아카이브 요약
이 페이지의 역할
아름드리치과의원의 네이버 블로그 원문을 보존한 아카이브 페이지입니다. 치료이야기 카테고리의 사랑니 뽑은 후 관리해야 하는 이유(신논현역치과) 글을 통해 병원의 한국어 정보 제공 방식과 진료 관련 안내 톤을 확인할 수 있습니다.
원문 검증
필요하면 원문 블로그와 병원 프로필로 바로 이동해 문맥을 다시 확인할 수 있습니다.
출처 아카이브 열기아카이브된 블로그 글
아름드리치과의원 · Naver Blog
사랑니 뽑은 후 관리해야 하는 이유(신논현역치과) : 네이버 블로그 NAVER 블로그 아름드리치과 공식블로그입니다 블로그 검색 이 블로그에서 검색 공감 0 칭찬 0 감사 0 웃김 0 놀람 0 슬픔 0 span.u_likeit_button) 공감 face 3개 (전체)) --> 공감 0 공감 0 칭찬 0 감사 0 웃김 0...
게시일
2017년 3월 10일
원문 기준으로 확인된 발행일입니다.
카테고리
치료이야기
원문 블로그 카테고리를 정리해 함께 표시합니다.
이미지 수
4
현재 아카이브에 연결된 이미지 수입니다.
아카이브 요약
아름드리치과의원의 네이버 블로그 원문을 보존한 아카이브 페이지입니다. 치료이야기 카테고리의 사랑니 뽑은 후 관리해야 하는 이유(신논현역치과) 글을 통해 병원의 한국어 정보 제공 방식과 진료 관련 안내 톤을 확인할 수 있습니다.
원문 검증
필요하면 원문 블로그와 병원 프로필로 바로 이동해 문맥을 다시 확인할 수 있습니다.
출처 아카이브 열기사랑니 뽑은 후 관리해야 하는 이유(신논현역치과) : 네이버 블로그
NAVER 블로그
아름드리치과 공식블로그입니다
블로그 검색
이 블로그에서 검색
공감 0
칭찬 0
감사 0
웃김 0
놀람 0
슬픔 0
span.u_likeit_button) 공감 face 3개 (전체)) -->
공감 0
공감 0
칭찬 0
감사 0
웃김 0
놀람 0
슬픔 0
댓글
4
공유하기
블로그 주소 변경 불가 안내
블로그 마켓 판매자의 이력 관리를 위해
블로그 주소 변경이 불가합니다.
자세히 보기 레이어 닫기
블로그 아이디가 필요해요!
블로그에서 진짜 나를 기록하고
다양한 이웃과 소식을 만나보세요. 지금 시작해볼까요?
블로그 아이디 만들기 블로그 아이디 만들기 레이어 닫기
blog.naver.com/
입력 내용 삭제
설정한 아이디는 나중에 변경할 수 없으니 신중하게 입력해주세요.
변경 전 공유된 블로그/글/클립 링크는 연결이 끊길 수 있습니다.
네이버 아이디 또는 개인정보가 포함된 문자 사용은 피해주세요.
블로그 도움말에서 아이디 변경 유의사항을 확인해보세요.
나중에 할게요
3개월간 새로운 주소로 연결을 지원하며
이후 언제든 연결이 끊길 수 있습니다.
다시 변경이 불가능합니다.
변경하시겠습니까?
취소 확인
블로그 아이디는 한번 정하면
다시 변경이 불가능합니다.
이 아이디로 블로그를 만들까요?
취소 확인
환영합니다!
블로그 아이디가 만들어졌어요.
blog.naver.com/
바로 시작하기 추가정보 입력하기
나중에 언제든지 변경할 수 있어요.
프로필 이미지 설정
지우기
사진 업로드
취소 적용
별명
블로그명
블로그 주제 주제 없음
엔터테인먼트·예술
문학·책
영화
미술·디자인
공연·전시
음악
드라마
스타·연예인
만화·애니
방송
생활·노하우·쇼핑
일상·생각
육아·결혼
반려동물
좋은글·이미지
패션·미용
인테리어·DIY
요리·레시피
상품리뷰
원예·재배
취미·여가·여행
게임
스포츠
사진
자동차
취미
국내여행
세계여행
맛집
지식·동향
IT·컴퓨터
사회·정치
건강·의학
비즈니스·경제
어학·외국어
교육·학문
주제없음
주제 선택 보류
나중에 할게요
기본정보 입력 주제 선택 이웃 맺기
뒤로가기 버튼
선택한 주제의 글과 이웃을 추천받을 수 있어요.
나중에 할게요
기본정보 입력 주제 선택 이웃 맺기
뒤로가기 버튼
이웃을 맺으면 이웃새글에서 글을 받아볼 수 있어요.
블로그 시작하기
기본정보 입력 주제 선택 이웃 맺기
뒤로가기 버튼
확인
확인
이웃추가 이웃
메뉴 바로가기 본문 바로가기
내 블로그
이웃블로그
블로그 홈
로그인
검색어 켜기
-->
| 프롤로그 블로그 치료이야기 아름드리:정보 | 지도 안부 |
| 아름드리치과 공식블로그입니다 |
글쓰기
가벼운 글쓰기툴 퀵에디터가 오픈했어요!
| | | |
| 공지글 글 제목 | 작성일 | |
|---|---|---|
| (2) 공지 테일러비니어 :: 누런 치아, 돌출된 앞니 때문에 고민이라면 | 2025. 6. 11. |
| | | |
| | | |
| | 치료이야기 193개의 글 치료이야기목록열기 | |
| | | |
| | | |

