아카이브 요약
이 페이지의 역할
아름드리치과의원의 네이버 블로그 원문을 보존한 아카이브 페이지입니다. 치료이야기 카테고리의 앞니 크라운 재치료 & 잇몸성형 _건강하게 . 예뻐지는 방법 글을 통해 병원의 한국어 정보 제공 방식과 진료 관련 안내 톤을 확인할 수 있습니다.
원문 검증
필요하면 원문 블로그와 병원 프로필로 바로 이동해 문맥을 다시 확인할 수 있습니다.
출처 아카이브 열기아카이브된 블로그 글
아름드리치과의원 · 아름드리치과 공식블로그입니다
앞니 크라운 재치료 & 잇몸성형 _건강하게 . 예뻐지는 방법 : 네이버 블로그 NAVER 블로그 아름드리치과 공식블로그입니다 블로그 검색 이 블로그에서 검색 공감 0 칭찬 0 감사 0 웃김 0 놀람 0 슬픔 0 span.u_likeit_button) 공감 face 3개 (전체)) --> 공감 0 공감 0 칭찬 0 감사 0...
게시일
2016년 12월 28일
원문 기준으로 확인된 발행일입니다.
카테고리
치료이야기
원문 블로그 카테고리를 정리해 함께 표시합니다.
이미지 수
10
현재 아카이브에 연결된 이미지 수입니다.
아카이브 요약
아름드리치과의원의 네이버 블로그 원문을 보존한 아카이브 페이지입니다. 치료이야기 카테고리의 앞니 크라운 재치료 & 잇몸성형 _건강하게 . 예뻐지는 방법 글을 통해 병원의 한국어 정보 제공 방식과 진료 관련 안내 톤을 확인할 수 있습니다.
원문 검증
필요하면 원문 블로그와 병원 프로필로 바로 이동해 문맥을 다시 확인할 수 있습니다.
출처 아카이브 열기앞니 크라운 재치료 & 잇몸성형 _건강하게 . 예뻐지는 방법 : 네이버 블로그
NAVER 블로그
아름드리치과 공식블로그입니다
블로그 검색
이 블로그에서 검색
공감 0
칭찬 0
감사 0
웃김 0
놀람 0
슬픔 0
span.u_likeit_button) 공감 face 3개 (전체)) -->
공감 0
공감 0
칭찬 0
감사 0
웃김 0
놀람 0
슬픔 0
댓글
8
공유하기
블로그 주소 변경 불가 안내
블로그 마켓 판매자의 이력 관리를 위해
블로그 주소 변경이 불가합니다.
자세히 보기 레이어 닫기
블로그 아이디가 필요해요!
블로그에서 진짜 나를 기록하고
다양한 이웃과 소식을 만나보세요. 지금 시작해볼까요?
블로그 아이디 만들기 블로그 아이디 만들기 레이어 닫기
blog.naver.com/
입력 내용 삭제
설정한 아이디는 나중에 변경할 수 없으니 신중하게 입력해주세요.
변경 전 공유된 블로그/글/클립 링크는 연결이 끊길 수 있습니다.
네이버 아이디 또는 개인정보가 포함된 문자 사용은 피해주세요.
블로그 도움말에서 아이디 변경 유의사항을 확인해보세요.
나중에 할게요
3개월간 새로운 주소로 연결을 지원하며
이후 언제든 연결이 끊길 수 있습니다.
다시 변경이 불가능합니다.
변경하시겠습니까?
취소 확인
블로그 아이디는 한번 정하면
다시 변경이 불가능합니다.
이 아이디로 블로그를 만들까요?
취소 확인
환영합니다!
블로그 아이디가 만들어졌어요.
blog.naver.com/
바로 시작하기 추가정보 입력하기
나중에 언제든지 변경할 수 있어요.
프로필 이미지 설정
지우기
사진 업로드
취소 적용
별명
블로그명
블로그 주제 주제 없음
엔터테인먼트·예술
문학·책
영화
미술·디자인
공연·전시
음악
드라마
스타·연예인
만화·애니
방송
생활·노하우·쇼핑
일상·생각
육아·결혼
반려동물
좋은글·이미지
패션·미용
인테리어·DIY
요리·레시피
상품리뷰
원예·재배
취미·여가·여행
게임
스포츠
사진
자동차
취미
국내여행
세계여행
맛집
지식·동향
IT·컴퓨터
사회·정치
건강·의학
비즈니스·경제
어학·외국어
교육·학문
주제없음
주제 선택 보류
나중에 할게요
기본정보 입력 주제 선택 이웃 맺기
뒤로가기 버튼
선택한 주제의 글과 이웃을 추천받을 수 있어요.
나중에 할게요
기본정보 입력 주제 선택 이웃 맺기
뒤로가기 버튼
이웃을 맺으면 이웃새글에서 글을 받아볼 수 있어요.
블로그 시작하기
기본정보 입력 주제 선택 이웃 맺기
뒤로가기 버튼
확인
확인
이웃추가 이웃
메뉴 바로가기 본문 바로가기
내 블로그
이웃블로그
블로그 홈
로그인
검색어 켜기
-->
| 프롤로그 블로그 치료이야기 아름드리:정보 | 지도 안부 |
| 아름드리치과 공식블로그입니다 |
글쓰기
가벼운 글쓰기툴 퀵에디터가 오픈했어요!
| | | |
| 공지글 글 제목 | 작성일 | |
|---|---|---|
| (2) 공지 테일러비니어 :: 누런 치아, 돌출된 앞니 때문에 고민이라면 | 2025. 6. 11. |
| | | |
| | | |
| | 치료이야기 193개의 글 치료이야기목록열기 | |
| | | |
| | | |
치료이야기
앞니 크라운 재치료 & 잇몸성형 _건강하게 . 예뻐지는 방법
아름드리치과
・ 2016. 12. 28. 12:11
URL 복사
이웃추가
본문 기타 기능
공유하기
신고하기

황금 같은 시간 투자 피 같은 비용 투자 五福 중에 하나인 치아를 투자한 앞니성형
얼굴 성형만큼이나 중요한 치아 성형 많은 것을 투자한 내 앞니 어떻게 하면 건강하고 예쁜 치아가 될 수 있을까요?

