아카이브 요약
이 페이지의 역할
TU치과의원(티유치과)의 네이버 블로그 원문을 보존한 아카이브 페이지입니다. 치과상식 카테고리의 [TU치과/티유치과] 치아변색?? 치아미백으로 해결! 글을 통해 병원의 한국어 정보 제공 방식과 진료 관련 안내 톤을 확인할 수 있습니다.
원문 검증
필요하면 원문 블로그와 병원 프로필로 바로 이동해 문맥을 다시 확인할 수 있습니다.
출처 아카이브 열기아카이브된 블로그 글
치과의원(티유치과) · Naver Blog
안녕하세요. TU치과 입니다.^^ 우선은 치아 미백이 무엇인지, 필요로 한 치아상태를 먼저 확인을 해보도록 하겠습니다. ! 치아미백이란? 변색된 치아 표면의 색을 하얗게 원래의 색으로 회복시키는 치료를 의미합니다. 개개인의 치아 상태와 변색의 정도를 파악하여 미백제를 도포해 특수광선을 조사해주는 방식으로 치료하게됩니다...
게시일
2019년 9월 18일
원문 기준으로 확인된 발행일입니다.
카테고리
치과상식
원문 블로그 카테고리를 정리해 함께 표시합니다.
이미지 수
9
현재 아카이브에 연결된 이미지 수입니다.
아카이브 요약
TU치과의원(티유치과)의 네이버 블로그 원문을 보존한 아카이브 페이지입니다. 치과상식 카테고리의 [TU치과/티유치과] 치아변색?? 치아미백으로 해결! 글을 통해 병원의 한국어 정보 제공 방식과 진료 관련 안내 톤을 확인할 수 있습니다.
원문 검증
필요하면 원문 블로그와 병원 프로필로 바로 이동해 문맥을 다시 확인할 수 있습니다.
출처 아카이브 열기안녕하세요. TU치과 입니다.^^
우선은 치아 미백이 무엇인지, 필요로 한 치아상태를 먼저 확인을 해보도록 하겠습니다. !
치아미백이란?
변색된 치아 표면의 색을 하얗게 원래의 색으로 회복시키는 치료를 의미합니다.
개개인의 치아 상태와 변색의 정도를 파악하여 미백제를 도포해 특수광선을 조사해주는 방식으로 치료하게됩니다. 미백기를 사용해 짧은 시간에
좋은 효과를 얻을 수 있는 방법이며, 치아구석구석까지 꼼꼼하게 미백할 수 있습니다.
어떤 경우에 미백이 필요 할까요?
![[TU치과/티유치과] 치아변색?? 치아미백으로 해결! 관련 이미지 1](https://pub-9f2bb3498faf4d1d8714b41df24753e3.r2.dev/content/clinics/archive/4gpzbr1ext/naver_blog/tudental/assets/by_hash/c45121727815daff026037b86d2bccf81eea1e2e716e83699b33ea8e62ca6478.jpg)
1.치아색으로 인해, 컴플레스가 되는 경우
![[TU치과/티유치과] 치아변색?? 치아미백으로 해결! 관련 이미지 2](https://pub-9f2bb3498faf4d1d8714b41df24753e3.r2.dev/content/clinics/archive/4gpzbr1ext/naver_blog/tudental/assets/by_hash/d8e12ccf249ae5d6f5e7da42d37e8f29fa9a046e39586c48c812aae3158a0213.jpg)
2.커피,와인 등 색소가 있는 음료나 흡연으로 치아가 착색 된 경우
![[TU치과/티유치과] 치아변색?? 치아미백으로 해결! 관련 이미지 3](https://pub-9f2bb3498faf4d1d8714b41df24753e3.r2.dev/content/clinics/archive/4gpzbr1ext/naver_blog/tudental/assets/by_hash/1ee69a69b0ec6df22ca48430e876586de4f5f26cf6f4345493ee05cabac323f6.jpg)
3.치아가 변생이 된 경우
다양한 이유로 치아 미백을 고려 중이신 분들이 있으실거에요.!
