아카이브 요약
이 페이지의 역할
아름드리치과의원의 네이버 블로그 원문을 보존한 아카이브 페이지입니다. 치료이야기 카테고리의 [신논현 치과] 3D 구강 스캐너_정확하게 본뜨기 글을 통해 병원의 한국어 정보 제공 방식과 진료 관련 안내 톤을 확인할 수 있습니다.
원문 검증
필요하면 원문 블로그와 병원 프로필로 바로 이동해 문맥을 다시 확인할 수 있습니다.
출처 아카이브 열기아카이브된 블로그 글
아름드리치과의원 · Naver Blog
[신논현 치과] 3D 구강 스캐너_정확하게 본뜨기 : 네이버 블로그 NAVER 블로그 아름드리치과 공식블로그입니다 블로그 검색 이 블로그에서 검색 공감 0 칭찬 0 감사 0 웃김 0 놀람 0 슬픔 0 span.u_likeit_button) 공감 face 3개 (전체)) --> 공감 0 공감 0 칭찬 0 감사 0 웃김 0...
게시일
2017년 2월 28일
원문 기준으로 확인된 발행일입니다.
카테고리
치료이야기
원문 블로그 카테고리를 정리해 함께 표시합니다.
이미지 수
18
현재 아카이브에 연결된 이미지 수입니다.
아카이브 요약
아름드리치과의원의 네이버 블로그 원문을 보존한 아카이브 페이지입니다. 치료이야기 카테고리의 [신논현 치과] 3D 구강 스캐너_정확하게 본뜨기 글을 통해 병원의 한국어 정보 제공 방식과 진료 관련 안내 톤을 확인할 수 있습니다.
원문 검증
필요하면 원문 블로그와 병원 프로필로 바로 이동해 문맥을 다시 확인할 수 있습니다.
출처 아카이브 열기[신논현 치과] 3D 구강 스캐너_정확하게 본뜨기 : 네이버 블로그
NAVER 블로그
아름드리치과 공식블로그입니다
블로그 검색
이 블로그에서 검색
공감 0
칭찬 0
감사 0
웃김 0
놀람 0
슬픔 0
span.u_likeit_button) 공감 face 3개 (전체)) -->
공감 0
공감 0
칭찬 0
감사 0
웃김 0
놀람 0
슬픔 0
첫 댓글을 남겨보세요
공유하기
블로그 주소 변경 불가 안내
블로그 마켓 판매자의 이력 관리를 위해
블로그 주소 변경이 불가합니다.
자세히 보기 레이어 닫기
블로그 아이디가 필요해요!
블로그에서 진짜 나를 기록하고
다양한 이웃과 소식을 만나보세요. 지금 시작해볼까요?
블로그 아이디 만들기 블로그 아이디 만들기 레이어 닫기
blog.naver.com/
입력 내용 삭제
설정한 아이디는 나중에 변경할 수 없으니 신중하게 입력해주세요.
변경 전 공유된 블로그/글/클립 링크는 연결이 끊길 수 있습니다.
네이버 아이디 또는 개인정보가 포함된 문자 사용은 피해주세요.
블로그 도움말에서 아이디 변경 유의사항을 확인해보세요.
나중에 할게요
3개월간 새로운 주소로 연결을 지원하며
이후 언제든 연결이 끊길 수 있습니다.
다시 변경이 불가능합니다.
변경하시겠습니까?
취소 확인
블로그 아이디는 한번 정하면
다시 변경이 불가능합니다.
이 아이디로 블로그를 만들까요?
취소 확인
환영합니다!
블로그 아이디가 만들어졌어요.
blog.naver.com/
바로 시작하기 추가정보 입력하기
나중에 언제든지 변경할 수 있어요.
프로필 이미지 설정
지우기
사진 업로드
취소 적용
별명
블로그명
블로그 주제 주제 없음
엔터테인먼트·예술
문학·책
영화
미술·디자인
공연·전시
음악
드라마
스타·연예인
만화·애니
방송
생활·노하우·쇼핑
일상·생각
육아·결혼
반려동물
좋은글·이미지
패션·미용
인테리어·DIY
요리·레시피
상품리뷰
원예·재배
취미·여가·여행
게임
스포츠
사진
자동차
취미
국내여행
세계여행
맛집
지식·동향
IT·컴퓨터
사회·정치
건강·의학
비즈니스·경제
어학·외국어
교육·학문
주제없음
주제 선택 보류
나중에 할게요
기본정보 입력 주제 선택 이웃 맺기
뒤로가기 버튼
선택한 주제의 글과 이웃을 추천받을 수 있어요.
