아카이브 요약
이 페이지의 역할
아름드리치과의원의 네이버 블로그 원문을 보존한 아카이브 페이지입니다. 치료이야기 카테고리의 교정 완료_유지 장치 어떤 거 해야 해? 글을 통해 병원의 한국어 정보 제공 방식과 진료 관련 안내 톤을 확인할 수 있습니다.
원문 검증
필요하면 원문 블로그와 병원 프로필로 바로 이동해 문맥을 다시 확인할 수 있습니다.
출처 아카이브 열기아카이브된 블로그 글
아름드리치과의원 · Naver Blog
교정 완료_유지 장치 어떤 거 해야 해? : 네이버 블로그 NAVER 블로그 아름드리치과 공식블로그입니다 블로그 검색 이 블로그에서 검색 공감 0 칭찬 0 감사 0 웃김 0 놀람 0 슬픔 0 span.u_likeit_button) 공감 face 3개 (전체)) --> 공감 0 공감 0 칭찬 0 감사 0 웃김 0 놀람 0...
게시일
2017년 6월 7일
원문 기준으로 확인된 발행일입니다.
카테고리
치료이야기
원문 블로그 카테고리를 정리해 함께 표시합니다.
이미지 수
12
현재 아카이브에 연결된 이미지 수입니다.
아카이브 요약
아름드리치과의원의 네이버 블로그 원문을 보존한 아카이브 페이지입니다. 치료이야기 카테고리의 교정 완료_유지 장치 어떤 거 해야 해? 글을 통해 병원의 한국어 정보 제공 방식과 진료 관련 안내 톤을 확인할 수 있습니다.
원문 검증
필요하면 원문 블로그와 병원 프로필로 바로 이동해 문맥을 다시 확인할 수 있습니다.
출처 아카이브 열기교정 완료_유지 장치 어떤 거 해야 해? : 네이버 블로그
NAVER 블로그
아름드리치과 공식블로그입니다
블로그 검색
이 블로그에서 검색
공감 0
칭찬 0
감사 0
웃김 0
놀람 0
슬픔 0
span.u_likeit_button) 공감 face 3개 (전체)) -->
공감 0
공감 0
칭찬 0
감사 0
웃김 0
놀람 0
슬픔 0
첫 댓글을 남겨보세요
공유하기
블로그 주소 변경 불가 안내
블로그 마켓 판매자의 이력 관리를 위해
블로그 주소 변경이 불가합니다.
자세히 보기 레이어 닫기
블로그 아이디가 필요해요!
블로그에서 진짜 나를 기록하고
다양한 이웃과 소식을 만나보세요. 지금 시작해볼까요?
블로그 아이디 만들기 블로그 아이디 만들기 레이어 닫기
blog.naver.com/
입력 내용 삭제
설정한 아이디는 나중에 변경할 수 없으니 신중하게 입력해주세요.
변경 전 공유된 블로그/글/클립 링크는 연결이 끊길 수 있습니다.
네이버 아이디 또는 개인정보가 포함된 문자 사용은 피해주세요.
블로그 도움말에서 아이디 변경 유의사항을 확인해보세요.
나중에 할게요
3개월간 새로운 주소로 연결을 지원하며
이후 언제든 연결이 끊길 수 있습니다.
다시 변경이 불가능합니다.
변경하시겠습니까?
취소 확인
블로그 아이디는 한번 정하면
다시 변경이 불가능합니다.
이 아이디로 블로그를 만들까요?
취소 확인
환영합니다!
블로그 아이디가 만들어졌어요.
blog.naver.com/
바로 시작하기 추가정보 입력하기
나중에 언제든지 변경할 수 있어요.
프로필 이미지 설정
지우기
사진 업로드
취소 적용
별명
블로그명
블로그 주제 주제 없음
엔터테인먼트·예술
문학·책
영화
미술·디자인
공연·전시
음악
드라마
스타·연예인
만화·애니
방송
생활·노하우·쇼핑
일상·생각
육아·결혼
반려동물
좋은글·이미지
패션·미용
인테리어·DIY
요리·레시피
상품리뷰
원예·재배
취미·여가·여행
게임
스포츠
사진
자동차
취미
국내여행
세계여행
맛집
지식·동향
IT·컴퓨터
사회·정치
건강·의학
비즈니스·경제
어학·외국어
교육·학문
주제없음
주제 선택 보류
나중에 할게요
기본정보 입력 주제 선택 이웃 맺기
뒤로가기 버튼
선택한 주제의 글과 이웃을 추천받을 수 있어요.
나중에 할게요
기본정보 입력 주제 선택 이웃 맺기
뒤로가기 버튼
이웃을 맺으면 이웃새글에서 글을 받아볼 수 있어요.
블로그 시작하기
기본정보 입력 주제 선택 이웃 맺기
뒤로가기 버튼
확인
확인
이웃추가 이웃
메뉴 바로가기 본문 바로가기
내 블로그
이웃블로그
블로그 홈
로그인
검색어 켜기
-->
| 프롤로그 블로그 치료이야기 아름드리:정보 | 지도 안부 |
| 아름드리치과 공식블로그입니다 |
글쓰기
가벼운 글쓰기툴 퀵에디터가 오픈했어요!
| | | |
| 공지글 글 제목 | 작성일 | |
|---|---|---|
| (2) 공지 테일러비니어 :: 누런 치아, 돌출된 앞니 때문에 고민이라면 | 2025. 6. 11. |
| | | |
| | | |
| | 치료이야기 193개의 글 치료이야기목록열기 | |
| | | |
| | | |
치료이야기
교정 완료_유지 장치 어떤 거 해야 해?
아름드리치과
・ 2017. 6. 7. 10:55
URL 복사
이웃추가
본문 기타 기능
공유하기
신고하기
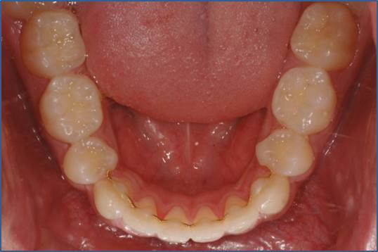
이제 교정 끝? 아직 끝난 게 아니야!

