검은 잇몸! 잇몸미백으로 선홍빛 깨끗하게 : 네이버 블로그
NAVER 블로그
아름드리치과 공식블로그입니다
블로그 검색
이 블로그에서 검색
공감 0
칭찬 0
감사 0
웃김 0
놀람 0
슬픔 0
span.u_likeit_button) 공감 face 3개 (전체)) -->
공감 0
공감 0
칭찬 0
감사 0
웃김 0
놀람 0
슬픔 0
첫 댓글을 남겨보세요
공유하기
블로그 주소 변경 불가 안내
블로그 마켓 판매자의 이력 관리를 위해
블로그 주소 변경이 불가합니다.
자세히 보기 레이어 닫기
블로그 아이디가 필요해요!
블로그에서 진짜 나를 기록하고
다양한 이웃과 소식을 만나보세요. 지금 시작해볼까요?
블로그 아이디 만들기 블로그 아이디 만들기 레이어 닫기
blog.naver.com/
입력 내용 삭제
설정한 아이디는 나중에 변경할 수 없으니 신중하게 입력해주세요.
변경 전 공유된 블로그/글/클립 링크는 연결이 끊길 수 있습니다.
네이버 아이디 또는 개인정보가 포함된 문자 사용은 피해주세요.
블로그 도움말에서 아이디 변경 유의사항을 확인해보세요.
나중에 할게요
- 이전 주소로 공유된 글은
3개월간 새로운 주소로 연결을 지원하며
이후 언제든 연결이 끊길 수 있습니다.
- 블로그 아이디는 한번 변경하면
다시 변경이 불가능합니다.
변경하시겠습니까?
취소 확인
블로그 아이디는 한번 정하면
다시 변경이 불가능합니다.
이 아이디로 블로그를 만들까요?
취소 확인
환영합니다!
블로그 아이디가 만들어졌어요.
blog.naver.com/
바로 시작하기 추가정보 입력하기
기본정보를 입력해주세요.
나중에 언제든지 변경할 수 있어요.
프로필 이미지 설정
지우기
사진 업로드
취소 적용
별명
블로그명
블로그 주제 주제 없음
엔터테인먼트·예술
문학·책
영화
미술·디자인
공연·전시
음악
드라마
스타·연예인
만화·애니
방송
생활·노하우·쇼핑
일상·생각
육아·결혼
반려동물
좋은글·이미지
패션·미용
인테리어·DIY
요리·레시피
상품리뷰
원예·재배
취미·여가·여행
게임
스포츠
사진
자동차
취미
국내여행
세계여행
맛집
지식·동향
IT·컴퓨터
사회·정치
건강·의학
비즈니스·경제
어학·외국어
교육·학문
주제없음
주제 선택 보류
나중에 할게요
기본정보 입력 주제 선택 이웃 맺기
뒤로가기 버튼
주제를 선택해 주세요.
선택한 주제의 글과 이웃을 추천받을 수 있어요.
나중에 할게요
기본정보 입력 주제 선택 이웃 맺기
뒤로가기 버튼
인기블로거와 이웃을 맺으세요.
이웃을 맺으면 이웃새글에서 글을 받아볼 수 있어요.
블로그 시작하기
기본정보 입력 주제 선택 이웃 맺기
뒤로가기 버튼
확인
확인
이웃추가 이웃
메뉴 바로가기 본문 바로가기
내 블로그
이웃블로그
-
블로그 홈
로그인
검색어 켜기
-->
| 프롤로그 블로그 치료이야기 아름드리:정보 | 지도 안부 |
| 아름드리치과 공식블로그입니다 |
블로그
글쓰기
가벼운 글쓰기툴 퀵에디터가 오픈했어요!
