아카이브 요약
이 페이지의 역할
레브치과의원 강남점의 네이버 블로그 원문을 보존한 아카이브 페이지입니다. 이웃공개 치과컨텐츠 카테고리의 잇몸 염증 고름이 심했던 부위 - 만성치주염 진단하고 임플란트로 깔끔하게 치료! 신사역 치과 글을 통해 병원의 한국어 정보 제공 방식과 진료 관련 안내 톤을 확인할 수 있습니다.
원문 검증
필요하면 원문 블로그와 병원 프로필로 바로 이동해 문맥을 다시 확인할 수 있습니다.
출처 아카이브 열기아카이브된 블로그 글
레브치과의원 강남점 · Naver Blog
안녕하세요. 임플란트 장인을 꿈꾸는 치과 백원장입니다. 시술: 전체 임플란트, 오스템 네비게이션 임플란트, 치조골이식술, 상악동 골이식술 임플란트 포스팅이 이어지고 있네요. 아무래도 임플란트를 많이 하는 치과이다보니 ^^;; 저희 치과에 잇몸에 염증이 생기고 고름이 심해 내원했던 환자분입니다. 50대 남자분이셨는데...
게시일
2024년 10월 5일
원문 기준으로 확인된 발행일입니다.
카테고리
이웃공개 치과컨텐츠
원문 블로그 카테고리를 정리해 함께 표시합니다.
이미지 수
37
현재 아카이브에 연결된 이미지 수입니다.
아카이브 요약
레브치과의원 강남점의 네이버 블로그 원문을 보존한 아카이브 페이지입니다. 이웃공개 치과컨텐츠 카테고리의 잇몸 염증 고름이 심했던 부위 - 만성치주염 진단하고 임플란트로 깔끔하게 치료! 신사역 치과 글을 통해 병원의 한국어 정보 제공 방식과 진료 관련 안내 톤을 확인할 수 있습니다.
원문 검증
필요하면 원문 블로그와 병원 프로필로 바로 이동해 문맥을 다시 확인할 수 있습니다.
출처 아카이브 열기안녕하세요.
임플란트 장인을 꿈꾸는 치과 백원장입니다.
시술: 전체 임플란트, 오스템 네비게이션 임플란트, 치조골이식술, 상악동 골이식술
임플란트 포스팅이 이어지고 있네요. 아무래도 임플란트를 많이 하는 치과이다보니 ^^;;
저희 치과에 잇몸에 염증이 생기고 고름이 심해 내원했던 환자분입니다.
50대 남자분이셨는데.. 치아에 부러짐도 심하고.. 여튼 어금니가 많이 없었던 분이었어요.
아참! 최근에 제가 포스팅했던 전체 임플란트 환자분들 포스팅입니다~!!
치과 백원장은 항상 모든 환자분들을 임플란트 장인의 마음으로 최선을 다 해서 진료하고 있습니다 !!!


왼쪽 아래 어금니에 만성치주염이 심해서 고름 주머니가 생겼어요.
어금니가 많이 없어서 임플란트 치료 받고 싶어요.

50대 남자 환자분이셨습니다.
저희 치과에 방문하셨을 때, 이미 오른쪽 아래 어금니가 없으신 상태였어요. 들어보니 수 년 전에 모두 발치하셨던 상태...
그래서 왼쪽 어금니로만 식사를 하시다보니, 이미 왼쪽 크라운 씌워진 치아들은 뿌리가 부러진게 여럿...
치아 뿌리 (치근)이 부러지면, 결국 만성치주염 그리고 더 심해져 치주농양으로 이어지게 되는데요... 무조건 뽑아야 하는 상태까지 되어버린 상태셨죠.

