아카이브 요약
이 페이지의 역할
레브치과의원 강남점의 네이버 블로그 원문을 보존한 아카이브 페이지입니다. 백원장과 치과공부 카테고리의 잇몸치료에 대한 모든 것. 치주과 전문의가 설명하는 치주염 치료 비용,과정, 통증, 방법 그리고 치과 실비보험. 글을 통해 병원의 한국어 정보 제공 방식과 진료 관련 안내 톤을 확인할 수 있습니다.
원문 검증
필요하면 원문 블로그와 병원 프로필로 바로 이동해 문맥을 다시 확인할 수 있습니다.
출처 아카이브 열기아카이브된 블로그 글
레브치과의원 강남점 · Naver Blog
안녕하세요. 신사역 레브치과 대표원장 백원선입니다. 오늘은 치주과 전문의인 제가 전공한 진료에 대해 설명해드리려 합니다. 바로.. 잇몸치료인데요. 만성치주염, 잇몸질환, 풍치, 잇몸치료, 잇몸수술, 잇몸재생치료 등등등... 많이들 들어보셨을테고, 접해보셨을 .. 흔하지만 어려운 치료에 대한 이야기입니다. 사진이 좀...
게시일
2025년 10월 7일
원문 기준으로 확인된 발행일입니다.
카테고리
백원장과 치과공부
원문 블로그 카테고리를 정리해 함께 표시합니다.
이미지 수
18
현재 아카이브에 연결된 이미지 수입니다.
아카이브 요약
레브치과의원 강남점의 네이버 블로그 원문을 보존한 아카이브 페이지입니다. 백원장과 치과공부 카테고리의 잇몸치료에 대한 모든 것. 치주과 전문의가 설명하는 치주염 치료 비용,과정, 통증, 방법 그리고 치과 실비보험. 글을 통해 병원의 한국어 정보 제공 방식과 진료 관련 안내 톤을 확인할 수 있습니다.
원문 검증
필요하면 원문 블로그와 병원 프로필로 바로 이동해 문맥을 다시 확인할 수 있습니다.
출처 아카이브 열기안녕하세요.
신사역 레브치과 대표원장 백원선입니다.
오늘은 치주과 전문의인 제가 전공한 진료에 대해 설명해드리려 합니다.
바로.. 잇몸치료인데요.
만성치주염, 잇몸질환, 풍치, 잇몸치료, 잇몸수술, 잇몸재생치료 등등등...
많이들 들어보셨을테고, 접해보셨을 .. 흔하지만 어려운 치료에 대한 이야기입니다.
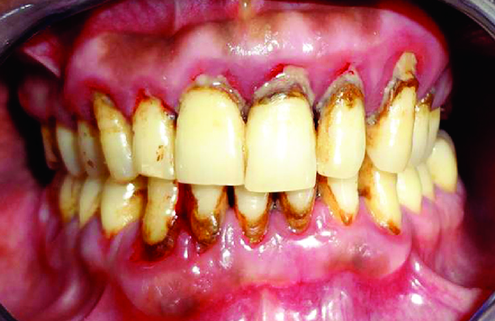
사진이 좀.. 부담스러우실 수 있으니 각오를 하고 보셔야 합니다...! (전 사실 별 감흥이 없습니다만..)

만성치주염과 풍치 그리고 이가 흔들거림

구글에서 찾아보면, 이런 예쁜 그림들이 있습니다.
바로 만성치주염의 진행 과정에 대한 모식도? 인데요.
이가 아픈 원인은 크게 두 가지로 나뉩니다.
딱딱한 경조직인 치아가 썩어서 통증이 생기는 것과
그 치아의 주변에 '치석'이 쌓이면서 물렁한 연조직이 붓고 피나고, 더 나아가 치아 주변의 잇몸뼈까지 녹아 없어져버리면서 통증이 생기는 것이죠.
치아가 썩으면 충치치료, 신경치료, 크라운 치료 등등 우리가 눈으로 볼 수 있는 치료들이 필요하고,
잇몸이 안좋아지면, 흔히들 아시는 잇몸치료, 잇몸수술, 치조골 재생치료 등이 필요하게 됩니다.

