아카이브 요약
이 페이지의 역할
레브치과의원 강남점의 네이버 블로그 원문을 보존한 아카이브 페이지입니다. 레브네이트 (라미네이트) 카테고리의 왜소치 라미네이트. 열심히 교정치료 받은 나를 위한 선물. 비용/과정/후기. 글을 통해 병원의 한국어 정보 제공 방식과 진료 관련 안내 톤을 확인할 수 있습니다.
원문 검증
필요하면 원문 블로그와 병원 프로필로 바로 이동해 문맥을 다시 확인할 수 있습니다.
출처 아카이브 열기아카이브된 블로그 글
레브치과의원 강남점 · Naver Blog
안녕하세요? 신사역 280평 라미네이트 레브치과 대표원장 백원선입니다. 왜소치. 치과의사라면 '무삭제 라미네이트' 가능한 상황을 얘기해봐. 라고 했을 때 가장 먼저 떠오르는 이름입니다. 주로 대문니 옆에 양쪽 작은 앞니들이 형태 이상으로써 왜소치가 은근 많은데요, 오늘 저희 신사역 레브치과에서 라미네이트로 왜소치를...
게시일
2025년 12월 28일
원문 기준으로 확인된 발행일입니다.
카테고리
레브네이트 (라미네이트)
원문 블로그 카테고리를 정리해 함께 표시합니다.
이미지 수
12
현재 아카이브에 연결된 이미지 수입니다.
아카이브 요약
레브치과의원 강남점의 네이버 블로그 원문을 보존한 아카이브 페이지입니다. 레브네이트 (라미네이트) 카테고리의 왜소치 라미네이트. 열심히 교정치료 받은 나를 위한 선물. 비용/과정/후기. 글을 통해 병원의 한국어 정보 제공 방식과 진료 관련 안내 톤을 확인할 수 있습니다.
원문 검증
필요하면 원문 블로그와 병원 프로필로 바로 이동해 문맥을 다시 확인할 수 있습니다.
출처 아카이브 열기안녕하세요?
신사역 280평 라미네이트 레브치과 대표원장 백원선입니다.
왜소치.
치과의사라면 '무삭제 라미네이트' 가능한 상황을 얘기해봐. 라고 했을 때 가장 먼저 떠오르는 이름입니다.
주로 대문니 옆에 양쪽 작은 앞니들이 형태 이상으로써 왜소치가 은근 많은데요,
오늘 저희 신사역 레브치과에서 라미네이트로 왜소치를 깔끔하게 해결하면서 고민했던 내용들을 공유해보도록 하겠습니다.

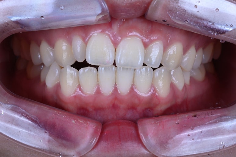
왜소치. 교정치료 하게 만드는 너!!!!

환자분이 오셨습니다. 왜소치가 어느 치아인지 딱 봐도 아시겠죠?

바로 이 녀석입니다!
치아가 폭도 작고 길이도 짧고.. 이 녀석 때문에.. 환자분이 고민이 이만저만이 아닙니다.

구글에 검색하니 왜소한 측절치 (Peg lateralis 라고 합니다.)는 위와 같은 문제를 만든다고 합니다.
안 예쁘고, 필요없는 공간을 만들고 이로 인해 충치나 잇몸질환이 잘 생겨요. 기능에도 안 좋고...
그래서 보통 교정치료 + 라미네이트로 해결을 한답니다.
왜소치. 모양도 참 안예뻐요... 뾰족하고...

왜소치의 아주 특징적인 모습을 보여주고 있는 분이었어요.
딱 봐도.. 특별한 치아 다듬기 없이 무삭제 라미네이트를 해드릴 수 있을 모양!
그래서 라미네이트 치과에 왜소치 치료하러 많이 오신답니다.

