플란트 장인을 꿈꾸는 치과 백원장입니다. 시술: 전체 임플란트, 오스템 네비게이션 임플란트, 고난이도 치조골이식술, 상악동 골이식술 화요일과 토요일에 치과포스팅을 열심히 하고 있었는데, 어쩌다보니 일요일이 되어버렸어요. 오늘은 아주 좁은 잇몸뼈를 갖고 있어 많은 치과에서 임플란트 치료를 거절당했던 환...
게시일
2024년 9월 29일
원문 기준으로 확인된 발행일입니다.
카테고리
이웃공개 치과컨텐츠
원문 블로그 카테고리를 정리해 함께 표시합니다.
이미지 수
60
현재 아카이브에 연결된 이미지 수입니다.
아카이브 요약
레브치과의원 강남점의 네이버 블로그 원문을 보존한 아카이브 페이지입니다. 이웃공개 치과컨텐츠 카테고리의 만성치주염으로 인해 아주 좁아진 잇몸뼈에 광범위한 뼈이식 + 전체임플란트. 신사 레브치과. 글을 통해 병원의 한국어 정보 제공 방식과 진료 관련 안내 톤을 확인할 수 있습니다.
원문 검증
필요하면 원문 블로그와 병원 프로필로 바로 이동해 문맥을 다시 확인할 수 있습니다.
출처 아카이브 열기안녕하세요.
임플란트 장인을 꿈꾸는 치과 백원장입니다.
시술: 전체 임플란트, 오스템 네비게이션 임플란트, 고난이도 치조골이식술, 상악동 골이식술
화요일과 토요일에 치과포스팅을 열심히 하고 있었는데, 어쩌다보니 일요일이 되어버렸어요.
오늘은 아주 좁은 잇몸뼈를 갖고 있어 많은 치과에서 임플란트 치료를 거절당했던 환자분의 이야기입니다.
원래부터 얼굴도 작고, 좁은 잇몸뼈를 갖고 있던 40대 남성 환자분이었어요.
너무 심한 만성치주염으로 대부분의 잇몸뼈를 잃어버렸고, 결국 대부분의 치과에서 틀니를 권유받으신 상태였죠..
아참!
이전에 포스팅 했던 글인데, 전체 임플란트 관련 자세한 과정이 궁금하신 분들은 참고해보세요!
그리고 최근에 포스팅했던 케이스인데, 임플란트와 보철치료가 어우러져 좋은 결과를 만들어냈던 case입니다 :)


남은 치아가 흔들거려서 다 빼야할 것 같아요.
다른 치과에서 임플란트는 불가능하다고 들었어요..
틀니는 안하고 싶어요.

몇 개의 치아가 남았는지 세기도 약간 어려운 상태의 환자분이셨습니다.
40대 남자 환자분이었는데... 상당히 심각해보이는 치과용 파노라마 사진...
중구 신당동에서 내원해주신 분이었습니다...

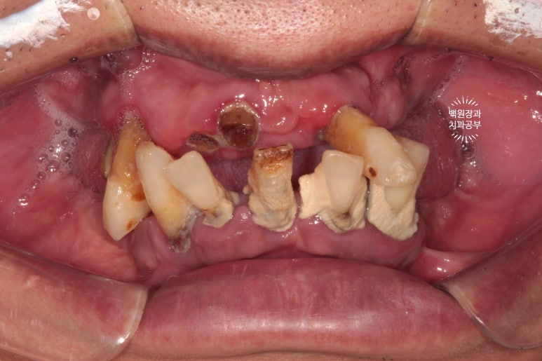
정면에서 본 구강 내 사진입니다.
이미 대부분의 치아들이 자기 자리를 잃어버린 상태였고.... 치석이 너무 많이 침착되어 있었어요..
이것 뭐.. 보나마나 살릴 치아가 없는 상태.


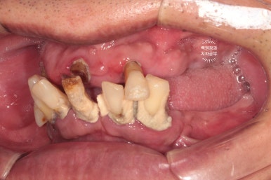
측면에서 본 사진에서도 더 이상의 희망이 없어보입니다.


