아카이브 요약
이 페이지의 역할
레브치과의원 강남점의 네이버 블로그 원문을 보존한 아카이브 페이지입니다. 치아미백의 성지 카테고리의 앞니치아미백 비용 들인만큼 잘되는 치과 찾는법. 신사역 치과 미백 성지. 글을 통해 병원의 한국어 정보 제공 방식과 진료 관련 안내 톤을 확인할 수 있습니다.
원문 검증
필요하면 원문 블로그와 병원 프로필로 바로 이동해 문맥을 다시 확인할 수 있습니다.
출처 아카이브 열기아카이브된 블로그 글
레브치과의원 강남점 · Naver Blog
안녕하세요. 강남 치아미백 성지를 찾고 계신가요? 오늘은 치아미백 잘되는 치과를 찾는 꿀팁을 간단히 알려드려볼까 합니다. 치아미백 환자가 1달에 1천명씩 오고가는 치과. 레브치과 백원장입니다. 치아미백 비용. 얼마나 할까요? 가장 간단하게 치아미백 비용을 비교해볼 수 있는 방법 ! 강X언니, 바X톡, 모X닥 등...
게시일
2025년 12월 17일
원문 기준으로 확인된 발행일입니다.
카테고리
치아미백의 성지
원문 블로그 카테고리를 정리해 함께 표시합니다.
이미지 수
12
현재 아카이브에 연결된 이미지 수입니다.
아카이브 요약
레브치과의원 강남점의 네이버 블로그 원문을 보존한 아카이브 페이지입니다. 치아미백의 성지 카테고리의 앞니치아미백 비용 들인만큼 잘되는 치과 찾는법. 신사역 치과 미백 성지. 글을 통해 병원의 한국어 정보 제공 방식과 진료 관련 안내 톤을 확인할 수 있습니다.
원문 검증
필요하면 원문 블로그와 병원 프로필로 바로 이동해 문맥을 다시 확인할 수 있습니다.
출처 아카이브 열기안녕하세요. 강남 치아미백 성지를 찾고 계신가요?
오늘은 치아미백 잘되는 치과를 찾는 꿀팁을 간단히 알려드려볼까 합니다.
치아미백 환자가 1달에 1천명씩 오고가는 치과. 레브치과 백원장입니다.

치아미백 비용. 얼마나 할까요?
가장 간단하게 치아미백 비용을 비교해볼 수 있는 방법 !
강X언니, 바X톡, 모X닥 등 성형어플을 이용하는 것입니다.



대표적인 성형어플들. 강남의 유수한 치과들의 치아미백 이벤트 가격을 비교해보실 수 있습니다.
치아미백은 1일 "3회" 해야한다는 것이 포인트입니다. 1회당 가격이라면, 3회로 계산하세요!
어떠한 약제를 사용하는지 꼭 체크하셔야 합니다. w-gel과 오스템 뷰티스가 대표적인 약제이지요!
저희 신사역 레브치과에서는 두 가지 약제 모두 사용하고 있습니다 ^^
치아미백은 기계가 포인트입니다.

저희 신사역 레브치과 내부 사진인데요, 오스템에서 직접 제작한 오스템 뷰티스 스탠딩 미백기계가 핵심!!
저희 치과는 단독 진료실에서도 치아미백 치료를 받으실 수 있습니다.
왜 이게 핵심이냐~~~ 다른 치과와의 차이는 무엇인고?

목에 걸고 사용하는 기계는 오스템 뷰티스 S 입니다. 이 기계를 많이 쓰는 치과도 많습니다.
왜냐면? 기계 가격이 10배 이상 차이가 나기 때문이죠.
집에서 쓰라고 만들어 놓은 기계라서 가볍지만, 당연히 출력이 약합니다.
거실에서 쓰는 선풍기랑 탁상용 USB 선풍기가 같다고 생각하진 않으시겠죠...?

저희 레브치과는 이러한 오스템 뷰티스 스탠딩 미백기를 8대 보유하고 있습니다.
아마... 이런 치과 본적 없으실거에요... 치아 미백에 진짜 진짜 진심인 치과...^^
치아미백기가 출력이 센 제품인지 구별하는 방법.
= 치아미백 결과가 좋은 치과인지 구별하는 방법.

