아카이브 요약
이 페이지의 역할
아름드리치과의원의 네이버 블로그 원문을 보존한 아카이브 페이지입니다. 치료이야기 카테고리의 앞니부분교정 꼼꼼하고 예리하게 글을 통해 병원의 한국어 정보 제공 방식과 진료 관련 안내 톤을 확인할 수 있습니다.
원문 검증
필요하면 원문 블로그와 병원 프로필로 바로 이동해 문맥을 다시 확인할 수 있습니다.
출처 아카이브 열기아카이브된 블로그 글
아름드리치과의원 · 아름드리치과 공식블로그입니다
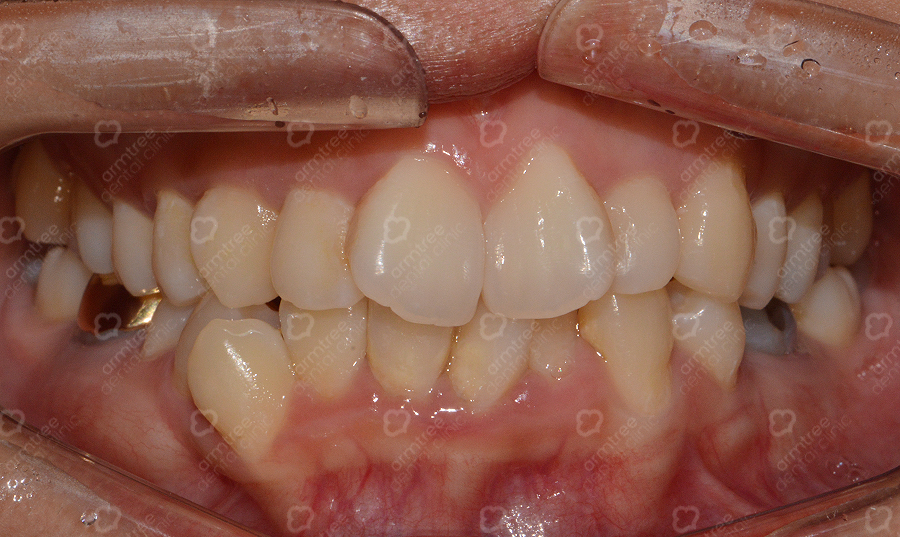
앞니부분교정 꼼꼼하고 예리하게 벌어진이빨 혹은 토끼 이빨을 가지고 있는 앞니의 문제! 이 문제를 겪는 분들을 쉽게 찾아볼 수 있는데요. 3개월 혹은 더 짧은 시간에 교정이 가능한 앞니부분교정은 많은 사람들이 관심을 가지고 있습니다. 단순하게 앞니가 튀어나온 것을 떠나서 앞니가 바깥쪽으로 틀어진 경우도 있는데요. 항상...
게시일
2020년 8월 12일
원문 기준으로 확인된 발행일입니다.
카테고리
치료이야기
원문 블로그 카테고리를 정리해 함께 표시합니다.
이미지 수
17
현재 아카이브에 연결된 이미지 수입니다.
아카이브 요약
아름드리치과의원의 네이버 블로그 원문을 보존한 아카이브 페이지입니다. 치료이야기 카테고리의 앞니부분교정 꼼꼼하고 예리하게 글을 통해 병원의 한국어 정보 제공 방식과 진료 관련 안내 톤을 확인할 수 있습니다.
원문 검증
필요하면 원문 블로그와 병원 프로필로 바로 이동해 문맥을 다시 확인할 수 있습니다.
출처 아카이브 열기
벌어진이빨 혹은 토끼 이빨을 가지고 있는 앞니의 문제! 이 문제를 겪는 분들을 쉽게 찾아볼 수 있는데요. 3개월 혹은 더 짧은 시간에 교정이 가능한 앞니부분교정은 많은 사람들이 관심을 가지고 있습니다. 단순하게 앞니가 튀어나온 것을 떠나서 앞니가 바깥쪽으로 틀어진 경우도 있는데요. 항상 남들과의 대화에서 신경이 쓰이고 콤플렉스로 오랫동안 스트레스를 받았다면 이번 기회에 상담을 받고 도전을 해보시기 바랍니다.앞니를 포함하여 어느 특정 부위만을 교정하는 것을 부분교정이라고 하는데요 3~6개월 정도면 보통 해결이 가능하기 때문에 전체 교정보다도 부담이 덜하다는 장점이 있습니다. 그래서 상담을 받고 단시간에 해결을 보려는 분들이 많이 있는데요. 때에 따라서는 완벽한 해결이 불가능할 수 있어, 전체교정을 제안해드리는 경우도 있습니다. 사람마다 다르기 때문에 여러분들도 정밀 검사를 통해서 가능여부를 알아야합니다.