나중에 할게요
기본정보 입력 주제 선택 이웃 맺기
뒤로가기 버튼
이웃을 맺으면 이웃새글에서 글을 받아볼 수 있어요.
블로그 시작하기
기본정보 입력 주제 선택 이웃 맺기
뒤로가기 버튼
확인
확인
이웃추가 이웃
메뉴 바로가기 본문 바로가기
내 블로그
이웃블로그
블로그 홈
로그인
검색어 켜기
-->
| 프롤로그 블로그 치료이야기 아름드리:정보 | 지도 안부 |
| 아름드리치과 공식블로그입니다 |
글쓰기
가벼운 글쓰기툴 퀵에디터가 오픈했어요!
| | | |
| 공지글 글 제목 | 작성일 | |
|---|---|---|
| (2) 공지 테일러비니어 :: 누런 치아, 돌출된 앞니 때문에 고민이라면 | 2025. 6. 11. |
| | | |
| | | |
| | 치료이야기 193개의 글 치료이야기목록열기 | |
| | | |
| | | |
치료이야기
[신논현 치과] 3D 구강 스캐너_정확하게 본뜨기
아름드리치과
・ 2017. 2. 28. 10:21
URL 복사
이웃추가
본문 기타 기능
공유하기
신고하기
![[신논현 치과] 3D 구강 스캐너_정확하게 본뜨기 관련 이미지 1](https://pub-9f2bb3498faf4d1d8714b41df24753e3.r2.dev/content/clinics/archive/4kuejhpdqv/naver_blog/leeefeeel/assets/by_hash/237f239084e1ef05807027f93bf33a1ed1006e67c1f2deda29aa059e9373a162.png)
![[신논현 치과] 3D 구강 스캐너_정확하게 본뜨기 관련 이미지 2](https://pub-9f2bb3498faf4d1d8714b41df24753e3.r2.dev/content/clinics/archive/4kuejhpdqv/naver_blog/leeefeeel/assets/by_hash/7707785c8bae1c7c3e31636335ebf698e501e92abd5f310495cdd5896517ccb9.jpg)
아름드리치과 이현정 대표원장
![[신논현 치과] 3D 구강 스캐너_정확하게 본뜨기 관련 이미지 3](https://pub-9f2bb3498faf4d1d8714b41df24753e3.r2.dev/content/clinics/archive/4kuejhpdqv/naver_blog/leeefeeel/assets/by_hash/cd670d90eb831a13e5c0f744e9511b72515cd73c55b0ebbdd207555d65554ef7.jpg)
아름드리 치과 기공소장
3Shape_ 구강 스캐너 사용 동영상 (출처: 3shape)
3D 구강 스캐너(3shape) 사용으로 더 이상 치과치료시 입안에 인상재를 물고 있어야 하는 '환자의 번거로움' 인상채득시 환자가 조금이라도 치아를 움직이면 부정확해져 다시 본을 떠야 하는 번거로움 없이 빠르게, 정확하게, 간편하게 치아와 잇몸, 구강구조를 재현할 수 있습니다.
완벽히 구현된 구강상태에 CAD/CAM으로 치료에 필요한 보철물 디자인-> 시뮬레이션까지 가상 제작할 수 있습니다.