치료이야기
사랑니 뽑은 후 관리해야 하는 이유(신논현역치과)
아름드리치과
・ 2017. 3. 10. 11:23
URL 복사
이웃추가
본문 기타 기능
공유하기
신고하기

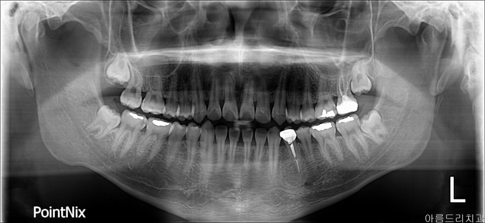
환자분이 최근 들어 왼쪽 아래 사랑니가 지속적으로 붓고 가라앉고를 반복하고 있어 불편하다고 하셨어요. 치과용 구강 전체가 나오는 엑스레이를 찍어보니 사랑니 머리만 올라와 있고 주변 잇몸에 싸여있습니다.
컨디션이 좋지 않거나 피곤할 경우 잇몸이 붓고 들뜨는 현상이 생기면서 그 사이로 이물질이 들어가고 염증을 일으키는 일이 지속적으로 반복되어 통증과 불편함이 있으셨을 겁니다.
아래 사랑니를 바로 뽑기로 결정하고 사랑니가 아래 신경선 근처에 위치하여 치과용 CT 촬영까지 하셨습니다.
사랑니를 뽑고 나면 발치 후 주의사항을 전달하게 되는데 주의사항 설명에 대해 주의 깊게 들어셔야 합니다.

사랑니를 뽑고 난 직후의 구강용 사진입니다. 사랑니의 뿌리가 나온 자리는 큰 홀이 생기게 됩니다.
소독솜을 30분간 꼭 물고 계세요.
사랑니가 깨끗하게 뽑히고 난뒤 피가 나게 됩니다. 피가 정상적인 시간 안에 멈추게 하기 위해 소독솜을 물려드리는 것이며,
상처 윗부분에 피딱지?가 자리 잡게 되고 치아가 빠져 비어있던 자리는 시간이 지남에 따라 새 살과 새 잇몸뼈로 메꿔지게 됩니다.
여기서 하나! 실밥을 제거하는 약 7일 후에도 저 공간은 메꿔지지 않아요. 피가 나는 상처만 아물수 있는 기간입니다.

실밥 제거 후에도 잘 관리하지 않으면 치아 발치 후 메꿔지지 않는 공간에 밥알이며, 음식물이 양치질만으론 잘 빠지지 않아 염증이 생겨 다시 병원에 오시는 경우가 종종 있습니다.
사랑니 발치 후에는 양치 후에 가글인 or 물양치를 한번 더 해주시는 게 좋습니다.