교합면에서 촬영한 사진입니다.
치아를 다 발치해야겠다는 생각이 절로 드는 환경이셨어요.
혹시나 보이시나 모르겠지만, 상당히 잇몸뼈가 얇음이.. 예상되는 상태였습니다.

노란색으로 잇몸뼈의 두께를 대략적으로 표시해두었는데요, 이미 치아들은 모두 사라져 있었지만 시간이 지나서도 엄청난 만성 치주염이 있었으리라는 것을 짐작해볼 수 있었습니다..
일단 모든 치아를 제거했습니다.
임시 틀니도 만들어드렸어요.


가장 먼저 해야할 일은 역시나 살릴 수 없는 치아들을 제거하는 일입니다.
심한 만성 치주염을 앓고 계셨기에, 치아 발치는 아주 손쉽게 할 수 있었습니다.
이를 뽑고나서 임시틀니를 만들어드렸고, 위에서 보는 사진은 이를 제거 하고 약 1.5달 뒤 사진입니다.
잘 보시면, 이를 뽑고나서 잇몸이 잘 아물어 단단한 잇몸이 되어 있는 것을 보실 수 있으실거에요.
보통, 많은 양의 뼈이식을 해야할 경우 상부에 단단한 잇몸이 필요하기 때문에 적어도 1.5달 정도는 기다려야 합니다.
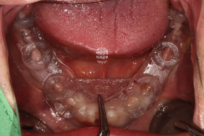
오스템 원가이드 시스템
-> 네비게이션 임플란트 수술을 하기 위한 준비.
임플란트를 많이 심어내는 것도 어렵지만, 치조골 이식술 및 상악동 골이식술이 다량 들어가야 하는 상태로 수술을 하기 전 수술을 도와주기 위한 네비게이션 임플란트 장치를 만들어야 했습니다.
오스템 임플란트의 원가이드 시스템을 이용하는데요, 쉽게 얘기하면 환자분께서 촬영하신 CT 상에서 모의 수술을 진행해보는 것이라 생각하면 됩니다.

오스템 임플란트와 협업으로 진행되는데요, 나중에 만들어질 보철물의 위치를 미리 설정하고 역으로 임플란트 위치를 계산하는 방식입니다.
'하악'이라고 표시되어 있는 왼쪽 사진을 보시면, 빨간색으로 하치조동맥이 표현되어 있어 임플란트 수술 시 신경과 혈관이 다치치 않게 수술할 수 있도록 합니다.

이런 식으로 임플란트를 배열해보는데요, 예시로 든 위치는 오른쪽 위 앞니부위 임플란트입니다.
가운데 사진을 보시면, 나사모양의 임플란트가 겨~우 잇몸뼈 내부에 담기게 심어지는게 예상됨을 아실 수 있죠?
임플란트는 치아랑 달라 주변에 2mm 이상의 건전한 잇몸뼈가 형성되어야 하는데요, 이를 보면 상당히 많은 양의 치조골 이식술이 '성공적으로' 이루어져야겠구나.. 라고 생각할 수 있게 됩니다.

오른쪽 위 송곳니 부위입니다.
가장 얇다고 할 수 있는 직경 3.5mm의 임플란트를 사용하더라도 갖고 계신 잇몸뼈 안에 임플란트를 담아내기 조차 힘겨워 보이는.. 극도로 잇몸뼈가 부족한 상태셨습니다.
솔직히 치과의사로써 상당히 도전적인 케이스라고 할 수 있었죠...

오른쪽 위 어금니 부위에는 수직적으로 잇몸뼈가 부족하여, 상악동 골이식술도 함께 해야겠다고 생각할 수 있었죠.
상당히 복잡하고 난해한 수술 케이스입니다.

왼쪽 위 앞니도 사정은 마찬가지... 교합면에서 바라보고 있는 가장 왼쪽 사진을 보시면.. 이게 저렇게 얇은 뼈에 임플란트를 심을 수 있는거야??? 라고 생각하시게 될거에요........
실제로 3mm 폭의 뼈에 3mm의 임플란트를 심어내야하니.. 이건 말이 안되는..........

