아카이브 요약
이 페이지의 역할
아름드리치과의원의 네이버 블로그 원문을 보존한 아카이브 페이지입니다. 치료이야기 카테고리의 강남 아름드리치과 수술 발치_매복치 신논현치과 글을 통해 병원의 한국어 정보 제공 방식과 진료 관련 안내 톤을 확인할 수 있습니다.
원문 검증
필요하면 원문 블로그와 병원 프로필로 바로 이동해 문맥을 다시 확인할 수 있습니다.
출처 아카이브 열기아카이브된 블로그 글
아름드리치과의원 · Naver Blog
강남 아름드리치과 수술 발치_매복치 신논현치과 : 네이버 블로그 NAVER 블로그 아름드리치과 공식블로그입니다 블로그 검색 이 블로그에서 검색 공감 0 칭찬 0 감사 0 웃김 0 놀람 0 슬픔 0 span.u_likeit_button) 공감 face 3개 (전체)) --> 공감 0 공감 0 칭찬 0 감사 0 웃김 0 놀람...
게시일
2017년 3월 14일
원문 기준으로 확인된 발행일입니다.
카테고리
치료이야기
원문 블로그 카테고리를 정리해 함께 표시합니다.
이미지 수
7
현재 아카이브에 연결된 이미지 수입니다.
아카이브 요약
아름드리치과의원의 네이버 블로그 원문을 보존한 아카이브 페이지입니다. 치료이야기 카테고리의 강남 아름드리치과 수술 발치_매복치 신논현치과 글을 통해 병원의 한국어 정보 제공 방식과 진료 관련 안내 톤을 확인할 수 있습니다.
원문 검증
필요하면 원문 블로그와 병원 프로필로 바로 이동해 문맥을 다시 확인할 수 있습니다.
출처 아카이브 열기강남 아름드리치과 수술 발치_매복치 신논현치과 : 네이버 블로그
NAVER 블로그
아름드리치과 공식블로그입니다
블로그 검색
이 블로그에서 검색
공감 0
칭찬 0
감사 0
웃김 0
놀람 0
슬픔 0
span.u_likeit_button) 공감 face 3개 (전체)) -->
공감 0
공감 0
칭찬 0
감사 0
웃김 0
놀람 0
슬픔 0
댓글
2
공유하기
블로그 주소 변경 불가 안내
블로그 마켓 판매자의 이력 관리를 위해
블로그 주소 변경이 불가합니다.
자세히 보기 레이어 닫기
블로그 아이디가 필요해요!
블로그에서 진짜 나를 기록하고
다양한 이웃과 소식을 만나보세요. 지금 시작해볼까요?
블로그 아이디 만들기 블로그 아이디 만들기 레이어 닫기
blog.naver.com/
입력 내용 삭제
설정한 아이디는 나중에 변경할 수 없으니 신중하게 입력해주세요.
변경 전 공유된 블로그/글/클립 링크는 연결이 끊길 수 있습니다.
네이버 아이디 또는 개인정보가 포함된 문자 사용은 피해주세요.
블로그 도움말에서 아이디 변경 유의사항을 확인해보세요.
나중에 할게요
3개월간 새로운 주소로 연결을 지원하며
이후 언제든 연결이 끊길 수 있습니다.
다시 변경이 불가능합니다.
변경하시겠습니까?
취소 확인
블로그 아이디는 한번 정하면
다시 변경이 불가능합니다.
이 아이디로 블로그를 만들까요?
취소 확인
환영합니다!
블로그 아이디가 만들어졌어요.
blog.naver.com/
바로 시작하기 추가정보 입력하기
나중에 언제든지 변경할 수 있어요.
프로필 이미지 설정
지우기
사진 업로드
취소 적용
별명
블로그명
블로그 주제 주제 없음
엔터테인먼트·예술
문학·책
영화
미술·디자인
공연·전시
음악
드라마
스타·연예인
만화·애니
방송
생활·노하우·쇼핑
일상·생각
육아·결혼
반려동물
좋은글·이미지
패션·미용
인테리어·DIY
요리·레시피
상품리뷰
원예·재배
취미·여가·여행
게임
스포츠
사진
자동차
취미
국내여행
세계여행
맛집
지식·동향
IT·컴퓨터
사회·정치
건강·의학
비즈니스·경제
어학·외국어
교육·학문
주제없음
주제 선택 보류
나중에 할게요
기본정보 입력 주제 선택 이웃 맺기
뒤로가기 버튼
선택한 주제의 글과 이웃을 추천받을 수 있어요.
나중에 할게요
기본정보 입력 주제 선택 이웃 맺기
뒤로가기 버튼
이웃을 맺으면 이웃새글에서 글을 받아볼 수 있어요.
블로그 시작하기
기본정보 입력 주제 선택 이웃 맺기
뒤로가기 버튼
확인
확인
이웃추가 이웃
메뉴 바로가기 본문 바로가기
내 블로그
이웃블로그
블로그 홈
로그인
검색어 켜기
-->
| 프롤로그 블로그 치료이야기 아름드리:정보 | 지도 안부 |
| 아름드리치과 공식블로그입니다 |
글쓰기
가벼운 글쓰기툴 퀵에디터가 오픈했어요!
| | | |
| 공지글 글 제목 | 작성일 | |
|---|---|---|
| (2) 공지 테일러비니어 :: 누런 치아, 돌출된 앞니 때문에 고민이라면 | 2025. 6. 11. |
| | | |
| | | |
| | 치료이야기 193개의 글 치료이야기목록열기 | |
| | | |
| | | |

