신논현역치과 PRF 자가혈 임플란트. 안전한 임플란트_아름드리 치과 : 네이버 블로그
NAVER 블로그
아름드리치과 공식블로그입니다
블로그 검색
이 블로그에서 검색
공감 0
칭찬 0
감사 0
웃김 0
놀람 0
슬픔 0
span.u_likeit_button) 공감 face 3개 (전체)) -->
공감 0
공감 0
칭찬 0
감사 0
웃김 0
놀람 0
슬픔 0
댓글
2
공유하기
블로그 주소 변경 불가 안내
블로그 마켓 판매자의 이력 관리를 위해
블로그 주소 변경이 불가합니다.
자세히 보기 레이어 닫기
블로그 아이디가 필요해요!
블로그에서 진짜 나를 기록하고
다양한 이웃과 소식을 만나보세요. 지금 시작해볼까요?
블로그 아이디 만들기 블로그 아이디 만들기 레이어 닫기
blog.naver.com/
입력 내용 삭제
설정한 아이디는 나중에 변경할 수 없으니 신중하게 입력해주세요.
변경 전 공유된 블로그/글/클립 링크는 연결이 끊길 수 있습니다.
네이버 아이디 또는 개인정보가 포함된 문자 사용은 피해주세요.
블로그 도움말에서 아이디 변경 유의사항을 확인해보세요.
나중에 할게요
- 이전 주소로 공유된 글은
3개월간 새로운 주소로 연결을 지원하며
이후 언제든 연결이 끊길 수 있습니다.
- 블로그 아이디는 한번 변경하면
다시 변경이 불가능합니다.
변경하시겠습니까?
취소 확인
블로그 아이디는 한번 정하면
다시 변경이 불가능합니다.
이 아이디로 블로그를 만들까요?
취소 확인
환영합니다!
블로그 아이디가 만들어졌어요.
blog.naver.com/
바로 시작하기 추가정보 입력하기
기본정보를 입력해주세요.
나중에 언제든지 변경할 수 있어요.
프로필 이미지 설정
지우기
사진 업로드
취소 적용
별명
블로그명
블로그 주제 주제 없음
엔터테인먼트·예술
문학·책
영화
미술·디자인
공연·전시
음악
드라마
스타·연예인
만화·애니
방송
생활·노하우·쇼핑
일상·생각
육아·결혼
반려동물
좋은글·이미지
패션·미용
인테리어·DIY
요리·레시피
상품리뷰
원예·재배
취미·여가·여행
게임
스포츠
사진
자동차
취미
국내여행
세계여행
맛집
지식·동향
IT·컴퓨터
사회·정치
건강·의학
비즈니스·경제
어학·외국어
교육·학문
주제없음
주제 선택 보류
나중에 할게요
기본정보 입력 주제 선택 이웃 맺기
뒤로가기 버튼
주제를 선택해 주세요.
선택한 주제의 글과 이웃을 추천받을 수 있어요.
나중에 할게요
기본정보 입력 주제 선택 이웃 맺기
뒤로가기 버튼
인기블로거와 이웃을 맺으세요.
이웃을 맺으면 이웃새글에서 글을 받아볼 수 있어요.
블로그 시작하기
기본정보 입력 주제 선택 이웃 맺기
뒤로가기 버튼
확인
확인
이웃추가 이웃
메뉴 바로가기 본문 바로가기
내 블로그
이웃블로그
-
블로그 홈
로그인
검색어 켜기
-->
| 프롤로그 블로그 치료이야기 아름드리:정보 | 지도 안부 |
| 아름드리치과 공식블로그입니다 |
블로그
글쓰기
가벼운 글쓰기툴 퀵에디터가 오픈했어요!
| | | |
| 공지글 글 제목 | 작성일 | |
|---|---|---|
| (2) 공지 테일러비니어 :: 누런 치아, 돌출된 앞니 때문에 고민이라면 | 2025. 6. 11. |
| | | |
| | | |
| | 치료이야기 193개의 글 치료이야기목록열기 | |
| | | |
| | | |

치료이야기
신논현역치과 PRF 자가혈 임플란트. 안전한 임플란트_아름드리 치과
아름드리치과
・ 2017. 4. 13. 10:00
URL 복사
이웃추가
본문 기타 기능
공유하기
신고하기
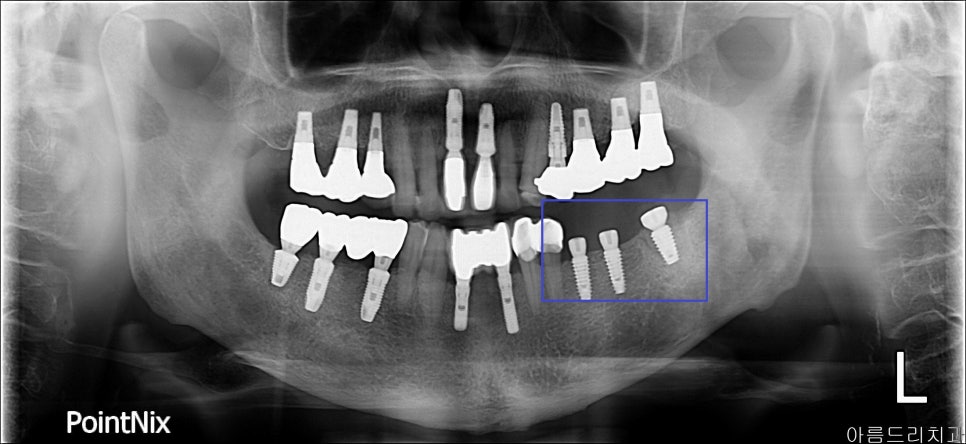
오늘의 사례 환자분은 얼마 전에 본원에서 발치를 하셨던 분입니다. 자가치아 살려내기가 얼마나 중요하다는 것을 매일 외치고 있지만 상태가 너무 좋지 않은 경우, 빠른 치료를 위해 발치를 선택 후 임플란트 계획을 잡으신 분입니다. 환자의 치조골이 부족하여 임플란트 식립시 뼈이식과 함께 골조직 치유를 유도하는 PRF를 사용키로 했습니다. 골조직 치유를 유도하는 PRF 추출 과정을 간단하게 설명드리자면, 본인 혈액을 채취 후 특수 보틀에 넣어 - 원심분리기 - 고농도 성장인자를 추출 후 임플란트 식립시 사용하게 됩니다.

PRF 성장인자 이용한 임플란트 (추출 과정)

임플란트 시술 전 x-ray

PRF 과정_아름드리 치과

PRF 과정_아름드리 치과

원심분리기_아름드리 치과

PRF 과정_아름드리 치과

PRF 임플란트 과정_아름드리 치과

PRF 임플란트 과정_아름드리 치과

PRF 자가혈 임플란트 과정_아름드리 치과


PRF 자가혈 임플란트 과정_아름드리 치과

임플란트 시술 과정_아름드리 치과

임플란트 시술 과정_아름드리 치과

임플란트 시술 과정_아름드리 치과

임플란트 시술 과정_아름드리 치과_ x-ray


임플란트 시술 과정_아름드리 치과_ x-ray

신논현역 치과_ 아름드리 치과

아름드리 치과_신논현역 치과

신논현역치과 아름드리치과