앞니 임플란트_뼈이식_신논현역 치과_아름드리 치과 : 네이버 블로그
NAVER 블로그
아름드리치과 공식블로그입니다
블로그 검색
이 블로그에서 검색
공감 0
칭찬 0
감사 0
웃김 0
놀람 0
슬픔 0
span.u_likeit_button) 공감 face 3개 (전체)) -->
공감 0
공감 0
칭찬 0
감사 0
웃김 0
놀람 0
슬픔 0
댓글
3
공유하기
블로그 주소 변경 불가 안내
블로그 마켓 판매자의 이력 관리를 위해
블로그 주소 변경이 불가합니다.
자세히 보기 레이어 닫기
블로그 아이디가 필요해요!
블로그에서 진짜 나를 기록하고
다양한 이웃과 소식을 만나보세요. 지금 시작해볼까요?
블로그 아이디 만들기 블로그 아이디 만들기 레이어 닫기
blog.naver.com/
입력 내용 삭제
설정한 아이디는 나중에 변경할 수 없으니 신중하게 입력해주세요.
변경 전 공유된 블로그/글/클립 링크는 연결이 끊길 수 있습니다.
네이버 아이디 또는 개인정보가 포함된 문자 사용은 피해주세요.
블로그 도움말에서 아이디 변경 유의사항을 확인해보세요.
나중에 할게요
- 이전 주소로 공유된 글은
3개월간 새로운 주소로 연결을 지원하며
이후 언제든 연결이 끊길 수 있습니다.
- 블로그 아이디는 한번 변경하면
다시 변경이 불가능합니다.
변경하시겠습니까?
취소 확인
블로그 아이디는 한번 정하면
다시 변경이 불가능합니다.
이 아이디로 블로그를 만들까요?
취소 확인
환영합니다!
블로그 아이디가 만들어졌어요.
blog.naver.com/
바로 시작하기 추가정보 입력하기
기본정보를 입력해주세요.
나중에 언제든지 변경할 수 있어요.
프로필 이미지 설정
지우기
사진 업로드
취소 적용
별명
블로그명
블로그 주제 주제 없음
엔터테인먼트·예술
문학·책
영화
미술·디자인
공연·전시
음악
드라마
스타·연예인
만화·애니
방송
생활·노하우·쇼핑
일상·생각
육아·결혼
반려동물
좋은글·이미지
패션·미용
인테리어·DIY
요리·레시피
상품리뷰
원예·재배
취미·여가·여행
게임
스포츠
사진
자동차
취미
국내여행
세계여행
맛집
지식·동향
IT·컴퓨터
사회·정치
건강·의학
비즈니스·경제
어학·외국어
교육·학문
주제없음
주제 선택 보류
나중에 할게요
기본정보 입력 주제 선택 이웃 맺기
뒤로가기 버튼
주제를 선택해 주세요.
선택한 주제의 글과 이웃을 추천받을 수 있어요.
나중에 할게요
기본정보 입력 주제 선택 이웃 맺기
뒤로가기 버튼
인기블로거와 이웃을 맺으세요.
이웃을 맺으면 이웃새글에서 글을 받아볼 수 있어요.
블로그 시작하기
기본정보 입력 주제 선택 이웃 맺기
뒤로가기 버튼
확인
확인
이웃추가 이웃
메뉴 바로가기 본문 바로가기
내 블로그
이웃블로그
-
블로그 홈
로그인
검색어 켜기
-->
| 프롤로그 블로그 치료이야기 아름드리:정보 | 지도 안부 |
| 아름드리치과 공식블로그입니다 |
블로그
글쓰기
가벼운 글쓰기툴 퀵에디터가 오픈했어요!
| | | |
| 공지글 글 제목 | 작성일 | |
|---|---|---|
| (2) 공지 테일러비니어 :: 누런 치아, 돌출된 앞니 때문에 고민이라면 | 2025. 6. 11. |
| | | |
| | | |
| | 치료이야기 193개의 글 치료이야기목록열기 | |
| | | |
| | | |

