아카이브 요약
이 페이지의 역할
TU치과의원(티유치과)의 네이버 블로그 원문을 보존한 아카이브 페이지입니다. 치과상식 카테고리의 [TU치과/티유치과]임플란트 글을 통해 병원의 한국어 정보 제공 방식과 진료 관련 안내 톤을 확인할 수 있습니다.
원문 검증
필요하면 원문 블로그와 병원 프로필로 바로 이동해 문맥을 다시 확인할 수 있습니다.
출처 아카이브 열기아카이브된 블로그 글
치과의원(티유치과) · Naver Blog
안녕하세요. TU치과 입니다. TU치과의 임플란트를 소개합니다. 1.네비게이션 임플란트 2.당일 임플란트 3.UV임플란트 다양한 종류의 임플란트 수술방법이 있습니다. 각각 어떠한 장점이 있는지 한번 알아보도록 할게요 ! 네비게이션 임플란트란? 3D 컴퓨터 모의수술을 통해 최상의 수술방법을 결정하고 무절개 수술을 통해 적은...
게시일
2019년 10월 1일
원문 기준으로 확인된 발행일입니다.
카테고리
치과상식
원문 블로그 카테고리를 정리해 함께 표시합니다.
이미지 수
9
현재 아카이브에 연결된 이미지 수입니다.
아카이브 요약
TU치과의원(티유치과)의 네이버 블로그 원문을 보존한 아카이브 페이지입니다. 치과상식 카테고리의 [TU치과/티유치과]임플란트 글을 통해 병원의 한국어 정보 제공 방식과 진료 관련 안내 톤을 확인할 수 있습니다.
원문 검증
필요하면 원문 블로그와 병원 프로필로 바로 이동해 문맥을 다시 확인할 수 있습니다.
출처 아카이브 열기안녕하세요. TU치과 입니다.
TU치과의 임플란트를 소개합니다.
1.네비게이션 임플란트
2.당일 임플란트
3.UV임플란트
다양한 종류의 임플란트 수술방법이 있습니다.
각각 어떠한 장점이 있는지 한번 알아보도록 할게요 !
네비게이션 임플란트란?
3D 컴퓨터 모의수술을 통해 최상의 수술방법을 결정하고 무절개 수술을 통해 적은 통증으로 빠른 수술이 가능한 첨단 디지털방법입니다.
어떤 경우 네비게이션 임플란트가 가능(또는 필요) 한가요?(1) 치과시술에 대한 공포증이 있으신분
(2) 당뇨, 고혈압 등 전신질환 환자
(3)임플란트 시술 즉시 보출물체결을 원하시는 분
(4)학생, 직장인등 빠른 시술을 원하는 분
네비게이션 임플란트는 어떤점이 좋을까?
(1)시술오류예방
(3차원 CT 정밀검사하에 사전 모의수술과 수술가이드 사용)
(2) 짧은 시술 시간
(3)무절개 수술
(출혈과 붓기가 적어 빠른회복 가능)
(4) 내원횟수 감소
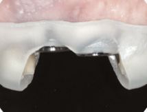
당일 임플란트(1 ay implant)란?
3당일 임플란트 시술은 치과 내원 후 진단부터 임플란트 식립까지 단 하루만에 끝나는 시술로 일반 임플란트의 경우 발치 및 회복, 식립, 임시보철물, 최종보철물까지 약 2개월에서 6개월이 소요되지만, 당일임플란트는 임시보철까지 모든과정을 하루만에 진행합니다.
당일 임플란트 시술은 시술기간을 짧게 단축하는 만큼 당일 시술에 앞서 3D CT와 구강스캐너를 이용하여 정밀검사를 통해 전반적인 구강상태와 치열을 확인하고 의료진과 충분한 상담을 통해 시술여부를 결정합니다.
어떤 경우 당일 임플란트가
가능(또는 필요) 한가요?
치아가 상실된 지 오랜 기간이 지나지 않은 경우
잇몸의 골 양이 풍부해 뼈이식술이 필요치 않는 경우
임플란트를 진행할 치아 주변이 건강한 상태
치주질환으로 치아를 바로 발치해야 하는 경우
잇몸과 턱뼈의 상태가 양호하며 앞니 임플란트의 경우
당일 임플란트 진행과정
[STETP1]전문 상담 진료 CT촬영 구강인상채득
[STETP2]가이드를 이용한 임플란트 시술
![[TU치과/티유치과]임플란트 관련 이미지 3](https://pub-9f2bb3498faf4d1d8714b41df24753e3.r2.dev/content/clinics/archive/4gpzbr1ext/naver_blog/tudental/assets/by_hash/8c68bc5744a16ce31fc6f56c37b1e8e1ee886ad6608d66d0418cb07a988bd86f.jpg)
[STETP3]보철물 장착
UV임플란트란?
