아카이브 요약
이 페이지의 역할
TU치과의원(티유치과)의 네이버 블로그 원문을 보존한 아카이브 페이지입니다. 치과상식 카테고리의 철도의 날, 삐뚤빼뚤한 치아에 철도공사하세요! 티유치과[TU치과] 글을 통해 병원의 한국어 정보 제공 방식과 진료 관련 안내 톤을 확인할 수 있습니다.
원문 검증
필요하면 원문 블로그와 병원 프로필로 바로 이동해 문맥을 다시 확인할 수 있습니다.
출처 아카이브 열기아카이브된 블로그 글
치과의원(티유치과) · Naver Blog
안녕하세요. 웃음을 드리는 티유치과입니다. 오늘은 철도의 날을 맞아 삐뚤빼뚤한 치아에 철도공사, 치아교정에 대해 알려드리도록 하겠습니다. 철도의 날이란? 한국민족문화 대백과 한국민족문화 대백과에 따르면 기간 교통수단으로서의 철도의 의의를 높이고, 종사원들의 노고를 위로하기 위하...
게시일
2023년 6월 28일
원문 기준으로 확인된 발행일입니다.
카테고리
치과상식
원문 블로그 카테고리를 정리해 함께 표시합니다.
이미지 수
9
현재 아카이브에 연결된 이미지 수입니다.
아카이브 요약
TU치과의원(티유치과)의 네이버 블로그 원문을 보존한 아카이브 페이지입니다. 치과상식 카테고리의 철도의 날, 삐뚤빼뚤한 치아에 철도공사하세요! 티유치과[TU치과] 글을 통해 병원의 한국어 정보 제공 방식과 진료 관련 안내 톤을 확인할 수 있습니다.
원문 검증
필요하면 원문 블로그와 병원 프로필로 바로 이동해 문맥을 다시 확인할 수 있습니다.
출처 아카이브 열기안녕하세요.
웃음을 드리는 티유치과입니다.
오늘은 철도의 날을 맞아
삐뚤빼뚤한 치아에 철도공사,
치아교정에 대해 알려드리도록 하겠습니다.
![철도의 날, 삐뚤빼뚤한 치아에 철도공사하세요! 티유치과[TU치과] 관련 이미지 1](https://pub-9f2bb3498faf4d1d8714b41df24753e3.r2.dev/content/clinics/archive/4gpzbr1ext/naver_blog/tudental/assets/by_hash/a7b54b4dc1f2312be07b5ef81c438c9170a3fc0658c89b788dea8baa095e5c92.png)
철도의 날이란?
한국민족문화 대백과
![철도의 날, 삐뚤빼뚤한 치아에 철도공사하세요! 티유치과[TU치과] 관련 이미지 2](https://pub-9f2bb3498faf4d1d8714b41df24753e3.r2.dev/content/clinics/archive/4gpzbr1ext/naver_blog/tudental/assets/by_hash/edbd1e5468085b7920f25450571f5019d88c1687c484afa881972618acc2399f.png)
한국민족문화 대백과에 따르면
기간 교통수단으로서의 철도의 의의를 높이고,
종사원들의 노고를 위로하기 위하여
지정한 날이라고 합니다.
여러분,
삐뚤빼뚤한 치열 때문에
고민이신가요?
티유치과(TU치과)
![철도의 날, 삐뚤빼뚤한 치아에 철도공사하세요! 티유치과[TU치과] 관련 이미지 3](https://pub-9f2bb3498faf4d1d8714b41df24753e3.r2.dev/content/clinics/archive/4gpzbr1ext/naver_blog/tudental/assets/by_hash/2caea6f5c4e15086aca21695293526d668efdad455b7b55e6e7f06876a11bac6.png)
치아교정을 원하고
자발적으로 병원을 찾는 대부분은
청소년기 학생 혹은 사회 초년생들입니다.
고른 치열은 좋은 첫인상을 남기고
각종 미디어에 고른 치열을 가진 사람들이
많이 노출되다 보니
치아교정에 대한 관심이 높아질 수밖에 없습니다.
하지만 최근에는
연세가 있는 분들도
가지런하지 못한 치열 등에 스트레스를 받아
콤플렉스를 해결하고 싶다며
병원을 찾는 분들이 늘고 있습니다.