![[신논현 치과] 3D 구강 스캐너_정확하게 본뜨기 관련 이미지 4](https://pub-9f2bb3498faf4d1d8714b41df24753e3.r2.dev/content/clinics/archive/4kuejhpdqv/naver_blog/leeefeeel/assets/by_hash/9eed3483279a44a73b80a55cdc3a5883d1819e4bfbc75a6992ca958c93637a32.jpg)
![[신논현 치과] 3D 구강 스캐너_정확하게 본뜨기 관련 이미지 5](https://pub-9f2bb3498faf4d1d8714b41df24753e3.r2.dev/content/clinics/archive/4kuejhpdqv/naver_blog/leeefeeel/assets/by_hash/b103333b551c65f5f35644632f8b1fbd89f59b061060e817181b7594aebd3745.jpg)
![[신논현 치과] 3D 구강 스캐너_정확하게 본뜨기 관련 이미지 6](https://pub-9f2bb3498faf4d1d8714b41df24753e3.r2.dev/content/clinics/archive/4kuejhpdqv/naver_blog/leeefeeel/assets/by_hash/a3acf158388206070e4d7fedaa20a82559de2d773bb038c23b62fec5a292e94d.jpg)
![[신논현 치과] 3D 구강 스캐너_정확하게 본뜨기 관련 이미지 7](https://pub-9f2bb3498faf4d1d8714b41df24753e3.r2.dev/content/clinics/archive/4kuejhpdqv/naver_blog/leeefeeel/assets/by_hash/3de7868bab415805f096839beaeb754175c8fbc57ea86cdcbff0681cb5d97259.jpg)
![[신논현 치과] 3D 구강 스캐너_정확하게 본뜨기 관련 이미지 8](https://pub-9f2bb3498faf4d1d8714b41df24753e3.r2.dev/content/clinics/archive/4kuejhpdqv/naver_blog/leeefeeel/assets/by_hash/b1714ce481acb2a4b358d83a44181ec67a4c83c05cff39f966f43e882bd41b45.jpg)
![[신논현 치과] 3D 구강 스캐너_정확하게 본뜨기 관련 이미지 9](https://pub-9f2bb3498faf4d1d8714b41df24753e3.r2.dev/content/clinics/archive/4kuejhpdqv/naver_blog/leeefeeel/assets/by_hash/eaf3dcaa3b865ed2fa6e01052fbeabcadfb2ab1c491e9ad461aaf102a17feba2.jpg)
