아카이브 요약
이 페이지의 역할
아름드리치과의원의 네이버 블로그 원문을 보존한 아카이브 페이지입니다. 치료이야기 카테고리의 앞니 충치,앞니변색은 라미네이트로 해결(라미네이트가격문의) 글을 통해 병원의 한국어 정보 제공 방식과 진료 관련 안내 톤을 확인할 수 있습니다.
원문 검증
필요하면 원문 블로그와 병원 프로필로 바로 이동해 문맥을 다시 확인할 수 있습니다.
출처 아카이브 열기아카이브된 블로그 글
아름드리치과의원 · Naver Blog
앞니 충치,앞니변색은 라미네이트로 해결(라미네이트가격문의) : 네이버 블로그 NAVER 블로그 아름드리치과 공식블로그입니다 블로그 검색 이 블로그에서 검색 공감 0 칭찬 0 감사 0 웃김 0 놀람 0 슬픔 0 span.u_likeit_button) 공감 face 3개 (전체)) --> 공감 0 공감 0 칭찬 0 감사 0...
게시일
2016년 12월 2일
원문 기준으로 확인된 발행일입니다.
카테고리
치료이야기
원문 블로그 카테고리를 정리해 함께 표시합니다.
이미지 수
4
현재 아카이브에 연결된 이미지 수입니다.
아카이브 요약
아름드리치과의원의 네이버 블로그 원문을 보존한 아카이브 페이지입니다. 치료이야기 카테고리의 앞니 충치,앞니변색은 라미네이트로 해결(라미네이트가격문의) 글을 통해 병원의 한국어 정보 제공 방식과 진료 관련 안내 톤을 확인할 수 있습니다.
원문 검증
필요하면 원문 블로그와 병원 프로필로 바로 이동해 문맥을 다시 확인할 수 있습니다.
출처 아카이브 열기앞니 충치,앞니변색은 라미네이트로 해결(라미네이트가격문의) : 네이버 블로그
NAVER 블로그
아름드리치과 공식블로그입니다
블로그 검색
이 블로그에서 검색
공감 0
칭찬 0
감사 0
웃김 0
놀람 0
슬픔 0
span.u_likeit_button) 공감 face 3개 (전체)) -->
공감 0
공감 0
칭찬 0
감사 0
웃김 0
놀람 0
슬픔 0
댓글
1
공유하기
블로그 주소 변경 불가 안내
블로그 마켓 판매자의 이력 관리를 위해
블로그 주소 변경이 불가합니다.
자세히 보기 레이어 닫기
블로그 아이디가 필요해요!
블로그에서 진짜 나를 기록하고
다양한 이웃과 소식을 만나보세요. 지금 시작해볼까요?
블로그 아이디 만들기 블로그 아이디 만들기 레이어 닫기
blog.naver.com/
입력 내용 삭제
설정한 아이디는 나중에 변경할 수 없으니 신중하게 입력해주세요.
변경 전 공유된 블로그/글/클립 링크는 연결이 끊길 수 있습니다.
네이버 아이디 또는 개인정보가 포함된 문자 사용은 피해주세요.
블로그 도움말에서 아이디 변경 유의사항을 확인해보세요.
나중에 할게요
3개월간 새로운 주소로 연결을 지원하며
이후 언제든 연결이 끊길 수 있습니다.
다시 변경이 불가능합니다.
변경하시겠습니까?
취소 확인
블로그 아이디는 한번 정하면
다시 변경이 불가능합니다.
이 아이디로 블로그를 만들까요?
취소 확인
환영합니다!
블로그 아이디가 만들어졌어요.
blog.naver.com/
바로 시작하기 추가정보 입력하기
나중에 언제든지 변경할 수 있어요.
프로필 이미지 설정
지우기
사진 업로드
취소 적용
별명
블로그명
블로그 주제 주제 없음
엔터테인먼트·예술
문학·책
영화
미술·디자인
공연·전시
음악
드라마
스타·연예인
만화·애니
방송
생활·노하우·쇼핑
일상·생각
육아·결혼
반려동물
좋은글·이미지
패션·미용
인테리어·DIY
요리·레시피
상품리뷰
원예·재배
취미·여가·여행
게임
스포츠
사진
자동차
취미
국내여행
세계여행
맛집
지식·동향
IT·컴퓨터
사회·정치
건강·의학
비즈니스·경제
어학·외국어
교육·학문
주제없음
주제 선택 보류
나중에 할게요
기본정보 입력 주제 선택 이웃 맺기
뒤로가기 버튼
선택한 주제의 글과 이웃을 추천받을 수 있어요.
나중에 할게요
기본정보 입력 주제 선택 이웃 맺기
뒤로가기 버튼
이웃을 맺으면 이웃새글에서 글을 받아볼 수 있어요.
블로그 시작하기
기본정보 입력 주제 선택 이웃 맺기
뒤로가기 버튼
확인
확인
이웃추가 이웃
메뉴 바로가기 본문 바로가기
내 블로그
이웃블로그
블로그 홈
로그인
검색어 켜기
-->
| 프롤로그 블로그 치료이야기 아름드리:정보 | 지도 안부 |
| 아름드리치과 공식블로그입니다 |
글쓰기
가벼운 글쓰기툴 퀵에디터가 오픈했어요!
| | | |
| 공지글 글 제목 | 작성일 | |
|---|---|---|
| (2) 공지 테일러비니어 :: 누런 치아, 돌출된 앞니 때문에 고민이라면 | 2025. 6. 11. |
| | | |
| | | |
| | 치료이야기 193개의 글 치료이야기목록열기 | |
| | | |
| | | |
치료이야기
앞니 충치,앞니변색은 라미네이트로 해결(라미네이트가격문의)
아름드리치과
・ 2016. 12. 2. 16:27
URL 복사
이웃추가
본문 기타 기능
공유하기
신고하기

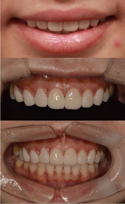
오늘 풀어볼 치아 이야기는 견과류를 앞니로 많이~ 드시는 습관을 갖고 있는 외국인입니다. 이분의 고향에서는 맥주를 시켜도, 커피를 시켜도 씨앗(해바라기씨, 호박씨 등등)을 준다네요.. 모두들 앞니로 씨앗을 까서 먹는 풍습?을 갖고 있다고 합니다. (우리나라는 뻥튀기 주나??) 역시 이분의 치아는 씹는면쪽이 많이 닳아있고 앞으로 돌출되어 보이는 형태를 갖고 있으며, 충치까지 확인되는 상황입니다.
현재 필요한 건 무엇?

치아가 갈린 모양이 스마일 라인에도 맞지 않아 라미네이트 치료 결정!
TIP)라미네이트 치료법에 대해선 기존에 올려둔 포스팅 참고하세요. http://blog.naver.com/leeefeeel/220786256960

앞으로 뻐드러져 보이던 것도 안으로 들어가 보이고 치아색상, 모양 모두 여성스럽게 곱게? 자리 잡았네요
환자분도 만족하셔서 마무리! 앞니 라미네이트 치료 후 주의하셔야 하는 사항 예쁜 치.아 오래 사용하기 위해 갈비 뜯기 등은 어금니에 양보하셔야 합니다.

항상 정직하고 안 아프게 치/료하는 아름드리치/과가 되겠습니다.
모두 좋은 하루 보내세요!