아카이브 요약
이 페이지의 역할
아름드리치과의원의 네이버 블로그 원문을 보존한 아카이브 페이지입니다. 치료이야기 카테고리의 [신논현 치과] 임플란트 대신 치아재식(아름드리치과) 글을 통해 병원의 한국어 정보 제공 방식과 진료 관련 안내 톤을 확인할 수 있습니다.
원문 검증
필요하면 원문 블로그와 병원 프로필로 바로 이동해 문맥을 다시 확인할 수 있습니다.
출처 아카이브 열기아카이브된 블로그 글
아름드리치과의원 · 아름드리치과 공식블로그입니다
[신논현 치과] 임플란트 대신 치아재식(아름드리치과) : 네이버 블로그 NAVER 블로그 아름드리치과 공식블로그입니다 블로그 검색 이 블로그에서 검색 공감 0 칭찬 0 감사 0 웃김 0 놀람 0 슬픔 0 span.u_likeit_button) 공감 face 3개 (전체)) --> 공감 0 공감 0 칭찬 0 감사 0 웃김...
게시일
2017년 2월 1일
원문 기준으로 확인된 발행일입니다.
카테고리
치료이야기
원문 블로그 카테고리를 정리해 함께 표시합니다.
이미지 수
16
현재 아카이브에 연결된 이미지 수입니다.
아카이브 요약
아름드리치과의원의 네이버 블로그 원문을 보존한 아카이브 페이지입니다. 치료이야기 카테고리의 [신논현 치과] 임플란트 대신 치아재식(아름드리치과) 글을 통해 병원의 한국어 정보 제공 방식과 진료 관련 안내 톤을 확인할 수 있습니다.
원문 검증
필요하면 원문 블로그와 병원 프로필로 바로 이동해 문맥을 다시 확인할 수 있습니다.
출처 아카이브 열기[신논현 치과] 임플란트 대신 치아재식(아름드리치과) : 네이버 블로그
NAVER 블로그
아름드리치과 공식블로그입니다
블로그 검색
이 블로그에서 검색
공감 0
칭찬 0
감사 0
웃김 0
놀람 0
슬픔 0
span.u_likeit_button) 공감 face 3개 (전체)) -->
공감 0
공감 0
칭찬 0
감사 0
웃김 0
놀람 0
슬픔 0
댓글
6
공유하기
블로그 주소 변경 불가 안내
블로그 마켓 판매자의 이력 관리를 위해
블로그 주소 변경이 불가합니다.
자세히 보기 레이어 닫기
블로그 아이디가 필요해요!
블로그에서 진짜 나를 기록하고
다양한 이웃과 소식을 만나보세요. 지금 시작해볼까요?
블로그 아이디 만들기 블로그 아이디 만들기 레이어 닫기
blog.naver.com/
입력 내용 삭제
설정한 아이디는 나중에 변경할 수 없으니 신중하게 입력해주세요.
변경 전 공유된 블로그/글/클립 링크는 연결이 끊길 수 있습니다.
네이버 아이디 또는 개인정보가 포함된 문자 사용은 피해주세요.
블로그 도움말에서 아이디 변경 유의사항을 확인해보세요.
나중에 할게요
3개월간 새로운 주소로 연결을 지원하며
이후 언제든 연결이 끊길 수 있습니다.
다시 변경이 불가능합니다.
변경하시겠습니까?
취소 확인
블로그 아이디는 한번 정하면
다시 변경이 불가능합니다.
이 아이디로 블로그를 만들까요?
취소 확인
환영합니다!
블로그 아이디가 만들어졌어요.
blog.naver.com/
바로 시작하기 추가정보 입력하기
나중에 언제든지 변경할 수 있어요.
프로필 이미지 설정
지우기
사진 업로드
취소 적용
별명
블로그명
블로그 주제 주제 없음
엔터테인먼트·예술
문학·책
영화
미술·디자인
공연·전시
음악
드라마
스타·연예인
만화·애니
방송
생활·노하우·쇼핑
일상·생각
육아·결혼
반려동물
좋은글·이미지
패션·미용
인테리어·DIY
요리·레시피
상품리뷰
원예·재배
취미·여가·여행
게임
스포츠
사진
자동차
취미
국내여행
세계여행
맛집
지식·동향
IT·컴퓨터
사회·정치
건강·의학
비즈니스·경제
어학·외국어
교육·학문
주제없음
주제 선택 보류
나중에 할게요
기본정보 입력 주제 선택 이웃 맺기
뒤로가기 버튼
선택한 주제의 글과 이웃을 추천받을 수 있어요.