| | | |
| 공지글 글 제목 | 작성일 | |
|---|---|---|
| (2) 공지 테일러비니어 :: 누런 치아, 돌출된 앞니 때문에 고민이라면 | 2025. 6. 11. |
| | | |
| | | |
| | 치료이야기 193개의 글 치료이야기목록열기 | |
| | | |
| | | |

치료이야기
검은 잇몸! 잇몸미백으로 선홍빛 깨끗하게
아름드리치과
・ 2017. 3. 30. 10:30
URL 복사
이웃추가
본문 기타 기능
공유하기
신고하기

치아미백을 모르는 사람은 없을듯합니다. 미백(美白)이란 희고 아름답다는 뜻으로 치아를 환하게, 피부를 환하게, 안색을 밝혀야 어려 보이고, 예뻐 보이고, 건강해 보이기 때문에 많은 분들이 피부미백, 치아미백 등을 선택하게 됩니다.
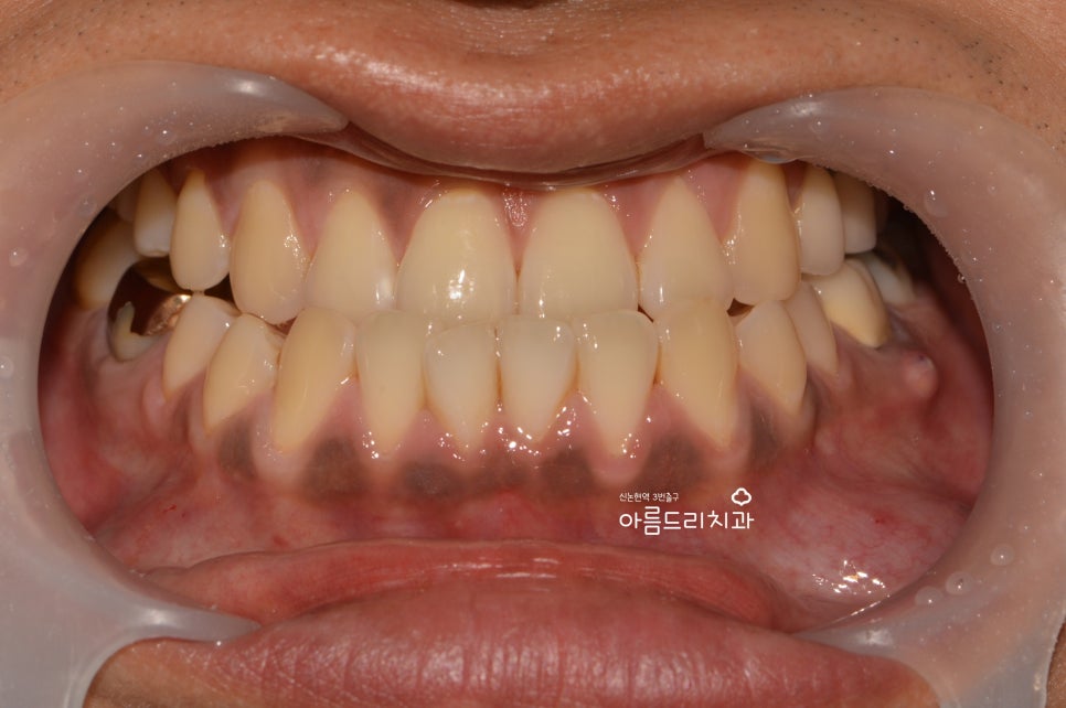