임플란트를 심고나면 가장 아래쪽에 보이는 그림처럼, 갖고계신 잇몸뼈 밖으로 임플란트가 드러날 상황이었습니다. 최선을 다해 잇몸뼈 이식을 하겠지만, 저로써도 정말 너무나 도전적인 케이스였어요. 난이도 극상...!!
그래도 틀니는 절대 받아들일 수 없다고 하신 환자분이기에, 수술이 너무 어려움을 말씀드렸고 같이 한 번 최선을 다해보자는 마음이었습니다.

아래턱 임플란트들도 마찬가지로 뼈가 너무 없는 상황이었습니다.
다행히 보시면, 임플란트 하방으로 신경관 손상은 우려되지 않는 상황....
그나마 이게 조금 희망적이네요 ㅠㅠ

아래턱 왼쪽에 비해 오른쪽은 그나마 조금 상황이 좋았습니다.
이런 식으로 오스템임플란트 부서와 협업하여 임플란트 위치를 설정하게 됩니다.
저희 치과의 방식대로 수술은 위턱부터 진행합니다!

이렇게 만들어진 장치를 먼저 껴보고 수술을 시작하게 됩니다.
이러한 장치를 만드는 시스템을 오스템 임플란트에서는 '원가이드 수술'이라고 부릅니다. 다른 임플란트 회사도 아주 유사한 장치들이 존재합니다.
보시면 임플란트가 위치될 곳에 정확히 임플란트를 심을 수 있도록 정보가 들어가있는 장치를 확인하실 수 있죠.

가장 먼저 잇몸뼈의 두께를 확인해야합니다.
CT가 틀릴리 없습니다... 상당히 얇은 잇몸뼈를 관찰할 수 있습니다.
많은 치과에서 절개 없는 임플란트 수술을 한다고 홍보하고 있으나, 이렇게 extreme 하게 많은 뼈이식을 하는 케이스들은 잇몸 절개가 당연히 필수입니다.
당연히 많은 수술 경험을 가진 선생님을 만나 깔끔한 수술을 받으셔야... 그나마 좋은 결과를 기대할 수 있죠...
수술 시 충분한 절개가 이루어져야 효과적인 잇몸뼈 이식이 가능하고, 임플란트를 좌우 대칭으로 심어드릴 수 있습니다. 고려사항이 상당히 많은 전체임플란트이니만큼, 가능하면 네비게이션 임플란트 수술이 가능한 곳에서 치료 받기를 권해드립니다.

왼쪽 위 잇몸뼈가 상당히 얇음을 역시나 확인할 수 있었습니다.
폭이 약 2-3mm 정도로.. 직경 3.5mm 임플란트를 심을 수 없을 것만 같은 곳이었죠.
이론적으로 3.5mm 임플란트를 심으려면 약 7.5mm 폭의 잇몸뼈를 만들어내야하니 참 곤란한 상황입니다.

오른쪽 위는 그래도 조금 나았던 것으로 기억...
상악동 뼈이식술도 넉넉히 많이 해드려야 했기 때문에, 앞서 언급했던 것처럼 충분한 잇몸 거상이 필요한 상태였습니다. 좋은 시야는 좋은 수술 결과를 만들어내는데 큰 도움을 줍니다.


잇몸뼈가 너무 얇다보니, 임플란트를 위치시키면 이렇게 임플란트의 일부가 드러날 수 밖에 없었고, 이제 어렵디 어려운 잇몸뼈이식이 기다리고 있는 상황..


저희 병원은 국내 뼈이식 재료 중 판매량 넘버원으로 알려진 덴티움의 osteon III 합성뼈를 주로 사용합니다.
주변에서 채득한 넉넉한 양의 자가골과 함께 mix 한 형태로 적용하였고, 덴티움의 뼈이식재와 환상의 콜라보레이션을 자랑하는 같은 덴티움사의 흡수성 콜라겐 멤브레인으로 그 위를 덮어줍니다.
저희 치과는 국내 넘버원 덴티움 社의 생체이식재료만을 사용하고 있습니다.

최선을 다해 열심히 수술을 하고나서 해야하는 것은..

최대한 예쁘게 꿰매드리고 기도하는 것입니다.
기도메타.... 환자분의 훌륭한 치유능력은 곧 저에게 복이죠.

