아카이브 요약
이 페이지의 역할
아름드리치과의원의 네이버 블로그 원문을 보존한 아카이브 페이지입니다. 치료이야기 카테고리의 뽑지 않고 자가치아를 살려주세요_치아 뿌리수술_치근단절제술+뼈이식 글을 통해 병원의 한국어 정보 제공 방식과 진료 관련 안내 톤을 확인할 수 있습니다.
원문 검증
필요하면 원문 블로그와 병원 프로필로 바로 이동해 문맥을 다시 확인할 수 있습니다.
출처 아카이브 열기아카이브된 블로그 글
아름드리치과의원 · Naver Blog
뽑지 않고 자가치아를 살려주세요_치아 뿌리수술_치근단절제술+뼈이식 : 네이버 블로그 NAVER 블로그 아름드리치과 공식블로그입니다 블로그 검색 이 블로그에서 검색 공감 0 칭찬 0 감사 0 웃김 0 놀람 0 슬픔 0 span.u_likeit_button) 공감 face 3개 (전체)) --> 공감 0 공감 0 칭찬 0 감...
게시일
2017년 6월 8일
원문 기준으로 확인된 발행일입니다.
카테고리
치료이야기
원문 블로그 카테고리를 정리해 함께 표시합니다.
이미지 수
10
현재 아카이브에 연결된 이미지 수입니다.
아카이브 요약
아름드리치과의원의 네이버 블로그 원문을 보존한 아카이브 페이지입니다. 치료이야기 카테고리의 뽑지 않고 자가치아를 살려주세요_치아 뿌리수술_치근단절제술+뼈이식 글을 통해 병원의 한국어 정보 제공 방식과 진료 관련 안내 톤을 확인할 수 있습니다.
원문 검증
필요하면 원문 블로그와 병원 프로필로 바로 이동해 문맥을 다시 확인할 수 있습니다.
출처 아카이브 열기뽑지 않고 자가치아를 살려주세요_치아 뿌리수술_치근단절제술+뼈이식 : 네이버 블로그
NAVER 블로그
아름드리치과 공식블로그입니다
블로그 검색
이 블로그에서 검색
공감 0
칭찬 0
감사 0
웃김 0
놀람 0
슬픔 0
span.u_likeit_button) 공감 face 3개 (전체)) -->
공감 0
공감 0
칭찬 0
감사 0
웃김 0
놀람 0
슬픔 0
첫 댓글을 남겨보세요
공유하기
블로그 주소 변경 불가 안내
블로그 마켓 판매자의 이력 관리를 위해
블로그 주소 변경이 불가합니다.
자세히 보기 레이어 닫기
블로그 아이디가 필요해요!
블로그에서 진짜 나를 기록하고
다양한 이웃과 소식을 만나보세요. 지금 시작해볼까요?
블로그 아이디 만들기 블로그 아이디 만들기 레이어 닫기
blog.naver.com/
입력 내용 삭제
설정한 아이디는 나중에 변경할 수 없으니 신중하게 입력해주세요.
변경 전 공유된 블로그/글/클립 링크는 연결이 끊길 수 있습니다.
네이버 아이디 또는 개인정보가 포함된 문자 사용은 피해주세요.
블로그 도움말에서 아이디 변경 유의사항을 확인해보세요.
나중에 할게요
3개월간 새로운 주소로 연결을 지원하며
이후 언제든 연결이 끊길 수 있습니다.
다시 변경이 불가능합니다.
변경하시겠습니까?
취소 확인
블로그 아이디는 한번 정하면
다시 변경이 불가능합니다.
이 아이디로 블로그를 만들까요?
취소 확인
환영합니다!
블로그 아이디가 만들어졌어요.
blog.naver.com/
바로 시작하기 추가정보 입력하기
나중에 언제든지 변경할 수 있어요.
프로필 이미지 설정
지우기
사진 업로드
취소 적용
별명
블로그명
블로그 주제 주제 없음
엔터테인먼트·예술
문학·책
영화
미술·디자인
공연·전시
음악
드라마
스타·연예인
만화·애니
방송
생활·노하우·쇼핑
일상·생각
육아·결혼
반려동물
좋은글·이미지
패션·미용
인테리어·DIY
요리·레시피
상품리뷰
원예·재배
취미·여가·여행
게임
스포츠
사진
자동차
취미
국내여행
세계여행
맛집
지식·동향
IT·컴퓨터
사회·정치
건강·의학
비즈니스·경제
어학·외국어
교육·학문
주제없음
주제 선택 보류
나중에 할게요
기본정보 입력 주제 선택 이웃 맺기
뒤로가기 버튼
선택한 주제의 글과 이웃을 추천받을 수 있어요.
나중에 할게요
기본정보 입력 주제 선택 이웃 맺기
뒤로가기 버튼
이웃을 맺으면 이웃새글에서 글을 받아볼 수 있어요.
블로그 시작하기
기본정보 입력 주제 선택 이웃 맺기
뒤로가기 버튼
확인
확인
이웃추가 이웃
메뉴 바로가기 본문 바로가기
내 블로그
이웃블로그
블로그 홈
로그인
검색어 켜기
-->
| 프롤로그 블로그 치료이야기 아름드리:정보 | 지도 안부 |
| 아름드리치과 공식블로그입니다 |
글쓰기
가벼운 글쓰기툴 퀵에디터가 오픈했어요!
| | | |
| 공지글 글 제목 | 작성일 | |
|---|---|---|
| (2) 공지 테일러비니어 :: 누런 치아, 돌출된 앞니 때문에 고민이라면 | 2025. 6. 11. |
| | | |
| | | |
| | 치료이야기 193개의 글 치료이야기목록열기 | |
| | | |
| | | |

