아카이브 요약
이 페이지의 역할
아름드리치과의원의 네이버 블로그 원문을 보존한 아카이브 페이지입니다. 치료이야기 카테고리의 매복사랑니발치 후기 비용 아름드리치과 글을 통해 병원의 한국어 정보 제공 방식과 진료 관련 안내 톤을 확인할 수 있습니다.
원문 검증
필요하면 원문 블로그와 병원 프로필로 바로 이동해 문맥을 다시 확인할 수 있습니다.
출처 아카이브 열기아카이브된 블로그 글
아름드리치과의원 · 아름드리치과 공식블로그입니다
매복사랑니발치 후기 비용 아름드리치과 : 네이버 블로그 NAVER 블로그 아름드리치과 공식블로그입니다 블로그 검색 이 블로그에서 검색 공감 0 칭찬 0 감사 0 웃김 0 놀람 0 슬픔 0 span.u_likeit_button) 공감 face 3개 (전체)) --> 공감 0 공감 0 칭찬 0 감사 0 웃김 0 놀람 0 슬픔...
게시일
2018년 4월 5일
원문 기준으로 확인된 발행일입니다.
카테고리
치료이야기
원문 블로그 카테고리를 정리해 함께 표시합니다.
이미지 수
10
현재 아카이브에 연결된 이미지 수입니다.
아카이브 요약
아름드리치과의원의 네이버 블로그 원문을 보존한 아카이브 페이지입니다. 치료이야기 카테고리의 매복사랑니발치 후기 비용 아름드리치과 글을 통해 병원의 한국어 정보 제공 방식과 진료 관련 안내 톤을 확인할 수 있습니다.
원문 검증
필요하면 원문 블로그와 병원 프로필로 바로 이동해 문맥을 다시 확인할 수 있습니다.
출처 아카이브 열기매복사랑니발치 후기 비용 아름드리치과 : 네이버 블로그
NAVER 블로그
아름드리치과 공식블로그입니다
블로그 검색
이 블로그에서 검색
공감 0
칭찬 0
감사 0
웃김 0
놀람 0
슬픔 0
span.u_likeit_button) 공감 face 3개 (전체)) -->
공감 0
공감 0
칭찬 0
감사 0
웃김 0
놀람 0
슬픔 0
댓글
13
공유하기
블로그 주소 변경 불가 안내
블로그 마켓 판매자의 이력 관리를 위해
블로그 주소 변경이 불가합니다.
자세히 보기 레이어 닫기
블로그 아이디가 필요해요!
블로그에서 진짜 나를 기록하고
다양한 이웃과 소식을 만나보세요. 지금 시작해볼까요?
블로그 아이디 만들기 블로그 아이디 만들기 레이어 닫기
blog.naver.com/
입력 내용 삭제
설정한 아이디는 나중에 변경할 수 없으니 신중하게 입력해주세요.
변경 전 공유된 블로그/글/클립 링크는 연결이 끊길 수 있습니다.
네이버 아이디 또는 개인정보가 포함된 문자 사용은 피해주세요.
블로그 도움말에서 아이디 변경 유의사항을 확인해보세요.
나중에 할게요
3개월간 새로운 주소로 연결을 지원하며
이후 언제든 연결이 끊길 수 있습니다.
다시 변경이 불가능합니다.
변경하시겠습니까?
취소 확인
블로그 아이디는 한번 정하면
다시 변경이 불가능합니다.
이 아이디로 블로그를 만들까요?
취소 확인
환영합니다!
블로그 아이디가 만들어졌어요.
blog.naver.com/
바로 시작하기 추가정보 입력하기
나중에 언제든지 변경할 수 있어요.
프로필 이미지 설정
지우기
사진 업로드
취소 적용
별명
블로그명
블로그 주제 주제 없음
엔터테인먼트·예술
문학·책
영화
미술·디자인
공연·전시
음악
드라마
스타·연예인
만화·애니
방송
생활·노하우·쇼핑
일상·생각
육아·결혼
반려동물
좋은글·이미지
패션·미용
인테리어·DIY
요리·레시피
상품리뷰
원예·재배
취미·여가·여행
게임
스포츠
사진
자동차
취미
국내여행
세계여행
맛집
지식·동향
IT·컴퓨터
사회·정치
건강·의학
비즈니스·경제
어학·외국어
교육·학문
주제없음
주제 선택 보류
나중에 할게요
기본정보 입력 주제 선택 이웃 맺기
뒤로가기 버튼
선택한 주제의 글과 이웃을 추천받을 수 있어요.
나중에 할게요
기본정보 입력 주제 선택 이웃 맺기
뒤로가기 버튼
이웃을 맺으면 이웃새글에서 글을 받아볼 수 있어요.
블로그 시작하기
기본정보 입력 주제 선택 이웃 맺기
뒤로가기 버튼
확인
확인
이웃추가 이웃
메뉴 바로가기 본문 바로가기
내 블로그
이웃블로그
블로그 홈
로그인
검색어 켜기
-->
| 프롤로그 블로그 치료이야기 아름드리:정보 | 지도 안부 |
| 아름드리치과 공식블로그입니다 |
글쓰기
가벼운 글쓰기툴 퀵에디터가 오픈했어요!
| | | |
| 공지글 글 제목 | 작성일 | |
|---|---|---|
| (2) 공지 테일러비니어 :: 누런 치아, 돌출된 앞니 때문에 고민이라면 | 2025. 6. 11. |
| | | |
| | | |
| | 치료이야기 193개의 글 치료이야기목록열기 | |
| | | |
| | | |
치료이야기
매복사랑니발치 후기 비용 아름드리치과
아름드리치과
・ 2018. 4. 5. 0:31
URL 복사
이웃추가
본문 기타 기능
공유하기
신고하기
매복사랑니발치 후기 비용 아름드리치과