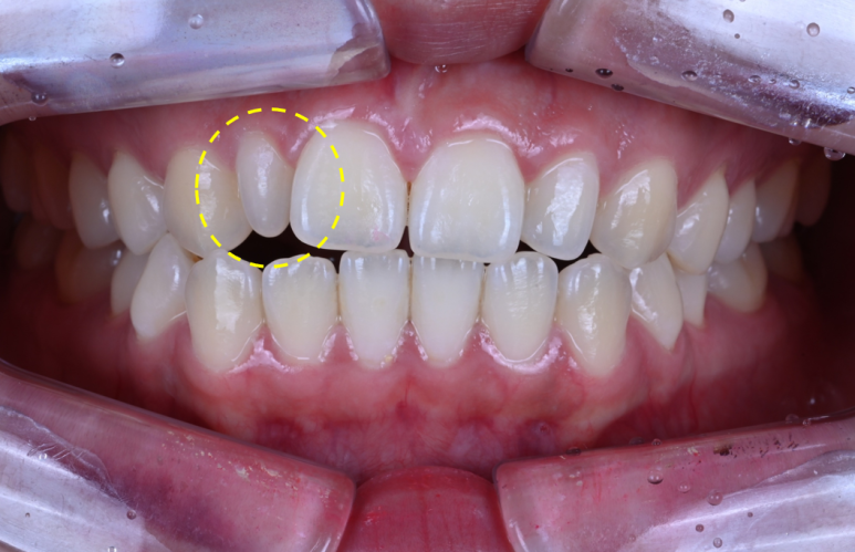
왜소치가 있으면, 작은 치아 폭 때문에 은근히 다른 치아 사이에도 틈이 남게 됩니다.
보시면 대문니 사이에 약간의 틈이 있죠? 이것도 함께 해결하고 싶어하셨어요.
라미네이트 몇 개를 하는게 좋을까요?

알려져 있기를, 이상적인 치아의 폭은 1.6:1.0:0.6 정도로 맞춰주면 좋다고 합니다.
그런데 왜소치를 갖고 있으신 분들의 경우 이게 정말 어려운거죠!!! 특히나 한쪽만 왜소치인 경우 더더욱...
그래서 왜소치 하나만을 치료계획에 포함시키는 것은 추천드리지 않습니다.
아주 아주 적어도 4개, 혹은 왜소치 옆에 있는 송곳니까지 포함시켜 대칭으로 총 6개를 권유드리게 됩니다.
이번 환자분 같은 경우 밝은 색상의 치아도 함께 원하셨기에, 총 6개의 라미네이트 치료를 하기로 정해보았어요.
최소한의 치아다듬기.
왜소치를 최대한 최대한 예뻐보이게!!!
잇몸성형도 해야합니다.

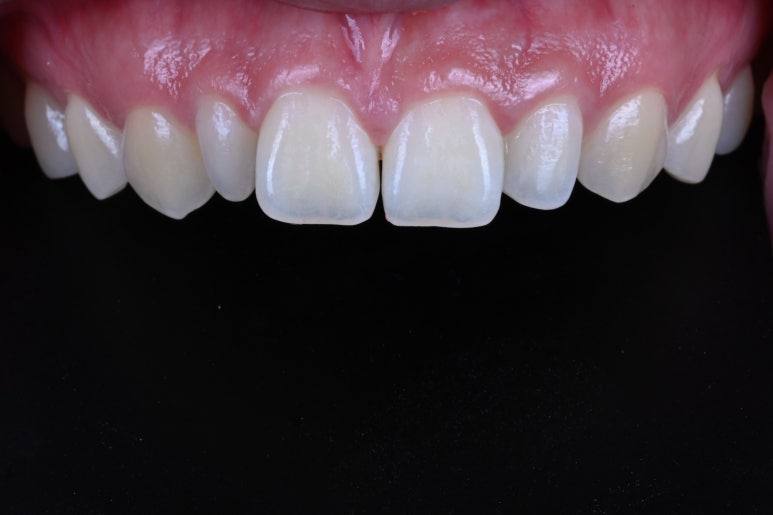
살짝 치아를 다듬어드리고 난 뒤의 사진입니다.
대부분 앞면만 매끈하고 부드럽게 다듬어드렸어요.
또한!!! 잇몸 성형도 함께 해드려서 최대한 대칭으로, 이상적인 라미네이트 형태가 될 수 있도록 기획!

또한 최대한 자연광 아래에서 치아의 색상을 기록합니다.
보시면.. 2M1,2,3를 대보았었고 환자분과 어떤 색상으로 할지 전담 치과기공사가 상의를 해드립니다.
너~무 밝은 것은 싫다고 하셨지만, 전체적으로 균일한 색상을 갖는 반듯한 형태의 치아를 원하셨어요.