치료이야기
강남 아름드리치과 수술 발치_매복치 신논현치과
아름드리치과
・ 2017. 3. 14. 11:40
URL 복사
이웃추가
본문 기타 기능
공유하기
신고하기
이전에 사랑니를 뽑아야 하는지에 대한 내용은 알려드렸습니다. (아래를 누르면 확인하실 수 있습니다.) http://blog.naver.com/leeefeeel/220929429055
-->
[신논현치과]사랑니발치_사랑니비용_아름드리치과
내 치아 몇개?사랑니 포함 32개 사랑니의 또 다른 이름 지치 (智齒) Wisdom tooth 제3대구치내 사랑니 뽑...
네이버 블로그 | 치과의사 이현정의 매력적인 표정만들기
본문으로 이동 -->
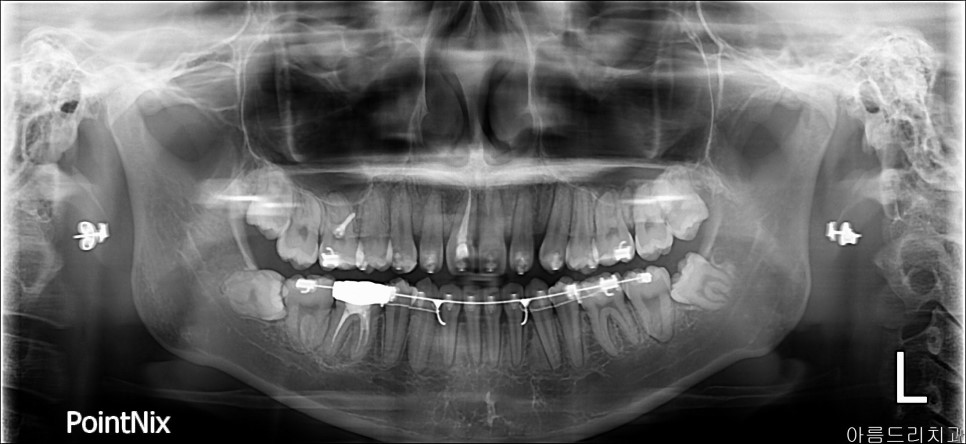
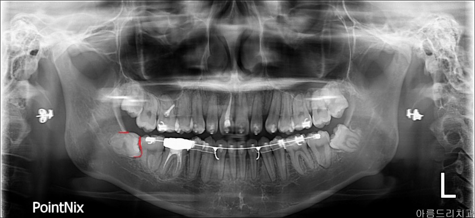
아래 분은 오른쪽 사랑니에 지속적인 염증 증세로 사랑니 발치를 하기로 하셨습니다. 사랑니 방향이 누워있고 기울어져 있고 일부가 잇몸 밖으로 노출되어있습니다.