치아교정이 필요한 경우는
어떤 경우일까요?
티유치과(TU치과)
![철도의 날, 삐뚤빼뚤한 치아에 철도공사하세요! 티유치과[TU치과] 관련 이미지 4](https://pub-9f2bb3498faf4d1d8714b41df24753e3.r2.dev/content/clinics/archive/4gpzbr1ext/naver_blog/tudental/assets/by_hash/424e7ec55ee74be3c482dc1d44a1336a116a397371ca15f7f3b3249358e60356.png)
삐뚤어진 치아
벌어진 치아
위, 아래로 많이 덮이는 치아
뻐드렁니
돌출입
다양한 경우에 치아교정을 필요로 하는데,
위 예시 중 하나라도 해당이 된다면
치아교정 치료가 필요합니다.
치아교정을 하지 않으면 어떻게 되나요?
티유치과(TU치과)
치아교정이 필요한 분이
치아교정 치료를 받지 않으면
다양한 구강질환을 야기하게 됩니다.
예를 들어
고르지 못한 치열은
구강 내 이물질이 잘 끼게 되고
그로 인해 충치나 잇몸 염증을
발생시킬 수 있습니다.
교정치료를 받는 연령층이 다양해지는 만큼
교정장치 종류도 다양해지고 있습니다.
치아 교정 장치는
어떤 것들이 있을까요?
티유치과(TU치과)
![철도의 날, 삐뚤빼뚤한 치아에 철도공사하세요! 티유치과[TU치과] 관련 이미지 5](https://pub-9f2bb3498faf4d1d8714b41df24753e3.r2.dev/content/clinics/archive/4gpzbr1ext/naver_blog/tudental/assets/by_hash/9872889f7222ecb79f7b9fb6b38b7eb922b7a4168d6814b6ff1465a2381b9c6e.png)
메탈
세라믹
클리피씨
요즘 많이 찾으시는
대중적인 브라켓으로는
위 3가지가 있습니다.
심미적인 부분을 고려하시는 분이라면
메탈보다는 세라믹이나 클리피씨 장치를,
그중에서도 빠른 교정을 원하시는 분들은
대개 클리피씨를 선택하시게 됩니다.
티유치과에서는
심미적인 부분을 가장 고려하시는 분들을 위해
눈에 보이지 않는 설측교정(클리피엘)도
준비되어 있습니다.
![철도의 날, 삐뚤빼뚤한 치아에 철도공사하세요! 티유치과[TU치과] 관련 이미지 6](https://pub-9f2bb3498faf4d1d8714b41df24753e3.r2.dev/content/clinics/archive/4gpzbr1ext/naver_blog/tudental/assets/by_hash/60acc31116df23089a904e9e3f1205871c625808422689353c7e2e37972f966a.png)
말을 하거나 입을 벌리지 않는다면
눈에 띄지 않아
특수한 직업을 가지신 경우나
교정장치 노출에 대한 부담을 갖는 분들이
많이 선택하고 계십니다.
특히나 티유치과에서는
간단한 부분교정과
영구적인 미백효과까지 누릴 수 있는
티제로교정이 특화되어 있습니다.
티유치과에서는
티제로교정도 가능합니다.
티유치과(TU치과)
*티제로교정에 대해서는
다음번 포스팅 때 자세히
설명해 드리도록 하겠습니다.
그럼 티유치과에서 직접 치료한
실제 치아교정 치료 케이스에 대해
보여드리겠습니다.