유독 앞니가 바깥쪽으로 틀어져있던 환자분의 경우에는 항상 크게 웃지 못하고 입을 손으로 가리고 웃는 습관을 가지고 있었다고 하는데요. 웃음이 많은 것이 좋다고 하지만 이런 분들에게는 항상 신경이 쓰이는 부분이죠. 앞니의 경우에는 특히나 가장 먼저 보이고 얼굴의 중심에 자리를 잡고 있기 때문에 첫인상에서 아주 중요하게 보일 수 있습니다. 삐뚤어진 치아를 가지고 있다면 사람의 시선이 그쪽으로 향하는 것이 보통이기 때문이죠.

원하는 부위만 교정을 하는 것을 보통 부분 교정이라고 하는데요. 3개월에서 6개월 정도만 투자를 하면 짧은시간에 교정이 가능하기 때문에, 원하는 부분을 바르게 만들 수 있다는 장점이 있습니다. 보통 돌출을 많이 이야기를 하시는데요 이 부분교정은 많은 것을 포함시키고 있습니다. 첫번째로는 바로 벌어진 앞니, 앞니가 벌어진 사람들을 쉽게 찾을 수 있을거에요 그 다음은 틀어진 앞니, 튀어나온 경우 불규칙하게 길기가 맞지 않거나 삐뚤어진 경우도 부분 교정이 필요합니다.

원하는 부위만 해결을 하고 싶거나 또는 전체적으로 하기에는 가격적으로 부담이 될 때 또는 이전에 교정을 한 경험이 있지만 어느 한 부분만 심하게 틀어진 경우 재교정으로 부분만 하고 싶은 분들, 면접을 준비하느라 시간이 족하신 분들 등 다양하게 이용을 하고 있으며 찾고 있습니다. 하지만 부분 교정으로 해결이 다 되는 것은 아닙니다. 경우에 따라서 전체적으로 해야하는 경우도 있는데요 꼭 발치를 해야하거나 또는 사랑니와 같이 치아배열을 흐트러트리는 요소들을제거를 해야한다면 전체적으로 문제를 해결해야 합니다. 그렇기 때문에 정확한 확인을 위해서 계획을 세우기 전에 엑스레이 촬영을 하여 치아배열 뿐 아니라 잇몸속 뼈의 위치까지 확인을 해야하는데요.

많은 사람들이 겪었던 전 후의 모습을 보신다면 누구나 삐뚤어진 치아를 바로 잡을 수 있을거라는 희망을 얻을 수 있을거에요. 치아의 이동을 통해서 가장 이상적인 형태로 만들어드리고 있는데요. 혹시나 본인이 원하는 스타일이 있다면 정도가 있다면 상담을 통해서 이야기를 나눠보시기 바라며, 본인에게 어울리는 치열이 존재하기 때문에 수 많은 경험을 가지고 있는 전문의와 함께 상담을 나눠보시기 바랍니다. 치열이 바르지 못한다면 자기도 모르게 어느 한쪽으로 힘을 주거나 계속해서 한 부위의 치아만을 사용하여 자칫 다른 문제를 일으킬 수 있습니다.

빠르게 변화하는 교정치료를 통해서 새로운 얼굴을 만든분들도 쉽게 찾을 수 있는데요. 웃기가 어려워서 입을 가리고 웃던 환자분들도 이제는 자연스러운 웃음을 많은 사람들에게 보여드리고 있습니다. 콤플렉스가 있다면 빠르게 해결을 해야하는데 스트레스를 유발하는 콤플렉스는 다른 질환을 낳을 수 있거든요. 행복한 하루하루를 살아가는데도 시간이 부족한대, 자신에게 생길 수 잇는 문제를 알고 있다면 빠른 해결을 위해서 전문가를 찾아야겠죠.

또한 전체적으로 교정을 하는 것보다도 부분적으로 진행하는 앞니부분교정는 보통의 교정보다도 훨씬 난이도가 높다는 것을 알아야 합니다. 다른 부분이 기준이 되어 그 부분과 조화롭게 잘 맞춰야 하기 때문인데요. 그래서 풍부한 임상실험의 결과를 가지고 있는 전문의를 찾아야 하며, 상담을 할때도 이 부분에 대해서 자세하게 설명을 해줄 수 있는 전문의를 만나야 합니다. 실제 방문을 하고 나서도 어떤 방법으로 진행이 될지 환자분들에게 의견을 물어볼텐데요. 기존에 가지고 있던 상식이나 궁금한 부분들이 있었다면 속시원하게 이야기를 해보시기 바랍니다.