나중에 할게요
기본정보 입력 주제 선택 이웃 맺기
뒤로가기 버튼
이웃을 맺으면 이웃새글에서 글을 받아볼 수 있어요.
블로그 시작하기
기본정보 입력 주제 선택 이웃 맺기
뒤로가기 버튼
확인
확인
이웃추가 이웃
메뉴 바로가기 본문 바로가기
내 블로그
이웃블로그
블로그 홈
로그인
검색어 켜기
-->
| 프롤로그 블로그 치료이야기 아름드리:정보 | 지도 안부 |
| 아름드리치과 공식블로그입니다 |
글쓰기
가벼운 글쓰기툴 퀵에디터가 오픈했어요!
| | | |
| 공지글 글 제목 | 작성일 | |
|---|---|---|
| (2) 공지 테일러비니어 :: 누런 치아, 돌출된 앞니 때문에 고민이라면 | 2025. 6. 11. |
| | | |
| | | |
| | 치료이야기 193개의 글 치료이야기목록열기 | |
| | | |
| | | |
![[신논현 치과] 임플란트 대신 치아재식(아름드리치과) 관련 이미지 1](https://pub-9f2bb3498faf4d1d8714b41df24753e3.r2.dev/content/clinics/archive/4kuejhpdqv/naver_blog/leeefeeel/assets/by_hash/c2324a96469261a2f8212374060d7eb4a134d07fd591604b0ab454e4592a420b.jpg)
치료이야기
[신논현 치과] 임플란트 대신 치아재식(아름드리치과)
아름드리치과
・ 2017. 2. 1. 14:51
URL 복사
이웃추가
본문 기타 기능
공유하기
신고하기
![[신논현 치과] 임플란트 대신 치아재식(아름드리치과) 관련 이미지 2](https://pub-9f2bb3498faf4d1d8714b41df24753e3.r2.dev/content/clinics/archive/4kuejhpdqv/naver_blog/leeefeeel/assets/by_hash/341f477d07ac2a82062ab830ab761571f52715b3e0f65a43fa6983e074273d45.jpg)
[신논현치과] 아름드리치과
치아를 뽑았다가 그 자리에 다시 심는 치아 재식술
치아 재식술이 뭔가요? 치아를 뽑아서, 눈으로 염증 부위를 직접 확인 후 처치하여 뽑은 부위에 다시 재식립하는 시술을 말합니다.
우리가 알고 있는 신경치료는 치아의 윗면 (교합면)을 뚫어서 신경에 접근하여 뿌리 속 얇은 신경관에 잔가시처럼 존재하는 신경을 긁어 내어 통증을 못 느끼게 하고 염증을 제거하는 치료입니다. 일반적으로는 신경치료만 해도 증상이 호전됩니다.
신경치료로 안되는 치아
재식술로 치아 살리기
하지만, 뿌리 끝에 신경관의 분지인 부근관이 있는 경우, 치과용 바늘이 접근하기 어려워 신경이 모두 제거되지 않아 통상적 신경치료가 마무리되어도 통증이 좋아지지 않는 드문 경우가 있습니다. 이때 우리는 치아재식이라는 치료법을 시도해 볼 수 있습니다.