늘 환자에 입장에서 함께 소통하고 과잉없는 진료와 양심적인 치료~ 아름드리치과입니다.
오늘은 누구나 한번쯤은 경험해보거나 들어 본적이 있는 사랑니에 대해 아름드리에 내원한 환자분의 사례를 말씀드리도록 하겠습니다.
식습관의 변화와 머리크기가 점점 작아짐에 따라 사랑니는 점점 골치거리가 되었죠.
특히 상악과 하악 28개로 이루어진 치아의 갯수에 비해 한국인은 작은 얼굴형을 가지고 있기 때문에 매복사랑니(잇몸안쪽으로 묻힌 사랑니)가 발생할 가능성이 높습니다.

많은 분들께서 사랑니에 대해 물어보실때 "사랑니는 무조건 뽑아야 하는건가요?" 라는 질문이 가장 많고 궁금해하십니다.
사랑니 발치! 꼭 필요한가?
사랑니가 아무런 통증도 없이 반듯하게 정상적 인 위치에 있다면 굳이 뽑지 않으셔도 됩니다.
신논현역치과 사랑니 꼭 빼야하나요?
신논현역치과 사랑니 꼭 빼야하나요? 안녕하세요. 항상 환자의 자연치아를 살리려 노력하고 있는 신논현역 ...
blog.naver.com
▲ ▲ 이것은 예전에 올린 후기 중 사랑니를 살려 어금니처럼 사용할 수 있게 만들었던 아름드리 의 진료내용을 참고하시면 도움이 되겠네요.
하지만, 비정상적으로 자라는 경우가 많으며 인접한 치아의 충치 혹은 잇몸의 문제 등 다양한 문제를 유발할 수 있기 때문에 치과에 서는 보통 발치를하는 것을 권해드리고 있죠.

환자분께서는 사랑니 중에서도 난이도가 높은 매복사랑니발치의 케이스였는데요.
매복사랑니란 말그대로 사랑니가 잇몸에 매복 된 상태를 뜻하며 그 각도나 매복된 정도에 따라 다르게 분류되고 치료방법 또한 다르죠.
<매복된 각도에 따른 분류> 원심 경사 매복, 수평 매복, 수직 매복
<매복된 정도에 따른 분류> 단순 매복, 복잡 매복, 완전 매복
또한 매복사랑니발치 비용도 매복의 종류에 따라 난이도가 다르고 발치하는 방법이 다르기 때문에 통상적인 비용은 1~5만원 정도입니다.

