아카이브 요약
이 페이지의 역할
TU치과의원(티유치과)의 네이버 블로그 원문을 보존한 아카이브 페이지입니다. 치료후기 카테고리의 TU 임플란트 치료사례 : 구치부, 브릿지 글을 통해 병원의 한국어 정보 제공 방식과 진료 관련 안내 톤을 확인할 수 있습니다.
원문 검증
필요하면 원문 블로그와 병원 프로필로 바로 이동해 문맥을 다시 확인할 수 있습니다.
출처 아카이브 열기아카이브된 블로그 글
치과의원(티유치과) · Naver Blog
안녕하세요! T 울면서 들어와서 U 웃으면서 나가는 티유치과 티둥이입니다 :) 충치, 잇몸병 등의 이유로 치아가 상실되면 ‘임플란트’ 치료를 시행하죠. 자연치아를 대체하는 보철물을 심는 치료인 만큼 굉장히 섬세한 기술력이 요구되고, 의료기관을 고르시는 것에 있어서도 신중을 기하시는 것이 좋은데요! 그래서 오늘은...
게시일
2021년 7월 16일
원문 기준으로 확인된 발행일입니다.
카테고리
치료후기
원문 블로그 카테고리를 정리해 함께 표시합니다.
이미지 수
4
현재 아카이브에 연결된 이미지 수입니다.
아카이브 요약
TU치과의원(티유치과)의 네이버 블로그 원문을 보존한 아카이브 페이지입니다. 치료후기 카테고리의 TU 임플란트 치료사례 : 구치부, 브릿지 글을 통해 병원의 한국어 정보 제공 방식과 진료 관련 안내 톤을 확인할 수 있습니다.
원문 검증
필요하면 원문 블로그와 병원 프로필로 바로 이동해 문맥을 다시 확인할 수 있습니다.
출처 아카이브 열기
안녕하세요!
T 울면서 들어와서 U 웃으면서 나가는
티유치과 티둥이입니다 :)
충치, 잇몸병 등의 이유로 치아가 상실되면
‘임플란트’ 치료를 시행하죠.
자연치아를 대체하는 보철물을 심는
치료인 만큼 굉장히 섬세한 기술력이 요구되고,
의료기관을 고르시는 것에 있어서도
신중을 기하시는 것이 좋은데요!
그래서 오늘은 #임플란트치료사례
포스팅을 준비해보았어요!
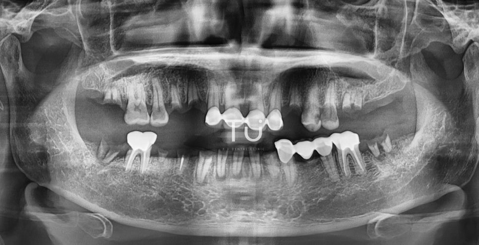
Before

50대 초반 여성 환자분으로,
치아가 많이 상실된 상태에서 내원해주셨습니다.
제대로 음식을 씹는 것도 힘들고,
통증이 있어 무척 괴로워하셨던 환자분입니다.
원래는 하악에 틀니를 착용하셨는데,
식사를 하시다가 아래 틀니가 부러지셨다고 해요.
환자분과 충분한 상담을 진행하였는데,
장기적으로 봤을 때 임플란트로 진행하는 것이
적합하다고 판단되어 치료를 시행하였습니다.
After

(픽스쳐 식립 후)
임플란트의 뿌리라고 할 수 있는
픽스쳐(fixture) 를 식립한 후의 모습입니다.
전반적으로 구치부의 식립이 많이 이루어졌죠.

(보철완료 후 최종)
임플란트의 머리 부분인 크라운(crown)까지
식립이 완료된 최종 After 입니다!
총 13개의 임플란트를 식립하였으며,
연결치아 6개로 총 치아개수 19개가 완성되었습니다.
힘든 수술이셨을텐데, 환자분의 협조도가 높아
더더욱 수월하게 마칠 수 있었답니다.
이전에는 식사시간이 너무 고통스러웠는데,
이제는 편안하게 식사를 할 수 있어
마음이 놓인다고 무척 좋아하셨어요 ☺
TU 임플란트
과거에는 임플란트의 수명, 성공률이
치료의 핵심이었지만 기술이 계속 발전함에 따라
수명과 성공률은 꾸준히 높아졌습니다.
그래서 지금은 이것에 더하여
“얼마나 자연치아와 유사한지”가 성공여부를
결정짓는 요소로 대두되고 있는데요.
본원은 환자분의 기존 뼈를 최대한 유지하여,
본래의 치아처럼 자연스러운 제작을 도와드립니다.
기능, 심미적 요소를 모두 충족하는
치료를 도와드리기 때문에 많은 분들이
본원을 선택해주시고 있답니다!
#임플란트치료사례 포스팅을 전해드렸는데요.
더 궁금한 사항이 있으시다면,
언제든 편하게 연락주시기 바라겠습니다 :)