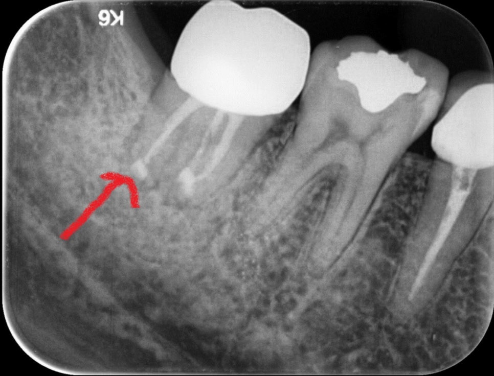
![[신논현 치과] 임플란트 대신 치아재식(아름드리치과) 관련 이미지 3](https://pub-9f2bb3498faf4d1d8714b41df24753e3.r2.dev/content/clinics/archive/4kuejhpdqv/naver_blog/leeefeeel/assets/by_hash/9f6dbbec1fe1fb14118a29420a87d9cb75928df47932ce97483ce8240699a9c8.jpg)
![[신논현 치과] 임플란트 대신 치아재식(아름드리치과) 관련 이미지 4](https://pub-9f2bb3498faf4d1d8714b41df24753e3.r2.dev/content/clinics/archive/4kuejhpdqv/naver_blog/leeefeeel/assets/by_hash/eb3a275aa0ada148abf73056f5910839d2b067e50976e86d147600f71eed18f8.jpg)
재식 _ 전
얼마 전 조00이라는 환자분이 신경치료를 모두 마친 후 금으로 크라운까지 세팅된 치아에 통증을 호소하시면서 내원하셨습니다. 아직 나이도 어리고, x-ray나 CT로 염증을 확인하기 어려웠습니다.
이러한 경우 발치하고 임플란트를 해야 하나요?라고 질문하시더군요. 발치하기 전 치아를 살릴 수 있는 재식술에 대해 설명 들으시고 당일 바로 진행되었습니다.
![[신논현 치과] 임플란트 대신 치아재식(아름드리치과) 관련 이미지 5](https://pub-9f2bb3498faf4d1d8714b41df24753e3.r2.dev/content/clinics/archive/4kuejhpdqv/naver_blog/leeefeeel/assets/by_hash/c24636c60dd739c6529a7e71f2be7b8e80d5c90debbb275c41076e954cbb83a2.jpg)
재식 _중 사진
다소 혐오스러울 수 있지만 건강하게 치아의 손상 없이 재식할 치아를 발치합니다.
![[신논현 치과] 임플란트 대신 치아재식(아름드리치과) 관련 이미지 6](https://pub-9f2bb3498faf4d1d8714b41df24753e3.r2.dev/content/clinics/archive/4kuejhpdqv/naver_blog/leeefeeel/assets/by_hash/9593c1cab9835ea0b8808380a1e19ee8c25102931f5aefbf9f27759893f85fb9.jpg)
건강하게 뽑은 치아
위 사진은 건강하게 발치된 치아입니다. 치아재식은 잇몸뼈와 치아 뿌리 부분의 치주인대가 건강해야 진행이 가능합니다.
![[신논현 치과] 임플란트 대신 치아재식(아름드리치과) 관련 이미지 7](https://pub-9f2bb3498faf4d1d8714b41df24753e3.r2.dev/content/clinics/archive/4kuejhpdqv/naver_blog/leeefeeel/assets/by_hash/57944429aec491ac9503280f13c16b4f5f739737f14ae478df69b0f07db36415.jpg)
재식 중 뿌리 끝 염증과 부근관 제거 모습
발치된 치아의 문제 부위인 염증과 부근관을 제거하였습니다.
![[신논현 치과] 임플란트 대신 치아재식(아름드리치과) 관련 이미지 8](https://pub-9f2bb3498faf4d1d8714b41df24753e3.r2.dev/content/clinics/archive/4kuejhpdqv/naver_blog/leeefeeel/assets/by_hash/1b1aeee1a8b3f87c5108734af0a60f3a8122a0519a32c4aee071d198956eaec7.jpg)
재식 중 뿌리 끝 염증과 부근관 제거 모습
염증과 부근관이 제거된 모습입니다.
![[신논현 치과] 임플란트 대신 치아재식(아름드리치과) 관련 이미지 9](https://pub-9f2bb3498faf4d1d8714b41df24753e3.r2.dev/content/clinics/archive/4kuejhpdqv/naver_blog/leeefeeel/assets/by_hash/7d7739bc01af035d68acbbc582306b94f4ff90a467a9088e78fa2c48d59e1df0.jpg)
MTA로 뿌리 부분 충전
제거된 뿌리 부분을 MTA라는 치과재료로 충전하여 다시 이식하게 됩니다.