정면에서 찍은 구강 내 사진입니다.
대부분의 치아가 크라운으로 씌워져 있으셨어요. 아무래도 보철물이 너무 많다보니, 구강위생관리가 쉽지 않으신 상태였습니다.
최대한 가성비 있는 치료를 원하셨고, 살릴 수 있는 치아 및 크라운은 남겨두고 싶어 하셨어요.
물론, 모든 환자분들이 같은 마음이라는걸 알고 있습니다!! 저도 한때는 치과치료 많이 받았던 환자였으니깐요.


측면 사진입니다.
먼저 왼쪽 사진이 환자분의 우측 사진인데요, 아래턱 어금니 부위는 이미 치아가 없어진지 오래되어 깔끔하게 나은 잇몸상태를 볼 수 있었습니다.
위쪽은 치석이 너무 많았습니다. 만성 치주염이 심하신 상태였죠..
오른쪽 사진이 환자분의 좌측 사진입니다. 여기서 잘 안보이실 수 있지만, 왼쪽 아래 송곳니 부위에 잇몸 속 고름이 잔뜩 차서.. 흔들흔들한 상태였어요.


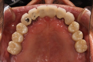
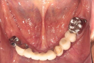
왼쪽: 위턱 교합면, 오른쪽: 아래턱 교합면
처음 치과에 방문하시면, 어떤 이를 뺄지 결정하는 것이 가장 중요합니다.
어떤 치료를 받으시냐에 따라 어떤 치아를 뺄지도 조금 달라지죠.
보통 임플란트 치료를 받으신다면 최대한 치아를 유지할 수 있고, 틀니 치료를 받으신다면 애매한 치아는 모두 빼게되는 경향이 있습니다.
치과대학병원에 방문하신다면, 바로 제가 전공한 치주과에서 어떤 치아를 뺄지 주로 결정해 줍니다.
그 이유는 간단합니다. 만성치주염 (=풍치)를 주관하는 전문진료과가 치주과이기 때문입니다.
치주과? 치아 주변 조직을 치료하는 전문진료과! 이렇게 생각하시면 조금 외우기 쉬우실거에요 ㅎㅎ..
대부분의 어금니를 제거해야 하는 상태입니다.
만성치주염이 심해서 너무 흔들거리는 치아는 뽑게 됩니다.

대부분의 어금니를 뽑고나서, 약 2달 후 구강내 사진입니다.
당연히 살릴 수 있는 치아는 모두 살립니다만, 애매한 치아를 남겨둘 경우 식사를 할 때 반대쪽 임플란트와 맞닿는 힘을 견딜 수 없습니다.
그래서 이번 50대 남자 환자분 같은 경우, 심한 만성치주염에 시달려 흔들흔들한 치아들은 모두 제거했습니다.


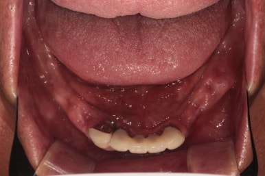
앞니만 남게 되었습니다...


위는 총 6개의 앞니가, 아래는 총 5개의 앞니가 남았습니다.
이를 뽑고 임시 틀니를 사용하시면서 2달 정도 기다리시게 되면, 위에 보시는 것과 같이 어느 정도 단단해진 잇몸이 생기게 됩니다.
단단한 잇몸이 생겨 이를 뺀 자리를 막아주어야 잇몸뼈 이식술을 충실하게 해낼 수 있습니다.
심한 만성치주염을 앓고 계신 분들이 쉽게 이를 빼면서 바로 임플란트 심기를 원하시는데... 세상에 요행은 별로 없습니다... 뼈이식 많이 해야하는 케이스는 이렇게 적어도 2달 이상 기다리셔야만 한답니다.
오스템 임플란트의 네비게이션 임플란트 시스템.
원가이드를 활용하여 위턱부터 임플란트 수술!