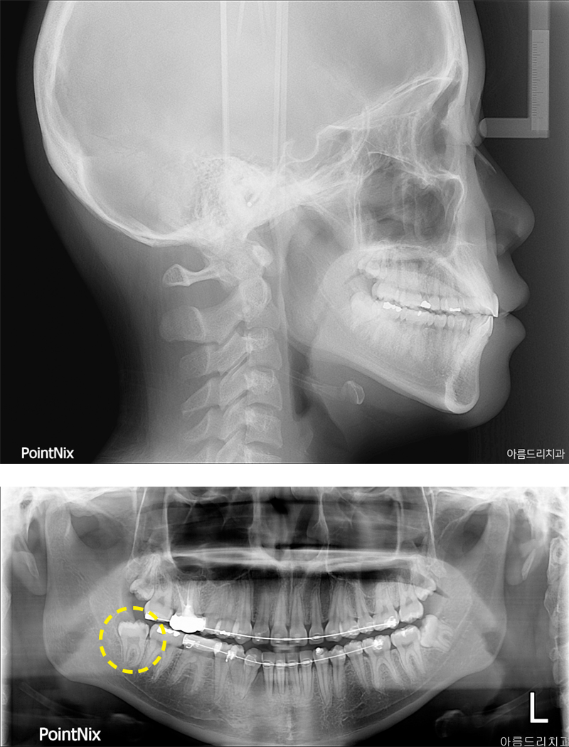
사진을 보면 우측과 좌측에 매복사랑니가 있는 모습을 확인하실 수 있으실텐데요.
우측에 있는 사랑니와 인접한 치아에 충치가 발생하여 통증이 심해 발치를 원하셨습니다.
파노라마 사진에서도 확인해 보실수 있듯이 매복사랑니발치 케이스인 것을 확인할 수 있었고 육안으로 보기에도 치아가 거의 보이 지 않았으며 더 중요한것은 하악의 사랑니는 설신경과 하치조신경이 지나가기 때문에 매우 신경써서 발치를 진행해야만 합니다.
환자분께서는 얼마 지나지 않아 회사에서 출장 스케쥴이 있으셔서 당일 발치를 원하셨고 아름드리치과의 정밀한 CT촬영과 3차원분석 을 통해 당일 매복사랑니발치를 진행하였어요.

그동안의 통증이 너무 심하고 매복사랑니발치 가 일반 사랑니발치보다 복잡하고 어렵다는 걸 알고계셔서 마취하기 전부터 겁을 내셨어요.
그나마 참 다행이었던 것이 완전매복발치의 케이스는 아니셨기 때문에 잇몸을 절개하고 비교적으로 쉽게 발치를 할 수 있었답니다.
환자분께서는 처음에 걱정했던 것과는 달리 발치과정이 다 끝난 후에는 생각했던 것보다 통증도 거의 없었고 뽑은 후 첫날만 욱씬거리 는 증상이 있다가 바로 괜찮아지셨다고 해요.

이제 여러분들도 매복사랑니발치가 어떤 것인 지 그 종류에는 어떤것들이 있는지 아시겠죠?
사랑니발치 선택의 기준!
올바른 매복사랑니후기를 얻기 위해서는 우선 치아의 상태를 사전에 정밀하게 검사할 수 있 는 첨단장비를 보유하고 있는곳이어야 합니다.
그리고 매복사랑니는 사람들마다 그 종류와 모양이 조금씩 다르기 때문에 풍부한 임상 경험을 가진 의료진에게 받는것이 좋습니다.
마지막으로 통증을 줄여 편안한 진료를 받기 위한 무통마취와 당일발치가 가능한 시스템을 제대로 갖춘 치과를 선택하는 것이 좋습니다.

아름드리치과의 모든 진료시스템은 환자를 중심으로 구성되어 있으며 환자분들께 보다 안전하고 편안한 진료를 위해 대학병원수준의 최첨단 장치/장비를 보유하고 있는 곳입니다.
환자를 가족처럼 생각하는 이현정 원장님을 비롯하여 오랜 경력의 진료팀이 함께 하고 있 기 때문에 보다 안전하고 혹시나 발생할 수 있는 응급상황에 대한 후 처치/후 대응이 매우 빠르고 뛰어난 치과라 말씀드릴 수 있습니다.

아름드리치과는 매복사랑니발치와 치과 자체 를 두려워하는 분들을 위해 밝고 깨끗한 인테 리어와 대기하는 환자를 위한"PLAY ZONE" 을 운영하고 있으며 치과공포심을 없애기 위해 남다른 노력을 기울이고 있는 곳입니다.

보다 안전하고 정확한 매복사랑니발치치과를 찾고 계시다면 아름드리치과가 정답입니다. 아름드리는 신논현역에 위치하고 있으며 2호선 강남역과 7호선 논현역에서도 오실수 있으며 건물에 자체 주차장을 보유하고 있어 자가용을 이용하여 내원하셔도 됩니다.

모바일의 경우 위의 이미지를 누르면 아름드리치과 카카오톡상담으로 연결됩니다.