위와 같이 여러 작업은 수련 받은 숙달된 치과 기공사가 하게 됩니다. 기존의 치과기공사분들은 수작업으로 치아 하나하나 제작하게 되는데 이러한 첨단 시스템 사용으로 보다 다양한 디자인, 기능 시뮬레이션, 세팅 시뮬레이션이 가능하며, 보철물 세팅 시 보다 완벽할 수 있습니다.
시뮬레이션 후 가상 보철물은 실제 제작되게 됩니다.
CADCAM으로 실제 보철물 제작
CADCAM으로 실제 보철물 제작
완성된 지르코니아 보철물은 환자에게 바로 세팅이 가능합니다.
![[신논현 치과] 3D 구강 스캐너_정확하게 본뜨기 관련 이미지 10](https://pub-9f2bb3498faf4d1d8714b41df24753e3.r2.dev/content/clinics/archive/4kuejhpdqv/naver_blog/leeefeeel/assets/by_hash/b89b402047f4adbf40ea3a1aead79aa1678c488bc7e6c14b5a82f903ae129a9f.jpg)
![[신논현 치과] 3D 구강 스캐너_정확하게 본뜨기 관련 이미지 11](https://pub-9f2bb3498faf4d1d8714b41df24753e3.r2.dev/content/clinics/archive/4kuejhpdqv/naver_blog/leeefeeel/assets/by_hash/e4eee06422c52cd308ab9a868c8b339967e953d313ecfd91aeba544fb063c183.jpg)
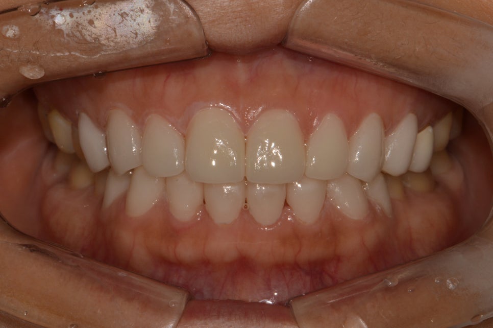
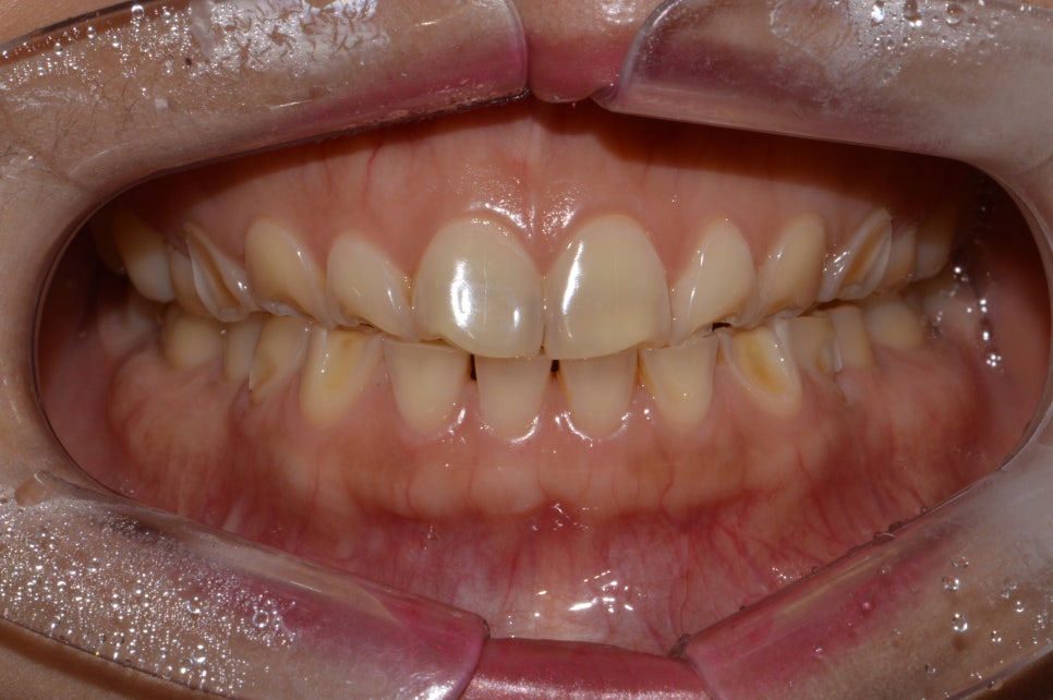
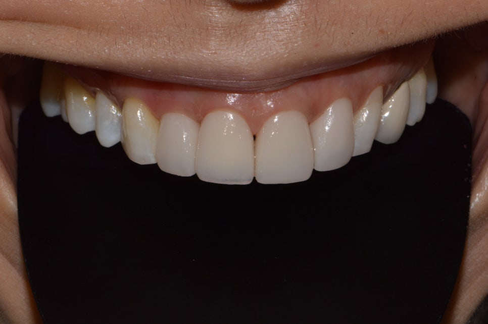
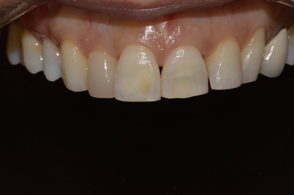
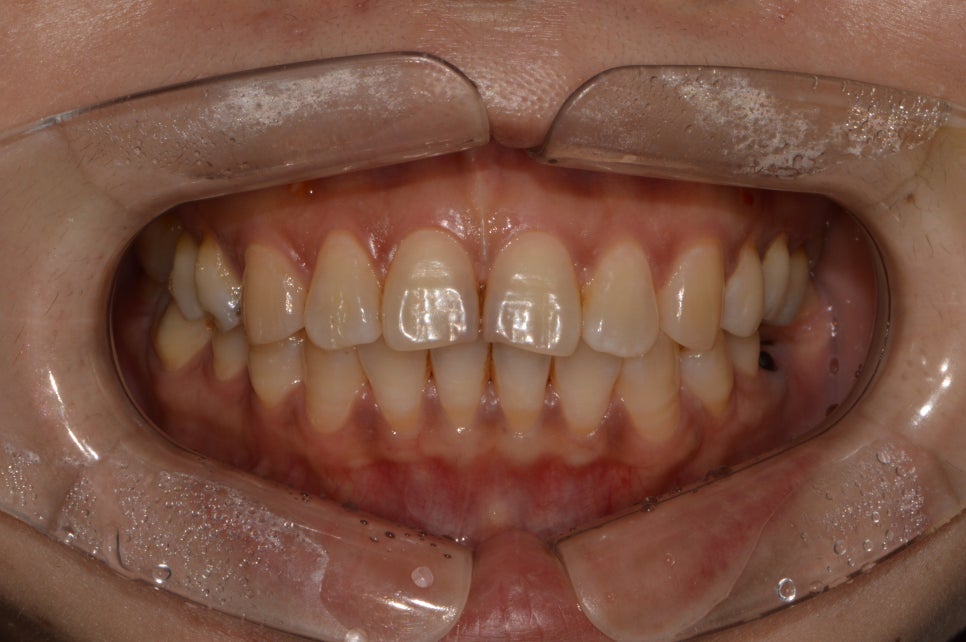
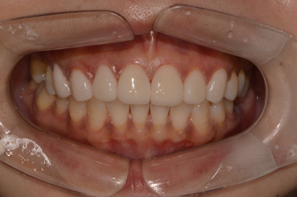
앞니 지르코니아 치료 전 앞니 지르코니아 치료 후
![[신논현 치과] 3D 구강 스캐너_정확하게 본뜨기 관련 이미지 12](https://pub-9f2bb3498faf4d1d8714b41df24753e3.r2.dev/content/clinics/archive/4kuejhpdqv/naver_blog/leeefeeel/assets/by_hash/cb40bf9838292c4a4fc839ee9090189a26d2b0e9ef23f9336c1145f0d8989529.jpg)
![[신논현 치과] 3D 구강 스캐너_정확하게 본뜨기 관련 이미지 13](https://pub-9f2bb3498faf4d1d8714b41df24753e3.r2.dev/content/clinics/archive/4kuejhpdqv/naver_blog/leeefeeel/assets/by_hash/b9a26b3501fa2a8b626f278d8c99c875bed57925d0f673453aa30a9ce56c916f.jpg)
앞니 지르코니아 치료 전 앞니 지르코니아 치료 후
