아카이브 요약
이 페이지의 역할
TU치과의원(티유치과)의 네이버 블로그 원문을 보존한 아카이브 페이지입니다. 제로네이트 카테고리의 치아 사이 구멍, 블랙트라이앵글 제로네이트로 해결하세요 글을 통해 병원의 한국어 정보 제공 방식과 진료 관련 안내 톤을 확인할 수 있습니다.
원문 검증
필요하면 원문 블로그와 병원 프로필로 바로 이동해 문맥을 다시 확인할 수 있습니다.
출처 아카이브 열기아카이브된 블로그 글
치과의원(티유치과) · Naver Blog
안녕하세요. 웃음을 드리는 티유치과입니다. 오늘은 블랙트라이앵글을 무삭제 라미네이트, 제로네이트로 치료한 케이스에 대해 설명해드리도록 하겠습니다. 블랙트라이앵글(Black triangle)이란? 티유치과(TU치과) 블랙트라이앵글이란 앞니 사이가 벌어진 것처럼 보이는 구멍입니다....
게시일
2023년 6월 30일
원문 기준으로 확인된 발행일입니다.
카테고리
제로네이트
원문 블로그 카테고리를 정리해 함께 표시합니다.
이미지 수
10
현재 아카이브에 연결된 이미지 수입니다.
아카이브 요약
TU치과의원(티유치과)의 네이버 블로그 원문을 보존한 아카이브 페이지입니다. 제로네이트 카테고리의 치아 사이 구멍, 블랙트라이앵글 제로네이트로 해결하세요 글을 통해 병원의 한국어 정보 제공 방식과 진료 관련 안내 톤을 확인할 수 있습니다.
원문 검증
필요하면 원문 블로그와 병원 프로필로 바로 이동해 문맥을 다시 확인할 수 있습니다.
출처 아카이브 열기안녕하세요.
웃음을 드리는 티유치과입니다.
오늘은 블랙트라이앵글을
무삭제 라미네이트, 제로네이트로
치료한 케이스에 대해
설명해드리도록 하겠습니다.

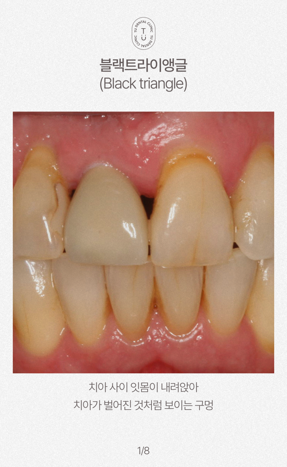
블랙트라이앵글(Black triangle)이란?
티유치과(TU치과)

블랙트라이앵글이란
앞니 사이가 벌어진 것처럼 보이는 구멍입니다.
그 구멍이
검정색 삼각형으로 보인다하여
'블랙 트라이앵글(Black triangle)'이라
불리고 있습니다.
너 치아에 검은 깨 꼈어
혹시 이런 말 들어보신 적 있으신가요?
들어보셨다면,
직접 보지 않았어도
마치 식사 후 양치를 제대로 하지 않은 것처럼
부끄러운 상황임이 분명합니다.
그럼 도대체 블랙트라이앵글은
왜 생기는 걸까요?

치아와 치아 사이는
치간유두라는 잇몸이 채우고 있습니다.
그런데 이 치간유두가 내려앉으면
블랙트라이앵글이 생기게 되는거죠.
치아는 반듯한 직사각형이 아닌
사다리꼴 모양을 하고 있기 때문에
잇몸쪽으로 갈수록 좁아지는 형태라
이 부분을 치간유두가 채우게 됩니다.

치간유두가 내려앉는 데에는
다양한 이유가 있지만,
그 중에도 대표적인 두 원인을 꼽는다면
잘못된 양치습관과 잇몸 염증이 있습니다.
치아를 깨끗하게 닦는다고
너무 힘을 주어 세게 닦으면
치간유두가 퇴축하게 됩니다.
또한 잇몸 염증이 있으면
전체적으로 잇몸이 가라앉게 되면서
여러 치아 사이에 크고 다양한 모양의
블랙트라이앵글이 생기게 됩니다.
그럼 블랙트라이앵글
어떻게 치료해야 될까요?
티유치과(TU치과)

치과에서 간단한 충치 치료를 할 때
주로 쓰이는 합성수지 재료입니다.
비교적 저렴하다는 장점이 있지만,
탈락이나 변색 가능성이 크고
레진의 표면을 아무리 잘 다듬는다 해도
치아표면보다 매끄럽게 만들 수는 없기 때문에
잘 관리하지 못하면
잇몸 염증의 원인이 될 수 있습니다.
치아교정

치아는 사다리꼴 모양을 하고 있기 때문에
사다리꼴 모양의 각 부분인
치아사이(치간)삭제를 통해
치아교정으로도 치료가 가능합니다.
전체적인 치열 모양 개선이
가능하다는 장점이 있지만,
멀쩡한 치아사이를 삭제해야 되고,
치료기간이 오래 걸린다는 단점이 있습니다.
제로네이트

치아삭제 없이 내 치아를 보존하면서
이질감 없이 가장 자연스럽게
치료할 수 있는 제로네이트입니다.
레진과 같이 탈락이나 변색에 대한 걱정이 없고,
치아교정처럼 시간이 오래 걸리지 않고
반영구적으로 사용 가능하다는 장점이 있습니다.
블랙트라이앵글
최고의 치료방법
제로네이트(ZERONATE)
티유치과(TU치과)

그럼 티유치과에서 직접 치료한
블랙트라이앵글 케이스에 대해
보여드리도록 하겠습니다.

치아가 전혀 답답해보이거나
커보이지 않으면서
자연스럽게 커버 된 모습입니다.
*치과에 내원하시면
제로네이트 책자가 구비되어 있습니다.
책자 안에는 수많은 제로네이트 치료 케이스가 있으니
직접 오셔서 눈으로 확인해보시면 좋을 것 같습니다.
이제 더이상 블랙트라이앵글 때문에
치아에 검은 깨 꼈다는 소리 듣지 마세요!
제로네이트로
자신있는 미소를 되찾아
드리도록 하겠습니다.
티유치과(TU치과)
오늘 포스팅 내용에 대해
추가적으로 궁금한 점이 있다면
댓글 또는 카카오 채널로 편히 문의주세요!
자세히 답변 드리도록 하겠습니다.
오늘도 읽어주셔서 감사합니다.
Thank U

사진을 누르시면 티유치과 카카오채널로 연결됩니다.