저희 치과에서는 적극적으로 네비게이션 임플란트 시스템을 활용하고 있습니다.
솔직히 임플란트 2-3개 정도는 보조 Tool 없이 해낼 수 있어야 한다고 생각하지만, 이렇게 임플란트 개수가 많아지면 아무래도 술자의 피로도를 줄여주며 보다 정확한 시술을 가능하게 해주는 Tool 이 필요하거든요,
아무래도 여러개의, 특히 위아래 어금니가 모두 없는 케이스다 보니 정밀하게 임플란트 방향을 잡기 위해 오스템임프란트의 네비게이션 시스템을 이용하는 것이 술자-환자 모두에게 큰 도움이 됩니다.

환자로써 모든 것을 이해하실 필요까진 없으시다고 생각합니다만.. 대략 이런 식으로 CT 상에서 완성될 크라운을 먼저 배열하고 역산하여 임플란트 위치를 정합니다.
그리고 이 위치를 그대로 옮길 수 있는 수술 장치를 만들어서 입안에 장착하고 수술을 받으시는 것이죠.
음~ 정말로 임플란트 2-3개 까지는 굳이 추가금을 내면서 하지 않으셔도 됩니다. 그 정도는 수술 잘하는 치과의사라면 오히려 이러한 툴이 방해가 될 때도 있어요.

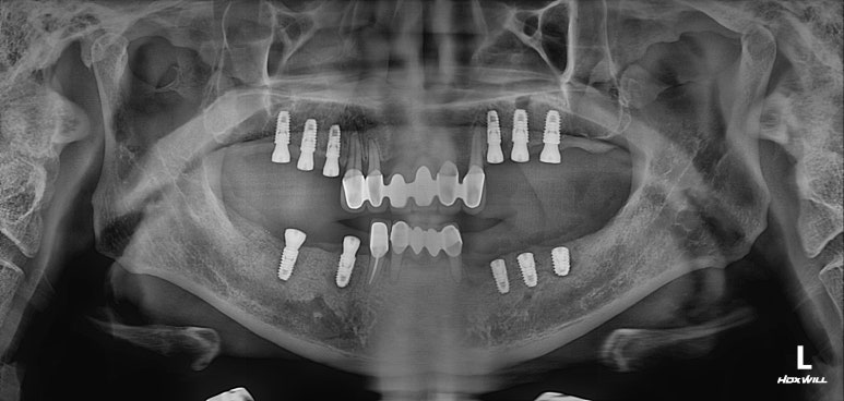
양쪽 위 어금니 부위에 깔끔하게 3개씩 임플란트를 심어드렸습니다.
이 3개의 임플란트는 시간이 흘러 첫번째, 두번째 작은 어금니 그리고 첫번째 큰 어금니가 됩니다.

치과용 파노라마 사진 상에서 잘 확인하기 어려우실 수 있지만,
화살표로 표시해둔 곳까지 측방접근법 상악동 뼈이식술이 성공적으로 잘 된 것을 확인할 수 있습니다.
아무래도 임플란트 수술을 많이 하다보니, 상악동 뼈이식술을 받으시는 분들이 많은데요,
제 블로그까지 오신 분이라면, 치과 공부 좋아하시는 분이라고 생각하여 상악동 뼈이식술에 대한 포스팅을 링크로 걸어드리겠습니다...
저희 치과는 성공적인 상악동 뼈이식술을 위해 PIEZO SURGERY를 병행하고 있는 곳입니다.
원가이드를 활용하여 2주 후 아래턱 임플란트 수술!

약 2주 후 아래턱 임플란트 수술을 시행하였습니다.
개수가 조금 더 적어보이는 것은, 아래턱 뼈가 위턱뼈보다 더 딱딱하기 때문입니다.
비교적 적은 임플란트로도 성인 남성의 씹는 힘을 견딜 수 있거든요!!!
한편으로 상악동 뼈이식술까지 필요했던 케이스이니... 더더욱이 위턱뼈엔 임플란트가 많이 필요했던 상황이었죠.