치아미백기를 켜면, 이렇게 블루라이트가 나오거든요?
근데 이 빛이 생각보다 세다는게 구별의 포인트입니다.

빛이 나는 미백기 헤드의 뒷면을 보면, 저렇게 통풍이 되게 구멍이 뚫려있어요.
안에 뭐가 있게요? 열을 밖으로 빼는 팬이 있습니다!
그래서 요지는, 고출력의 스탠딩 치아미백기계를 쓰면 팬 소리가 시끄럽게 난다는 것입니다.
이게 꽤나 소음이에요 ㅋㅋ 그래서, 치아미백 받는 동안 얼굴에 포도 덮여있고 주변을 둘러 볼 수 없기도 하지만 내가 치아미백을 좋은 기계로 잘 받고 있는지 구별 할 수 있다는 것이죠 ㅎㅎㅎ
치아미백 치과에서 받아보신 분들은 생각해보세요.. 내가 치아미백 받을동안 시끄러웠나..?
치아미백이 잘 되는 제품이 있을까요?

저희 치과에서 사용하는 오스템 뷰티스 15.
쓸때마다 포장을 뜯어씁니다. 냉장보관하다가 약제를 즉시 꺼내쓰니 효과가 좋지요.
과산화수소 농도 자체는 다 비슷하긴 하지만, 오스템 뷰티스 제품의 경우 시림 방지를 위한 약제가 첨가되어 있고 식약처 허가를 받은 국내 2개 중 한개의 제품으로 유명합니다.
치아미백을 잘하는 의료진이 있을까요?
정확히 치아미백은 전문과목 진료가 아닙니다 !!!
예를들어...
제가 전공한 치주과전문의는 잇몸치료, 잇몸성형, 임플란트 등을 잘하고,
저희 주성우 원장님이 전공한 치과보철과 전문의는 크라운, 틀니, 전체임플란트 등을 전공했다고 표현하지만.
치아미백은 전문과목 진료가 아니에요. 누구나 할 수 있다는 뜻!

그래서 깨끗하게 스케일링 하고
치아 표면을 깨끗하게 닦아주는 연마를 시행하면

깨끗한 표면을 갖게되고 그 깨끗한 표면에 치아미백제를 도포하고 빛을 쪼여주는 미백을 3회하면!!!!
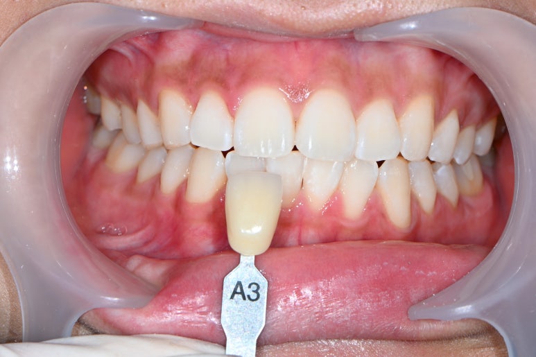
통상적으로 VITA shade guide기준 A1에 준하는 치아 색상을 가질 수 있다는 것입니다!!!
이러한 치료 과정에 있어서, 숙련된 치과위생사 선생님들의 솜씨가 아주 중요하고 1달에 1-2번 치아미백하는 동네 치과보다는 당연히 하루에도 몇십명씩 다녀가는 치과가 치아미백을 잘 하겠죠~???
오늘도 서울에서 수백 수천명의 환자가 치아미백을 합니다.
보통 3-6개월 주기로 하게되고, 데이트 전에도 하고 중요한 면접 전에도 하고.
밝은 색상의 치아는 동서고금을 막론하고 모두에게 추구되는 아름다움인 것 같습니다.
저희 신사역 레브치과에 벌써 38개국째 외국인이 치아미백 치료를 받았답니다~
이제는 피부에만 신경쓸때가 아니죠! 밝은 색상의 치아가 아름다운 미소를 만들어드린답니다.
이상 신사역 치아미백 잘하는 레브치과 대표원장 백원선이었습니다.