아카이브 요약
이 페이지의 역할
TU치과의원(티유치과)의 네이버 블로그 원문을 보존한 아카이브 페이지입니다. 치과상식 카테고리의 여름철, 이 시린이유가 뭘까요? 티유치과[TU치과] 글을 통해 병원의 한국어 정보 제공 방식과 진료 관련 안내 톤을 확인할 수 있습니다.
원문 검증
필요하면 원문 블로그와 병원 프로필로 바로 이동해 문맥을 다시 확인할 수 있습니다.
출처 아카이브 열기아카이브된 블로그 글
치과의원(티유치과) · Naver Blog
안녕하세요. 웃음을 드리는 티유치과입니다. 무더위가 지속되면서 집이나 회사, 대중교통 및 공공장소 등에서 에어컨을 가동시켜 시원한 온도를 유지하고 있습니다. 그리고도 더위를 가시기 위해 아이스 음료를 즐겨 드시곤 합니다. 이 글을 보시는 많은 분들도 차가운 바람에 차가운 음...
게시일
2023년 7월 5일
원문 기준으로 확인된 발행일입니다.
카테고리
치과상식
원문 블로그 카테고리를 정리해 함께 표시합니다.
이미지 수
8
현재 아카이브에 연결된 이미지 수입니다.
아카이브 요약
TU치과의원(티유치과)의 네이버 블로그 원문을 보존한 아카이브 페이지입니다. 치과상식 카테고리의 여름철, 이 시린이유가 뭘까요? 티유치과[TU치과] 글을 통해 병원의 한국어 정보 제공 방식과 진료 관련 안내 톤을 확인할 수 있습니다.
원문 검증
필요하면 원문 블로그와 병원 프로필로 바로 이동해 문맥을 다시 확인할 수 있습니다.
출처 아카이브 열기안녕하세요.
웃음을 드리는 티유치과입니다.
![여름철, 이 시린이유가 뭘까요? 티유치과[TU치과] 관련 이미지 1](https://pub-9f2bb3498faf4d1d8714b41df24753e3.r2.dev/content/clinics/archive/4gpzbr1ext/naver_blog/tudental/assets/by_hash/cc9ecbbdf875e6cd7acc81792f1c42e5c924ea80763ae897eca17a00b4f54490.png)
무더위가 지속되면서
집이나 회사, 대중교통 및 공공장소 등에서
에어컨을 가동시켜
시원한 온도를 유지하고 있습니다.
![여름철, 이 시린이유가 뭘까요? 티유치과[TU치과] 관련 이미지 2](https://pub-9f2bb3498faf4d1d8714b41df24753e3.r2.dev/content/clinics/archive/4gpzbr1ext/naver_blog/tudental/assets/by_hash/0c027c408e7b6d84064650eb1dd6b52ee7fb9515a8b54b209c3123979f8297da.png)
그리고도 더위를 가시기 위해
아이스 음료를 즐겨 드시곤 합니다.
이 글을 보시는 많은 분들도
차가운 바람에 차가운 음료
즐기고 계시지 않으신가요?
![여름철, 이 시린이유가 뭘까요? 티유치과[TU치과] 관련 이미지 3](https://pub-9f2bb3498faf4d1d8714b41df24753e3.r2.dev/content/clinics/archive/4gpzbr1ext/naver_blog/tudental/assets/by_hash/ab958eb37735b4b5f7e0f553dea47130e41f83b59a223f53a810675c7ab65adf.png)
때문에
여름철이 되면
"유독 치아가 시리다"고
내원하시는 환자분들이
급증하고 있습니다.
그럼 대체
치아가 시린 이유가 무엇일까요?