비용을 절약하기 위해서 부분으로 진행을 하시는 분들 중에서 혹시나 전체로만 진행이 가능한 분들이 있을 수 있습니다. 다양한 혜택을 통해서 부담감을 덜어드리고 있으니 이 부분에 대해서도 도움을 받아보시기 바래요. 많은 사람들이 교정에 관심을 가지면서 계속해서 좋은 교정 방법이나 재료들이 나오고 있는데요. 앞으로도 발전하는 이 부분에서 많은 도움을 얻을 수 있을거라 생각하며 건강과 관련된 문제이기 때문에 삐뚤어진 치아 배열을 가지고 있다면 이번 기회에 바로 잡아보세요. 환자분들의 안전을 위해서 항상 감염관리시스템을 운영하고 있으며 개별 포장 및 수질 관리를 통해서 마시는 물 머금는 물까지도 신경을 쓰고 있어요. 위생이 생명인 이곳에서 그 동안 참아왔던 콤플렉스와 스트레스를 한방에 날려버리시기 바라는 바에요.

하지만 앞니의 변화에 대해 제대로 인식하지 못한체 그냥 시간이 지나면 해결이 되겠거니 생각하고 있다면 그건 정말 큰 착각이 아닐 수 없어요. 치아의 경우에는 아무리 오랜 시간이 흘러간다고 해도 변함없이 그대로 유지되며 오히려 구강의 건강을 해칠 수 있는 요소로 자리 잡을 수 있기 때문에 처음 발견한 조기에 빠른 결정을 통하여 치아교정을 진행하는 것이 가장 현명한 방법이라고 할 수 있어요. 본원을 찾아오는 분들께서도 언젠가는 해결이 되겠거니 라는 안일한 생각을 가지고 있는 분들이 생각보다 상당히 많았으며 상담을 통해 그 생각이 잘못된 것이라는 걸 제대로 깨닫게 되었죠.

교정진료를 해보신 분들이라면 누구나 공감하는 것 일 수 있지만 내원의 횟수가 많아지면 그만큼 귀찮기 마련인데 평균적으로 36개월 정도만 되면 모든 문제점이 해결이 되니 생각했던 것 보다 빠르게 바른치아로 거듭날 수 있어 더욱 사랑을 받고 있는 노하우라고 할 수 있는데요. 또한 23년이나 되는 긴 교정을 진행했을 때에는 교정인이라면 누구나 알 고 있듯이 매월마다 비용을 지불해야 하기 때문에 기간이 길어지면 본인의 자산에 마이너스 밖에 되는 것이 없지만 빠르게 교정이 진행되기 때문에 그러한 걱정은 일체 할 필요조차 없다고 할 수 있어요.

맨 처음으로 돌아가 교정을 진행하기 전 사진을 본다면 현재의 상황에 살짝 아이러니한 생각이 들 수 있을 정도로 짧은 기간내에 변화된 앞니의 모습을 보면 정말 놀라지 않을 수 없는데요. 그 전에는 뽀쬭해보이던 치열(치아의 배열)이 가지런해지고 뻐드러진 나비모양의 앞니가 바른 모양으로 변형이 된 것을 확인해 보실 수 있을꺼에요. 지금 그 전의 사진이 생각나지 않는다면 한번 이전 사진을 확인해 보시면 어떠한 변화가 생겼는지 단번에 알 수 있을 정도로 크나큰 변화를 얻을 수 있었어요.

이처럼 큰 변화에 환자분들께서 늘 하시는 말씀이 조금이라도 더 일찍 아름드리를 알았더라면 하는 말씀을 하는데요. 부분교정의 경우 전제교정의 경우에 비하여 난이도가 높으며 그저 값싼 곳을 찾는다면 올바른 결과를 얻지 못하게 되는 경우가 허다하다고 할 수 있어요. 싼게 비지떡이라는 말이 있듯이 다른 곳에 비해 오히려 낮은 비용을 요구하는 곳이 있다면 좋다 좋다 할께 아니라 무슨 문제가 있는 것은 아닌가 하는 비판적인 사고방식이 필요한 시점이 아닐까 조심스러운 생각이 들곤 하네요.
여러분들 중에 다양한 케이스의 앞니 뿐만 아니라 다양한 치아교정에 대한 케이스라도 궁금한 것이 있다면 언제든 아름드리치과에서 빠르게 원인을 찾고 빠른 기간내에 해결을 하는 것이 가장 현명한 방법 중에 하나일 것이라는 생각을 해보게 되요.

그저 보여지는 모습 뿐만이 아니라 얼굴 전체의 심미적인 비율을 고려한 치료방법을 추구하는 아름드리는 정직함을 기본으로 늘 양심적이고 최선을 다하는 진료만을 위해 노력하고 있는 곳이며 최선의 결과를 향해 늘 노력하는 자세로 환자의 눈높이에 맞추어 만족이 가득한 진료환경을 만들기 위해 오늘도 불철주야 최선을 다해 노력하고 있어요.
더 궁금한 사항이나 본인의 케이스에서는 어떠한 교정치료가 진행이 될 지 궁금하다면 언제든지 그 궁금증을 해결하기 위하여 내원 혹은 카카오톡 상담을 통해 그 궁금증을 해소하는 것을 추천드려요.



