안녕하세요.
임플란트 장인을 꿈꾸는 치과 백원장입니다.
시술: 앞니 인접면 레진 충전 치료.
오늘은 아~주 간단한 포스팅 한 번 해보려고 합니다.
치과에서 많이 이뤄지는 치료이다보니, 레진치료는 포스팅을 많이 안하게 되더라구요~
앞니 옆면 충치를 3M 레진으로 치료했던 케이스입니다.


앞니 옆면에 까맣게 충치가 보여서 레진 치료 받고 싶어요.

앞니에 레진 치료를 이미 받으셨던 환자분이셨습니다.
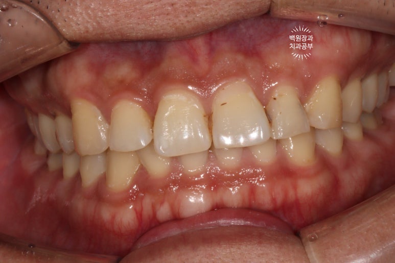
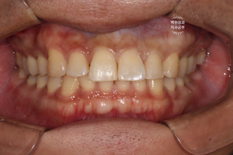
정면으로 보이는 곳은 기존 레진의 변색으로 인한 discoloration이 관찰되었고,
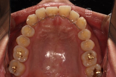
위턱 앞니 중 왼쪽 치아들은 옆면에 충치 (치아우식증)가 아주 선명히 보이고 있네요.

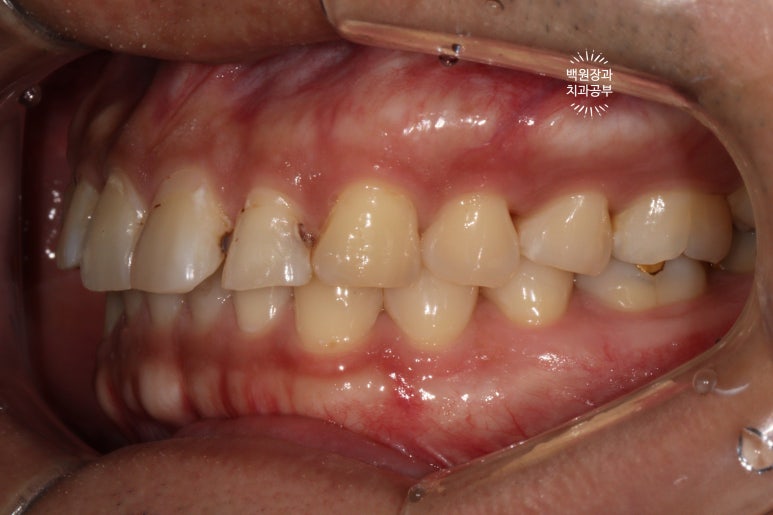
고개를 돌려서 우측을 보시면, 까맣 까맣하게 보이는 부위들이 있는데 대부분이 '레진 변색' 입니다.
레진 변색은 끝부분만 잘 다듬어드리면, 굳이 기존의 레진을 제거하고 다시 치료할 필요가 없어요!!!
-> 이게 포인트~!! 다시 뜯고 떼우는 것은 과잉진료입니다.

고개를 돌려 좌측을 보시면, 우측에서 보이던 것과 달리 치아 표면이 깨져서 구멍이 나신 것을 보실 수 있죠?
치과에 처음 오셔서 사진을 찍는 과정이 불편하실 수는 있으나, 이렇게 직접 보게 되면 치료에 대한 의지가 생긴다는 큰 장점이 있는 것 같습니다.

노란색 원으로 표시해둔 곳은 앞니 옆면 (인접면) 충치이고, 빨간색 원으로 표시해둔 곳은 기존 레진충전의 변색입니다.
변색은 표면을 다듬기! 충치는 레진으로 떼우기!