일주일이 지난 시점에서, 크게 벌어지지 않고 상당히 잘 아물고 있는 잇몸 상탤르 확인할 수 있었습니다.
다소 붓기가 있어 잇몸뼈가 뚱뚱해 보이는 것은 당연하긴 하나, 한편으로 넉넉한 뼈이식을 해두었기 때문이기도 할 것입니다.

보시면 상당히 가지런히 임플란트가 잘 위치된 것을 보실 수 있을거에요!
제 포스팅을 많이 보셨던 분들은 잘 아시겠지만, 오른쪽 위 어금니 부위에 상악동 골이식술도 상당히 깔끔하게 잘 된 것을 확인할 수 있습니다.
이런 수술을 한 번 하고 나면... 저도 넉다운이 됩니다...ㅠ.ㅠ
상악동 뼈이식술은 위 포스팅에서 어렵지 않게 이해하실 수 있으실거에요.
한 번 참고하시라고 링크 걸어드립니다~
약 2주가 지난 시점에, 아래턱 임플란트 수술도 진행!

아래턱 임플란트도 오스템 임플란트의 네비게이션 임플란트 시스템인,
오스템 원가이드를 이용한 가이드 서저리로 시행하였습니다. 보시면 여섯개의 임플란트 수술이 예정된 것을 확인할 수 있죠.

수술 하기 전 다시 봐도 정말.. 너무너무 얇은 잇몸뼈를 보실 수 있습니다.
칼 ridge라고도 부르는데... 손이 베일 것 같이 얇은 뼈 높이..
이런 경우 얇은 잇몸뼈는 일부 삭제 후 두꺼운 뼈 부위에 뼈이식을 하면서 임플란트를 위치시키게 됩니다.

나는 임플란트 장인이라는 생각을 갖고, 혼을 담아 임플란트 수술을 해드렸습니다.....
앞쪽에 식립되었던 4개의 임플란트는 역시나.. 얇은 잇몸뼈 밖으로 일부를 드러내고 있는 모습을 볼 수 있었구요..

이번에도 역시 덴티움 社의 합성골인 osteon III와 주변에서 채득했던 자가골을 이용하여 충분한 뼈이식을 해드렸습니다. 비용이 다소 추가되지만, 성공적인 뼈이식을 하기 위해서 같은 회사의 '흡수성 콜라겐 차폐막'은 반드시 사용되어야 합니다.
이것이 GBR (guided bone regeneration)의 기본 원리입니다.

열심히 예쁘게 꿰매드리고 나서 .. (생각보다 너무 깔끔하잖아..?)
보면 뼈이식이 많이 된 것 같지 않나요?


상당히 볼쪽으로 뚱뚱해진 잇몸뼈를 보실 수 있을겁니다.
유독 앞니의 뼈가 얇아 더 많이 뼈이식을 했던 기억이 납니다.

수술 후 촬영한 치과용 파노라마 사진에서 꽤나 예쁘게 심어진 임플란트를 확인할 수 있었습니다.
그리고 역시 제가 해야할 일은 기도입니다..
잇몸뼈 이식을 많이 한 경우, 반드시 3개월 이상 치유기간을 가져야 합니다!


잇몸뼈 이식을 많이하셨던 경우, 이식한 뼈이식재가 단단하게 굳어 내 뼈가 되기 위해서 반드시 3개월 이상 기다리셔야 합니다.
그리고 그 시점에서, 지난 날 이식했던 재료들이 단단한 뼈가 되어 있음을 확인할 수 있었습니다.
그리고 계획한 대로 임플란트에 긴 뚜껑을 껴주게 되는데요,

바꿔서 껴드린 이 뚜껑을 치과에서는 치유지대주 (healing abutment)라고 부르고, 잇몸이 아물게 되면 이제 보철치료를 시작할 수 있습니다. 약 1-2주 정도 기다리게 됩니다.


이렇게 위에는 8개의 임플란트가, 아래에는 6개의 임플란트가 예쁘게 식립된 것을 보실 수 있을겁니다.
마취하고 수술 하는 것은 이렇게 마무리가 됩니다.
이제 치유지대주를 잠깐 빼고, 뽄뜨는 시간입니다.
치과에서는 인상채득을 한다고도 하죠.
저희 치과에 성능이 괜찮은 트리오스4라는 구강스캐너가 있습니다만.. 이렇게 전체 임플란트 case에서는 디지털보다는 기존의 아날로그 방식이 더 잘 통하게 되는데요..