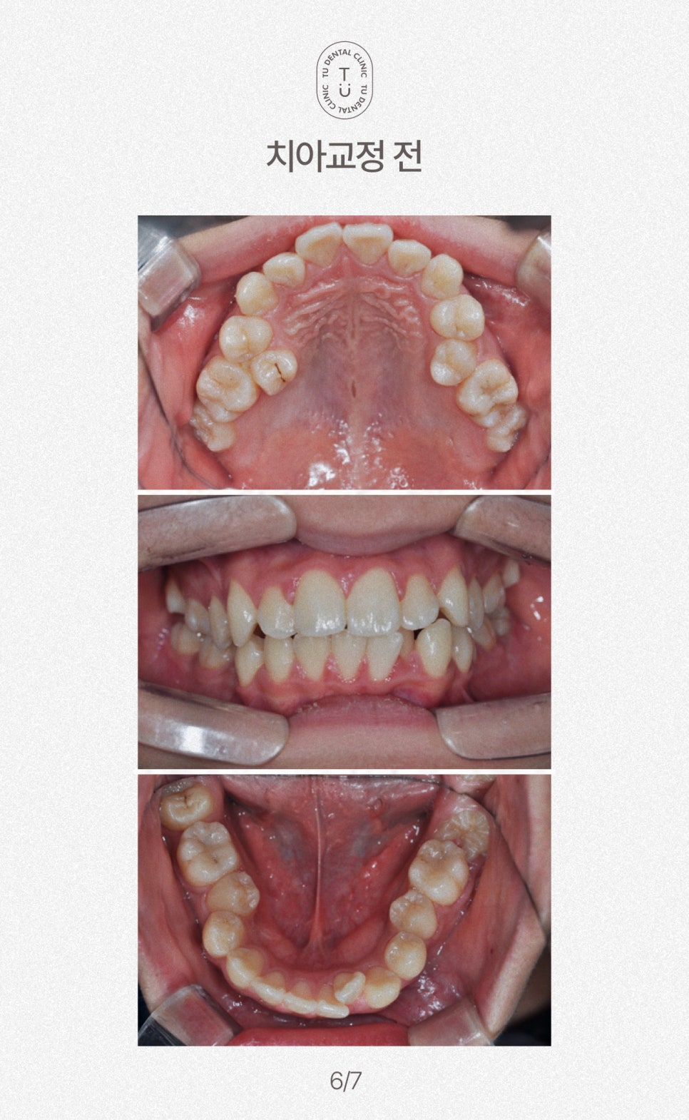
![철도의 날, 삐뚤빼뚤한 치아에 철도공사하세요! 티유치과[TU치과] 관련 이미지 7](https://pub-9f2bb3498faf4d1d8714b41df24753e3.r2.dev/content/clinics/archive/4gpzbr1ext/naver_blog/tudental/assets/by_hash/ccd34bc5a626ad46c5c027d052a0d3ce017e78bcf84cb9b7a0aab1ab42f09532.jpg)
치열이 고르지 못해
열심히 양치를 했음에도 불구하고
잦은 치은염으로 고생하시던 환자분이십니다.
저도 가지런한 치아를
가질 수 있을까요..?
티유치과 교정환자 박OO님
여러 곳의 치과 상담을 받고
오랫동안 치아교정을 고민하셨다고 하셨는데,
티유치과에서 진단받고는
교정을 시작하셨습니다.
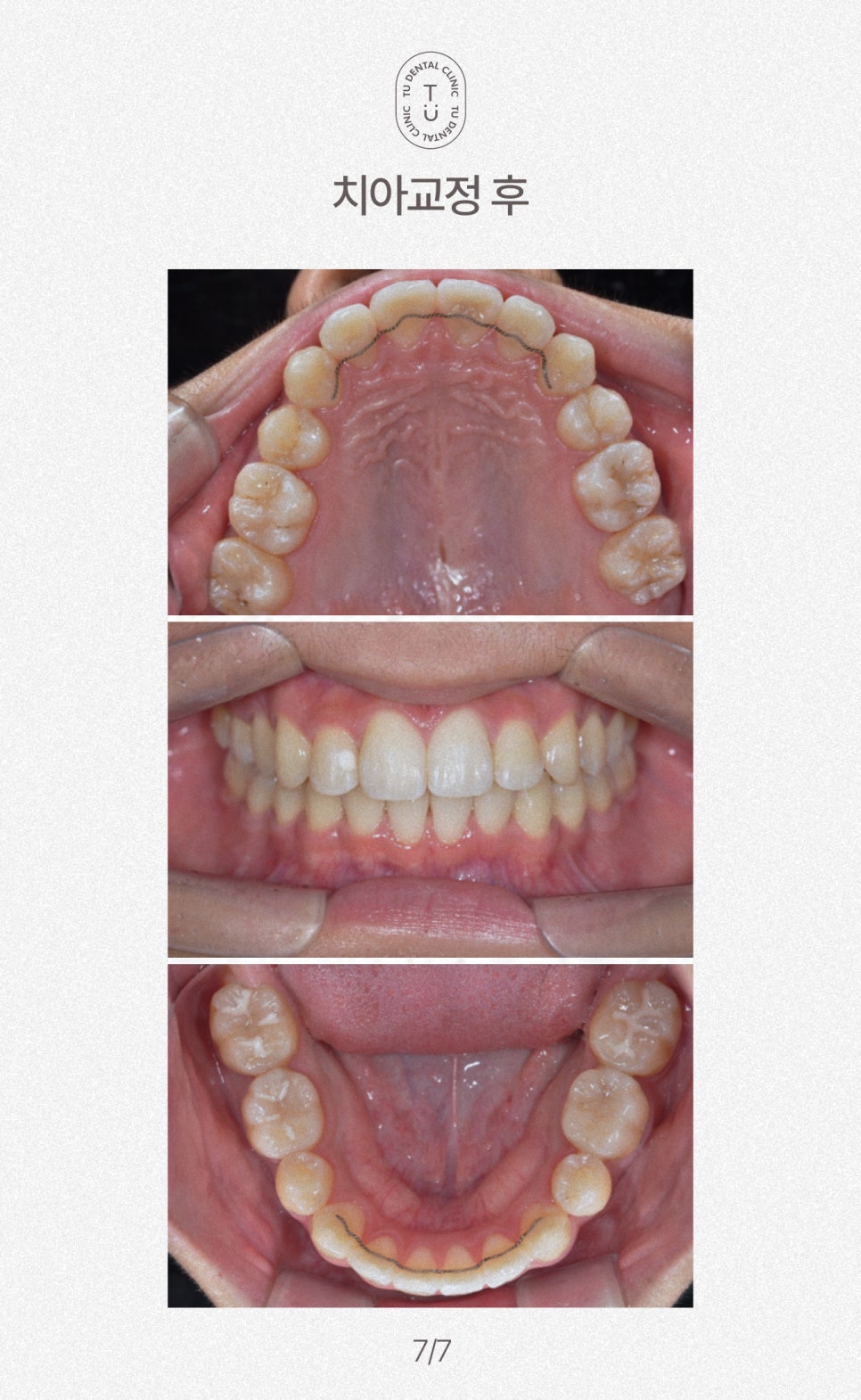
그럼 바로
치아교정 후 모습을 보여드리겠습니다.
![철도의 날, 삐뚤빼뚤한 치아에 철도공사하세요! 티유치과[TU치과] 관련 이미지 8](https://pub-9f2bb3498faf4d1d8714b41df24753e3.r2.dev/content/clinics/archive/4gpzbr1ext/naver_blog/tudental/assets/by_hash/b5ebdc6f997c85c12d50d7aaa35d95d2fd1573342c6e1784e97de27359c65217.jpg)