아래턱까지 임플란트 수술하고 약 1달이 지난 시점입니다.
뼈이식을 많이했던 오른쪽 위 어금니 부위에 임플란트가 살짝 비춰보이긴 하나, 대체로 잘 치유되고 있는 상황입니다.
아마, 임시틀니를 사용하시는 것이 보다 느린 치유를 만들어내는 원인 중 하나였던 것 같습니다.
임플란트를 심고 3달이 지나면 2차 수술이 가능합니다.
이제 임플란트 머리 만들 준비를 해야죠~!

먼저 임플란트를 심었던 위턱 임플란트부터 임플란트 2차 수술을 시행합니다.
임플란트 2차 수술이란 잇몸에 묻혀있는 임플란트에 연결되어 있는 짧은 뚜껑 (coverscrew)을 제거하고, 긴 뚜껑 (healing abutment)을 연결하는 간단한 시술입니다.
비로소 임플란트 보철물을 연결할 수 있는 환경을 조성하고, 필요하면 잇몸 성형을 함께 시행해서 임플란트를 완성하고 나서 관리를 편하게 하실 수 있도록 만들어드리기도 합니다.

이렇게 오른쪽 아래부터 임플란트 2차 수술을 시행했습니다.
왼쪽 아래는 뼈이식을 많이했어서, 조금 더 기다리고 있는 모습입니다.
임플란트에 기둥 및 임시치아를 연결하고,
슬슬 씹는 연습을 시작하실 시간입니다.

보시면 임플란트가 더 길어진 것을 보실 수 있을거에요.
그리고 흐릿하게 뭔가 치아 형태의 외형을 가진 무언가가 보이시죠?
바로, 맞춤형 지대주 (custom abutment)와 임시치아 (temporary bridge)입니다.
너무 오랜만에 - 대략 반년 정도 흘렀지만, 실제론 그 전부터 잘 못씹으셨을테니.. 씹으시는 것이기에 연습을 조금씩 하시면서, 적절한 아래턱의 위치를 찾아가는 과정입니다.

앞니는 기존에 갖고 계셨던 도자기 재질의 크라운 색상이고,
어금니는 저희가 새로 만들어드린 임시치아의 색상입니다.
연습용으로 제가해드린 것이지만, 색상이 나쁘지 않답니다. ㅎㅎ
임시치아의 색상은 조금은 불투명하고 조금은 하얀 느낌이 진하지요.
그래도 적응이 빠르셔서, 2주만에 임시치아를 떼고 최종 임플란트 지르코니아 크라운 제작에 들어갔습니다!
3L 1.5 shade로 측정을 했었나봐요. ㅎㅎ
최종보철물을 연결해드리는 오늘,
환자분의 환한 미소가 빛을 발하는 순간입니다.