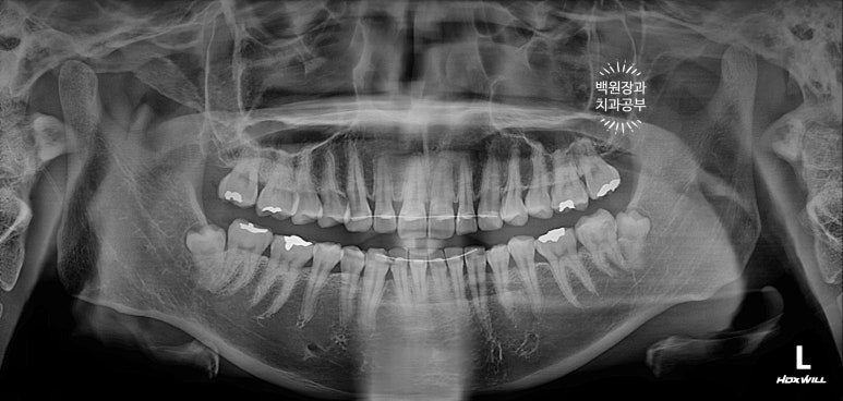
치과용 파노라마 엑스레이를 보시면, 아마도.. 기존의 교정 유지장치 때문에 옆면 cleansing이 어렵게 되어 충치가 생겼음을 예상해볼 수 있습니다.
그렇다고 교정 유지장치를 모두 제거하잔 소린 아니지만... 보다 세심한 관리가 필요하단 말씀!!....
왜냐면, 교정치료 끝나고 부착한 유지장치가 있는 앞니 부위에 인접면 충치가 생기게 되면... 치료를 하기 위해서 유지장치도 뜯고 레진치료를 해야하기 때문입니다. 그래야 앞니 치료가 완벽하게 되거든요....
그렇지만 이번 환자분은 요리조리 피해서 치료해볼 수 있는 케이스였습니다. ㅎㅎㅎ
치과 백원장의 솜씨를 한 번 보시죠~!!

교합면에서 보면, 충치가 뒤에서 봤을 때도 까맣게 보이는구나~ 라고 아실 수 있을겁니다.
사실 이번 30대 남자 환자분 같은 경우는 워낙 앞에서 충치가 잘 보이는 상황이라, 많은 설명이 필요하진 않았어요.
3M 레진을 이용하여 당일에 모두 치료가 가능합니다.
혹시나? 레진 제품에 대해 궁금해하시는 분들을 위해, 3M 코리아의 블로그 링크를 걸어드려봅니다...ㅎㅎㅎ
저희 치과에서는 너~무나 유명한 미국 회사인 3M 社의 레진 재료를 주로 사용하고 있습니다. 일본산 제품이 많이 사용되는 한국 치과계에서 간혹 방사능 이슈로 다른 재료를 찾으시는 분들이 있더라구요.
그걸 떠나 굴지의 글로벌 회사에 대한 믿음으로 사용하고 있습니다. ㅎㅎ

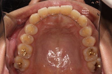
치료를 완료한 모습입니다.
사실 치료 결과는 '당연히?' 완벽해야되겠지만.. 이번 환자분에 있어서 치료 포인트라고 하면, 변색된 레진은 다듬어서 최대한 유지했고 꼭 필요한 부위만 레진충전으로 완료했다는 것에 있겠네요.
Before & After


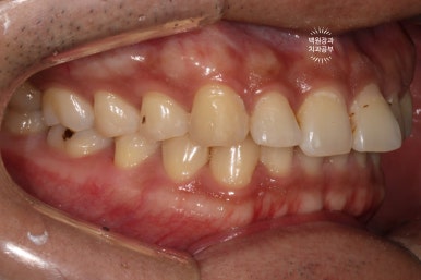
처음에 보여드렸던 우측 측면 사진입니다.
표면에 국한된 레진 변색의 경우 간단한 polishing 만으로 꽤나 만족스러운 결과를 얻을 때가 많습니다.
레진 재료의 특성상 표면이 '다공성'이기에 은근히 변색이 자주 오는데 (대부분은 bonding에 관한 이슈겠지만) 정말 표면 레진만 살짝 벗겨주면 되는 경우도 꽤 많거든요~ 이런 경우 비용은 거의 0원에 가깝습니다.
가운데 위치한 대문니들은 새로이 레진충전 함으로써 이차우식을 제거하고 깔끔하게 치료해드렸습니다.