어떤가요?
정말 드라마틱 하게
가지런해진 치료 후의 모습이죠.
평생 이런
가지런한 치아를 가질 수 있을 거란
생각을 해 본 적이 없었어요...
티유치과 교정환자 박OO님
환자분 역시
평생 살면서 이런 가지런한 치아를
가질 수 있을 거란 생각을 하지 못하셨었다며
정말 만족해하셨습니다.
치아교정의 경우 평균 1~2년의
긴 시간을 치료받아야 되는 만큼
교정을 할 의지가 정말 있는지,
믿고 맡길 수 있는 병원, 치과의사인 지
꼭 확인하고 신중하게 선택하시기 바랍니다.
철도의 날을 맞아
치아에 가지런히 철도공사하세요
티유치과(TU치과)
웃음을 드리는 티유치과에서
자신 있는 미소를 되찾아 드리도록 하겠습니다.
오늘 포스팅 내용에 대해
추가적으로 궁금한 점이 있다면
댓글 또는 카카오 채널로 편히 문의주세요!
자세히 답변드리도록 하겠습니다.
오늘도 읽어주셔서 감사합니다.
Thank U
![철도의 날, 삐뚤빼뚤한 치아에 철도공사하세요! 티유치과[TU치과] 관련 이미지 9](https://pub-9f2bb3498faf4d1d8714b41df24753e3.r2.dev/content/clinics/archive/4gpzbr1ext/naver_blog/tudental/assets/by_hash/08b4ab98e3619416361b4492b5a9236749d6f5411b1aaf6ae454e82ae3dd6fc9.png)
사진을 누르시면 티유치과 카카오채널로 연결됩니다.