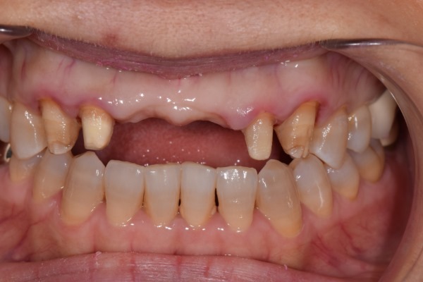
윗니 치아 3번부터 - 3번까지 6개 치아를 브릿지(연결되어 있는 크라운)로 예전에 치료 경험 있는 환자분이 오셨어요. 위 환자분께서는 안쪽엔 금속(메탈)을 포함하고 겉면은 치아색인 PFM 크라운을 사용 중이셨어요.
앞니에 이러한 PFM을 사용 시 치아와 잇몸라인 쪽에 지금처럼 검은 선이 생기게 되죠. 또한 치아 색도 원래의 자가치아보다 색감이 어둡게 나올 수밖에 없습니다. (자가 치아의 색은 약간의 투명감을 띄고 있죠)
앞니는 앞에서도 말씀드렸다시피 그 어떤 성형수술보다도 얼굴 인상에 큰 영향을 미치게 됩니다.


환자분은 기존 앞니에 많은 불만을 갖고 계셨어요.
하나하나씩 하지만 한꺼번에 해결해야겠죠.

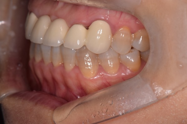
옆모습 사진이에요. 조금 흔들렸네요.

진료실용 DSLR로 다시 한번 촬영했습니다. 측면에서 다시 보니 치아가 앞으로 뻗으러져 보이기도 하네요.

일단 기존의 크라운을 제거한 후 잇몸라인을 정리해야 할 것 같죠? 잇몸성형을 함께 진행 한 후

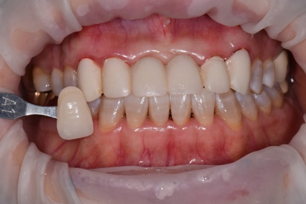
새로운 크라운의 색을 결정해야 합니다. 치아색은 새로 하는 6개 치아만은 생각해선 안되겠죠. 주변 치아와의 색의 조합, 크기,모양의 조합도 생각해야 합니다.
일단 잇몸성형 후의 잇몸이 안정된 후 치아의 본을 뜨고 , 세팅을 하게 되는데 아무리 바빠도 잇몸이 아물어 가는 시간은 인내하고 참으셔야 합니다.
요즘은 보철물(크라운)제작 기술이 매우 좋아져 이전처럼 입안 가득 본뜨는 치과재료를 넣을 필요가 없습니다.
3D 프린터로 구강 내의 다각도 촬영 후 컴퓨터를 이용하여 정교하게 보철물을 만들어 냅니다.
치아의 색감과 표면의 표현 등은 전문치과기공사의 손을 거쳐 당일 세팅까지 하루 프로그램이 가능한 세상입니다.
물론, 아름드리 치/과에도 디지털 프로그램이 준비되어 있다는 깨알 자랑~^^

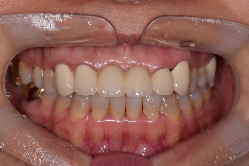
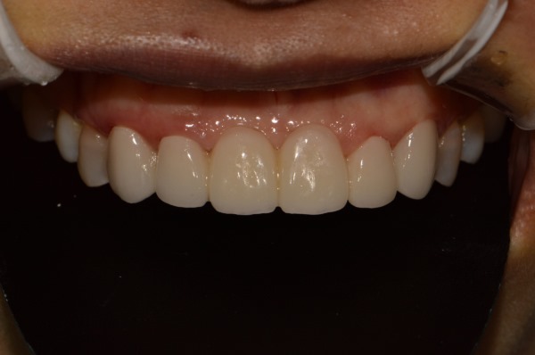
위 사진은 잇.몸.성.형 후 올세라믹 크라운 세팅하셨네요.
치아의 투명도, 크기 ,모양, 잇몸라인 꽤 괜찮아 보입니다. 환자분도 만족하셨고요.
여기서 잠깐. 눈치채셨나요?

잇몸라인의 확실한 변화 아래 사진처럼 잇몸라인의 굴곡은 어느 정도 확실하게 표현되어야 합니다. 통자 몸매가 예쁘지 않듯, 잇몸라인의 굴곡도 있어야 예쁘겠죠?
앞니 크라운 치/료시 도움이 되셨으면 합니다.
포스팅 읽고 그냥 가지 마시고 하트 꾸~욱 누르기!!