아래와 같이 빨간 표시 부분의 사랑니 일부만 덥고 있는 잇몸 사이로 양치로 제거되지 않는 이물질로 인한 세균 번식으로 충치가 생길 수 있어 발치를 결정합니다.

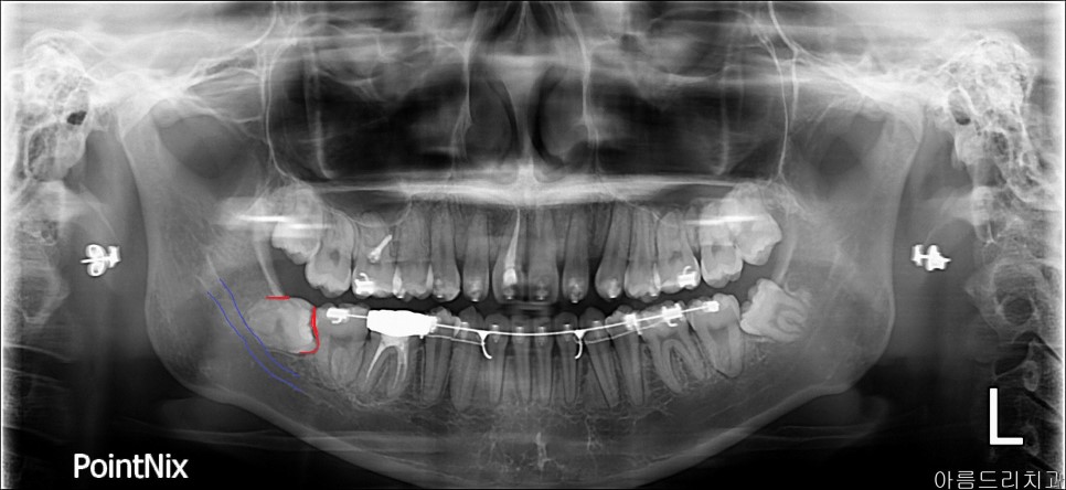
사랑니 아래쪽으로 지나가는 신경선을 매우 조심해야 하기 때문에 치과용 CT 촬영 후 부위를 확인해야 합니다. (파란 선 : 우동가락정도의 굵은 신경선 표시)

아래 사진은 사랑니 발치 후 엑스레이입니다.


사랑니는 크기가 가장 큰 치아이며, 가장 안쪽에 위치하고 있어 발치 후의 주의사항도 꼭 잘 지키셔야 합니다.
사랑니를 빼고 난 자리는 그 크기만큼이나 비어 있는 공간도 넓습니다. 발치 후 약 일주일 후 실밥을 제거하고 난 후에도 여전히 주의해야 합니다.
발치 후 7일차에 실밥을 제거하는 의미는 잇몸의 상처가 어느 정도 아물었다는 뜻입니다.
비어있는 공간이 채워지는 기간 동안 아래 그림과 같이 양치 후에도 밥알 등 음식물이 끼어 염증을 유발될 수 있습니다.

이러한 이유 때문에 발치하고 상당한 시간이 지났는데도 염증이 생겨 다시 내원하는 경우가 있습니다.
양치질 후에 한 번 더 가글 양치 또는 물양치를 하는 것만으로도 이러한 상황을 예방할 수 있습니다.