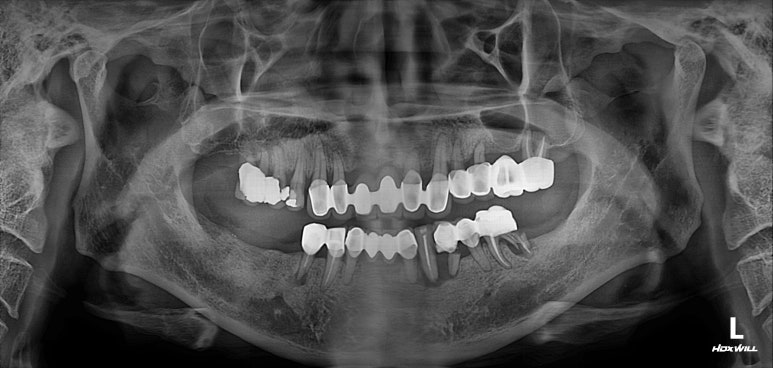
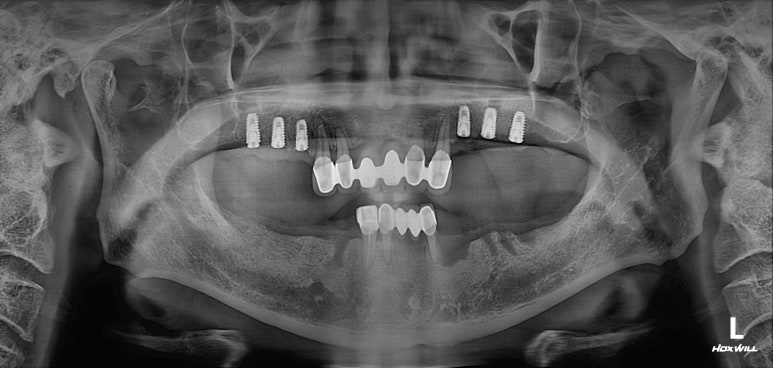
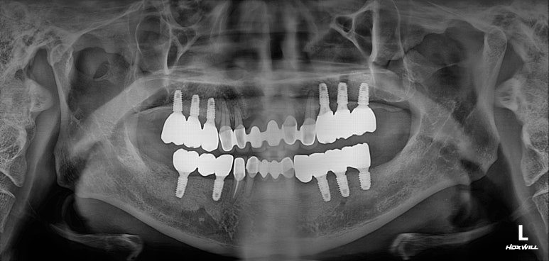
모든 최종 보철물을 연결하고 나서 치과용 파노라마 사진입니다.
정말 깔끔하게 제작된 것을 보시 수 있을겁니다.
'미적 기준'은 보편적인 측면이 있습니다. 뭔가 나란하고 비율이 대칭인 임플란트는, 잘 모르는 사람이 봐도 잘 되었구나~~ 라고 생각하게 만들어주죠 ^^
제가 가진 수술 경험을 비롯한 노하우와, 오스템 임플란트의 네비게이션 임플란트 시스템이 합작해낸 결과물!
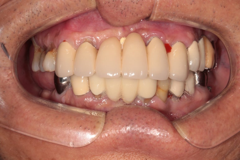
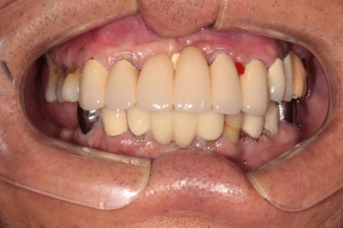
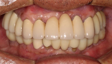
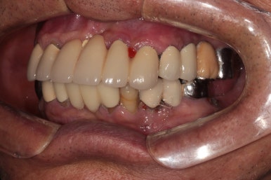
Before & After


정면 사진입니다! 사실 앞니는 가지고 계신 그대로 사용하고 있어 큰 변화가 없어 보입니다만..
상당히 가지런히 구성지게 어금니를 만들어드린 것을 보실 수 있을거에요!


우측 어금니를 보시면, 너무나 많은 치석으로 인해 만성치주염에 시달렸던 치아들은 사라지고, 이제 깔끔하게 임플란트로 대체된 것을 보실 수 있습니다.
임플란트는 보통 1 piece로 제작되기 때문에, 기존에 흔들리고 잇몸이 올라가버린 어금니보다 오히려 음식도 덜 끼고.. 사용하기 상당히 좋은 환경이 조성되었지요.


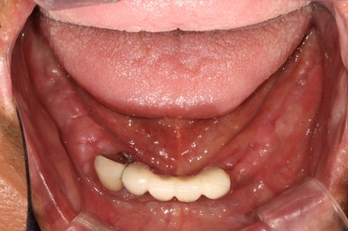
좌측 어금니 또한 깔끔하게 그럴싸하게!! 본인치아와 흡사한 형태로 제작해드렸습니다.
사실 처음에 잇몸 염증으로 고름이 가득 차있던 왼쪽 아래 송곳니 부위에는 임플란트 심는 것 자체가 불가능 했습니다만, 인접한 자리에 임플란트를 심어내어 마치 임플란트가 있는 것 같이 깔끔하게 제작 완료!