그리고 저희 신사역 280평 레브치과의 특징. 얼굴 사진을 아주 자연스럽게 기록해둡니다.
눈과 눈 사이의 선, 코의 중앙, 입술의 모양과 움직임을 고려하여 라미네이트를 어떻게 제작할지 기록해보는 과정이랄까요?
이 과정을 라미네이트를 직접 제작하는 치과기공실 인원들이 수행한다는 것이 또 저희 치과의 포인트.
치과의사와 치과기공사가 한 케이스 한 케이스를 정성들여 함께 의논하고 설계합니다.
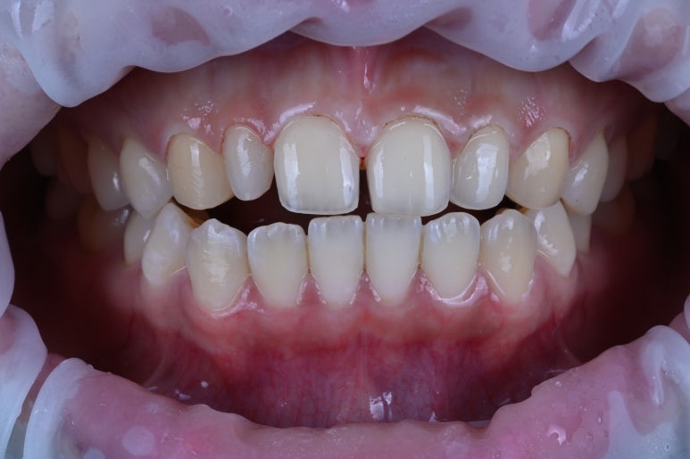
밝은 색상이면서, 반짝반짝 빛나는 라미네이트
라미네이트 제작을 위해 CAD 프로그램을 사용합니다.
필요한 라미네이트 조각을 디자인하고, 이 데이터를 밀링기계에 전달하여 라미네이트 블록을 만들죠.
VITA 라는 회사의 블록은 다소 색상이 반투명하고 반짝이나, 강도가 약하다는 단점이 있습니다.
반면 HASS 라는 회사의 블록은 다소 색상이 투박하지만, 강도가 아주 좋습니다.

저희 신사역 레브치과는 깨지지 않는 라미네이트도 너무나 중요하다고 생각하여, 보다 단단한 재료를 사용하여 라미네이트의 기본 뼈대를 만들고 부족한 아름다움은 전담 치과기공사의 후가공으로 커버해드리고 있어요.
결과적으로 섬세한 가공이 더 들어가는 저희 레브치과의 라미네이트가 결과 사진이 훨씬 예쁘답니다. :)
결과는 저희 레브치과의원에 홈페이지에서 확인하실 수 있습니다!
바로가기해서 간단한 카카오톡 로그인이면 완성 ~
왜소치를 갖고 계시다면, 가장 깔끔하고 예쁜 결과를 위해 다음과 같은 치료를 추천드립니다.
간단한 부분교정치료가 이루어진다면, 훨씬 이상적인 치아의 배열을 가지실 수 있어요.
라미네이트 치료가 이루어지면, 보다 더 감쪽같고 연예인 같은 치아를 갖게되실거에요.
레진 빌드업 이라는 이름으로, 앞니 레진치료가 유행하고 있습니다.
앞니에 '레진'이라는 많이 쓰이는 치아 색상 재료로 덧대어 치료를 해드리는 것인데요, 간단하고 가격이 싸다는 장점이 있긴 합니다만.. 장기적으로 보았을 때, 재료 자체의 변색을 피할수가 없다는게 단점입니다.

출처: Composite vs Porcelain Veneers: The Showdown
파란색은 저희 신사역 레브치과처럼 세라믹으로 만든 라미네이트이구요,
브라운 색은 레진으로 겉면에 라미네이트처럼 붙여준 것이라고 해요.
레진은 속된말로 플라스틱이고, 세라믹은 유리인데요..
김치를 플라스틱 통과 유리통에 담아 보관하는 상상을 해보시면 됩니다!
플라스틱 통은 색도 변하고 냄새도 나고.. 표면이 다공성이기 때문에 다른 결과를 냅니다.
또한, 세라믹은 강도가 더 좋아 레진보다 더 얇게 제작하여 붙여드릴 수 있습니다.
여러 면에서.. 왜소치의 치료를 고민하실 때, 레진 빌드업보다 세라믹으로 된 라미네이트 치료를 권해드리는 이유입니다.
TAKE HOME MESSAGE.
싸구려를 여러개 사지 마시고, 명품을 하나 사서 오래 쓰는 사람이 되면 좋겠습니다! 치료는 더더욱요.
이상 백원장의 치과공부였습니다.
감사합니다.