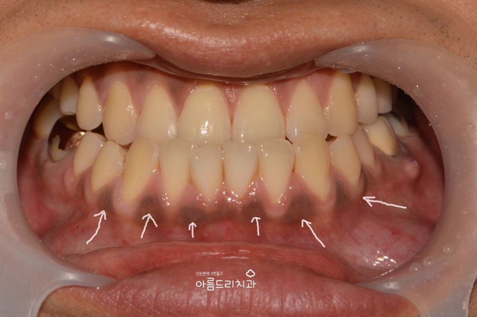
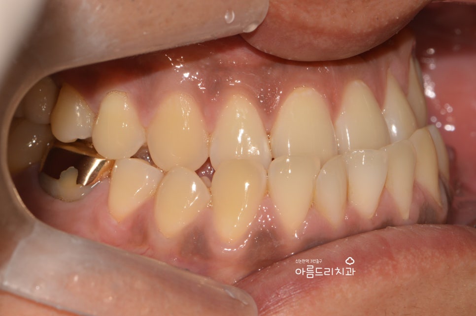
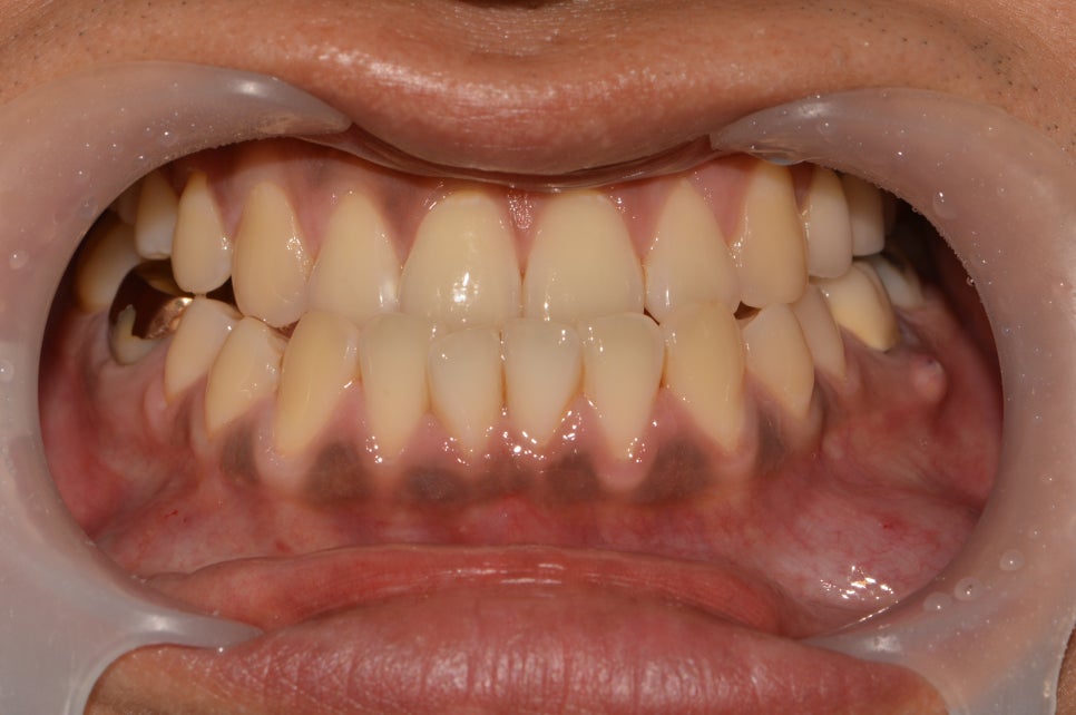
아래 분은 치아 주변의 잇몸이 매우 어두운색으로 변색되어 있습니다.
어렸을 땐 안 그랬는데 어제부터인가 잇몸 색이 변하기 시작했어요. 이유를 모르겠네요.

잇몸 색이 변하는 원인을 크게 보자면 멜라닌 색소로 인한 착색 멜라닌 색소의 과다 분비로 인해 잇몸 색이 어둡게 변하게 됩니다.) 여기에는 유전적 요소, 자외선에 과도한 노출 등이 거론되고 있습니다.
흡연으로 인한 착색 담배의 타르 성분이 치아와 잇몸, 보철물의 색도 어둡게 착색됩니다 니코틴 역시 입안을 건조하게 만들고 재생을 방해하여 구취와 잇몸질환을 반복적으로 일으키며 변색되기도 합니다.