출처 : North Raleigh Periodontics
충치는 직관적이라 이해하기 어렵지 않으실거에요. 또 많은 분들이 받으시는 치료이기도 합니다.
학술적으로 '만성치주염' 그리고 일반인들이 부르는 '풍치'는 위에 사진에서 보시는 바와 같이 치아 주변에 닦이지 않은 치석이 쌓여 생기는 만성 염증 질환입니다.

출처 : BDG Dental Services
처음에는 잇몸이 빨개지고 붓고 피나는 증상만 보입니다.
치은염 (Gingivitis)라고 하며, 스케일링과 간단한 잇몸치료 정도면 해결이 되고 '돌이킬 수 있습니다'
이 치석이 점점 굳고 딱딱해지며 양이 늘어나면, 치주염 (Periodontitis)가 되며, 이 때부턴 마취가 필요한 잇몸치료, 잇몸수술 등 적극적인 개입이 필요해집니다.
그리고 안타깝게도 시기를 놓쳐버리면, 치아가 흔들거리고.. 통증이 심해져 빼야하는 상황이 되죠.
만성치주염의 진단

진단을 하기 위해서 반드시 엑스레이 촬영이 필요합니다. (건강보험 적용 가능!)
'당연히' 잇몸뼈의 높이를 확인하기 위해서 입니다.

출처 : ASK A DENTIST
일반적으로 CEJ 라고 불리우는 치아의 머리와 뿌리의 경계에 이르는 만큼 잇몸뼈 높이가 유지되고 있어야만 하지만, 만성치주염으로 인해 잇몸뼈가 소실되면 이 높이를 잃어버리게 되고 왠만한 것은 치과용 파노라마 사진에서 캐치해낼 수 있죠.
그리고 더 나아가 잇몸뼈 소실이 심해지면, 병적인 치아이동 (pathologic migration)도 확인할 수 있게 됩니다.
임상적 경험과 방사선 사진 그리고 시진을 통해서 잇몸치료의 시기와 종류를 정하게 됩니다.
이러한 과정을 전문적으로 트레이닝 받은 치과의사가 '치주과 전문의'입니다. 제가 취득할 당시 300여명 정도였으니.. 진짜 몇 명 없긴 합니다..ㅎㅎ
98학번 선생님들부터 취득 가능했으니.... 잘 찾으면 동네에 한 명 있을겁니다...
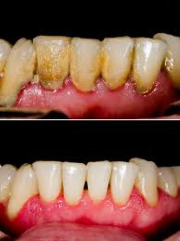
만성치주염의 치료
치석제거 - 비수술적 잇몸치료 - 수술적 잇몸치료 - 재생치료 - Biofilm 제거

출처 : Revise Dental
이러한 엄청난 치석을 만났을 때, 가장 먼저 해야하는 것은 '치석제거 = 스케일링' 입니다.
정확히는 눈에 보이는 잇몸 '상방'의 치석을 제거하는 술식입니다.
통상적으로 치과에 방문하셨던 첫 날 진행하게 되며, 평일을 기준으로
기본적인 검사 + 파노라마 엑스레이 촬영 + 스케일링 = 약 3만원 정도 비용이 청구됩니다.
당연히 건강보험 적용이 되기 때문입니다. 대한민국은 건강하게 살기 좋은 나라죠.

이 때 눈에 보이는 딱딱한 치석만 제거하는 것이 아니라, Bioflim 까지 제거해주면 보다 완벽한 치료가 됩니다.
이 바이오필름은 쉽게 설명하면, 화장실에 있는 물때 같은 것이죠. 제거하기가 은근 힘이 드는 세균의 집같은 곳입니다.

바이오필름을 효과적으로 제거하기 위해 제작된 장비가 AIRFLOW이고, 스위스에서 공급받는 제품입니다.
라미네이트 환자들의 잇몸 건강을 위해서도 많이 사용하고 있습니다.
(이 제품의 사용은 건강보험 적용을 받지 않습니다. 그래서 대부분의 치과에는 없죠.)