치료이야기
뽑지 않고 자가치아를 살려주세요_치아 뿌리수술_치근단절제술+뼈이식
아름드리치과
・ 2017. 6. 8. 9:00
URL 복사
이웃추가
본문 기타 기능
공유하기
신고하기
우리 치아는 살려서 쓸 수 있는 방법이 많다면 많고, 적다면 적은데요, 그 방법 중 하나인 치근단절제술에 대해 알아보도록 할겠습니다.
지난 시간에, 신경치료와 치아재식술에 대하여 알아보았었죠?
http://blog.naver.com/leeefeeel/220817198687
-->
[치아 신경치료] #46,47번(오른쪽 아래 치아) 통증으로 내원
이00님(여 36)은 오른쪽 아랫니를 중심으로 치통과 두통을 동반한 상태에서 내원하셨어요. 어젯밤부터 갑자...
blog.naver.com
본문으로 이동 -->
치아의 문제가 생겨 통증이 유발될 시 1차적으로 신경치료를 한 후에도 여러 가지 이유로 통증이 완화되지 않을 경우 발치 전 단계로 자가치아 생존의 최후 단계로 선택하게 되는 치료법 중 하나인 치근단 절제술에 대해 알아보려고 합니다.
치근단절제술이란, 치아 뿌리 끝 일부를 잘라내는 수술
치수에 염증이 있거나 세균에 감염되어서 치아뿌리끝에 염증이 일어난 경우에는 근관치료를 시행한 후에도 치아뿌리 끝 주위에 있는 조직은 치료되지 않는 경우가 많습니다.
이 경우에는 치아뿌리끝에 있는 치조골 주위의 염증조직을 치아뿌리끝 부분과 함께 잘라내는데 이것을 치근단수술 또는 치근단절제술이라고 합니다.

치아뿌리염증
앞니 쪽에 지속적으로 통증이 있어 진단 후 치근단절제술을 시행하기로 하신 케이스로, 뿌리 조직의 염증을 제거 후 부족한 치조골(잇몸뼈)에 뼈이식으로 함께 진행합니다.

치아뿌리염증 _치근단절제술

치근단 절제술 후 뼈이식
*위 시술 사진은 다소 불편한 장면이 포함되어있어 색보정이 되었음을 알려드립니다.

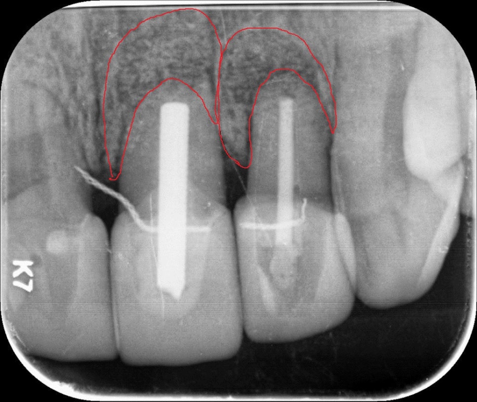
치근단절제술 하긴 전 병변 사진 (붉은색으로 표시)
(위 그림) 붉은색으로 표시된 부위의 치아 뿌리 부분의 염증조직 (아래 그림) 치근단 절제술로 제거 후 뼈이식술 함께 진행된 방사선 사진


(왼쪽) 치아 뿌리 병변 조직 확대 / (오른쪽) 치근단 절제술 + 뼈이식 후 x-ray
이 수술을 받으면 치아를 뽑지 않고 보존 가능성이 높아집니다. 접근이 어려운 부위 또는 어금니 경우는 치아를 뽑아서 근관치료를 한 다음 다시 치아를 원래 있던 자리에 넣어주는 방법을 사용하기도 하는데, 치아 재식술에 관한 건 지난번에 같이 공부했었죠? ^^ http://blog.naver.com/leeefeeel/220983783422
-->
치아재식_임플란트 안 하고 치아 살릴 순 없나요?(신논현역 치과)
blog.naver.com
본문으로 이동 -->
위와 같이 치근단 절제술이나 치아재식 모두 자가치아를 뽑지 않고 살리기 위한 치료법으로 의료보험이 가능한 진료이며, 어려운 진료이지만 해볼 만한, 성공률 높은 치료법이기도 합니다.
두 방법 모두 치아의 위치, 상태 등을 상세히 검사 후에 결정하게 되며, 뿌리끝 염증조직을 잘라낸 후에 중심부에 구멍을 낸 다음 충전물을 채워 넣어 완전히 막아 줍니다. 염증 부위가 넓을 때에는 뼈가 잘 형성되도록 돕는 약이나 인공뼈를 넣기도 합니다. 그다음 수술한 부분을 봉합하고, 일주일 후에 봉합사를 제거하면서 수술 부위를 체크하게 되죠. 수술을 끝낸 다음에 수개월이 지나 치아 뿌리끝 주위에 뼈가 올라오게 되면, 정상치아처럼 사용하게 됩니다.


아름드리치과 _신논현역치과

아름드리 치과_신논현역 치과_연예인치과