아카이브 요약
이 페이지의 역할
아름드리치과의원의 네이버 블로그 원문을 보존한 아카이브 페이지입니다. 치료이야기 카테고리의 어린이치아교정 부정교합 성장판 검사 글을 통해 병원의 한국어 정보 제공 방식과 진료 관련 안내 톤을 확인할 수 있습니다.
원문 검증
필요하면 원문 블로그와 병원 프로필로 바로 이동해 문맥을 다시 확인할 수 있습니다.
출처 아카이브 열기아카이브된 블로그 글
아름드리치과의원 · Naver Blog
어린이치아교정 부정교합 성장판 검사 : 네이버 블로그 NAVER 블로그 아름드리치과 공식블로그입니다 블로그 검색 이 블로그에서 검색 공감 0 칭찬 0 감사 0 웃김 0 놀람 0 슬픔 0 span.u_likeit_button) 공감 face 3개 (전체)) --> 공감 0 공감 0 칭찬 0 감사 0 웃김 0 놀람 0 슬픔...
게시일
2018년 8월 27일
원문 기준으로 확인된 발행일입니다.
카테고리
치료이야기
원문 블로그 카테고리를 정리해 함께 표시합니다.
이미지 수
16
현재 아카이브에 연결된 이미지 수입니다.
아카이브 요약
아름드리치과의원의 네이버 블로그 원문을 보존한 아카이브 페이지입니다. 치료이야기 카테고리의 어린이치아교정 부정교합 성장판 검사 글을 통해 병원의 한국어 정보 제공 방식과 진료 관련 안내 톤을 확인할 수 있습니다.
원문 검증
필요하면 원문 블로그와 병원 프로필로 바로 이동해 문맥을 다시 확인할 수 있습니다.
출처 아카이브 열기어린이치아교정 부정교합 성장판 검사 : 네이버 블로그
NAVER 블로그
아름드리치과 공식블로그입니다
블로그 검색
이 블로그에서 검색
공감 0
칭찬 0
감사 0
웃김 0
놀람 0
슬픔 0
span.u_likeit_button) 공감 face 3개 (전체)) -->
공감 0
공감 0
칭찬 0
감사 0
웃김 0
놀람 0
슬픔 0
댓글
7
공유하기
블로그 주소 변경 불가 안내
블로그 마켓 판매자의 이력 관리를 위해
블로그 주소 변경이 불가합니다.
자세히 보기 레이어 닫기
블로그 아이디가 필요해요!
블로그에서 진짜 나를 기록하고
다양한 이웃과 소식을 만나보세요. 지금 시작해볼까요?
블로그 아이디 만들기 블로그 아이디 만들기 레이어 닫기
blog.naver.com/
입력 내용 삭제
설정한 아이디는 나중에 변경할 수 없으니 신중하게 입력해주세요.
변경 전 공유된 블로그/글/클립 링크는 연결이 끊길 수 있습니다.
네이버 아이디 또는 개인정보가 포함된 문자 사용은 피해주세요.
블로그 도움말에서 아이디 변경 유의사항을 확인해보세요.
나중에 할게요
3개월간 새로운 주소로 연결을 지원하며
이후 언제든 연결이 끊길 수 있습니다.
다시 변경이 불가능합니다.
변경하시겠습니까?
취소 확인
블로그 아이디는 한번 정하면
다시 변경이 불가능합니다.
이 아이디로 블로그를 만들까요?
취소 확인
환영합니다!
블로그 아이디가 만들어졌어요.
blog.naver.com/
바로 시작하기 추가정보 입력하기
나중에 언제든지 변경할 수 있어요.
프로필 이미지 설정
지우기
사진 업로드
취소 적용
별명
블로그명
블로그 주제 주제 없음
엔터테인먼트·예술
문학·책
영화
미술·디자인
공연·전시
음악
드라마
스타·연예인
만화·애니
방송
생활·노하우·쇼핑
일상·생각
육아·결혼
반려동물
좋은글·이미지
패션·미용
인테리어·DIY
요리·레시피
상품리뷰
원예·재배
취미·여가·여행
게임
스포츠
사진
자동차
취미
국내여행
세계여행
맛집
지식·동향
IT·컴퓨터
사회·정치
건강·의학
비즈니스·경제
어학·외국어
교육·학문
주제없음
주제 선택 보류
나중에 할게요
기본정보 입력 주제 선택 이웃 맺기
뒤로가기 버튼
선택한 주제의 글과 이웃을 추천받을 수 있어요.
나중에 할게요
기본정보 입력 주제 선택 이웃 맺기
뒤로가기 버튼
이웃을 맺으면 이웃새글에서 글을 받아볼 수 있어요.
블로그 시작하기
기본정보 입력 주제 선택 이웃 맺기
뒤로가기 버튼
확인
확인
이웃추가 이웃
메뉴 바로가기 본문 바로가기
내 블로그
이웃블로그
블로그 홈
로그인
검색어 켜기
-->
| 프롤로그 블로그 치료이야기 아름드리:정보 | 지도 안부 |
| 아름드리치과 공식블로그입니다 |
글쓰기
가벼운 글쓰기툴 퀵에디터가 오픈했어요!
| | | |
| 공지글 글 제목 | 작성일 | |
|---|---|---|
| (2) 공지 테일러비니어 :: 누런 치아, 돌출된 앞니 때문에 고민이라면 | 2025. 6. 11. |
| | | |
| | | |
| | 치료이야기 193개의 글 치료이야기목록열기 | |
| | | |
| | | |
치료이야기
어린이치아교정 부정교합 성장판 검사
아름드리치과
・ 2018. 8. 27. 14:55
URL 복사
이웃추가
본문 기타 기능
공유하기
신고하기
어린이치아교정 부정교합 성장판 검사

