아카이브 요약
이 페이지의 역할
아름드리치과의원의 네이버 블로그 원문을 보존한 아카이브 페이지입니다. 치료이야기 카테고리의 아름드리치과 이현정원장 - 스케일링 왜 중요한가? 글을 통해 병원의 한국어 정보 제공 방식과 진료 관련 안내 톤을 확인할 수 있습니다.
원문 검증
필요하면 원문 블로그와 병원 프로필로 바로 이동해 문맥을 다시 확인할 수 있습니다.
출처 아카이브 열기아카이브된 블로그 글
아름드리치과의원 · Naver Blog
아름드리치과 이현정원장 - 스케일링 왜 중요한가? : 네이버 블로그 NAVER 블로그 아름드리치과 공식블로그입니다 블로그 검색 이 블로그에서 검색 첫 댓글을 남겨보세요 공유하기 블로그 주소 변경 불가 안내 블로그 마켓 판매자의 이력 관리를 위해 블로그 주소 변경이 불가합니다. 자세히 보기 레이어 닫기 블로그 아이디가 필요...
게시일
2016년 6월 28일
원문 기준으로 확인된 발행일입니다.
카테고리
치료이야기
원문 블로그 카테고리를 정리해 함께 표시합니다.
이미지 수
6
현재 아카이브에 연결된 이미지 수입니다.
아카이브 요약
아름드리치과의원의 네이버 블로그 원문을 보존한 아카이브 페이지입니다. 치료이야기 카테고리의 아름드리치과 이현정원장 - 스케일링 왜 중요한가? 글을 통해 병원의 한국어 정보 제공 방식과 진료 관련 안내 톤을 확인할 수 있습니다.
원문 검증
필요하면 원문 블로그와 병원 프로필로 바로 이동해 문맥을 다시 확인할 수 있습니다.
출처 아카이브 열기아름드리치과 이현정원장 - 스케일링 왜 중요한가? : 네이버 블로그
NAVER 블로그
아름드리치과 공식블로그입니다
블로그 검색
이 블로그에서 검색
첫 댓글을 남겨보세요
공유하기
블로그 주소 변경 불가 안내
블로그 마켓 판매자의 이력 관리를 위해
블로그 주소 변경이 불가합니다.
자세히 보기 레이어 닫기
블로그 아이디가 필요해요!
블로그에서 진짜 나를 기록하고
다양한 이웃과 소식을 만나보세요. 지금 시작해볼까요?
블로그 아이디 만들기 블로그 아이디 만들기 레이어 닫기
blog.naver.com/
입력 내용 삭제
설정한 아이디는 나중에 변경할 수 없으니 신중하게 입력해주세요.
변경 전 공유된 블로그/글/클립 링크는 연결이 끊길 수 있습니다.
네이버 아이디 또는 개인정보가 포함된 문자 사용은 피해주세요.
블로그 도움말에서 아이디 변경 유의사항을 확인해보세요.
나중에 할게요
3개월간 새로운 주소로 연결을 지원하며
이후 언제든 연결이 끊길 수 있습니다.
다시 변경이 불가능합니다.
변경하시겠습니까?
취소 확인
블로그 아이디는 한번 정하면
다시 변경이 불가능합니다.
이 아이디로 블로그를 만들까요?
취소 확인
환영합니다!
블로그 아이디가 만들어졌어요.
blog.naver.com/
바로 시작하기 추가정보 입력하기
나중에 언제든지 변경할 수 있어요.
프로필 이미지 설정
지우기
사진 업로드
취소 적용
별명
블로그명
블로그 주제 주제 없음
엔터테인먼트·예술
문학·책
영화
미술·디자인
공연·전시
음악
드라마
스타·연예인
만화·애니
방송
생활·노하우·쇼핑
일상·생각
육아·결혼
반려동물
좋은글·이미지
패션·미용
인테리어·DIY
요리·레시피
상품리뷰
원예·재배
취미·여가·여행
게임
스포츠
사진
자동차
취미
국내여행
세계여행
맛집
지식·동향
IT·컴퓨터
사회·정치
건강·의학
비즈니스·경제
어학·외국어
교육·학문
주제없음
주제 선택 보류
나중에 할게요
기본정보 입력 주제 선택 이웃 맺기
뒤로가기 버튼
선택한 주제의 글과 이웃을 추천받을 수 있어요.
나중에 할게요
기본정보 입력 주제 선택 이웃 맺기
뒤로가기 버튼
이웃을 맺으면 이웃새글에서 글을 받아볼 수 있어요.
블로그 시작하기
기본정보 입력 주제 선택 이웃 맺기
뒤로가기 버튼
확인
확인
이웃추가 이웃
메뉴 바로가기 본문 바로가기
내 블로그
이웃블로그
블로그 홈
로그인
검색어 켜기
-->
| 프롤로그 블로그 치료이야기 아름드리:정보 | 지도 안부 |
| 아름드리치과 공식블로그입니다 |
글쓰기
가벼운 글쓰기툴 퀵에디터가 오픈했어요!
| | | |
| 공지글 글 제목 | 작성일 | |
|---|---|---|
| (2) 공지 테일러비니어 :: 누런 치아, 돌출된 앞니 때문에 고민이라면 | 2025. 6. 11. |
| | | |
| | | |
| | 치료이야기 193개의 글 치료이야기목록열기 | |
| | | |
| | | |
치료이야기
아름드리치과 이현정원장 - 스케일링 왜 중요한가?
아름드리치과
・ 2016. 6. 28. 17:38
URL 복사
이웃추가
본문 기타 기능
공유하기
신고하기