그렇지만 안타깝게도 보통 치석이 저렇게 제거하기 쉬운데만 있지 않습니다.
치아를 뽑아서 보면.. 치석이 자라고 자라 치아 뿌리 표면을 따라 자라들어가거든요..
마치 내성발톱같이 정말 제거하기 힘든 위치로 점점 파고듭니다.
이 치석을 제거하기 위해 '비수술적 잇몸치료'를 시행하게 됩니다.

쉽게 얘기하면, 마취하고 좀 더 깊이 스케일링을 해보는 것입니다.
잇몸과 치아 사이로 기구를 좀 더 밀어넣어서 치석을 깨끗이 제거하면 잇몸이 건강해질테니깐요.
이것이 대부분의 치과에서 (정확히는 치주과 전문의가 아닌 선생님들께서) 시행하는 잇몸치료입니다.
엄청 좋은 치료입니다. 치석이 없어지면 세균이 없어지고 잇몸은 건강한 상태로 돌아오죠.
비수술적 잇몸치료의 비용은 전체 치아를 모두 했다고 가정했을 때, 대략 10만원 안팎 청구됩니다.
(치주과 전문의가 한다고 돈 더 안듭니다.)
눈에 보이지 않는 치석을 장님이 코끼리 다리 만지듯이 제거를 해야하니, 하는 사람마다 실력차이가 매우 큽니다.
이걸 보통 치과에서 Technique sensitive 하다고 얘기합니다. 사람마다 결과가 다르다.......
이건 치과보존과 전문의 선생님이 신경치료를 잘 하고, 치과보철과 전문의 선생님이 틀니를 잘 하는 것과 같은 개념입니다. 치석도 많이 제거해본놈이 잘합니다..
(솔직히 치석 너무 딱딱하고 뗄때 손아프고 돈은 안되고, 사명감 아니면 제대로 안합니다 다들 ㅎㅎ.. 인정?)

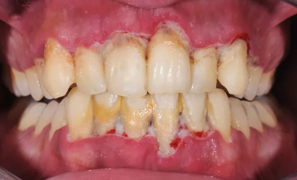
이런 사진 정말 죄송하지만 (그래서 일전에 경고를..! ㅠㅠ) 정말 치석이 어디까지 있을지 예측도 안되는 분들도 있습니다.
전체적으로 이럴수도 있고, 어금니만 이럴수도 있고....
그런 분들은 수술적 잇몸치료를 시행하여야만, 구석구석 꼼꼼히 잇몸치료를 해드릴 수 있어요.
수술적 잇몸치료의 비용은 정말 전체를 다 한다고 했을때, 대략 3050만원 정도 드는 것으로 알고 있습니다.
수술적 잇몸치료를 하고나면 꿰매기 때문에 내원 횟수도 늘어납니다.
***수술적 잇몸치료의 장점은 눈치채셨을수도 있지만,
치석이 보이기 때문에 제거가 용이하고 치료의 완성도가 높아집니다.
기구의 접근이 다각도로 허락되기 때문에 치료의 완성도가 높아집니다.
필요시 잇몸뼈 재생치료 (골이식술 등)도 시도해볼 수 있습니다.