빠른 골유착을 도와주는 UV임플란트
UV임플란트는 임플란트 시술 전 표면을 특정 파장의 자외선으로 처리 한 후에 인체에 적용 할 수 있도록 하는 임플란트입니다.
어떤 경우 UV 임플란트가 가능(또는 필요) 한가요?
(1) 골질이 약한 노인층 환자
(2) 전신질환자(당뇨,고혈압 등)
(3)임플란트 실패 경험하신 경우
(4) 뼈이식이 필요한 경우
(5) 발치 즉시 심는 케이스의 경우
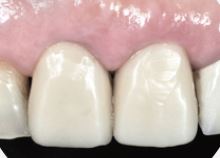
UV임플란의 특징 및 장점
임플란트는 환자의 턱뼈에 심어진다음 골형성 세포들이 임플란트를 턱뼈에 단단하게 고정을 시켜주어야만 비로소 그 위에 치아를 연결하고 사용을 할 수 있습니다. 이처럼 골형성 세포가 임플란트 주위에 골을 만들어서 단단히 고정을 시키는데에는 대략적으로 아래턱에서는 2-3개월, 위턱에서는 4-6개월이 걸립니다. 임플란트의 효과를 높이기위해 자외선 처리한 임플란트는 골을 형성하는 세포들의 활동이 2배이상 활발해지기때문에 임플란트가 골에 붙는 속도도 훨씬 빨라지고, 동시에 임플란트 표면에 달라붙는 골의 양도 획기적으로 증가합니다. 이러한 자외선 임플란트 효과는 2009년경부터 세계쩍으로 유명한 임플란트 관련 학술지에 50여편 이상의 논문이 발표되어있습니다.
(1) 초기 치유단계에서 중요한 골유착이 빠르게 진행
(2) 치료기간 단축 및 임플란트 성공률 향상
(3) 임플란트의 기대수명 증대
첨단 디지털 시스템으로 앞서나가는 "TU치과"
![[TU치과/티유치과]임플란트 관련 이미지 4](https://pub-9f2bb3498faf4d1d8714b41df24753e3.r2.dev/content/clinics/archive/4gpzbr1ext/naver_blog/tudental/assets/by_hash/ec6300a91be8f70fce299b7d6ee54077e28da05398098a496ac8dd089f61c9c5.png)
TRIOS[3D 구강스캐너 트리오스]
3D CAD-CAM 트리오스란?
유럽의 치과에서는 성인은 물론 어린이치과에도 트리오스 촬영을 하며,
초등 3000장 이미지로 2D를 3D 캐드캠으로 단 25초만에 스캔하는 검사 장비입니다.
[트리오스 장점]
복잡한 절차 없이 첨단 디지털 스캐너가 직접 스캔하여 빠르게 디자인 가능
빠른 스캔시간으로 3000장의 이미지를 23초만에 스캔
감염 걱정 NO 스캔 팁은 고압멸균장치로 관리
첨단 캐드 캠 시스템 첨단장비로 보철물을 정확하게 제작
맞춤형 보철물 트리오스장비로 정확하고, 퀄리티 높은 자연치아처럼 맞춤형 보형물 제작
트리오스 장비를 이용하여, 보다 정확하고, 편리하게 검사 할수 있습니다. 임플란트는 더 이상 두려워 하지 마시고, TU치과를 방문 해보세요 ^^
![[TU치과/티유치과]임플란트 관련 이미지 5](https://pub-9f2bb3498faf4d1d8714b41df24753e3.r2.dev/content/clinics/archive/4gpzbr1ext/naver_blog/tudental/assets/by_hash/e55870c6ef94f9a7b0b2f2bfa15e183d8f29e78dc8d7e17a837d131c07852fc5.jpg)
![[TU치과/티유치과]임플란트 관련 이미지 6](https://pub-9f2bb3498faf4d1d8714b41df24753e3.r2.dev/content/clinics/archive/4gpzbr1ext/naver_blog/tudental/assets/by_hash/46dc665a0059cd26c65193d17876177802a45745b3a186098046b6cde63d1282.jpg)
![[TU치과/티유치과]임플란트 관련 이미지 7](https://pub-9f2bb3498faf4d1d8714b41df24753e3.r2.dev/content/clinics/archive/4gpzbr1ext/naver_blog/tudental/assets/by_hash/c76f894c2a9bd8bb2db4d69bc6e3ad2a56e5dbf95fe0efc4070c324d897ef238.jpg)
![[TU치과/티유치과]임플란트 관련 이미지 8](https://pub-9f2bb3498faf4d1d8714b41df24753e3.r2.dev/content/clinics/archive/4gpzbr1ext/naver_blog/tudental/assets/by_hash/cbc0a0a3e2d589fcf7efa57aea815b259daa9bcffcc915ef2e3a5babb7c1e166.jpg)