안녕하세요. 성인교정 뿐만이 아니라 어린이치아교정에 이르기 까지 풍부한 임상 경험과 노하우를 바탕으로 교정진료를 하고 있는 신논현역에 위치한 아름드리치과입니다.
지난번 소아교정에 대한 포스팅 이후 치아교정 을 생각하고 있는 자녀를 둔 부모님들께서 어린이부정교합 치료의 진료가 어떤 프로세스 로 이루어 지는지 궁금해하셔서 실제 환자분의 방문기를 토대로 설명을 해드리려고 합니다.

이번에 아름드리치과를 방문해주신 어머님 께서는 현재 남편분도 아름드리에서 임플란트 진료를 받고 계시며 친정 식구 등 온 가족 모두 아름드리에서 치료를 받고 계신 상황인데요.
이번에는 자녀분의 어린이치아교정 성장교정 을 위해 아름드리치과를 방문해주셨답니다.
어린이치아교정은 항상 적합한 시기에 해야 된다는 말은 치아교정이 필요한 자녀들을 가진 부모님들이라면 한번쯤 들어 보셨을텐데요.
그 이유가 무엇인지, 교정치과를 방문하였을때 어떠한 검사를 하는지에 대해 알려드릴께요.



치과를 방문했을때 가장 먼저 하게 되는 일은 바로 환자의 과거와 현재의 상태를 확인하기 위한 진료 차트를 기록하여 접수하는 일이죠.
치아교정의 경우 가족력(유전)도 매우 큰 비중 을 차지하고 있으며 특히 어린이의 경우 평상 시 잘못된 습관이나 버릇 등이 있는지에 대해 함께 파악하고 함께 교정해 나가야만 합니다.
보통 부모의 손에 이끌려 치과에 오게 되는 어린이들은 잔뜩 겁에 질려 있는 경우가 대부 분 이지만 아름드리치과의 깔끔하고 세련된 인테리어와 이런 상황을 고려하여 데스크에서 어린 환자에 대한 교육을 따로 받아 응대에 부족함이 없기 때문에 현재 어린이부정교합 진료를 위해 온 초등학교 5학년인 유하O 어린이는 마냥 신기해 하기만 하네요.

어린이 청소년의 교정과 성인의 교정과에는 한가지 검사하는 과정에 차이가 있는데요.
그것은 치과 성장판 검사라고 할 수 있어요. 굳이 치과에서 성장판 검사를 왜 시행하는지 의아해 하는 분들도 많이 있으실텐데요.
골 성숙 정도를 평가하는 성장판검사(골연령) 는 치아가 배열이 되는 악면골격의 성장을 예측하고 성장기를 이용하여 교정진료를 하게 되면 치아의 이동이 수월하고 효율적입니다.
아름드리치과에서는 성장의 단계를 평가하여 현재 성장단계가 어떠한지를 파악하고 가장 적 절한 치아교정의 시기를 계획하고 있습니다.