![[신논현 치과] 3D 구강 스캐너_정확하게 본뜨기 관련 이미지 14](https://pub-9f2bb3498faf4d1d8714b41df24753e3.r2.dev/content/clinics/archive/4kuejhpdqv/naver_blog/leeefeeel/assets/by_hash/ca48ec98c547dc12494c555623602e98fabaef8dffd791adbdd5b6cf888f1f08.jpg)
![[신논현 치과] 3D 구강 스캐너_정확하게 본뜨기 관련 이미지 15](https://pub-9f2bb3498faf4d1d8714b41df24753e3.r2.dev/content/clinics/archive/4kuejhpdqv/naver_blog/leeefeeel/assets/by_hash/52a54fe9cfbee014546d8a4138874f95170abfd7bb9b29bd558e10f8528caaba.jpg)
앞니 지르코니아 치료 전 앞니 지르코니아 치료 후
[치료 전 담당 의사의 정확한 검진과 치료 계획 후 환자의 개인 상태에 따른 적합한 치료가 진행됨을 알려드립니다. 모든 치료에 대한 합병증이 발생할 수 있으며 치료기간은 환자에 따라 달라질 수 있습니다.
첨단 장비 & 시스템 구축 가능한 치과 정확한 진단 및 치료 = 치과의사 정확한 구강구조 재현 = 치과위생사 정밀한 프로그램을 조작, 디자인, 제작 = 전문 치과기공사
이와 같은 시스템으로 환자분들에게 드릴 수 있는 것!
편안함, 신속함, 정확함, 만족 후의 신뢰
![[신논현 치과] 3D 구강 스캐너_정확하게 본뜨기 관련 이미지 16](https://pub-9f2bb3498faf4d1d8714b41df24753e3.r2.dev/content/clinics/archive/4kuejhpdqv/naver_blog/leeefeeel/assets/by_hash/1910315261baae6176c2b03a171426522e070d3b75434271efd5b003b7fc194f.jpg)
아름드리치.과가 드리는 약속
![[신논현 치과] 3D 구강 스캐너_정확하게 본뜨기 관련 이미지 17](https://pub-9f2bb3498faf4d1d8714b41df24753e3.r2.dev/content/clinics/archive/4kuejhpdqv/naver_blog/leeefeeel/assets/by_hash/5632c4dd6d8cb574d9794c1a898ee0d8505585c9c196c5e59b9d64dc36d684f5.jpg)
신논현역 3번 출구 바로 앞
![[신논현 치과] 3D 구강 스캐너_정확하게 본뜨기 관련 이미지 18](https://pub-9f2bb3498faf4d1d8714b41df24753e3.r2.dev/content/clinics/archive/4kuejhpdqv/naver_blog/leeefeeel/assets/by_hash/3ab023bd7784417a707bc4c4aed5970c1ec49b0ae74ef2d87c0e784bf46646f3.jpg)
신논현치과_아름드리치/과는 언제나 최선을 다해 편안하고 정직하겠습니다.