그럼 이름만 들어도 매력적인 잇몸뼈 재생치료는 무엇이냐~
스트라우만 회사 아시나요? 제 포스팅에도 많이 등장했었는데...
스위스 굴지의 임플란트 전세계 1위 회사 스트라우만에서 만들어내느 EMDOGAIN이라는 제품을 잇몸뼈가 파괴된 곳에 넣어주는 것입니다!..
그러면 어느 정도 잇몸뼈 재생이 이루어진다는 원리입니다.
이 EMDOGAIN은 돼지의 치아 씨앗에서 추출한 물질이 들어가 있다고 하며, 절~~대 불가능하다는 만성치주염으로 파괴된 잇몸뼈 재생을 일부 가능하게 한다는 재료입니다.
효과가 입증되었기에, 건강보험 적용이 가능합니다.
EMDOGAIN을 사용한 잇몸뼈 재생치료의 비용은 입안 전체에 적용했을 때 대략 50~70만원 정도 드는 것으로 알고 있습니다.
만성 치주염의 통증
스케일링 안 받아본 분 거의 없으실거에요. 1년에 한 번 건강보험 적용을 해주며, 2만원 안팎이면 해결됩니다.
그보다 기구를 깊이 넣어서 치석을 제거한다고 해서 생각보다 통증이 심하지 않습니다.....!
놀랍게도, 항생제 + 진통제 3일 정도만 드시면, 충분히 일상생활 복귀가 가능합니다.
매복 사랑니 .. 저도 빼봤지만, 1주일은 아팠던 것 같은데.. 그것과 비교할 수 없을 만큼 통증이 적은 치료입니다.
잇몸치료와 치과 실비보험
사실 제가 이 포스팅을 하게 된 계기와도 같습니다.
저는 치주과 전문의로써 자부심을 느낄만큼 잇몸 건강을 유지하고 있기에... 치과 실비보험 청구할일이 정말 없는데요.... 환자분들 중 가끔 청구를 하겠다는 분들이 있는거죠!
그래서 공부하다보니 알게된 점입니다. KB보험 포스팅을 참고했습니다.

여러 보험설계사 분들의 글과 포스팅을 참고해보니,
우리가 흔히 말하는 1세대 실비보험자는 치과 실비 보험 청구가 불가능 하다고 하더라구요!
대신 종합병원의 치과에선 가능하다고 합니다. 아마, OO종합병원 이런데 안에서 받은 치과치료는 가능한듯..
그 이후에 가입하신 분들은 '건강보험 적용이 되는' 모든 치과치료를 치과 실비청구가 가능하다고 합니다.
(오늘 포스팅의 핵심과도 같죠 ? ㅎㅎ 실비 보험 청구 하는 과정도 많이 해본 치과가 잘해요 ㅋ)

아니 이게 다 된다고 하더라구요.... 치과를 운영하면서 저도 크게 생각하지 않았던 것들인데...
아마, 일반적으로 도수치료나 안과치료 등 당연히 수십 수백만원의 보험청구가 가능한 것들은 절대 놓치지 않고 청구하셨을텐데요..
상대적으로 비용이 작은 치과는 소홀히 하는 경우가 많아 보이더라구요. 솔직히 스켈링 2만원이면 하니깐 귀찮아서 안하신 분들도 많으시겠죠...?
그래도 치과를 운영하는 사람으로써, 저희 치과에서 많이하는 건강검진비, 스케일링, 잇몸치료, 신경치료, 사랑니발치 등등 이렇게나 실비보험을 청구할 수 있는 종목이 많음에 감탄하였습니다.
또한 제가 많이 했던 치주과 전문의가 하는 진료인,
치석제거, 비수술적 잇몸치료, 수술적 잇몸치료, 잇몸뼈 재생치료 모두.. 실비보험 청구가 가능하다는 결론.. !
(잇몸치료를 많이 해야하는 분들이면 수십만원을 받으실 수 있겠네요.)



생각보다 잇몸치료를 하게 되는 분들은 다음과 같은 요소를 많이 가지고 계십니다.
크게 세 가지가 가장 영향을 많이 준다고 해요.
흡연 습관
조절되지 않는 당뇨
좋지 못한 구강위생 관리습관
세 가지 중 하나라도 있으시면서, 잇몸이 아프거나 붓고 피나는 등의 증상 혹은 치아가 흔들리는 느낌이 있으시다면 하루라도 빨리 치주과 전문의가 있는 병원에 찾아가셔서 잇몸질환 치료 받으시길 바랍니다!
생각보다 간과할 수 있는 질환이고, 이를 뽑게되면 결국 임플란트 치료를 받으셔야 하니 내 건강은 내가 챙기는 마음으로 ..! ^^
항상 진료받는 환자의 마음을 헤아리고, 타인의 편의를 위해 먼저 생각하는 레브치과가 되겠습니다 :)
저는 신사역 레브치과 대표원장 백원선입니다.
이상 백원장의 치과공부였습니다.
감사합니다.