스켈링 받으세요~
치과에 가면 항상 듣는 얘기지 않을까요?
치과의사인 저 역시 기본적으로 가장 많이 하는 말도..역시
스케일링 받으세요~ 스케일링 받으러 오세요~
스케일링 "이거 할때마다 피도나고 아픈데... 왜 자꾸 하라고 하는지... 하고나면 이도 시리고 치아가 망가지는 거 같은데, 정말 하기 싫다." 대부분 이런 생각들을 하시리라..생각됩니다.
그래서 제가 가장 많이 듣는 말이 " 스켈링 받기 너무~싫어요. " 입니다.
도대체 그놈의 스켈링은 왜 해야하는 거고 왜 중요한걸까요?
우리 입속에는 정말 셀수없을 정도로 엄청나게 많은 세균들이 살고 있습니다.

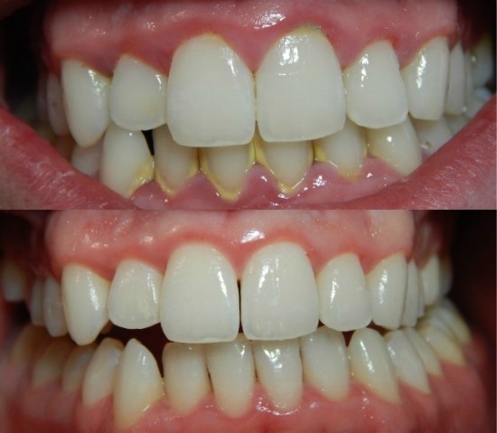
이 어마어마한 세균들이 음식물 찌꺼기 그리고 침속에 있는 칼슘성분이 엉켜서 단단하게 굳은 것이 바로 치석 입니다.

사진출처- https://en.wikipedia.org/wiki/Dental_plaque (위- 치석제거 전/ 아래- 치석제거 후)
치석!!이 녀석에 대해 알아볼까요?
치석은 치아와 잇몸 사이를 파고들어가면서 자랍니다. 이때 치아뿌리를 감싸고 있는 잇몸뼈가 녹아들어갑니다. 이 과정이 아프다면 미리 예방할텐데.... 불행히도 이 과정은 전혀 아프지가 않다는거죠;; 바로 이것이 큰 문제입니다. 병은 진행이 되는데, 아프지가 않다는겁니다. 그렇다보니 치석이 잇몸뼈를 다 녹아내려가도 전혀 증상을 느끼지 못하는 경우도 많습니다.


" 어느날 치아가 흔들리는 거 같아서 치과에 갔더니 이를 뽑으라고 했어요." 이런 경험이 있으신 분들이 많을텐데, 치아를 단단히 잡아주어야 할 잇몸뼈가 다 녹아내렸으니, 방법이 없겠죠?
녹아내린 뼈를 다시 복구하는 방법이 없냐고 물으시는 분들이 많으신데 이미 오염된 치아주변으로는 뼈가 복구가 절대로!!!! 되지 않습니다. 그래서 풍치(치주병)이 무서운 병이랍니다.
잇몸병엔 인사돌이나 이가탄을 먹으면 되지 않나요?
이렇게 인사돌이나 이가탄을 먹으면 치료된다고 생각하시는 분들 많으신데.. 이런 약들 또한 치료 효과가 없다고 이미 판명되었습니다.
그래도 먹고싶다 하시는 분들은 "잇몸 치료제가 아닌 잇몸 영양제다"...라고 생각하시고 3개월 이상 장복하신다면 추천을 드리긴합니다. 그러나 명심하세요. 절대로 치료제가 아니라는 사실을요.
풍치, 잇몸병, 치주병... 이 병의 원인은 치석이구요. 치료방법은 미리미리 치석을 제거하는 것 밖에는 없습니다.
그!래!서 " 스케일링 하세요 " 란 말을 입에 달고 살죠~
스케일링이 얼마나 중요하면, 나라에서 1년에 한번 스켈링을 받으라고 보험혜택을 주겠어요~
스케일링 건강보험 적용은 1년에 1회 적용 되는데 그 주기가 7월부터 바뀌기 때문에 아직 1회 적용을 받지 않으신 분들은 6월 말까지 스케일링 보험혜택 받으러 치과에 방문하시기 바랍니다.
스케일링 보험혜택 후 비용은 치과 의원은 진찰료를 포함해 본인부담금으로 약 1만3000원, 치과 병원에서는 1만9000원 정도입니다.
그 동안 스케일링에 대한
오해와 두려움은 잊으시고~
건강한 치아관리를 위해 1년에 한번 ,
눈 딱 감고 스켈링을 받도록 해요약속
치과가 무서워서 혹은, 귀찮아서 치과진료를 미루신다면 간단히 예방하고 치료 할 수 있는 것도 병을 크게 키우게 되는 겁니다.

치아관리의 기본중에 기본!! 스케일링과 정기점진 잊지마세요~