이가 시린이유
알려드립니다
티유치과(TU치과)
![여름철, 이 시린이유가 뭘까요? 티유치과[TU치과] 관련 이미지 4](https://pub-9f2bb3498faf4d1d8714b41df24753e3.r2.dev/content/clinics/archive/4gpzbr1ext/naver_blog/tudental/assets/by_hash/4b48b5f144d20791c593c4547ca94fcc0ee0ae8781788e76ccc9a7f23abb6aa0.png)
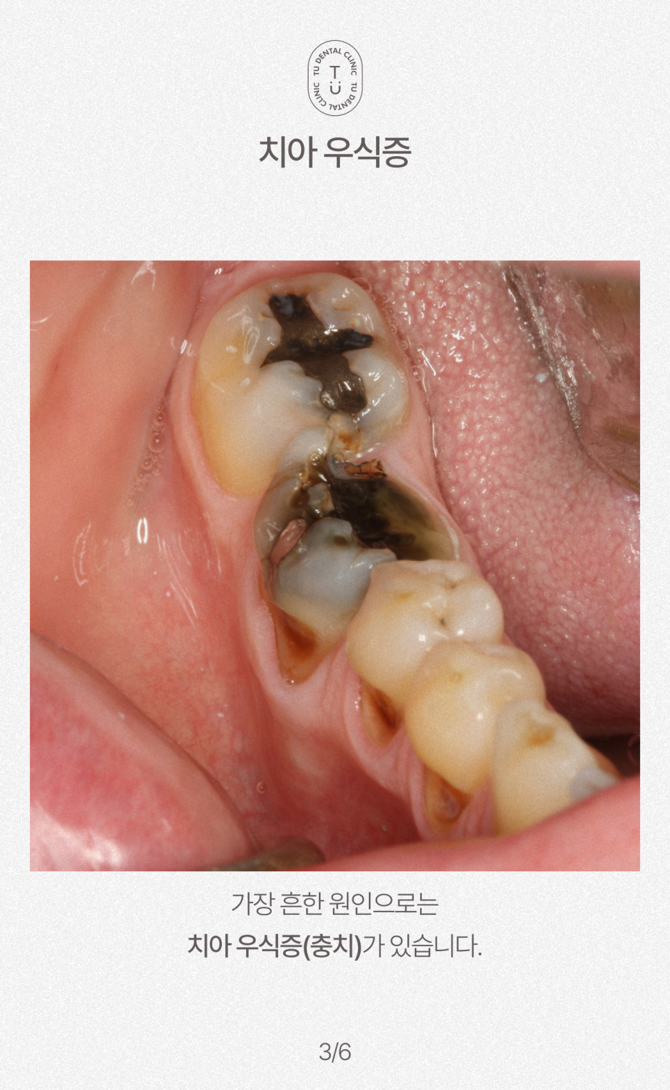
가장 흔한 원인으로
치아 우식증(충치)를 꼽을 수 있습니다.
초기 우식과 같은 심하지 않은 우식증의 경우엔
특별히 시림을 느끼지 않지만,
이를 방치하여 치아 신경까지 우식이 진행되면
점점 시린 증상을 느끼게 됩니다.
![여름철, 이 시린이유가 뭘까요? 티유치과[TU치과] 관련 이미지 5](https://pub-9f2bb3498faf4d1d8714b41df24753e3.r2.dev/content/clinics/archive/4gpzbr1ext/naver_blog/tudental/assets/by_hash/0282dd814d89e4b71b7eccb9899c433ebb2d090ea6ab7da8a314fd183ec8c7c7.png)
치경부란,
치아의 목 부분을 의미합니다.
따라서 치경부 마모증은
이 치아의 목 부분이 마모된 것을 의미합니다.
원인으로는 잘못된 양치습관이나
이 악물기 등의 생활습관으로 인해
치경부 마모증이 생기게 되는데,
이 경우에도 이 시림을 느낄 수 있습니다.
![여름철, 이 시린이유가 뭘까요? 티유치과[TU치과] 관련 이미지 6](https://pub-9f2bb3498faf4d1d8714b41df24753e3.r2.dev/content/clinics/archive/4gpzbr1ext/naver_blog/tudental/assets/by_hash/bde113376f1ffeb3277602c64de610f9be1cd778f652ee7ad7b7aa1a42008ace.png)
물리적인 힘에 의해
치아에 금이 가거나 파절된다면
치아 신경이 자극되어
시린 증상을 느끼게 됩니다.
![여름철, 이 시린이유가 뭘까요? 티유치과[TU치과] 관련 이미지 7](https://pub-9f2bb3498faf4d1d8714b41df24753e3.r2.dev/content/clinics/archive/4gpzbr1ext/naver_blog/tudental/assets/by_hash/05fc98f138f3f8750f81480e99e0af4a292afc56af2cbdd3a96a49a126f233fa.png)
치주질환(잇몸병)으로 인해
잇몸뼈가 녹은 경우에도
차가운 자극에 반응할 수 있습니다.
이 외에도 다양한 원인이 있지만
가장 대표되는 4가지 이유에 대해 설명드렸습니다.
앞서 말씀드린 4가지 경우에
하나라도 해당이 된다면
가급적 빠르게 치과에 방문해
치료를 받으시길 권해드립니다.
이 시림증상
더이상 방치하지 마세요!
티유치과(TU치과)
다음번 포스팅에선
이 시린이 치아를 어떻게 치료해야 하는지,
제로네이트로 시린이 치아를 치료한 케이스에 대해
설명드리도록 하겠습니다.
오늘 포스팅 내용에 대해
추가적으로 궁금한 점이 있다면
댓글 또는 카카오 채널로 편히 문의주세요!
자세히 답변 드리도록 하겠습니다.
오늘도 읽어주셔서 감사합니다.
Thank U
![여름철, 이 시린이유가 뭘까요? 티유치과[TU치과] 관련 이미지 8](https://pub-9f2bb3498faf4d1d8714b41df24753e3.r2.dev/content/clinics/archive/4gpzbr1ext/naver_blog/tudental/assets/by_hash/08b4ab98e3619416361b4492b5a9236749d6f5411b1aaf6ae454e82ae3dd6fc9.png)
사진을 누르시면 티유치과 카카오채널로 연결됩니다.