![[TU치과/티유치과] 치아변색?? 치아미백으로 해결! 관련 이미지 4](https://pub-9f2bb3498faf4d1d8714b41df24753e3.r2.dev/content/clinics/archive/4gpzbr1ext/naver_blog/tudental/assets/by_hash/246b57a03eb55cfb524bbd69280906bf10499e1c275872dac6b0abc52ebf95e7.jpg)
미백 과정
어떻게 미백 시술이 진행 되는지 4단계로 나누어 그림으로 표현 해보았습니다.
TU치과만의 특별한 방법
![[TU치과/티유치과] 치아변색?? 치아미백으로 해결! 관련 이미지 5](https://pub-9f2bb3498faf4d1d8714b41df24753e3.r2.dev/content/clinics/archive/4gpzbr1ext/naver_blog/tudental/assets/by_hash/fbcd6bfe0ef6531a36433304f95750882be1b94cd7f71fd91563c8e0bd6195a8.jpg)
치아미백과 치아재광화 촉진을 한번에 진행!
![[TU치과/티유치과] 치아변색?? 치아미백으로 해결! 관련 이미지 6](https://pub-9f2bb3498faf4d1d8714b41df24753e3.r2.dev/content/clinics/archive/4gpzbr1ext/naver_blog/tudental/assets/by_hash/155151ffa2025120ed1ebd3ba973b3509492fff51eeb3f0fc6e2ff57cc7c566f.jpg)
미백 후, 약해지는 치아를 재광화하면서 미백이 될 수 있게 제조된 최고급제품 사용
![[TU치과/티유치과] 치아변색?? 치아미백으로 해결! 관련 이미지 7](https://pub-9f2bb3498faf4d1d8714b41df24753e3.r2.dev/content/clinics/archive/4gpzbr1ext/naver_blog/tudental/assets/by_hash/256479057dafe6d64eb21d89bf7b575e10e93f4a858d7463e2d3d27c8243f59c.jpg)
미백함유량이 높아 기존 미젝제품보다 효과 UP!
![[TU치과/티유치과] 치아변색?? 치아미백으로 해결! 관련 이미지 8](https://pub-9f2bb3498faf4d1d8714b41df24753e3.r2.dev/content/clinics/archive/4gpzbr1ext/naver_blog/tudental/assets/by_hash/221af758f36b849b3d98e4e44a8165507b7ee9bb68cd4089c33354d33560fe2d.jpg)
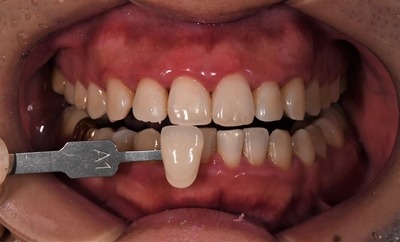
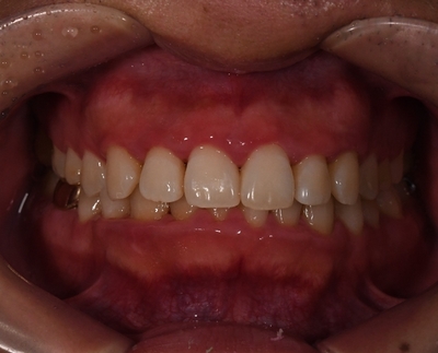
시술 전
![[TU치과/티유치과] 치아변색?? 치아미백으로 해결! 관련 이미지 9](https://pub-9f2bb3498faf4d1d8714b41df24753e3.r2.dev/content/clinics/archive/4gpzbr1ext/naver_blog/tudental/assets/by_hash/0053c917643e14d72f9236277da9ba0ad463c1666f132ad2705a095058910443.jpg)
시술 후
미백은 시술 직후 효과를 보실수 있으세요.
고민 중이셨다면, 고민 마시구 방문 해보세요 ^^