![[신논현 치과] 임플란트 대신 치아재식(아름드리치과) 관련 이미지 10](https://pub-9f2bb3498faf4d1d8714b41df24753e3.r2.dev/content/clinics/archive/4kuejhpdqv/naver_blog/leeefeeel/assets/by_hash/d16483d64d19b75f4e3c7045810af28a7d26e1252bac149a1afd4a9d3285075c.jpg)
재식_ 후 x-ray
위 사진은 이식 직 후 사진입니다. 이식 전 x-ray 사진과 비교해보시면 뿌리끝에 충전된 모습이 보이실 겁니다.
![[신논현 치과] 임플란트 대신 치아재식(아름드리치과) 관련 이미지 11](https://pub-9f2bb3498faf4d1d8714b41df24753e3.r2.dev/content/clinics/archive/4kuejhpdqv/naver_blog/leeefeeel/assets/by_hash/9f6dbbec1fe1fb14118a29420a87d9cb75928df47932ce97483ce8240699a9c8.jpg)
![[신논현 치과] 임플란트 대신 치아재식(아름드리치과) 관련 이미지 12](https://pub-9f2bb3498faf4d1d8714b41df24753e3.r2.dev/content/clinics/archive/4kuejhpdqv/naver_blog/leeefeeel/assets/by_hash/686c2d4157def12b0485a6b42a3bb257f58e20b8f1f256910ee8b6d909027692.jpg)
재식_전 파노라마 재식_후 파노라마
이렇게 이식된 치아는 주변 잇몸뼈와 치아가 잘 붙기를 기다려야 합니다. 임플란트와 마찬가지로 3-4개월 정도 기다려야 합니다.
![[신논현 치과] 임플란트 대신 치아재식(아름드리치과) 관련 이미지 13](https://pub-9f2bb3498faf4d1d8714b41df24753e3.r2.dev/content/clinics/archive/4kuejhpdqv/naver_blog/leeefeeel/assets/by_hash/55d1afc14b46dabb9f5e86bd93af4acbf9d56479b3f314eb9665d9bc58c5adc7.jpg)
재식후 한 달 뒤
재식 후 환자의 치아 상태를 확인해야 하므로 정기적인 체크를 받으셔야 합니다. 치아재식은 신경치료로 치아를 살릴 수 없어 임플란트를 하기 전 선택할 수 있는 치료법입니다.
다만, 모든 환자가 가능한 것은 아닙니다. 위에서 설명드린 바와 같이 건강한 잇몸뼈와 손상 없는 치아 뿌리 환자의 상태 조건과 발치시 손상을 주어선 안되기 때문에 재식의 노하우, 많은 케이스를 해보신 의사에게 받으셔야 합니다.
재식의 다량 케이스를 가지고 있는 아름드리치과와 재식술을 상담하세요.
![[신논현 치과] 임플란트 대신 치아재식(아름드리치과) 관련 이미지 14](https://pub-9f2bb3498faf4d1d8714b41df24753e3.r2.dev/content/clinics/archive/4kuejhpdqv/naver_blog/leeefeeel/assets/by_hash/1910315261baae6176c2b03a171426522e070d3b75434271efd5b003b7fc194f.jpg)
![[신논현 치과] 임플란트 대신 치아재식(아름드리치과) 관련 이미지 15](https://pub-9f2bb3498faf4d1d8714b41df24753e3.r2.dev/content/clinics/archive/4kuejhpdqv/naver_blog/leeefeeel/assets/by_hash/773eb0b52efbd6009facae382d7348ee99660c18c5213faf0f8aaf9c4bce3119.jpg)
![[신논현 치과] 임플란트 대신 치아재식(아름드리치과) 관련 이미지 16](https://pub-9f2bb3498faf4d1d8714b41df24753e3.r2.dev/content/clinics/archive/4kuejhpdqv/naver_blog/leeefeeel/assets/by_hash/3ab023bd7784417a707bc4c4aed5970c1ec49b0ae74ef2d87c0e784bf46646f3.jpg)
신논현치과 재식술에 집중하는 아름드리치과와 상의하세요.