또한 성장기 교정의 장점으로는 앞서 말씀드린 것처럼 성장기를 정확하게 파악하여 교정치료 를 하게 되면 치아의 이동이 수월하고 비교적 간단하고 빠른 기간 내에 교정이 가능합니다.
그리고 부정교합으로 인한 안면비대칭, 주걱턱 등의 문제를 예방할 수 있으며 성인교정보다 매우 안정이고 빠르게 치료결과를 얻을 수 있으며 얼굴뼈의 성장을 조절하여 얼굴 형태 의 개선 효과까지도 기대할 수가 있습니다.

진료차트를 작성하고 데스크에서 접수 과정을 마치고 나면 유하O 어린이는 안모(얼굴생김 새)를 촬영하기 위해 이동하게 되는데요.
아름드리치과에서는 단지 치아만의 문제를 해결하는 데에서 그치는 것이 아니라 얼굴의 전체적인 비율을 파악하여 가장 이상적이고 조화롭고 아름다운 스마일라인을 찾아드리기 때문에 교정 전 안모 촬영을 진행하고 있어요.
정면과 45도, 그리고 측면의 사진까지 찍는데 유하O 어린이가 너무 잘 따라와주었답니다.


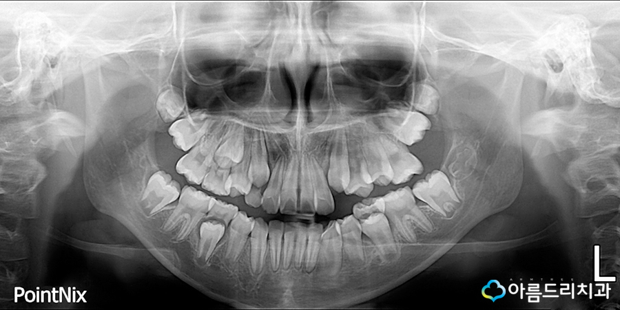
그 다음으로는 치과에 내원하면 가장 대표적인 일 중 하나인 엑스레이 촬영을 하게 되는데요.
엑스레이 촬영의 종류도 매우 다양합니다.
우선 환자의 입안을 아무리 세심하게 의료진의 눈으로 열심히 본다고 해도 치아나 잇몸뼈속 부분까지 세밀하게 확인하는건 불가능하겠죠?
파노라마 엑스레이를 통하여 전체 치아의 배열과 상태, 교합관계나 턱뼈의 상태 등 턱 얼 굴 구조의 위치관계를 한눈에 알수 있습니다.


어린이치아교정을 할 때 성장 및 치아와 골격 진단을 보다 정밀하게 하기 위해 두부방사선 사진을 촬영하게 되는데요~ 이는 위턱과 아래 턱의 교합관계와 치아관계 등의 골격적인 문제 를 확인하는 용도로 쓰이고 있으며 이를 통해 골격 문제에 대한 분석과 계획을 세우게되죠.
위의 두가지는 성인교정과 어린이부정교합의 경우 마찬가지로 채득하게 되는 자료입니다.


성장기의 아이들을 위한 어린이부정교합 및 치아교정을 위해서는 성장판검사를 하는데요.
앞서 설명드린것과 같이 어린이 교정치료에 있어 시기가 너무 빠르거나 그 시기를 놓치게 되면 성장을 이용한 골격교정이 힘들어 질 수 있기 때문에 가장 적절한 시기의 치아교정을 계획하기 위해 성장판검사를 시행하고 있어요.
디테일한 치아 사진촬영과 몇가지 추가되는 과정들을 마치면 모든 검사가 끝이나게됩니다.
또한 어린이 교정진료는 그 자리에서 바로 결정되어 시작하는 것이 아니라 해당 자료를 바탕으로 하여 한번 더 정밀검사를 시행한후 비로소 어린이부정교합 진료가 시작되죠.

어린이부정교합 치아교정에서도 과잉없는 진료와 올바른 치료계획으로 거의 대부분 환자의 소개로 운영되는 아름드리치과!
"그만큼 만족도 높은 결과를 자부합니다"
앞으로 유하O 어린이가 교정치료를 하는 모습 과 변화되는 과정을 아름드리 대표 블로그에 포스팅 할 예정이니 자녀의 치아교정을 생각 하고 계신 분들께서는 참고하시길 바랄께요.