임플란트가 잘 고정되었는지 Osstell을 이용하여 ISQ 수치를 측정하고, impression coping을 연결하여 임플란트 인상채득을 시행합니다.


이렇게 임플란트 뽄을 뜨고나면, 드디어 임플란트에 연결할 맞춤형 기둥 (custom abutment)과 임시치아를 만들어오게 됩니다.
임시치아를 연결하고나면, 이제 씹는 연습을 하게 됩니다.

엑스레이를 보시면, 티타늄 재질의 오스템 임플란트 정품 !!! 맞춤형 지대주 (custom abutment)가 연결되어 있는 것을 보실 수 있을거에요.
맞춤형 지대주를 만들어지는 치과는 많아졌으나, 오스템임플란트의 정품 티타늄으로 만들어졌는지 꼭 확인하세요.
이렇게 맞춤형 지대주를 만들어드리면, 보다 조화로운 보철물을 만들 수 있어 예쁘고 음식물이 덜 끼는 훌륭한 보철물을 위한 포석이 마련됩니다.

맞춤형 지대주를 연결하고 임시치아를 장착한 모습입니다!
사실 완벽하지는 않습니다만, 이렇게 제작을 해드리면 드디어... 씹는 연습을 해보실 수 있게 됩니다.
여기까지 오기까지 이를 뽑고 나서부터 약 6개월의 시간이 흘렀네요...


치아의 모양과 크기를 평가해보실 수 있고, 혀나 볼이 씹히지 않는 등을 확인할 수 있습니다.
이렇게 임시치아만 제작되어도, 이제 임시틀니를 사용하지 않아도 되기에 바로! 밝게 웃는 환자분의 얼굴을 볼 수 있다는 것 ~~ 그것이 치과의사로 사는 보람 아니겠습니까 ^^
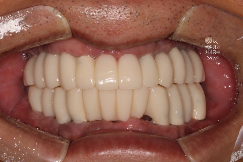
시간이 지나.. 최종 보철물을 만들어드리는 시간입니다.

약 한달간의 씹는 연습을 마치게 되면, 이제 본격적으로 최종 보철물을 제작해드리게 됩니다.
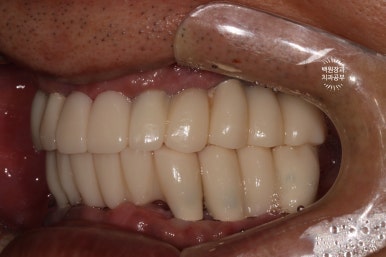
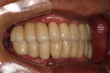
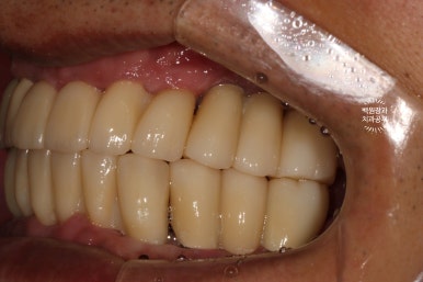
지르코니아 재질로 만들어진 크라운은 심미적으로도 유리하며, 그 단단함은 성인 남성이 넉넉히 사용하여도 깨지지 않을 정도에요.
치아 색이 약간 노랗다 생각하실수도 있으나, 피부색에 맞추어 제작되므로 너무 걱정하진 마세요!
오히려 너무 밝은 하얀 치아가 어색한 분도 많이 있으시기 때문입니다.


이렇게 보면 측면 모습도 상당히 괜찮고....
잘 보시면 치아와 치아 사이에 틈이 있는 것을 보실 수 있으실텐데요, 이 경계는 앞니 보철물/어금니 보철물의 경계로 추후에 보철물의 수리가 용이하기 하기 위함입니다. 더불어 치실을 쓸 수 있게 하는 공간으로 반드시 필요한 포인트!


이젠 치아가 생겨서, 식사를 하실 수 있게 되었습니다.
잘 제작된 보철물은 앞니로 면도 끊어먹을 수 있어서 환자분들께 크나큰 만족감을 줍니다.