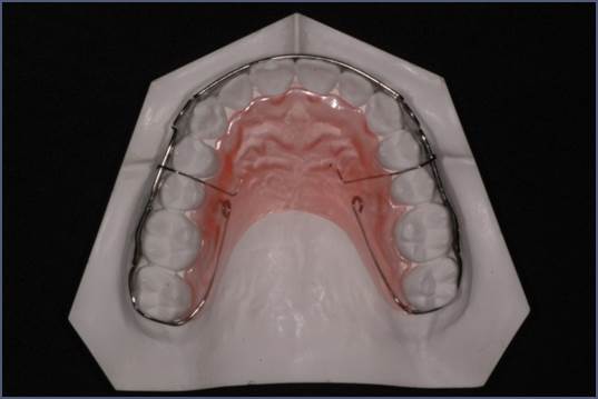
[유지 장치의 종류] 가철식 유지 장치


가철식 유지 장치

가철식 교정 유지 장치

가철식 교정 유지 장치 종류

가철식 교정 유지 장치 종류
가철식 교정 유지 장치는 내가 끼고 뺄 수 있는 탈착이 가능한 장치입니다. 탈착이 용이하다 보니 환자분들이 착용시간이 점점 짧아지는 문제점도 있습니다.
유지 장치의 사용시간은 담당 치과의사와 상의 후 결정되지만 처음 사용 시에는 식사시간을 제외하고 지속적인 사용을 하셔야 합니다.
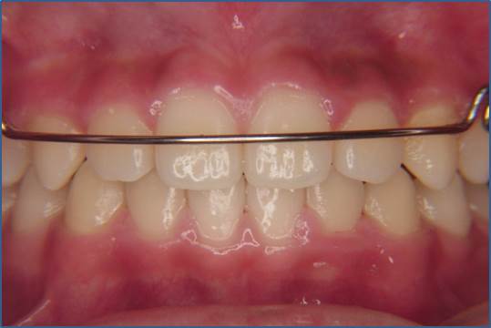
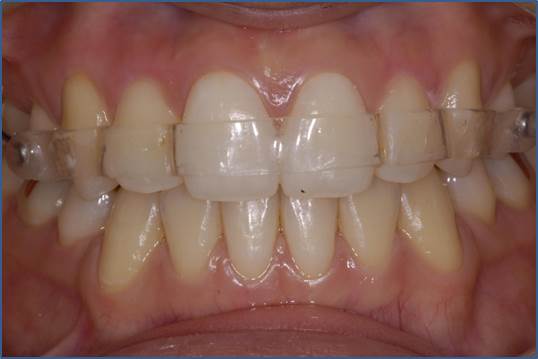
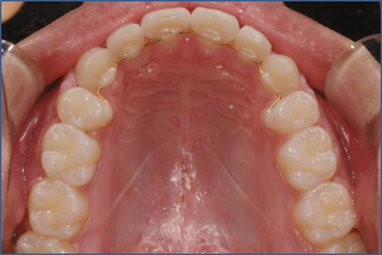
고정식 유지 장치


고정식 교정 유지 장치
고정식 유지 장치는 얇은 와이어(철사)로 치아 안쪽 면에 부착하여 고정시키는 장치입니다. 교정시와 마찬가지로 양치시 안쪽 면 세척을 꼼꼼하게 해주셔야 합니다.
유지장치 세척 및 관리법이 궁금하시면 아래 주소 누르기
http://blog.naver.com/leeefeeel/221018329181
-->
치아교정 후 유지 장치 세척&관리법 Tip_강남 아름드리 치과
길고 긴 시간 돌출되어 있던 앞니도, 삐뚤거렸던 덧니도, 앞으로 전방 직진이었던 아랫니들도 보기 좋게 자...
blog.naver.com
본문으로 이동 -->

치아교정은 부분교정과 급성 교정을 제외하고는 상당한 시간 동안 진료받으시러 다니셔야 합니다. (없던 정도 들 수 있는 시간이지요) 의료진과 환자와의 관계도 그만큼 중요한 진료과목입니다.
치아배열만큼 환자와의 원활한 소통 방법도 반듯하게~ 강남 아름드리치과입니다.


강남 아름드리치과

연예인치과