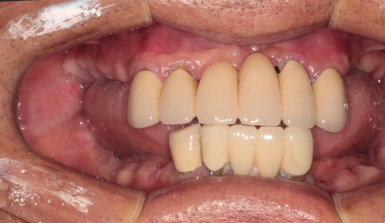
위턱 교합면에서도,


아래턱 교합면에서도 아주 정갈하고 깔끔하게 임플란트 크라운이 잘 제작된 것을 보실 수 있습니다.
사실 어디하나 흠잡을데 없다고 생각합니다....호호...
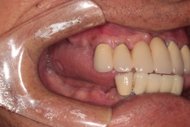
1년이 지나서도 변함없지 잘 유지되고 있습니다.
수술을 잘 해내는 것도 중요하지만, 오래 쓰실 수 있게 해드리는게 더 중요하죠.

사실 임플란트 치료 완료 후 첫 1년을 별 문제 없이 지내셔야, 앞으로도 잘 사용하실 것을 기대할 수 있습니다.
그래서 저희 치과에서는 치료 완료 후 첫 6개월과 첫 1년 때 다시 한 번 전체 구강검진을 시행하고 있어요.
볼이나 혀가 씹히지는 않으신지, 양쪽 임플란트를 동시에 잘 쓰고 계신지..
그리고 임플란트 주변 잇몸에 염증은 없으신지, 나머지 자연치는 문제 없으신지 등등.
여러가지를 면밀히 살펴보고, 문제가 없으시면 이제 비로소 마음 놓고 6개월 정기검진으로 이행!
본 50대 남자 환자분은 1년이 지난 후에도 양쪽 모두 잘 씹으시면서 잘 사용하고 계셨고, 개선된 양치질과 치실 사용으로 다른 자연치아들의 잇몸건강까지도 깔끔하게 지켜내고 있는 모습이셨습니다!
임플란트 장인을 꿈꾸는 치과 백원장이 평소에도 많이 만나는 전체 임플란트 케이스였으나, 생각보다 쉽지만은 않은 환자분이었습니다. 상악동 골이식술의 난이도가 있었고, 왼쪽 아래 송곳니 부위의 잇몸 고름으로 생겼던 큰 골결손부는 치조골 이식술을 어렵게 만들었죠.
만사가 그렇듯 어떤 상황에서 어떻게 하면 최대한 리스크가 없는 길을 선택할지를 알고,
원하는 만큼의 결과를 효율적으로 성취해 내는게 중요하다고 생각합니다.
특히나 환자를 치료하는 과정에서는 그 선택과 집중이 더욱 중요하지요.
어떤 치아를 살리고, 어떤 치아 자리에 임플란트를 심어 전체 임플란트를 완성할지 잘 계획했기에 이렇게 좋은 결과가 나올 수 있었다고 생각합니다. :) 묵묵히 치료에 잘 따라주신 환자분께도 무한한 감사의 말씀 올립니다.
언제든 어떠한 질문도 치과진료와 연관되어있다면 환영입니다 ^^

이상 백원장과 치과공부의 치주과 전문의 치과 백원장이었습니다.
온라인상으로 상담을 원하시면 댓글을 달아주세요. 최대한 성실하게 답변을 드리겠습니다! :)
치료 받으신 기간은 10개월입니다. 내원 횟수는 약 25회입니다.
비용이 궁금하신 분들 또한 댓글을 달아주세요 :) 친절히 안내해드리도록 하겠습니다.
이상 '잇몸 염증 고름이 심했던 부위 - 만성치주염 진단하고 임플란트로 깔끔하게 치료!' 에 관한 포스팅의 치과 백원장이었습니다. 긴 글 읽어주셔서 감사드리며, 궁금한 점은 언제든지 댓글로 문의해주세요!
더 좋은 포스팅으로 또 찾아뵙겠습니다 ^^
본 포스팅은 환자분의 동의 후 작성하였습니다.
치료 시작: 2022.06.30
치료 완료: 2023.05.06
예상되는 부작용: 임플란트 골유착 실패, 치료 후 통증, 수술 후 감염 등.