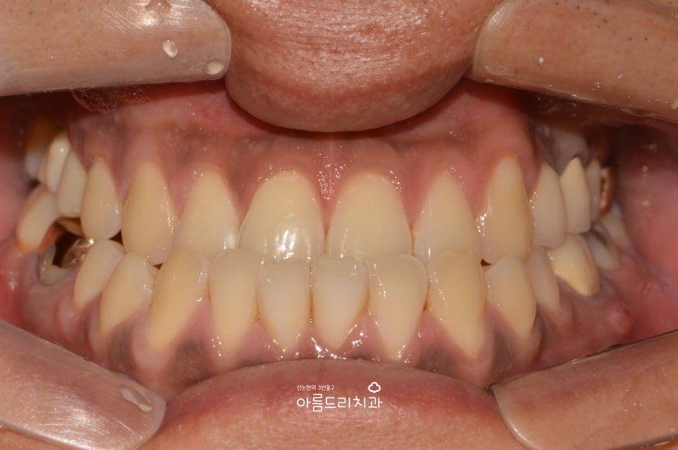
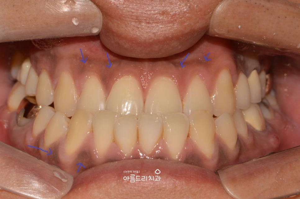
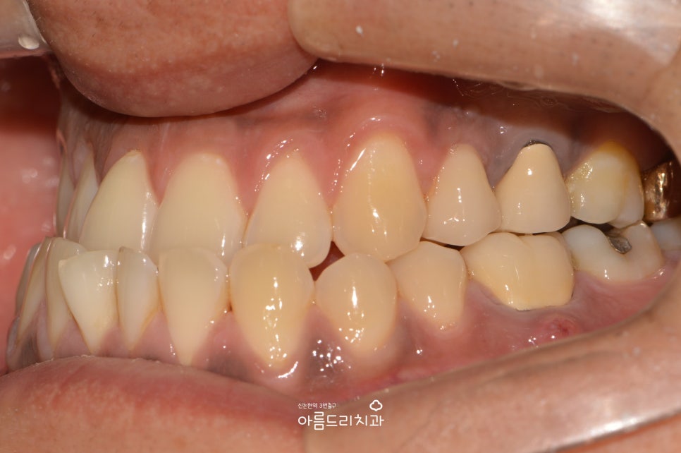
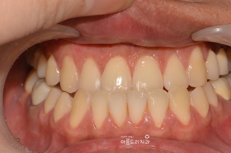
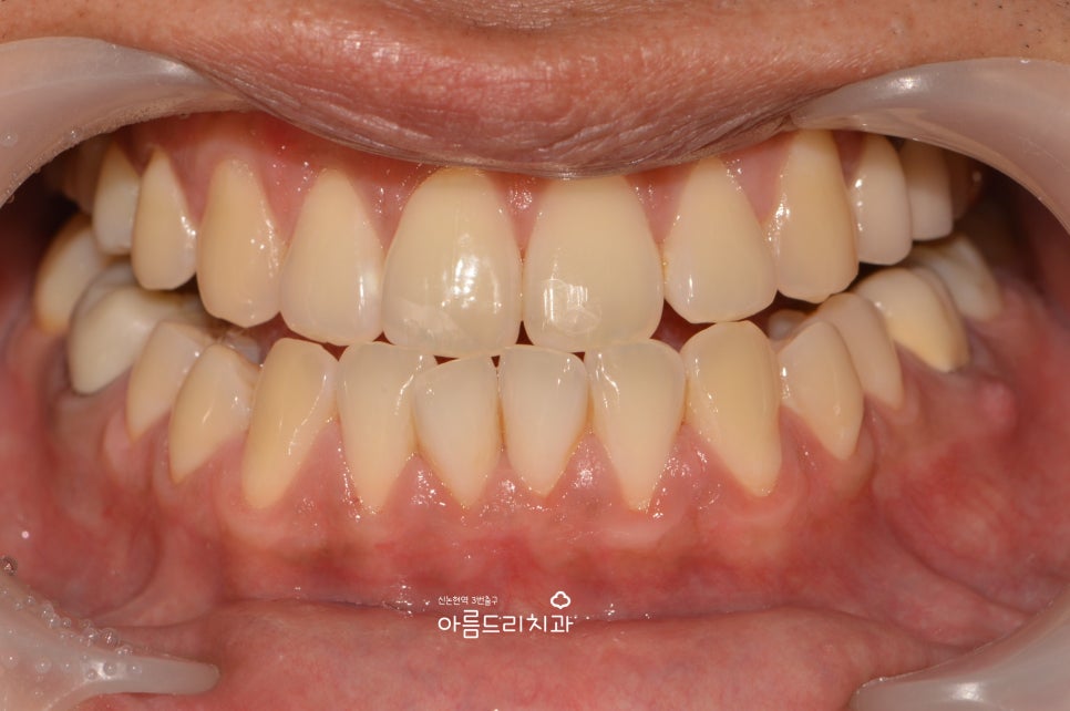
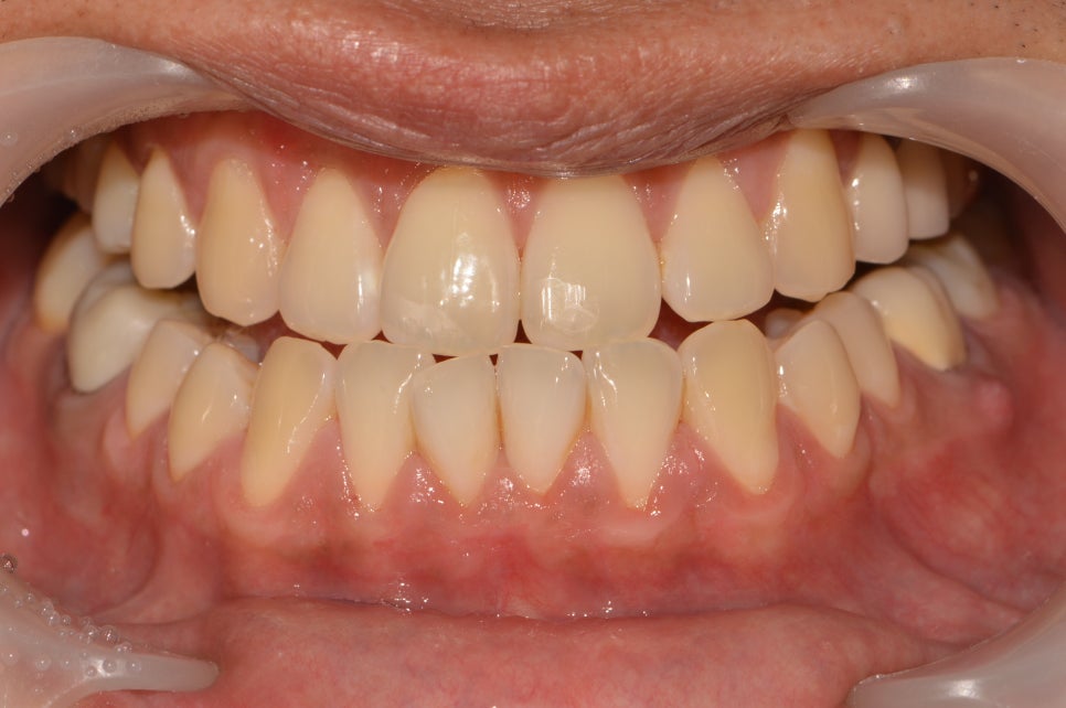
착색된 잇몸 역시 미백할 수 있습니다. 멜라닌 잇몸 착색은 검정 점이 넓게 퍼져있는 형태와 비슷합니다. 점을 빼는 방식과 같이 레이저를 사용하여 약 2-3회 정도 치은 미백을 진행하게 됩니다.
흡연자인 경우 치아의 변색도 함께 진행되기 때문에 잇몸미백과 같이 치아미백도 함께 진행하는 경우가 많습니다.


잇몸미백(치은 미백) 후에도 흡연으로 인해 치/아와 잇몸의 변색이 다시 진행되기 될 수 있기 때문에 가급적 금연 또는 흡연량을 줄이시길 바랍니다.








신논현역 치과. 아름드리 치과