치료이야기
앞니 임플란트_뼈이식_신논현역 치과_아름드리 치과
아름드리치과
・ 2017. 4. 19. 12:35
URL 복사
이웃추가
본문 기타 기능
공유하기
신고하기
오늘은 앞니(전치부) 임플란트 식립에 대해 알아보겠습니다. 앞니 손상은 충치, 잇몸질환, 사고 등 여러 가지 원인이 있습니다. 앞니를 발치해야 하는 상황에선 많은 분들이 낙심하게 됩니다. 앞니의 역할은 단순한 치아의 역할뿐 아니라 얼굴과 같이 심미적 영향력이 크기 때문이지요.
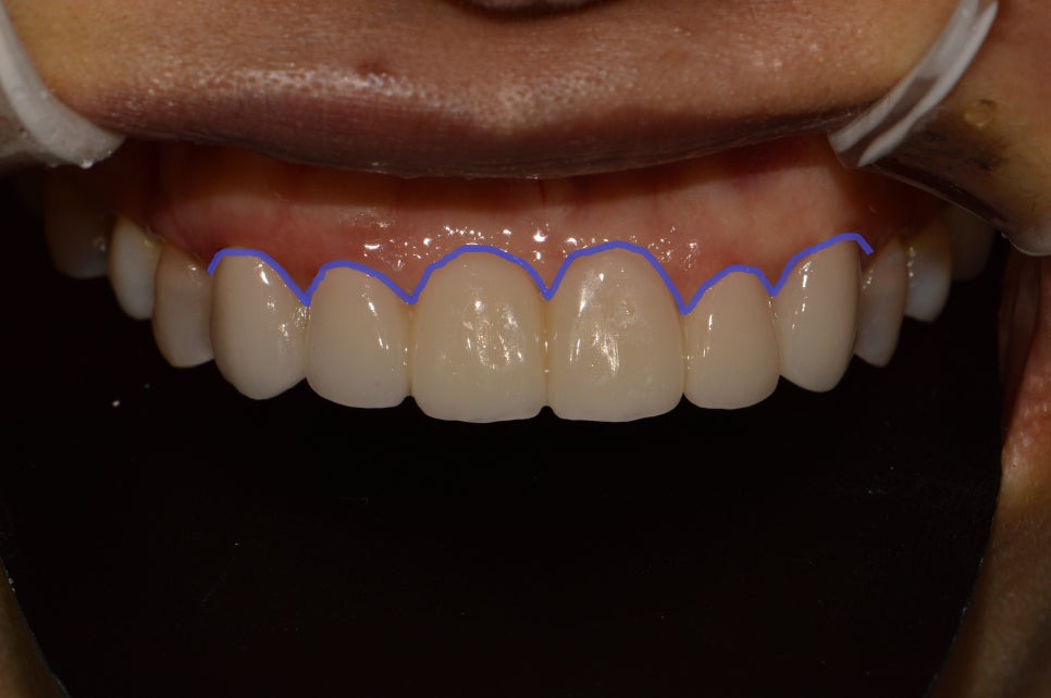
앞니 임플란트는 의료진에게도 어려가지를 고민하게 합니다. 먼저, 다른 부위보다 잇몸 면이 얇아 식립이 까다롭고, 치아의 경도, 주변 치아와의 어울리는 크라운, 잇몸라인 등 계획해야 하는 것들이 많습니다.


뻐드러진 앞니 모형/ 잇몸라인의 중요성
앞니의 씹는 능력(저작력)도 좋아야 하고, 위 사진처럼 뻐드러져서도 안되고, 잇몸라인도 잘 만들어져야 합니다.
- 아래 앞니 임플란트 시술 장면은 불쾌함을 덜기 위해 색보정 되었음을 알려드립니다. 이제부터 간단하게 앞니 임플란트 과정을 알려드리고자 합니다.

앞니 임플란트 시술 과정
시술 전 미리 엑스레이와 CT 촬영 후 임플란트 종류, 뼈이식, 방향, 길이 등이 결정됩니다. 아래 환자분은 틀니를 사용 중이셨고 4개의 임플란트 식립 중입니다.

앞니 임플란트 시술 과정

앞니 임플란트 시술 과정

앞니 임플란트 시술 과정

앞니 임플란트 시술 과정
앞니 잇몸뼈가 부족하여 뼈이식과 함께 진행되며, 임플란트의 뿌리되는 부분을 먼저 식립하고 3-6개월 후 잇몸 밖으로 크라운을 연결할 수 있는 기둥을 만들게 됩니다. 위 측 부위에 임플란트 식립시에는 아래보다 조금 더 긴 치유의 시간이 필요합니다.
오늘은 잇몸 깊숙이 임플란트 뿌리만 식립 후 잇몸은 봉합하므로 겉으로 봐선 봉합된 부분만 확인이 가능합니다.

앞니 임플란트 시술 과정 _이식 대기 중인 bone

앞니 임플란트 시술 과정

앞니 임플란트 시술 과정

앞니 임플란트 시술 과정

앞니 임플란트 시술 과정

앞니 임플란트 시술 과정

앞니 임플란트 시술 과정

앞니 임플란트 시술 과정

사용 중인 틀니

앞니 임플란트 시술 과정 _ 사용될 bone

앞니 임플란트 시술 과정 _시술 중 추가 마취

시술 중 식립된 임플란트의 상태를 확인하기 위해 이동식 엑스레이 촬영을 합니다. 부족한 부분엔 뼈이식이 함께 진행 후 봉합하게 됩니다.



앞니 임플란트 시술과정
환자분은 시술 후 주의사항만 체크하시고 바로 귀가하실 수 있습니다. 당분간은 자극적인 음식은 금지하셔야 하니, 흡연과 음주를 자제하셔야 겠네요~ 환자분들이 가장 많이 궁금해 하시는 내용이기도 합니다.^^
아름드리치과의원
서울특별시 강남구 강남대로 478 제우빌딩
전화
상세보기
신논현역치과_아름드리치과 010-6704-2875

신논현역치과_아름드리치과

신논현역치과_아름드리치과

신논현역치과_아름드리치과
아름드리치과_신논현역치과
신논현역치과_아름드리치과_앞니임플란트