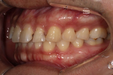
좌측 측면 사진에서 치료 결과가 더 극명하게 드러나는 것 같습니다.
사실 이 정도로 충치가 진행되시면, 기본적으로 국소마취가 필수입니다.
국소마취에 대한 영향으로 잘~ 보시면 잇몸이 조금 더 하얀 상태인 것을 보실 수 있죠? 치과용 리도카인 국소마취제는 약간의 에피네프린이 첨가되어 있어, 혈관수축을 유도하고 치료 시 출혈이 최소한이 되게끔 도와줍니다.
어쨌든~ 3M 레진의 자연스러운 색감으로, 아주 만족스러운 치료결과를 얻을 수 있었습니다.
사실 어렵지 않은 케이스라고 할 수 있으나, 생각보다 '완벽'하게 해내는 것은 어떤 일이든 어렵죠..


마치 숨은그림찾기 같지만.. ㅎㅎ 옆면 충치를 레진치료로 마무리 함으로써, 뒤에서 보아도 깔끔해진 모습을 볼 수 있습니다!!
잘 보시면, 교정치료 후 유지장치가 있다고 해도 치실을 사용하실 수 있는 것을 보실 수 있습니다.
생각보다 치실을 사용할 수 없다고 생각하는 경우도 대부분 사용 가능한 경우가 많아요~~
레진치료를 받더라도, 잘 유지하기 위해서 인접면 구강위생관리는 필수입니다!!
하루에 끝나는 앞니 레진치료 케이스의 치과 백원장이었습니다.
레진치료는 솔직히 치과원장 입장에서, 매일매일 행해지는 .. 스케일링 같이 루틴한 치료입니다.
어쩌면.. 과잉진료가 많은 분야 중 하나라고 할 수도 있죠...
검은색을 띄지만, 아주 표면에만 국한되어 있는 초기 충치나 - 기존에 치료 받았던 레진의 간단한 변색 정도는 솔직히 polishing 만으로도 해결할 수 있는 경우가 많습니다!
사진을 보여드리고 치료 결정하고 있긴 하나.. 꼭 치료가 필요한지에 대해서 최대한 보존적으로 접근하는 것이 좋은 것 같습니다. 이는... 치과의사이기 이전에, 치과치료를 많이 받아본 선배로써(?) 격히 공감하는 바입니다.
그래도 표면이 깨지기 시작하는 인접면 충치는 반드시 레진충전 치료를 받으셔야 합니다. 시기를 놓쳐버리면 정말로 크라운 치료 해야할수도 있어요!!!!
어쨌든, 내 치아에 손 안대고 쓰는게 제일 좋겠죠? 치료는 정~말 어쩔 수 없을 때만 하는겁니다. ㅠㅠ
오늘은 비교적 간단한 포스팅으로 인사 드렸던 치과 백원장입니다~

이상 백원장과 치과공부의 치주과 전문의 치과 백원장이었습니다.
온라인상으로 상담을 원하시면 댓글을 달아주세요. 최대한 성실하게 답변을 드리겠습니다! :)
치료 받으신 기간은 1일입니다. 내원 횟수는 약 1회입니다.
비용이 궁금하신 분들 또한 댓글을 달아주세요 :) 친절히 안내해드리도록 하겠습니다.
이상 '교정 유지장치 근처 앞니 옆면 충치 및 착색 간단히 3M 레진으로 치료. 치료과정/비용/후기. 과잉진료 없는 치과.' 에 관한 포스팅의 치과 백원장이었습니다. 긴 글 읽어주셔서 감사드리며, 궁금한 점은 언제든지 댓글로 문의해주세요!
더 좋은 포스팅으로 또 찾아뵙겠습니다 ^^
본 포스팅은 환자분의 동의 후 작성하였습니다.
치료 시작: 2023.06.03
치료 완료: 2023.06.03
예상되는 부작용: 이차충치 발생. 수술 후 치아의 지각과민.