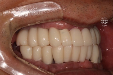
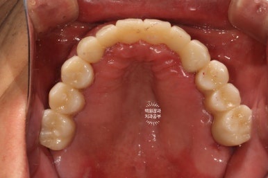
깔끔하게 완성된 보철물은 치과용 파노라마 사진에서 확인하실 수 있고,
비전공자가 보아도 나란히 가지런한 임플란트는 편안함을 줍니다.
6개월 체크업 시간에 한 번 더 교합을 비롯한 사용 후기를 확인해야 합니다.

똑같아 보일 수 있으시겠지만, 6개월이 지난 후 치과용 파노라마 사진입니다.
보통 임플란트의 초기 실패는 6개월 정도 안에 발견할 수 있기에, 이 시기에 한 번 더 오셔서 체크해보는 것이 중요합니다.
필요하면 치아의 크기나, 교합을 수정하기도 합니다.
한 번 완성 된 임플란트는 무조건 영원히 쓸 수 있는 것은 아닙니다. 자기 치아처럼 주기적으로 엑스레이도 찍고, 스케일링도 해주면서 소중히 관리하셔야 합니다.!!
수술의 계획부터 수술을 시행하고 마무리 보철물을 제작할 때까지, 한순간 한순간 어려웠고 또 최선을 다했던 케이스입니다.
전체 임플란트의 경우 정~말 사람마다 주어진 구강 내 환경이 다르기 때문에, 고려할 요소가 정말 많은 치료입니다. 그래서 가능하시다면, 수술을 전담할 치주과 혹은 구강외과 의사와 세심하게 보철물을 제작하고 교합을 맞춰줄 보철과 의사가 있는 치과를 방문하시길 추천드립니다.
사실 시간이 지나 케이스를 다시 보면서 느낀 점은.. 이렇게 도전적인 케이스를 어떻게 할 엄두를 냈나.. 생각이 든다는 것입니다..ㅎㅎ.. 원체 잇몸뼈가 얇아 많은 치조골 이식술을 받으신 분들은, 본인의 뼈가 아닌 만들어진 뼈에 임플란트가 위치해 있기 때문에 반드시 더욱 자주 내원하여 빠짐없이 스케일링 받으시고 관리를 받으셔야 합니다.
더불어 금연, 금주는 필수라고 생각합니다. 우리가 심장에 스텐트를 설치한다고 해서, 더욱 심장이 강해진 사람이 되는 것은 아니듯이... 임플란트 또한 인공 식립체로써 치아만 못한 존재라고 할 수 있습니다. 임플란트는 보다 조심히 사용해주셔야 하며, 소중하게 다루어야 할 마지막 보루라고 할 수 있죠. 당뇨 등 전신건강 관리와 몸컨디션의 조절 또한 필수라고 할 수 있습니다!!
늘 말씀드리지만, 이렇게 어려운 치료를 무던히 잘 따라와주신 환자분께 무한한 감사를 표합니다!
언제든 어떠한 질문도 치과진료와 연관되어있다면 환영입니다 ^^

이상 백원장과 치과공부의 치주과 전문의 치과 백원장이었습니다.
온라인상으로 상담을 원하시면 댓글을 달아주세요. 최대한 성실하게 답변을 드리겠습니다! :)
치료 받으신 기간은 8개월입니다. 내원 횟수는 약 30회입니다.
비용이 궁금하신 분들 또한 댓글을 달아주세요 :) 친절히 안내해드리도록 하겠습니다.
이상 '만성치주염으로 인해 아주 좁아진 잇몸뼈에 광범위한 뼈이식 + 전체임플란트.' 에 관한 포스팅의 치과 백원장이었습니다. 긴 글 읽어주셔서 감사드리며, 궁금한 점은 언제든지 댓글로 문의해주세요!
더 좋은 포스팅으로 또 찾아뵙겠습니다 ^^
본 포스팅은 환자분의 동의 후 작성하였습니다.
치료 시작: 2022.08.15
치료 완료: 2023.04.30
예상되는 부작용: 임플란트 골유착 실패, 치료 후 통증, 수술 후 감염 등